Click here to close
Hello! We notice that you are using Internet Explorer, which is not supported by Xenbase and may cause the site to display incorrectly.
We suggest using a current version of Chrome,
FireFox, or Safari.
???displayArticle.abstract??? XPACE4 is a member of the subtilisin/kexin family of pro-protein convertases. It cleaves many pro-proteins to release their active proteins, including members of the TGFbeta family of signaling molecules. Studies in mouse suggest it may have important roles in regulating embryonic tissue specification. Here, we examine the role of XPACE4 in Xenopus development and make three novel observations: first, XPACE4 is stored as maternal mRNA localized to the mitochondrial cloud and vegetal hemisphere of the oocyte; second, it is required for the endogenous mesoderm inducing activity of vegetal cells before gastrulation; and third, it has substrate-specific activity, cleaving Xnr1, Xnr2, Xnr3 and Vg1, but not Xnr5, Derriere or ActivinB pro-proteins. We conclude that maternal XPACE4 plays an important role in embryonic patterning by regulating the production of a subset of active mature TGFbeta proteins in specific sites.
Fig. 2. Spatiotemporal expression pattern of XPACE4. (A) Real-time RT-PCR analysis of the wild-type embryos at the indicated stages shows that XPACE4 mRNA is abundant maternally and its level increases pre-MBT (stage 6 and 8) and gradually declines after gastrulation (stage 10 and 12.5). (B) The comparison of oligo dT (dT) versus random hexamer (R6) primed cDNA shows the increase in XPACE4 levels pre-MBT is due to polyadenylation of the maternal mRNA. (C) Whole-mount in situ hybridization shows that XPACE4 is localized during early oogenesis. Inset shows XPACE4 mRNA localization in the mitochondrial cloud of stage 1 oocytes. No signal is detected with the sense probe (S). (D) XPACE4 is localized to the vegetal hemisphere of full-grown oocytes. (E,F) Hemisected stage 10 (E) and stage 11 (F) embryos show XPACE4 mRNA remains localized to the endodermal precursors during gastrulation (dorsal side on the right). (G) At stage 30, XPACE4 is detected in a group of cells in the endoderm after the embryos are bleached and cleared. (H) At stage 35/36, XPACE4 is detected in the olfactory bulb, the brain and the notochord. The lower embryo is the sense control. Inset shows the notochord in transverse sections. S, sense control.
Fig. 3. Depletion of XPACE4 using an antisense oligo approach.
(A) Real-time RT-PCR analysis of oocytes (oo) injected with 5-10 ng unmodified antisense oligos shows depletion of maternal XPACE4 mRNA to variable degrees. (B) Phosphorothioate modified AS-5 oligo (AS-5MP) depletes XPACE4 mRNA without affecting the mRNA levels of a closely related maternal convertase Furin (XFurA) as analyzed by real-time RT-PCR. (C) XPACE4 mRNA levels in control and XPACE4-depleted embryos: XPACE4-depleted embryos (AS-5MP+) are generated by the host transfer technique and are compared with sibling uninjected control embryos at blastula (7 and 8) and gastrula (10, 11, 12) stages. Real-time RT-PCR shows that XPACE4 is depleted down to 5% and it does not reach the control levels (AS-5MPâ). (D) Antisense oligo depletion of XPACE4 reduces signaling activity of Xnr1 in oocytes. A schematic presentation of the paracrine assay is shown at the top. Animal caps co-cultured with uninjected control oocytes have very low or no detectable levels of organizer genes chordin (Chd), goosecoid (Gsc), mesodermal gene Xbra or endodermal gene XSox17α. All of these genes are induced when caps are co-cultured with control oocytes injected with Xnr1 mRNA. Animal caps co-cultured with XPACE4-depleted oocytes injected with Xnr1 mRNA show a reduction in the expression levels of these mRNAs. Sibling whole embryo (WE) is used for the dilution series and the quantification in real-time RT-PCR.
Fig. 4. Depletion of XPACE4 disrupts
gastrulation, mesoderm induction and normal
development. (A) XPACE4-depleted embryos
[P(â)] compared with controls (Un) show delay
in gastrulation and rescue by XPACE4 mRNA
[P(â)+mRNA]. (B) Gastrulation delay of
XPACE4 depletion is rescued by the
reintroduction of XPACE4 mRNA. XPACE4
mRNA injected into control embryos
(Un+mRNA) speeds up gastrulation and rescues
the gastrulation delay of XPACE4-depleted
embryos [P(â)+mRNA]. (C) XPACE4-depleted
embryos develop patterning defects and anterior
abnormalities. Depletion of XPACE4 [P(â)]
results in a variety of late phenotypes ranging
from ventralization to small heads. These
phenotypes can be partially rescued by the
reintroduction of XPACE4 mRNA
[P(â)+mRNA]. (D) Equatorial explants (Eq
explants) of XPACE4-depleted embryos fail to
elongate. Explants dissected from control
embryos (Un) show normal convergent extension
movements and elongation. XPACE4-depleted
embryos [P(â)] show severe reduction in
elongation; XPACE4 mRNA rescues the
elongation defect [P(â)+mRNA]. (E) Analysis of
gene expression of equatorial explants from
XPACE4-depleted embryos. Explants (Eq
explants) dissected from control (AS-5MPâ) and
XPACE4-depleted (AS-5MP+) embryos at mid-
blastula stage are cultured and analyzed together
with stage 28 whole embryos (WE). The
expression of general mesodermal marker MyoD,
dorsal mesoderm marker cardiac actin and
neural marker NCAM are all reduced in XPACE4-
depleted whole embryos and explants. XPACE4
mRNA rescues the expression of markers. (F)
Analysis of gene expression of XPACE4-depleted
gastrulae. XPACE4-depleted whole embryos are
harvested together with sibling control embryos.
The expression of Xbra, chordin (Chd), Xnr1 and
Xnr3 is analyzed using real-time RT-PCR. At
stage 10.5, XPACE4-depleted embryos (AS-
5MP+) show a reduction in the levels of these
markers and the reduction is partially rescued by
XPACE4 mRNA. The mRNA alone increases marker levels. (For rescue experiments 75-100 pg of XPACE4 mRNA is injected vegetally into both cells at the two-cell stage.)
Table 2. The gastrulation delay of XPACE4-depleted embryos
Table 3. The phenotypes of XPACE4-depleted tailbuds
Fig. 5. Induction of mesoderm is disrupted by XPACE4 depletion. (A) A schematic presentation of the Nieuwkoop Assay details the Materials and methods. The marker expression of animal cap explants (ac) co-cultured with control (Un vm) and XPACE4- depleted vegetal masses [P(â) vm] is analyzed by real-time RT-PCR. Animal caps incubated alone (ac alone) do not express significant levels of mes-endodermal genes. The induction of organizer genes chordin, goosecoid, mesodermal genes Fgf8 and Xbra, and endodermal gene XSox17α are all reduced in caps cultured with XPACE4-depleted vegetal masses [ac P(â) vm] compared with controls (ac Un vm). Uninjected whole embryo (Uninj WE) is used for the dilution series and the quantification. (B) XPACE4-depleted embryos [P(â)+ARE] have reduced ARE-luciferase reporter activity compared with controls (Un+ARE). (C) Western blot analysis of control (UN) and XPACE4-depleted [P(â)] gastrulae show phospho- Smad2 levels are reduced by XPACE4 depletion. Total Smad2 levels are shown as loading control.
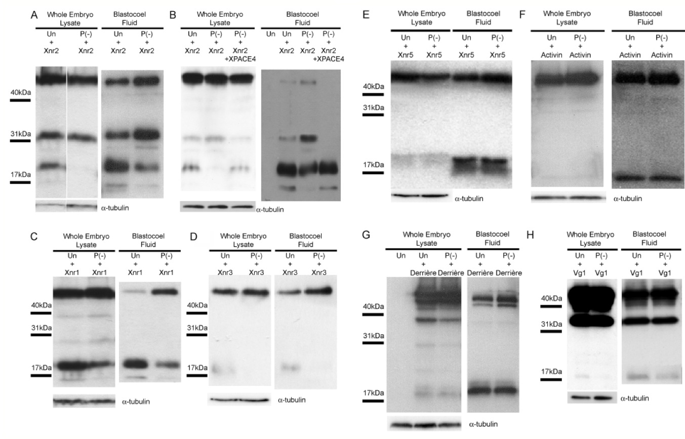
Fig. 6. XPACE4 depletion affects the processing of a specific subset of TGFβ proteins. (A) Maturation of Xnr2 is reduced in XPACE4-depleted embryos. Western blots from control (Un) and XPACE4-depleted [P(â)] whole embryos and blastocoel fluids overexpressing Xnr2-HA mRNA (200 pg) show the mature form of Xnr2-HA (26 kDa) is reduced in whole embryo homogenates of XPACE4-depleted embryos. In the blastocoel fluid of XPACE4-depleted embryos, a significant reduction in mature Xnr2 level and accumulation of the unprocessed (57 kDa) and an intermediate form (33 kDa) are detected. (B) Maturation defect of Xnr2 in XPACE4-depleted embryos is rescued by injection of XPACE4 mRNA (150 pg). In whole embryos, the level of mature Xnr2 is rescued by XPACE4 mRNA injection. In the blastocoel fluid the unprocessed and intermediate forms are rescued by XPACE4 mRNA injection. (C) Maturation of Xnr1 is reduced in XPACE4-depleted embryos expressing 200 pg of Xnr1-HA mRNA. The mature form of Xnr1-HA (24 kDa) is reduced in whole embryo homogenates of XPACE4-depleted embryos. In the blastocoel fluid, a significant reduction in mature Xnr1 level and accumulation of the unprocessed form (57 kDa) are detected.
(D) Maturation of Xnr3 is reduced in XPACE4-depleted embryos expressing 300 pg of Xnr3-HA mRNA. The mature form of Xnr3-HA
(22 kDa) is reduced in whole embryo homogenates of XPACE4-depleted embryos. In the blastocoel fluid, a significant reduction in mature Xnr3 level is detected. (E) Maturation of Xnr5 is not affected in XPACE4-depleted embryo lysates or blastocoel fluids. Xnr5-HA mRNA
(100 pg) is injected. (F) Maturation of ActivinB is not affected in XPACE4-depleted embryos. A very low level of mature ActivinB-HA
(15 kDa) is more concentrated in the blastocoel fluid both in controls and XPACE4-depleted whole embryos. However, there is no significant change in levels of mature (15 kDa) or unprocessed forms (54 kDa) of ActivinB-HA. ActivinB-HA (400 pg) mRNA is injected. (G) Maturation of DerrieÌre is not affected in XPACE4-depleted embryos. There is no significant change in levels of mature (21 kDa) or unprocessed (50 kDa) forms of DerrieÌre-HA, either in whole embryo homogenates or in the blastocoel fluid of XPACE4-depleted embryos. DerrieÌre-HA mRNA (400 pg) is injected. (H) Maturation of Vg1 is reduced in XPACE4-depleted embryos. The unprocessed Vg1 as a doublet (46 and 44 kDa), and intermediate form (35 kDa) are easily detected in whole embryo lysates and the blastocoel fluid. The mature form (18 kDa) is reduced in the blastocoel fluid of XPACE4-depleted embryos. Vg1-HA mRNA (600 pg) is injected. (α-tubulin is used as a loading control.)
pcsk6 (proprotein convertase subtilisin/kexin type 6) gene expression in bissected Xenopus laevis embryo, assayed via in situ hybridization, NF stage 9, lateral view,vegetal pole down.
pcsk6 (proprotein convertase subtilisin/kexin type 6) gene expression in bissected Xenopus laevis embryo, assayed via in situ hybridization, NF stage 10, lateral view,vegetal pole down, dorsal right.
pcsk6 (proprotein convertase subtilisin/kexin type 6) gene expression in Xenopus laevis embryo, assayed via in situ hybridization, NF stage 30, lateral view, anteriorleft, dorsal up.