Click here to close
Hello! We notice that you are using Internet Explorer, which is not supported by Xenbase and may cause the site to display incorrectly.
We suggest using a current version of Chrome,
FireFox, or Safari.
???displayArticle.abstract???
We report the isolation and characterization of a Xenopus activin receptor (XAR1). The amino acid sequence of this protein shows extensive homology with a murine activin receptor. The mRNA is expressed maternally and is ubiquitously distributed during the early stages of embryogenesis. Consistent with a possible role in mesoderm induction and patterning, interference with the normal expression of the receptor by overexpression in the early embryo results in the formation of ectopic dorsal axial structures. During neurulation the XAR1 mRNA is expressed predominantly in the presumptive brain and spinal cord, suggesting an additional function for XAR1 in neurogenesis.
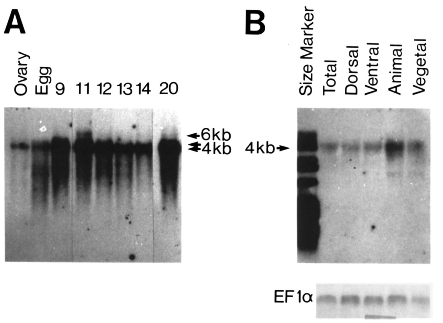
Fig. 3. Expression of XARl mRNA during development. A: Developmental
poly (A) Northern blot. The XARI transcript is expressed maternally
as a 4 kb doublet throughout development. A larger 6 kb zygotic
mRNA is detected at stage 11 and persists until stage 20. Arrows indicate
size of transcripts. This blot has been probed previously and shown to
contain comparable amounts of poly (A) RNA in all lanes (Hemmati-
Brivanlou et al., 1991). B: Spatial distribution of XARl RNA at blastula
(Stage 8). The EFla control shows that slightly less RNA was loaded in
the vegetal vs. animal iane in B. Five embryo equivalents of total RNA are
loaded in each lane. A shorter exposure of similar blots reveals a distinct
doublet at the 4 kb region, but this is not evident in the darker exposures
shown here.
Fig. 4. Spatial distribution of the XAR1 transcript during neurogenesis
detected by whole mount in-situ hybridization. A: At neurula stage 15 the
XARl transcript is detected in neuroectoderm. Arrows delineate the neural
plate. 6: Stage 21 neurula. XARl RNA is detected in the brain, eyes,
and spinal cord. C: Dorsal view of a stage 23 embryo. Strong expression
is detected in the CNS on each side of midline. D: Close-up view of XARl
RNA in the anteriorCNS. The arrows point to the hindbrain-spinal cord
junction. E: Stage 35 tadpole. Most of the transcript is localized in the
head of the embryo. F: Close-up view of the head of the same embryo.
Arrows point to the rhornbomeres of the hindbrain that show strong expression.
Expression can also be seen at the midbrain-hindbrain and
midbrain-forebrain junction, anterior wall of the forebrain, the eye (outside
of this focal plan), and mandibular arches and pharyngeal pouches. G:
Expression of XARl in the spinal cord of the same embryo as shown (E).
The RNA is expressed in cells aligned in the ventral side of the spinal
cord (arrows). Some cells in the midtrunk region of the dorsal fin are also
stained. H: A stage 24 neurula stained with XARl sense probe as a
control. All embryos presented are albino. In all cases, the dorsal side is
up and anterior is to the right. Panel (F) and (G) were taken under differential
interference contrast optics, all other panels were bright light
optics. sc = spinal cord, nc = notochord.
Fig. 5. Phenotype of embryos overexpressing the XARI mRNA. Panels
A and E present a collection of embryos injected in the equatorial
region and stained for a notochord (Mab Tor 70) and muscle (Mab 121
101) markers respectively. (A,B,C, and D) are stained with the notochord
Mab. (E,F,G, and H) are stained with the muscle Mab. The top of the
panels A and E as well as panels B and F are control uninjected embryos.
C and D are close up views of two of the embryos shown in A. G
and H are close-up views of two of the embryos presented in E. C,D,G,
and H show that injection of XARI RNA interferes with the normal development
of axial mesoderm by disturbing both notochord and somite
development. All embryos presented were lightly pigmented. Dorsal side
is up and anterior is to the left for all cases, except B, D, and H, where
anterior is to the right.
acvr2b (activin A receptor, type IIB) gene expression in Xenopus laevis embryo, assayed via in situ hybridization, NF stage 35, lateral view, anteriorright, dorsal up. Red arrows point to individual rhombomeres R1-R8, and highlight the segmented nature of the hindbrain.