|
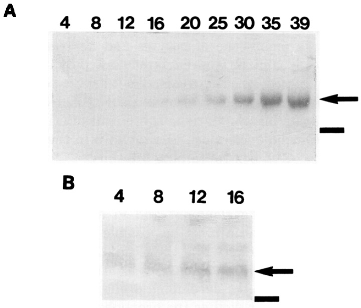
FIG. 1. Developmental Western. Protein extracts from differentstaged
embryos were run on 7.5% SDS-PAGE gels, blotted to nylon
membrane, and stained with xlcaax-1 antisera. The numbers at the
top of each lane indicate the stage number, the arrow indicates the
IlO-kDa major band and the bar represents the 98-kDa marker: (A)
100 pg of protein loaded per lane; (B) 250 Kg of protein loaded per lane. |
|
FIG. 2. In situ hybridization. (A) Section of a stage 26 embryo stained with Azur B. (B) Adjacent section of stage 26 embryo hybridized with
xlcaax-1 anti-sense RNA probe showing specific epidermal hybridization. (C) Section of pronephros of stage 46 embryo stained with Azur B. (D)
Adjacent section of stage 46 embryo hybridized with xlcaax-1 anti-sense RNA probe showing specific hybridization in the pronephros. There
was no specific hybridization with control, sense RNA probes (data not shown). Magnification (Magn.) of A and B is 100X. Magn. of C and D is 250x |
|
FIG. 3. Whole-mount immunocytochemistry of embryos. (A) Skin dissected from stage 25 whole-mount embryo labeled with antigen affinity purified L13 pAb (see Materials and Methods). (B) Skin dissected from control stage 25 whole-mount embryos labeled with antigen affinity-purified preimmune sera. (C) Stage 41 whole-mount embryo stained with xlcaax-1 pAb. The arrows indicate the specific staining of the pronephric
tubule. (D) Control stage 41 whole-mount embryo. Arrows indicate pronephric area with no specific staining. (E) Higher magnification of stage 41 pronephros. al, ascending limb; act, anterior convoluted tubule; dl, descending limb, w, wolffian duct. (Parts of pronephros from Tytler, 1933). Magn. of A and B is 1000~. Magn. of C and D is 25X. Magn. of E is 60X. |
|
FIG. 4. Accumulation of xlcaax-1 protein in differentiated skin, pronephros and mesonephros. Immunocytochemistry of embryonic tissue sections stained with the L13 pAb. (A) Stage 15/16 embryos, arrows indicate undifferentiated outer ectoderm. (B) Stage 23/24 embryo, arrows indicate differentiated epidermis with basolateral xlcaax-1 staining. (C) Stage 29136 embryo, arrows indicate pronephric tubules in initial stages of differentiation. (D) Stage 35 embryo, arrows indicate differentiated pronephric tubules. (E) Stage 47/48 embryo, arrows indicate undifferentiated mesonephric tissue, open arrows indicate the pronephric ducts. (F) Stage 49 embryo showing specific xlcaax-1 staining in the tubules, open arrow indicates the pronephric duct, curved arrow indicates the distal tubule, arrow indicates the proximal tubule, s, skin. Magn. is 500X. |
|
FIG. 5. Xlcaax-1 protein is found in epidermally derived tissues. (A) Sagittal section of stage 49 embryo stained with the xlcaax-1 pAb, the
roman numerals indicate and are located above the ganglia of cranial nerves V/VII, VIII, and IX/X, m, medulla, n, notochord. (B) Section from
same embryo as in A, arrows indicate the optic nerve (cranial nerve II) which does not stain with the L13 pAb. (C) Section from same embryo as
in A, arrow indicates spinal ganglia which does not stain, SC, spinal cord. (D) Stage 43 embryo stained with the xlcaax-1 pAb, arrow indicates the
olfactory nerve (cranial nerve I), oe, olfactory epithelium, t, telencephalon. (E) Stage 43 control embryo, arrows indicate olfactory nerve. (F)
Stage 49 cranial ganglia IX/X, arrows indicate the area stained with xlcaax-1 pAb. (G) Control stage 49 cranial ganglia IX/X. (H) Stage 30
embryo, arrows indicate lens primordia, s, skin, ov, optic vesicle. (I) Stage 37/38 embryo, arrows indicate regions of the lens which stain with
xlcaax-1 pAb, 1, lens, oc, optic cup, s, skin. Magn. of A is 100X. Magn. of B, C, D, and E is 400X. Magn. of F, G, H, and I is 500X. |
|
FIG. 6. Western blot of adult tissues, Xenopus tissues culture cells, and bacterially produced protein. Protein extracts were run on a 7.5%
SDS-PAGE gel, transferred to nylon membrane, and stained with L13 anti-sera. B, bacterially produced protein; x, Xtc tissue culture cells; k3,
k2 tissue culture cells; ub, urinary bladder; k, kidney; s, skin; 1, lung; o, ovary; od, oviduct; li, liver; h, heart; p, pancreas; m, muscle; br, brain; e,
eye; g, gut; sp, spleen; gl, gall bladder. The arrow indicates the llO-kDa major band and the bar indicates the location of the 9%kDa marker.
There is 100 pg of protein loaded per lane. |
|
FIG. 7. Xlcaax-1 staining in the distal tubule of the kidney. (A) Section of adult kidney stained with L13 pAb, box indicates region shown in C.
(B) Control section of adult kidney. (C) High magn. of boxed area in A, arrows indicate the basolateral membrane, box indicates region shown in
Fig. 8. d, distal tubule; p, proximal tubule; g, glomerulus; n, nucleus; lu, lumen. Magn. of A and B is 160~. Magn. of C is 1000X. |
|
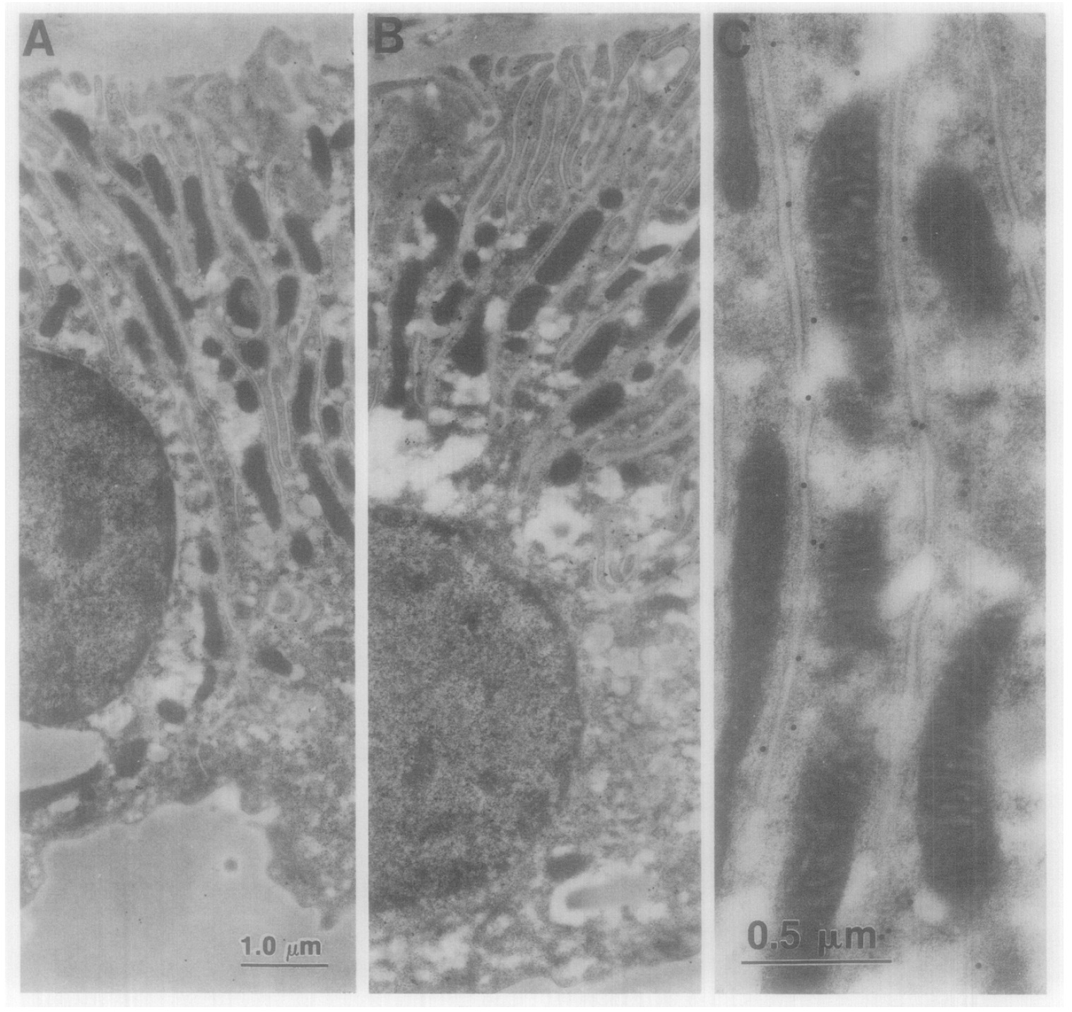
FIG. 8. Electron microscopy of distal tubule. (A) Preimmune, Protein A purified IgC control. (B) L13 pAb specific binding over the basal
infoldings of the plasma membranes of distal tubules. (C) High magnification showing localization to the cytoplasmic aspect of the basal
plasma membrane infoldings. Magn. of A and B is 14,909~. Magn. of C is 49,799x. |
|
FIG. 9. Xlcaax-1 localization in adult tissues. (A) Section of skin stained with L13 pAb, arrows show the region of the plasma membranes, Kl,
keratinized layer; bl, basal layer. (B) Adjacent, control section of skin. (C) Section of urinary bladder, arrows indicate basolateral xlcaax-1
staining, lu, lumen. (D) Adjacent, control section of urinary bladder. (E) Section of stomach parietal glands stained with L13 pAb, arrows
indicate the region of the lateral membranes. (F) Adjacent, control section of stomach parietal glands. Magn. of A and B is 1000X. Magn. of C
and D is 1000X. Magn. of E and F is 500X. |