XB-ART-2402
Cell
2005 Jan 28;1202:223-35. doi: 10.1016/j.cell.2004.11.051.
Show Gene links
Show Anatomy links
Shisa promotes head formation through the inhibition of receptor protein maturation for the caudalizing factors, Wnt and FGF.
Yamamoto A, Nagano T, Takehara S, Hibi M, Aizawa S.
???displayArticle.abstract???
Head formation requires simultaneous inhibition of multiple caudalizing signals during early vertebrate embryogenesis. We identified a novel antagonist against Wnt and FGF signaling for head formation, Shisa, which functions cell autonomously in the endoplasmic reticulum (ER). Shisa is specifically expressed in the prospective head ectoderm and the Spemann organizer of Xenopus gastrulae. Overexpression of Shisa inhibited both Wnt and FGF signaling in Xenopus embryos and in a cell line. Loss of Shisa function sensitized the neuroectoderm to Wnt signaling and suppressed head formation during gastrulation. Shisa physically interacted with immature forms of the Wnt receptor Frizzled and the FGF receptor within the ER and inhibited their posttranslational maturation and trafficking to the cell surface. Taken together, these findings indicate that Shisa is a novel molecule that controls head formation by regulating the establishment of the receptors for caudalizing factors.
???displayArticle.pubmedLink??? 15680328
???displayArticle.link??? Cell
Species referenced: Xenopus
Genes referenced: acss2.2 acvr1 acvr2a avd calr chrd dkk1 dvl2 egr2 fgf2 fgf4 fgfr1 frzb fzd7 fzd8 lrp6 mapk1 mix1 myc otx2 shisa1 shisa1.2 shisa2 six3 sox2 tbxt wnt3a wnt8a
???displayArticle.morpholinos??? shisa1.1 MO1
???attribute.lit??? ???displayArticles.show???
|
|
Figure 1. A Novel Protein Shisa and Its mRNA Expression in the Prospective Head Ectoderm and the Organizer of Xenopus Gastrulae (A) Schematic structure of Shisa. SP, N-terminal signal peptide; CD, conserved domain; NCD, nonconserved domain; Cy, cysteine-rich domain. (B) Secretion of Shisa. Western blotting of conditioned medium or cell lysate from HEK 293T cells transfected with shisa-Flag or nuclear-lacZ (control). Molecular weight of secreted Shisa-Flag is 30 kDa. (CâDâ²) ER localization of Shisa. HEK 293T cells transfected with shisa-Myc (CâCâ´) or a cryosection of the late blastula stage embryo radially injected with 50 pg of shisa-Flag RNA (DâDâ²) were stained for Shisa (green) and an ER marker calreticulin (red). (E) Developmental Northern blotting of shisa mRNA. Stages of samples are indicated at top. Hybridization with 32P-labeled shisa cDNA is in the middle. Ethidium bromide staining of 28S RNA is at the bottom. (FâL) Whole-mount in situ hybridization of shisa transcripts. (F, G, J, and K) Sagitally sectioned embryos of stage 10.5 (F) and stage 11.5 (G, J, and K). shisa expression was found in the Spemann organizer of the early gastrulae. In the prospective head ectoderm at mid-gastrula (stage 11.5, according to the developmental time schedule), 55% of the embryos displayed predominant shisa mRNA expression in the internal sensorial layer (ISL in [J]), while 45% had the expression in both superficial layer (SFL) and ISL (K, n = 30). This may be due to slight differences in the developmental stage of each embryo. Arrowheads in (G) indicate blastoderm margin. HE: head ectoderm. (H and L) Dorsal view (H) and sagittally sectioned embryos (L) at the end of gastrulation (stage 13), showing that shisa expression covered the anterior head ectoderm (H) of both ISL and SFL (L). PPL: prechordal plate. (I) Sagittally sectioned neural plate stage (stage 17) showing downregulated shisa expression in the head ectoderm and persistence in the prechordal plate (indicated by arrow). |
|
|
Figure 2. Shisa Promotes Head Formation and Inhibits Wnt and FGF Signaling (A) Radial injection of shisa RNA (50 pg) into the animal side of each blastomere at the 4-cell stage. Note the enlargement of the cement gland and the anterior brain structure (100%, n = 120). Co: uninjected embryo. (B) A dorsal single blastomere injection of shisa RNA (50 pg) induced the ectopic otx2 expression indicated by arrow (stage 13, 100%, n = 65). (C) Radial injection of shisa RNA (200 pg) impaired trunk formation as well as expanded head structure (95%, n = 80). (D) A single blastomere injection of shisa RNA (200 pg) into the marginal zone. Arrows indicate reduced Xbra expression. (100%, n = 45). (E) Ventral marginal zone injection of tBR RNA (250 pg) alone induced secondary trunk structure (55%, n = 82). (F) Coinjection of shisa (50 pg) RNA with tBR RNA (250 pg) induced secondary head structures (53%, n = 56). (G) Histological section of the induced secondary head. Arrows and arrowheads indicate eyes and the enlarged cement gland, respectively. (H) Shisa inhibited Wnt signaling upstream of Dsh. Xwnt8 (1 pg), dsh (50 pg) dngsk3 (25 pg), or β-catenin (25 pg) RNAs were radially injected either alone or together with shisa (50 pg) RNA into each animal blastomere at the 8-cell stage. Animal cap explants (ACs) were isolated at late blastula. RT-: PCR with cDNAs synthesized without reverse transcriptase. (I) Shisa downregulated Xbra expression but not mix2 in ACs treated with Activin. Lane 1: whole embryo. Lane 2: ACs cultured without Activin. Lanes 3â7: ACs were treated with Activin. RNAs (lane 4, shisa 100 pg; lane 5, dnfgfr 100 pg; lane 6, dkk-1 100 pg; lane 7, frzb-1 100 pg per blastomere) were injected as described in (H). (J) Shisa inhibited FGF4-mediated Xbra induction. fgf4 (0.05 pg per blastomere) RNA was injected either alone or together with shisa RNA as described in (H). Lane 1: whole embryo. Lane 2: control ACs. Lane 3: fgf4 alone. Lanes 4â8: with shisa RNA (Lane 4, 12.5 pg; Lane 5, 25 pg; Lane 6, 50 pg; Lane 7, 100 pg; Lane8, 200 pg per blastomere). (K) Shisa inhibited MAPK activation in ACs treated with FGF2. Lane 1: ACs cultured without FGF. Lanes 2â4: ACs treated with FGF2. RNAs (lane 3, dnfgfr 100 pg; lane 4, shisa 100 pg per blastomere) were injected as described in (H). (L) Shisa did not inhibit constitutively activated ras-induced MAPK activation. ras (V12) RNA (10 pg per blastomere) was injected either alone or together with shisa RNA (lane 3, 25 pg; lane 4, 50 pg; lane 5, 100 pg; lane 6, 200 pg per blastomere) as described in (H). |
|
|
Figure 3. In Vivo Requirement of Shisa in Head Formation (A) shisa-MO (20 ng) specifically inhibited the translation of overexpressed shisa-Flag RNA (100 pg) in animal halves explanted at gastrula stage. Tubulin and Actin proteins were served as specificity controls. (BâD) shisa-MO reduced ectodermal otx2 expression but not that of endomesoderm at mid-gastrula (Stage 11.5). Twenty nanograms of shisa-MO (C) or shisa-MO in combination with 10 pg of shisa RNA (D) was injected into both blastomeres at 2-cell stage. Embryos injected with COMO served as a control (B). White arrowheads indicate the prospective head ectoderm. (EâI) shisa-MO injection reduced expression of otx2 and six3 but not that of sox2 at the end of gastrulation. Twenty nanograms of COMO (F and H) or shisa-MO (E, G, and I), together with nuclear lacZ mRNA (200 pg), were injected at the 2-cell stage into a single blastomere. β-galactosidase activity was visualized by red staining. Probes used were otx2 (E), six3 (F and G), and sox2 (H and I). (JâLâ´) shisa-MO injections suppressed head formation. Lateral (J, Jâ², K, Kâ², L, and Lâ²) and frontal (Jâ², Jâ´, Kâ², Kâ´, Lâ², and Lâ´) views of tail bud stage. Embryos were injected with COMO (JâJâ´), shisa-MO (KâKâ´), or shisa-MO with shisa RNA (LâLâ´) as described in (B)â(D). In situ hybridizations with otx2 and krox20 are (Jâ²), (Jâ´), (Kâ²), (Kâ´), (Lâ²), and (Lâ´). White arrows and arrowheads in (Jâ²) and (Jâ´) indicate otx2 expression in the telencephalon and midbrain, respectively. Black arrows and arrowheads indicate krox20 in the rhombomeres 3 and 5, respectively. (MâNâ²) Partially restored otx2 expression in shisa-MO injected embryo at early neurula. shisa-MO was radially injected at 4-cell stage and otx2 expression was analyzed at stage 11.5 (Mâ²) and stage 15 (Nâ²). (M) and (N) give the expression in control embryos. (O) Wild-type embryo at tadpole stage. (P) Embryo injected shisa-MO as in (B). (Q) Animal radial injection of shisa-MO at 4-cell stage. (R) Vegetal radial injection of shisa-MO. |
|
|
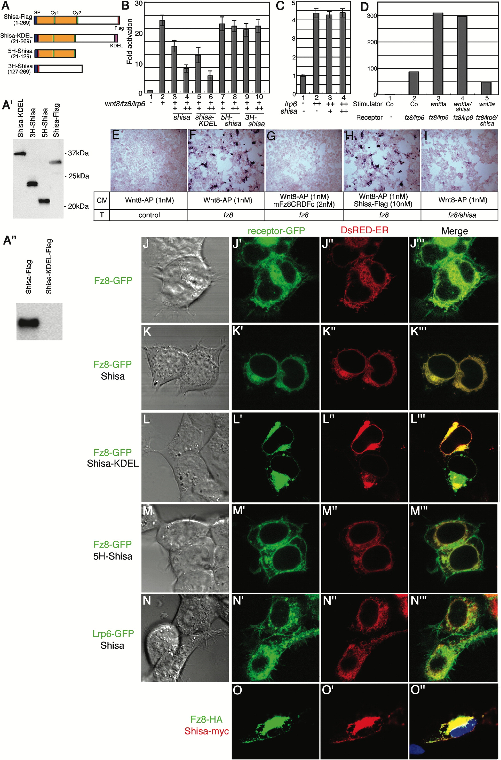
Figure 4. Shisa Cell-Autonomously Inhibits Wnt Signaling by Retaining Fz within the ER (A) Schematic drawing of Shisa, fused with the ER retention KDEL signal, and deletion constructs employed. Shisa-KDEL, 5H-Shisa, and 3H-Shisa were generated by fusing a cassette containing a heterologous signal peptide followed by a Flag sequence to shisa cDNA fragments. Numbers in parentheses indicate corresponding Shisa amino acid residues. (Aâ²) Western blotting with α-Flag mAb shows equivalent protein productions of each construct. Cells were transfected with each construct (100 ng) in 12-well plate. (Aâ²) KDEL signal suppressed secretion of Shisa. Cells were transfected as in (Aâ²). (B) Shisa and Shisa-KDEL, but not 5H- and 3H-shisa, inhibited TOPFLASH reporter activation induced by XWnt8-Fz8-Lrp6 expression. Luciferase activities are indicated as fold activation/repression compared with the activity obtained from cells transfected with empty-vector and reporter (lane 1). Each experiment was carried out at least in triplicate, and error bars represent the standard deviation. Transfection was carried out in a 96-well plate with DNAs (per well): TOPFLASH reporter, 10 ng; nlacZ, 1 ng; Xwnt8, 5 ng; fz8, 1 ng; lrp6, 1 ng; shisa, shisa-KDEL, 5H-shisa, and 3H-shisa, 5 ng (+) or 25 ng (++). (C) Shisa failed to inhibit the signaling induced by a high dose of Lrp6 alone. DNA used: lrp6, 20 ng; shisa 5 ng for lane 3; and 25 ng for lane 4. (D) Shisa cell-autonomously inhibited Wnt signaling in the cells receiving the signal. Stimulator and receptor cells were transfected separately and mixed in the combination presented at the bottom of the figure. Co: Cells transfected with the empty-vector alone. DNA used: mwnt3a, 500 ng; fz8, 8 ng; lrp6, 8 ng; TOPFLASH reporter, 80 ng; nlacZ, 8 ng; shisa, 200 ng. (EâI) Shisa suppressed Wnt8-AP and Fz8 interaction. Live cells were stained with 1 nM of Wnt8-AP. Cells in an 8-well chamber slide were transiently transfected with DNAs: fz8, 2 ng; shisa, 50 ng. CM, condition media used. T, construct used for transfection. (JâOâ²) Confocal immunofluorescent images of HEK 293T cells. Phase contrast images were (J), (K), (L), (M), and (N). ER was marked by DsRedER in (Jâ²), (Kâ²), (Lâ²), (Mâ²), and (Nâ²). (JâJâ´) Transfected with fz8-GFP (green) (cell surface expression of Fz, n = 100, 98%). (KâKâ´) Transfected with fz8-GFP and shisa (ER retention of Fz, n = 100, 90%). (LâLâ´) Transfected with fz8-GFP and shisa-KDEL (ER retention of Fz, n = 100, 84%). (MâMâ´) Transfected with fz8-GFP and 5H-shisa (cell surface expression of Fz, n = 100, 92%). (NâNâ´) Transfected with lrp6-GFP and shisa (cell surface expression of Lrp6, n = 100, 86%). (OâOâ²) Transfected with fz8-HA and shisa-myc (colocalization, n = 100, 84%). Cells were transfected in an 8-well glass chamber with DNAs: fz8-GFP, 2 ng; Lrp6-GFP, 2 ng; fz8-HA, 2 ng; shisa, 50 ng; shisa-KDEL, 50 ng; 5H-shisa, 50 ng; shisa-Myc, 50 ng; pDsRed-ER, 10 ng. |
|
|
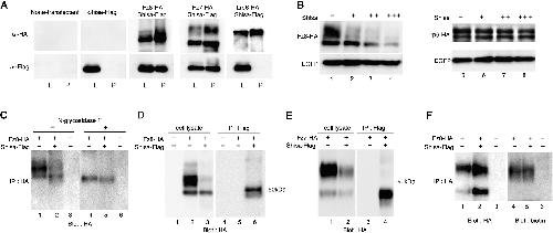
Figure 5. Effect of Shisa on Biochemical Property of Fz (A) Shisa physically interacted with Fz8 and Fz7. Lysate of cells expressing proteins (indicated at top) was immunoprecipitated with rabbit α-HA Ab and blotted with rat α-HA mAb or mouse α-Flag mAb. Lysate (L) and the precipitate (P) were assayed for the presence of Shisa (bottom) or the receptor (top). Lysate and precipitate of none-transfectant served as a control for immunoprecipitation and Western blotting. (B) Shisa reduced the molecular weight and protein expression of Fz8 but not that of Lrp6. Transfection was carried out in a 12-well plate with DNAs: fz8-HA, 20 ng; lrp6-HA, 20 ng; EGFP, 100 ng; shisa, 100 ng (lanes 2 and 6), 200 ng (lanes 3 and 7), or 400 ng (lanes 4 and 8). (C) Molecular weight change of Fz8 was caused by impaired glycosylation. Immunoprecipitated Fz8-HA with rabbit α-HA Ab was treated with N-glycosidase F (lanes 4 and 5) and blotted with rat α-HA mAb. (D and E) Fz8 (D) and Fz7 (E) coimmunoprecipitated with Shisa were low molecular weight forms only. Lysate of cells expressing indicated proteins at top was immunoprecipitated with α-FLAG mAb and blotted with rabbit α-HA Ab. (F) Biotinylation of cells expressing Fz8-HA with or without Shisa. The levels of biotinylated Fz8 in the immunoprecipitate by rabbit α-HA Ab were determined by probing the blots with avidin-peroxidase conjugate (right). Except (B), cells were transfected in a 6-well plate with DNAs: fz8-HA, 100 ng; fz7-HA, 100 ng; lrp6-HA, 100 ng; shisa-Flag, 200 ng. |
|
|
Figure 6. Role of Shisa in Fz Receptor Presentation and Wnt Signaling Attenuation (A, B, and DâI) Confocal images of live ACs. (A and B) Radial injection of fz8-GFP RNA (10 pg) alone (A) or together with shisa RNA (20 pg) (B) into the each blastomere at 4-cell stage. (C) Radial injection of fz8-HA RNA or lrp6-HA RNA (20 pg) together with GFP RNA (50 pg). Increased amount of shisa RNA (lanes 2 and 6, 5 pg; lanes 3 and 7, 10 pg; lanes 4 and 8, 20 pg) reduced molecular weight and expression of Fz protein. ACs of late blastula were lysed and blotted with rabbit α-HA Ab or α-GFP mAb. (DâF) Coinjection of fz8-GFP and shisa RNA together with DsRed-ER RNA (50 pg). Shisa-mediated Fz8 accumulation was colocalized with DsRed-ER. (GâI) Radial injection of fz8-GFP and chd RNA (25 pg) (G) or together with 10 ng of shisa-MO (H). Knockdown of Shisa reduced accumulation and promoted cell surface expression of Fz8-GFP. Additional injection of shisa RNA (10 pg) restored the accumulation of Fz8-GFP in the cytoplasm (I). (J) Cell mixing assay of AC blastomere. Stimulator and receptor cells were prepared from the five ACs radially injected with wnt3a RNA (30 pg per blastomere) and with DNA or RNA listed at the bottom of figure together with TOPFLASH reporter (25 pg) and lacZ RNA (5 pg), respectively. Theses cells were combined at stage 11.5 and further incubated for next 3 hr. Co: ACs from uninjected embryos. (K) Fz8-GFP and shisa-MO synergistically promoted posterior and suppressed anterior neural fate in chd-injected ACs. ACs injected with MO and RNA indicated at top of figure were analyzed for expressions of regional neuroectodermal markers at the stage 13. |
|
|
Figure 7. Shisa Inhibits Protein Maturation of FGFR (A) Shisa physically interacted with FGFR but not with ActRI or ActRII. Immunoprecipitation analysis was carried out as described in Figure 5. Cells were transfected in a 6-well plate with DNAs: fgfr-HA, 300 ng; ActRI-HA, 100 ng; ActRII-HA, 10 ng; shisa-Flag, 200 ng. (B) Coimmunoprecipitated FGFR-HA with Shisa was low molecular weight form only. (CâDâ´) Confocal images of live HEK 293T cells show the cellular localization of FGFR-GFP (green) and DsRed-ER (Red). Cells were transfected in an 8-chamber slide with DNAs: fgfr-GFP, 20 ng; shisa, 50 ng; pDsRedER, 10 ng. (CâCâ´) Transfectant of fgfr-GFP (cell surface expression of FGFR, n = 100, 95%). (DâDâ´) Transfected fgfr-GFP with shisa (ER retention of FGFR, n = 100, 92%). (E) Shisa inhibited tyrosine-phosphorylation of FGFR. After stimulation with FGF2, lysate of cells expressing DNAs indicated at top was immunoprecipitated with rabbit α-HA Ab and was blotted with rat α-HA mAb (left) or mouse α-phosphotyrosine mAb (right). |
|
|
Supplemental Figure S1. . Alignment of Predicted Amino Acid Sequences of Shisa Homologs (A) Identities of amino acid sequence (%) of Xenopus Shisa to homologs in other species. The identities of the conserved domain (CD) in the amino half and nonconserved domain (NCD) in the carboxy half are shown separately. (B) Amino acid alignment of Shisa homologs. Red letters indicate the conserved amino acid residues among all family members. The amino acid identity and regularity of cysteine spacing are well conserved in the CDs. Arrowheads indicate possible signal peptide cleavage sites. |
|
|
Supplemental Figure S2. Shisa Condition Medium Has No Effect on the Fz8 Localization Fz8 GFP-expressing HEK 293T cell were incubated for 30 min at 37°C with condition media, containing 5 nM of Shisa-Flag protein, or of lacZ plasmid transfectant. Both condition media had no effect on the cellular localization of Fz8 protein. |
|
|
loc100489554 (protein shisa-1) gene expression in Xenopus laevis embryo, assayed via in situ hybridization, NF stage 11.5, lateral view of bisected embryos, anterior up, dorsal right. |
|
|
loc100489554 (protein shisa-1) gene expression in Xenopus laevis embryo, assayed via in situ hybridization, NF stage 17, lateral view, anterior left, dorsal up. |
References [+] :
He, Antagonizing Wnt and FGF receptors: an enemy from within (the ER). 2005, Pubmed , Xenbase
Schlesinger, ER retention of signaling modules. 2005, Pubmed , Xenbase
