Click here to close
Hello! We notice that you are using Internet Explorer, which is not supported by Xenbase and may cause the site to display incorrectly.
We suggest using a current version of Chrome,
FireFox, or Safari.
???displayArticle.abstract???
The creatine kinase (CK) repertoire of Xenopus laevis, which is more complex than that of most other vertebrates, involves at least four genomic loci, all showing developmental and tissue-specific expression. The differential expression of this multilocus CK isozyme system was investigated by immunohistology. Specific monoclonal antibodies (mAb) against the three cytoplasmic CK isozymes of Xenopus laevis were isolated and characterized. Two of these mAbs, anti-CK-IV (DM16) and anti-CK-III (JRM4), were specific for CK-IV and CK-III subunits respectively, as well as for the corresponding homodimeric isozymes, CK-IV/IV and CK-III/III. Anti-CK-II (MRX7) mAb recognizes CK-II subunits and CK-II/III heterodimers; the homodimeric CK-II/III does not occur. Immunohistological localization on larval and adult tissue sections reveals that CK-IV epitopes, beside a generalized tissue distribution, are especially concentrated in the cytoplasm of some particular cells such as the photoreceptors in the outer segment of the retina, certain nerve cells of the spinal cord and spinal ganglia, and in larval hepatocytes. The CK-III III isozyme is specifically expressed in skeletal muscle, its appearance and accumulation occurring in parallel with myoblast differentiation. The CK-II antigen is detected first at the time of metamorphosis is skeletal muscles, as well as in the heart, eyes and brain. In striated musculature the expression of CK-II subunits during metamorphosis results in almost complete replacement of CK-III/III homodimers by CK-II/III heterodimers, as indicated by the progressive masking of CK-III epitope and the corresponding appearance of CK-II antigen. In the adult eyes, CK-II antigens localize at the same particular site of photoreceptors as do CK-IV antigens. Since that antigen represents a heterodimeric CK-II/III isozyme, this implies the activation of both CK-II and CK-III genes, none of which is expressed in larval retina.
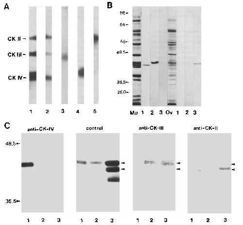
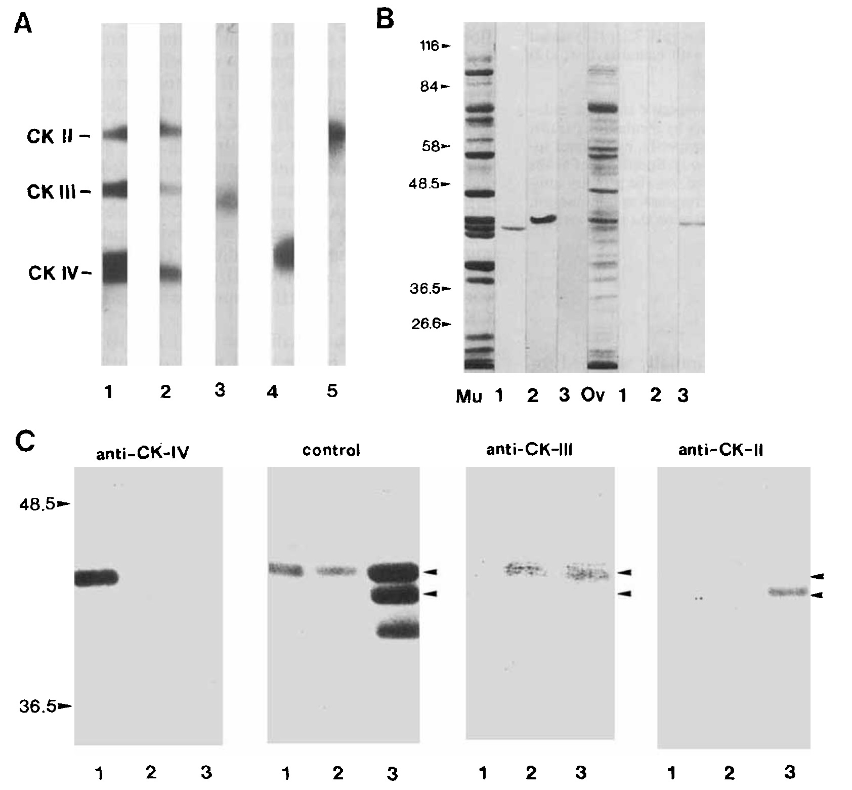
Fig. 1 A-C. Xenupus laeuis CK isozyme specificity of creatine kinase
(CK) monoclonal antibodies (mAbs) anti-CK-IV (DM16), anti-
CK-I11 (JRM4) and anti-CIS-I1 (MRX7) determined by immunoblotting.
A Specificity of the reaction against purified native dimeric
CK isozymes. A mixture of 50 pg each of the three CK isozymes
CK-II/III (CK-II), CK-III/III (CK-111) and CK-IVjIV (CK-IV)
was separated on 7.5% native polyacrylamide gels and electrotransferred
to nitrocellulose. Lane 1, gel stained for specific CK activity
[34]; lane 2, blot stained for total protein with amidoblack 0.1%;
lunes 3-5, blots incubated with, respectively, anti-CK-111, anti-CKIV
or anti-CK-I1 followed by phosphatase-conjugated anti-mouse
Ig and phosphatase substrate. B Specificity of the reaction against
denatured Xenopus skeletal muscle (Mu) and ovary (00t)o tal extract.
Samples (10-15 pg) after 20% SDS-polyacrylamide gel electrophoresis
and electrophoretic transfer to nitrocellulose were
stained either for protein with amidoblack 0.1% (Mu , 00)o r incubated
with anti-CK-I1 ( I ) , anti-CK-III(2) anti-CK-IV (3), followed
by phosphatase-conjugated anti-mouse Ig and phosphatase substrate.
C Specificity of the reaction against denatured purified CKIV/
IV ( I ) , CK-lII/III (2) and CK-II/III (3) isozymes. Blots were
prepared with 50 pg each purified isozyme as in B, and stained
either for protein with amidoblack 0.1% (control) or with mAbs.
Presumed position of each band is indicated by an CI~YOIV. The
fast component in the control ( / m e 3) represents denatured CK.
The molecular-weight standards of the left hand in B and C are
/3-galactosidase (M, 116,000), fructose-6-phosphate kinase (M,
84,000), pyruvate kinase (M, 58,000), fumarase (M, 48,500), lactic
dehydrogenase (M, 36,500), and triosephosphate isomerase (M,
26,600)
Fig. 2A-G. Immunolocalization of CK-IV antigens in X . lueuis retina
(A-C), liver (D-E) and spinal cord (F-G) at stage 48 by the
avidin-biotin complex (ABC) staining technique. Tissues were fixed
in alcoholic Bouin’s and paraffin-embedded; 6-pm sections were
incubated with (A, D and F) nonspecific hybridoma supernatant;
anti-CK-IV (DM16) preadsorbed with purified CK-IV/IV isozymes
(B); anti-CK-IV (C, E and G ) . All tissue sections were counterstained
with hematoxylin. In retina, the different layers are nun?-
hered from the lens: 1, ganglion cell layer; 2, inner plexiform layer;
3, inner nuclear layer; 4, outer plexiform layer; 5, outer nuclear
layer; 6 , photoreceptor outer segment; 7, pigment epithelium, choroid
and sclera; nt, notochord; cc, central canal
Fig. 3A-G. Immunolocalization of CK-111 antigens in X . laeuis
larval thoracic muscles rectus abdominalis (A-D) and myotomal
muscles (E-G) at stage 48 by the ABC staining technique. A Control
with nonspecific hybridoma supernatant. B, F Anti-CK-111
(JRM4) pre-adsorbed with purified CK-III/III isozyme. C, E CKI
l l mAb. D, G Anti-CK-111 preadsorbed with purified CK-II/III
isozyme. Negative staining in peripheral myotomal muscular fibres
(E, G ) is attributed to fixation artefact; nt, notochord; my, myotome;
sc, spinal cord
Fig. 4A-G. Immunolocalization of CK-I1 antigens in A’. laeuis adult hindleg muscles (A-D) and retina ( E G ) by the ABC staining
technique. A, F Anti-CK-I1 (MRX7) mAb; B, E Anti-CK-Ill. C, G Anti-CK-I1 preadsorbed with purified CK-II/III isozymes. D Anti-CK-I1
preadsorbed with purified CK-III/III isozymes. In retina, the different layers are numbered from the lens as in Fig. 2
Fig. 5. Imniunolocalization of CK-Ill antigens in X . hevk whole-mount embryos at stages 23/24, 25/26 and 29/30. Embryos were fixed
in alcoholic Bouinâs, bleached according to [4] and stained by the ABC stainaing technique. Left column, control with nonspecific
hybridoma supernatant; right column, CK-111 mAb; mL myofibril; ms, myosepta
Fig. 6. Immunolocalization of CK-I1 (B), CK-I11 (C) and CK-IV (D) antigens in X . laevis embryonic myotomal muscles at stage 33/34,
by the ABC staining technique. A Control with nonspecific hybridoma supernatant; cd, chord; rnL myofibril; WIS, myosepta; pv, yolk
granule