|
Figure 1. In vitro selection of RNA ligands for mPrrp using random RNA pools. (A) Schematic representation of the domain structure of mPrrp protein and mutants used in this study. The full-length mPrrp (405 amino acids) contains both RBDs in the N-terminal region and a proline-rich region in the C-terminal region. The bacterially expressed full-length mPrrp (mPrrp-FL, 1–405 amino acids), RNA-binding domain (mPrrp-2xRBD, 1–201 amino acids), and proline-rich region (mPrrp-Pro, 201–405 amino acids) derivatives contain a thioredoxin-tag, and His-tags at the N- and C- terminals. (B) Confirmation of the progress of the RNA selection was performed by gel mobility shift assay. Ten femtomoles of RNA prepared from each round of selection was labeled with 32P and incubated with 6 pmol mPrrp-2xRBD (final, 300 nM; lanes 1–6) or mPrrp-Pro (lane 8), and then the mixture was analyzed by electrophoresis. Free RNA probes and RNA–protein complexes are indicated by arrowheads. (C) The sequences of 22 unique clones obtained after five rounds of RNA selection are shown. The conserved sequence elements are indicated by hatched bold characters (E1) and underlined bold characters (E2). The individual sequences are classified into four groups: Group A containing both E1 and E2, Group B (E1 only), Group C (E2 only) and Group D (not containing any conserved elements). The sequences derived from the constant primer sequences are indicated in lower case characters. |
|
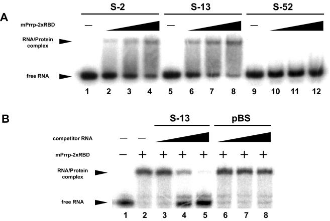
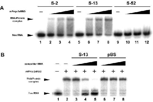
Figure 2. Binding experiments on several selected RNAs and mPrrp-2xRBD protein. (A) Gel mobility shift assay of mPrrp-2xRBD protein with several selected RNAs (S-2, lanes 1–4; S-13, lanes 5–8; and S-52, lanes 9–12). An aliquot of 10 fmol of 32P-labeled RNAs (final, 0.5 nM) was incubated with various concentrations of mPrrp-2xRBD protein: 0 nM (lanes 1, 5 and 9), 50 nM (lanes 2, 6 and 10), 100 nM (lanes 3, 7 and 11) and 300 nM (lanes 4, 8 and 12), and the mixtures were run on non-denaturing polyacrylamide gels. (B) Competitive RNA-binding experiments involving unlabeled RNAs. Ten femtomoles (final, 0.5 nM) of 32P-labeled S-13 RNA was incubated with mPrrp-2xRBD protein at a final concentration of 300 nM, and the following amounts of unlabeled competitor RNAs: 100 fmol (lanes 3 and 6), 1000 fmol (lanes 4 and 7) and 10 000 fmol (lanes 5 and 8). Free RNA probes and RNA–protein complexes are indicated by arrowheads. pBS RNA was transcribed from pBluescript SK(+) digested with XbaI. |
|
Figure 3. Minimum sequence requirement of S-13 RNA. (A) The sequences used for deletion mutant analysis of S-13 RNA are shown. The mutant names derive from the positions at the start and end of the full-length S-13 RNA. The minimum RNA sequence for binding to mPrrp is indicated at the bottom (positions 26–73). The lower case character sequence at 5′ terminal is derived from the sequence for transcription initiation by T7 RNA polymerase and the other one at the 3′ terminal is derived from the sequence of the restriction enzyme site (BamHI). (B) Gel mobility shift assay of mPrrp-2xRBD protein with deletion mutants. Ten femtomoles of 32P-labeled RNAs (final, 0.5 nM) was incubated with various concentrations of mPrrp-2xRBD protein: 0 nM (lanes 1, 4, 7, 10, 13 and 16), 100 nM (lanes 2, 5, 8, 11, 14 and 17) and 300 nM (lanes 3, 6, 9, 12, 15 and 18), and the mixtures were run on non-denaturing polyacrylamide gels. Free RNA probes and RNA–protein complexes are indicated by arrowheads as in previous figures. |
|
Figure 4. Point mutation analysis of the putative binding sites in S-13 RNA by gel mobility shift assay. Point mutations were introduced in to E1 (lanes 1–21) and E2 (lanes 22–39) in S-13 RNA. An aliquot of 10 fmol of 32P-labeled RNAs (final, 0.5 nM) was incubated with various concentrations of mPrrp-2xRBD protein: 0 nM (lanes 1, 4, 7, 10, 13, 16, 19, 22, 25, 28, 31, 34 and 37), 100 nM (lanes 2, 5, 8, 11, 14, 17, 20, 23, 26, 29, 32, 35 and 38) and 300 nM (lanes 3, 6, 9, 12, 15, 18, 21, 24, 27, 30, 33, 36 and 39), and the mixtures were run on non-denaturing polyacrylamide gels. Free RNA probe and RNA–protein complexes are indicated by arrowheads as in previous figures. |
|
Figure 5. Secondary structure analysis of the selected RNAs. 5′-32P-labeled full-length S-13 RNA (A) and S-52 RNA (B) were subjected to partial digestion with sequence- or structure-dependent nucleases, and then run on 12% polyacrylamide sequencing gels. (A and B): Al (lane 1), alkaline hydrolysis products as size marker; C (lanes 2), untreated RNAs as a control; T1 (lane 3), RNase T1; V1 (lanes 4), RNase V1; and MB (lanes 5), mung bean nuclease. The secondary structure models superimposed with RNase digestion results, S-13 (C), S-2 (D) and S-52 (E), are shown. Cleavage sites for RNase V1 and mung bean nuclease are indicated by filled and open arrowheads, respectively, and relative cleavage intensities are indicated. The G residues cleaved by RNase T1 are indicated by open circle, and relative cleavage intensities are shown. |
|
Figure 6. Secondary structure comparison of full-length S-13 RNA and its deletion mutants. 5′-32P-labeled full-length S-13 RNA and its truncated, from the 3′-end (A) or from the 5′-end (C), mutants were subjected to partial digestion with sequence- or structure-dependent nucleases, and then run on 12 or 20% polyacrylamide sequencing gels, respectively. Al [lane 1 in (A); lanes 1 and 6 in (C)], with alkaline hydrolysis products as markers; T1 [lane 2 in (A); lanes 3 and 8 in (C)], RNase T1; C [lanes 3, 6, 9 and 12 in (A); lanes 2 and 7 in (C)], untreated RNAs as a control; V1 [lanes 4, 7, 10 and 13 in (A); lanes 4 and 9 in (C)], RNase V1; and MB [lanes 5, 8, 11 and 14 in (A); lanes 5 and 10 in (C)], mung bean nuclease. The secondary structure models mapped with RNase digestion results, DM 1–67 (B), and DM 26–89 and 32–89 (D), are shown. Cleavage sites for RNase V1 and mung bean nuclease are indicated by filled and open arrowheads, respectively, relative cleavage intensities are shown. The nucleotide positions of the mutants are numbered according to full-length S-13 RNA. The two G residues at the 5′ end of the RNAs required for transcription by T7 RNA polymerase and additional sequences of 3′ end restriction enzyme sites (BamHI) are indicated in lower case characters. |