Click here to close
Hello! We notice that you are using Internet Explorer, which is not supported by Xenbase and may cause the site to display incorrectly.
We suggest using a current version of Chrome,
FireFox, or Safari.
???displayArticle.abstract???
We have cloned a Xenopus cDNA that encodes a homologue of the human myogenic factor, Myf-5. Xenopus Myf-5 (XMyf5) transcripts first accumulate in the prospective somite region of early gastrulae. The pattern of XMyf5 expression is similar to that of the Xenopus MyoD (XMyoD) gene, except that XMyf5 transcripts are largely restricted to posteriorsomitic mesoderm even before any somites have formed. Transient ectopic expression of XMyf5 activates cardiac actin and XMyoD genes in animal cap cells, but does not cause full myogenesis, even in combination with XMyoD. These results suggest that XMyf5 acts together with XMyoD as one of the set of genes regulating the earliest events of myogenesis, additional factors being required for complete muscle differentiation.
Fig. 1. Sequence of the XMyf5-2 cDNA. The asterisk
indicates the translation stop, and the poly(A)-addition
signal is underlined.
Fig. 2. Comparison of the predicted XMyf5 protein
sequence to those of representatives of the four
mammalian myogenic factors, human Myf-5 (Braun et al.
19896), mouse MyoD (Davis et al. 1987), rat MRF4
(Rhodes and Konieczny, 1989) and rat myogenin (Wright et
al. 1989). The box surrounds the basic-helix-loop-helix
domain; amino acid residues identical to those of XMyf5
are shown in bold. XMyf5 is more closely related to Myf-5
than to the other factors, showing extensive similarity
outside the basic-helix-loop-helix region.
Fig. 3. XMyf5 expression in early development.
(A) Northern blot of RNA from early embryos (two per
lane) at timed stages after fertilization, probed successively
for XMyf5, XMyoD and cardiac actin (not shown)
transcripts (see Materials and methods). (B) Graph plotted
from densitometry of appropriate autoradiographic
exposures of the blot shown in A, using transcript number
measurements for XMyf5 (see Materials and methods) and
XMyoD (Hopwood et al. 1989a). The content of XMyf5
and XMyoD transcripts increases before transcripts of the
cardiac actin gene first appear. Stages are those of
Nieuwkoop and Faber (1967). Embryos were cultured at
23 °C.
Fig. 4. XMyf5 transcripts are somite-specific. In situ hybridizations to transverse sections through the posterior parts of late
(stlli) gastrulae (A,B) and late (stl8) neurulae (C,D), probed for XMyf5 (A,C) or XMyoD (B,D). Note that the neurula
sections are from the 'tail' region used for the northern analysis in Fig. 5 below, and show somite-specific expression in this
part of the embryo which was not dissected into its component tissues. The gastrula sections, from wild-type embryos, were
bleached with hydrogen peroxide (see Materials and methods); the neurula sections were from albino embryos. Probe
concentrations (and exposure times) were: (A,B) 400ctsmin~'^l~1 (one month); (C) TSOctsmin'Vl1 (one week); (D)
V"1 (two weeks).
Fig. 5. Northern blot of RNA from dissected parts of late
(stl8) neurulae, probed successively for transcripts from
the XMyf5, cardiac actin (Mohun et al. 1984), and EF-lo-
(Krieg et al. 1989) genes. Cardiac actin is a striated muscle
marker, and EF-la- shows the relative amounts of total
RNA in each lane. Parts were pooled from five dissected
embryos; RNA from one whole embryo was analysed for
comparison. The dorsal endoderm and notochord lanes
were relatively underloaded in this experiment. Two other
experiments, in which relatively more endodermal RNA
was used, showed that the endoderm does not contain a
significant concentration of XMyf5 RNA at stl3 or at stl8
(data not shown). That the notochord does not express
XMyf5 was shown by in situ hybridization (Fig. 4A,C). Dl,
dorsal; vl, ventral; end, endoderm; mes, mesoderm; ect,
ectoderm.
Fig. 6. XMyf5 transcripts become restricted to posterior
somites before those from the XMyoD gene. Northern blot
of RNA from anterior (1), middle (2) and posterior (3)
parts of late gastrulae (stl2i), mid-neurulae (stl5) and late
neurulae (stl8) probed successively for transcripts from
XMyf5, XMyoD, cardiac actin and EF-l<v genes. Parts
from six embryos were loaded in each lane.
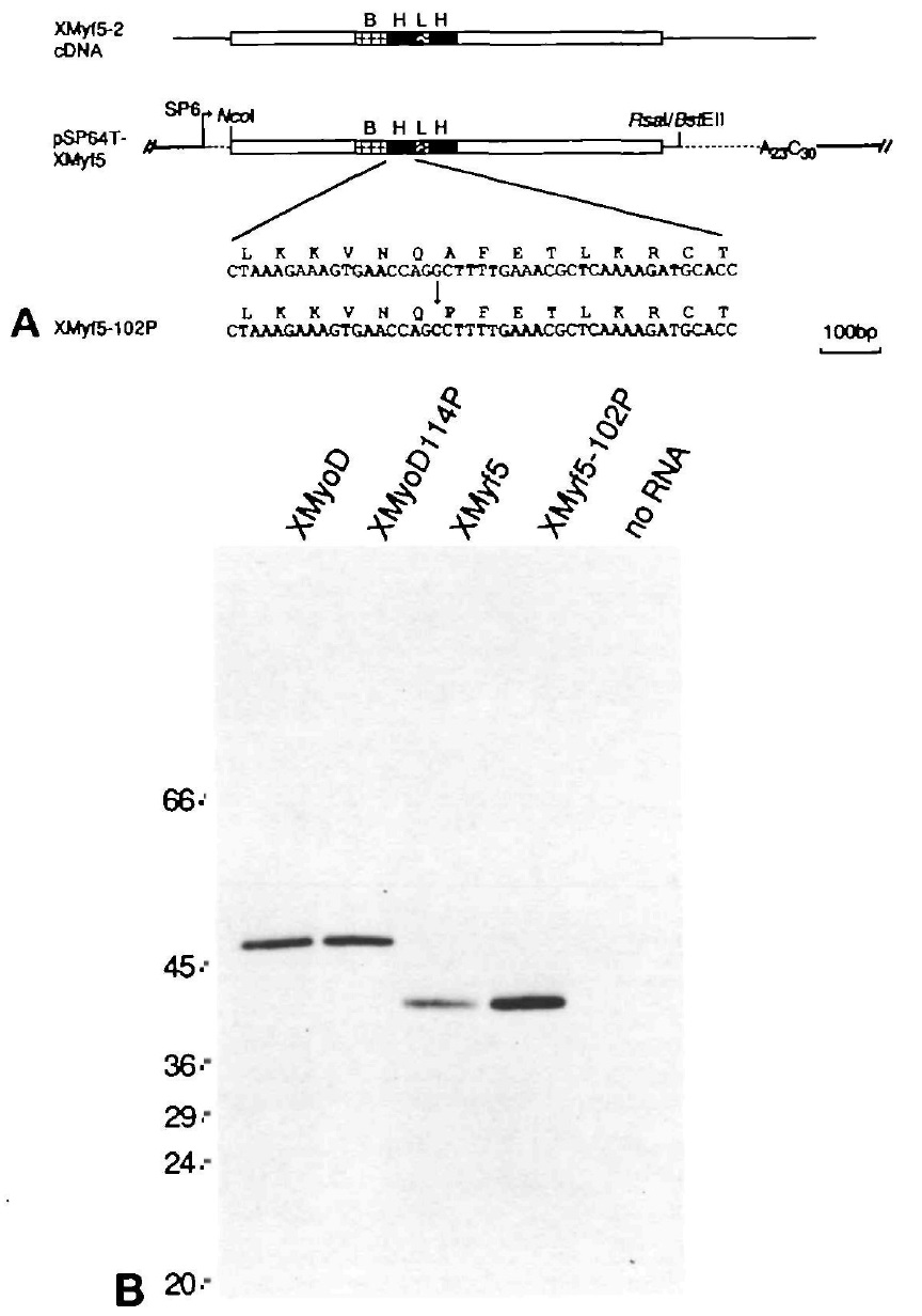
Fig. 7. (A) Clones for expression of XMyf5 in embryos,
and point mutant control. Their construction is described
in the Materials and methods. BHLH, basic-helix-loophelix
region; A23C30, poly(dA)-poly(dC) tracts; dotted line
Xenopus /3-globin UTRs. (B) Translation in a rabbit
reticulocyte lysate of XMyoD, XMyoD114P, XMyf5 and
XMyf5-102P synthetic mRNAs. AutoradiogTaph of 35Slabelled
protein. Numbers are MrXl0~3 of marker
proteins. The mutant controls are translated as efficiently
as the non-mutated mRNAs.
Fig. 8. XMyf5 can activate cardiac actin and XMyoD
genes in animal cap cells. Animal caps were dissected from
RNA-injected embryos and cultured until sibling embryos
became late neurulae (stl8), when they were frozen for
analysis by northern blotting. RNA from 12 animal caps
was pooled and RNA from two animal cap equivalents
probed successively for cardiac actin transcripts, injected
RNA, and EF-lo-transcripts. The injected RNA was
detected using a probe that recognizes the /3-globin 3' UTR
that is part of the injected transcripts, but is not present in
uninjected embryos at the stage of analysis; injected XMyf5
transcripts are distinguishable from injected XMyoD RNA,
because they are smaller. The remaining 10 animal cap
equivalents were probed for frww-activated transcripts from
the endogenous (endog.) XMyoD gene(s). Note, therefore,
that for this panel, five times more total RNA was used in
the animal cap samples relative to the whole embryo
standards than is indicated by the EF-liy analysis shown.
The cardiac actin and XMyoD genes were activated in
XMyoD- and XMyf5-injected animal caps, but not in
animal caps injected with the point mutant XMyf5-102P
RNA. Co-injection of XMyoD and XMyf5 RNAs did not
show any synergy in activating the XMyoD and cardiac
actin genes.