Click here to close
Hello! We notice that you are using Internet Explorer, which is not supported by Xenbase and may cause the site to display incorrectly.
We suggest using a current version of Chrome,
FireFox, or Safari.
???displayArticle.abstract???
Differential adhesion between embryonic cells has been proposed to be mediated by a family of closely related glycoproteins called the cadherins. The cadherins mediate adhesion in part through an interaction between the cadherin cytoplasmic domain and intracellular proteins, called the catenins. To determine whether these interactions could regulate cadherin function in embryos, a form of N-cadherin was generated that lacks an extracellular domain. Expression of this mutant in Xenopus embryos causes a dramatic inhibition of cell adhesion. Analysis of the mutant phenotype shows that at least two regions of the N-cadherin cytoplasmic domain can inhibit adhesion and that the mutant cadherin can inhibit catenin binding to E-cadherin. These results suggest that cadherin-mediated adhesion can be regulated by cytoplasmic interactions and that this regulation may contribute to morphogenesis when emerging tissues coexpress several cadherin types.
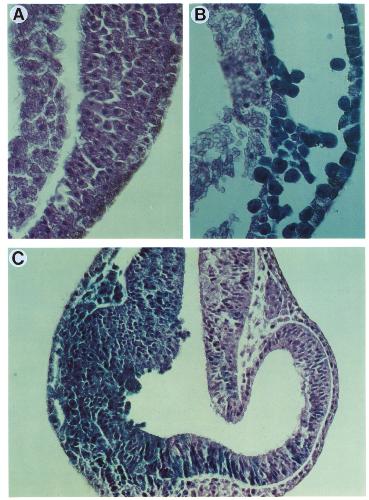
Figure 1. Histology of Embryos Expressing Various Forms of N-Cadherin
Embryos were injected with RNA encoding various forms of N-cadherin and then processed for histology by embedding in plastic and staining with
methylene blue.
(A) Shown is a section through a control embryo at late gastrulation to illustrate the normal morphology of the outer occluding epithelium in the
ectodermal cell layer. The outer surface is oriented toward the top of the photograph.
(6) Shown is a section from an embryo at a similar age as in (A) but injected with 1 .O ng of N-cadherin RNA (Detrick et al., 1990). The outer occluding
epithelium is oriented as in the photograph shown in (A). Note that the morphology of the ectodermal cells in both layers is altered relative to the
control and that contacts between cells in the outer layer are perturbed.
(C) Shown is a section from an embryo injected with N-cadAE RNA and processed for histology at the same stage as the embryo in (A). The outer
occluding epithelium is oriented toward the right side of the photograph. Note that the integrity of the entire ectodermal layer is completely lost in
these embryos.
Figure 2. Schematic Diagram of the Dominant-
Negative Mutants of N-Cadherin
The mutant Ntadherin called N-cadAE (extracellular)
was generated by removing the sequences
between two BamHl sites in an N-cadherin
cDNA (Detrick et al., 1990). This in-frame
deletion removes most of the sequences encoding
the extracellular domain downstream
of the signal peptide and just upstream of the
transmembrane domain (top diagram). The
second diagram from the top also shows the
location of the peptide sequence used to generate
the PEP.1 antibody (Choi et al., 1990) and
the portion of the intracellular domain that contains
the catenin-binding region (Ozawa et al.,
1990). The extracellular cysteines in N-cadAE
(Cys) were converted to serines to yield a second
mutant of N-cadherin called N-cadAC
(third diagram from the top). Finally, increasingly
larger portions of the cytoplasmic domain
were deleted from N-cadAC. Each deletion is
designated by the number of amino acids remaining
in the cytoplasmic tail, which is 161
aa long in the intact N-cadherin polypeptide.
Internal deletions are designated by the stretch
of amino acids in the cytoplasmic domain that
were removed.
Figure 3. Micrographs of Sections Prepared from Embryos Injected with Limiting Amounts of NcadAE RNA
Embryos were injected with varying amounts of N-cadAE along with a small amount of b-galactosidase RNA (see Experimental Procedures).
Embryos were fixed at different stages, stained with X-Gal, sectioned in paraplast, and counterstained with hematoxylin eosin. (A) A transverse
section of a control embryo at stage 14 showing a region near the neural plate. (6) A transverse section of an embryo from the same region shown
in (A) but injected with approximately 10 pg of RNA and processed at stage 14 for histology. Note that the inner cells show signs of dissociation,
while the outer cells have remained relatively intact. X-Gal staining (blue) shows that both layers have received the injected RNA. (C)Shown is an
example of a mild NtadAE phenotype in an embryo processed at early tadpole stages. This section gives a cross-sectional view through anterior
regions of the embryo at the level of the forming eye cup. Note that the cytoarchitecture of the nervous system in the area of RNA injection as
indicated by X-Gal staining is disorganized relative to the control side.
Figure 4. Western Analysis of Embryos Injected with Mutant Forms
of N-Cadherin
Extracts were prepared under reducing (+) and nonreducing (-) conditions
at mid gastrulation from embryos injected with different amounts
of RNA encoding different forms of N-cadherin. Extracts from approximately
5 embryos were electrophoresed in a 10% polyacrylamide gel
containing SDS, electrophoretically transferred to a nylon membrane,
and reacted with the anti-PEP.1 antibody. Sound antibody was detected
using chemoluminescence and autoradiography. The left side
of the figure shows the position of molecular weight markers. The right
side designates the position of various cadherin species. Extracts from
control embryos contain one band corresponding to the maternal cadherin
(lanes 1 and 2). Extracts prepared under reducing conditions
from embryos injected with N-cadAE RNA contain one additional band
(lanes 3 and 5). The levels of the N-cadAE protein are approximately
the same as the level of the maternal cadherin when embryos are
injected with IO pg of N-cadAE RNA (lane 5) and are approximately
50-fold higher when injected with 1 ng of N-cadAE RNA (lane 3). Extracts
prepared from embryos injected with N-cadAE RNA under nonreducing
conditions contain additional bands (lane 4). The most prominent
of these bands is a putative homodimer of the N-cadAE protein.
When embryos are injected with RNAs encoding both a shortened
N-cadAE (AgE/T70) and the intact N-cadhE (in a ratio of lO:l, respectively),
a heterodimer smaller in size than the homodimer is observed
(lane 6). The intensity of the bands corresponding to the heterodimer
and the homodimer varies appropriately in extracts of embryos injected
with different ratios of RNAs encoding the intact and shortened version
of the N-cadAE (data not shown). The identities of the minor bands
observed in lanes 4 and 6 are unknown, but they could represent
breakdown products of N-cadAE.
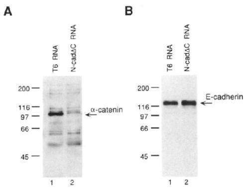
Figure 5. Binding of a-Catenin to E-Cadherin
E-cadherin RNA (100 pg) was injected into embryos along with either
N-cadAC RNA (1 ng) or 16 RNA (1 ng). Ecadherin and associated
proteins were immunoprecipitated from extracts prepared from RNAinjected
embryos at mid gastrulation, separated by electrophoresis in
15% acrylamide gels containing SDS, and electrophoretically transferred
to nylon membranes.
(A) Membrane probed with an a-catenin antibody (Herrenknecht et al.,
1991) using chemoluminescence and autoradiography. The autoradiogram
presented here was intentionally overexposed in order to show
all a-catenin reactivity above background. The high background in this
Western is likely to represent the fact that the immunoprecipitates were
washed under mild conditions, and the a-catenin antibody, like most
peptide antibodies, gives high background staining when used across
species. The left side of the figure shows the position of molecular
weight markers while the right side designates the position of a-catenin
(102 kd). Note that a-catenin is detected in immunoprecipitates of
E-cadherin from extracts of embryos expressing the T6 but not the
N-cadAC proteins.
(B) Membrane probed with aXenopus E-cadherin monoclonal antibody
(McCrea and Gumbiner, 1991) using chemoluminescence and autoradiography.
The left side of the figure shows the position of molecular
weight markers while the right side designates the position of the
E-cadherin (130 kd). Note that immunoprecipitates contain similar levels
of E-cadherin.