Click here to close
Hello! We notice that you are using Internet Explorer, which is not supported by Xenbase and may cause the site to display incorrectly.
We suggest using a current version of Chrome,
FireFox, or Safari.
The switch from larval to adult globin gene expression in Xenopus laevis is mediated by erythroid cells from distinct compartments.
Weber R, Blum B, Müller PR.
???displayArticle.abstract???
The transition of hemoglobins during metamorphosis of Xenopus laevis involves replacement of the larval erythrocytes by adult ones, suggesting that the developmental control of this event depends upon the growth characteristics of the precursor cells. To identify the erythroid precursor cells and to investigate their developmental fate, we analyzed the distribution of stage-specific globin mRNAs by northern blotting in dorsal and ventral fragments of stage 32 embryos after in vitro culture as well as presumptive erythropoietic tissues of tadpoles during metamorphosis. The histological analysis shows that erythrocytes differentiate only in ventral fragments, suggesting that the ventralblood islands and most likely also the dorsolateral mesoderm are the primary sites of erythropoiesis. We also demonstrate that the first generations of erythrocytes, already express the predominating larval-specific alpha-globin mRNAs. The globin mRNA patterns obtained from presumptive erythropoietic tissues suggest an important role of circulating precursor cells in larval erythropoiesis, whereas the liver appears to be the main site of formation and maturation of the adult erythrocytes. Tentatively we propose that anuran erythropoiesis is dependent upon a self-perpetuating stem-cell line and that the larval and the adult erythrocytes are derived from successive generations of erythroid precursors, whose commitment may be imposed by the erythropoietic sites.
Fig. 1. In vitro culture of embryonic fragments. (A) Dissection of Xenopus embryos into dorsal and ventral fragments.
(B) Partial larva and (C) vesicle obtained by in vitro culture of dorsal and ventral fragments, respectively. Bar=1 mm.
Fig. 2. Internal organization of partial and normal larvae. Cross sections through the posterior head region showing, in A
and C, the internal structure and, in B and D, the heart of partial and normal stage 42 larvae, respectively, hb, hind brain;
n, notochord; o, otocyst; oc, oral cavity; h, heart; v, ventricle, with muscle fibres; a, auricle; e, erythrocytes. Bar in A and
C=100um, in B and D=20um.
Fig. 3. Internal structure of vesicle obtained from a ventral fragment. Overall view of section in A and blood vessel in B.
ep, epidermis; en, endoderm; m, muscle cells; bv, blood vessel; e, erythrocytes. Bar in A=100um, in B=20um.
Fig. 4. Distribution of the
major larval o--globin mRNAs
in dorsal and ventral fragments
and the corresponding
differentiation products.
(A) Dissection of embryos at
level 1 resulted in dorsal and
ventral fragments, whereas
dissection at level 2 yielded
dorsal fragments including the
dorsolateral mesoderm and
fragments containing only the
ventral mesoderm.
(B) Autoradiogram of northern
transfer analysis of nucleic acid
extracts from erythrocytes of
stage 54 tadpoles, dorsal (d)
and ventral (v) fragments of
stage 32 embryos (day 0) and
the corresponding partial
larvae (d) and vesicles (v)
obtained in culture (day 3) as
well as from partial larvae
(dip) and vesicles (vm) that
developed from dorsal
fragments with dorsolateral
mesoderm and ventral
fragments with ventral
mesoderm only. The samples
correspond to two of each embryonic fragments, partial larvae or vesicles. For hybridization a mixture of P-nicktranslated
inserts of pXGL9 and pXGL19, specific for the most abundant larval a'-globin mRNAs, were used.
Fig. 5. Distribution of larval- and adult-specific ar-globin
mRNA in erythropoietic tissues of tadpoles undergoing
metamorphosis. Autoradiograms of northern transfer blots
from an erythropoietic screening experiment (A) and a fine
timing experiment (B). For these experiments, two
different batches of tadpoles were used. Nucleic acid
extracts from liver (L), kidney (K) and blood cells (B)
were analyzed in aliquots, representing tissue equivalents
of 1 fig DNA. 32P-nick-translated inserts of pXGL19 and
pXGA5 were used for detection of the major larval- and
adult-specific o^globin mRNA, respectively.
57-58=premetamorphic, 59-66=metamorphic stages,
F=adult.
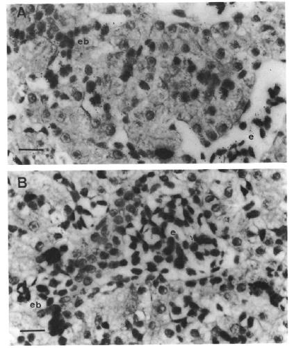
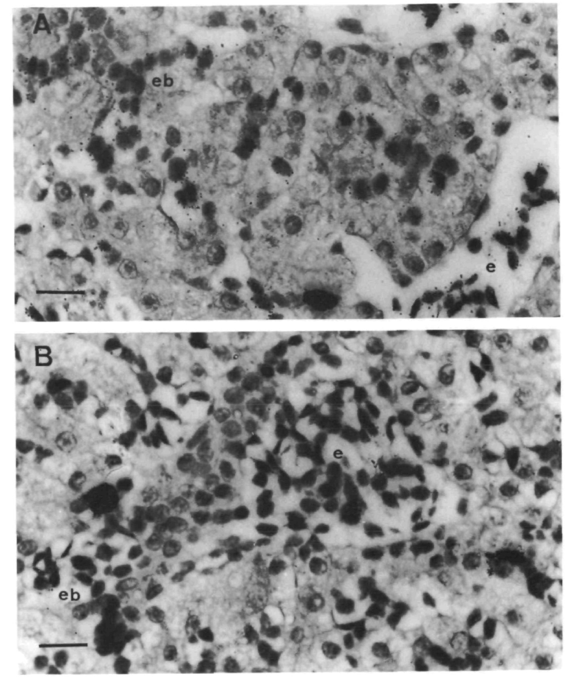
Fig. 6. Localization of adult
globin-mRNA in the tadpoleliver at metamorphosis.
Autoradiogram of liver section
of stage 59 tadpole after in situ
hybridization with 3H-labelled
anti-adult an-globin mRNA
(A) and the corresponding
sense-mRNA (B). eb,
erythroblasts; e, mature
erythrocytes. Bar=20^m.
Fig. 7. Tentative model of the ontogeny of erythropoiesis
and globin gene expression in Xenopus laevis. For
explanation see text.