Click here to close
Hello! We notice that you are using Internet Explorer, which is not supported by Xenbase and may cause the site to display incorrectly.
We suggest using a current version of Chrome,
FireFox, or Safari.
???displayArticle.abstract???
We have identified a novel frog gene, Pintallavis (the Catalan for lipstick), that is related to the fly fork head and rat HNF-3 genes. Pintallavis is expressed in the organizer region of gastrula embryos as a direct zygotic response to dorsal mesodermal induction. Subsequently, Pintallavis is expressed in axial midline cells of all three germ layers. In axial mesoderm expression is graded with highest levels posteriorly. Midline neural plate cells that give rise to the floor plate transiently express Pintallavis, apparently in response to induction by the notochord. Overexpression of Pintallavis perturbs the development of the neural axis, suppressing the differentiation of anterior and dorsal neural cell types but causing an expansion of the posterior neural tube. Our results suggest that Pintallavis functions in the induction and patterning of the neural axis.
Fig. 1. Nucleotide and amino acid
sequence of Pintallavis. (A)
Nucleotide sequence of a
Pintallavis cDNA. The translation
of the encoded open reading frame
is provided. The termination
codon is indicated by three stars.
The sequence is flanked by EcoRI
sites that may be derived from
cloning linkers. This sequence has
been entered into the EMBL and
GenBank data bases under the
accesion number X65171.(B)
Alignement of protein sequences
showing the conserved regions of
identity (overlined). Dots refer to
gaps included to allow maximal
matching of the five sequences.
Positions with two or more
conserved methionines in the
NH2-terminal region are also
denoted by overlining. The
location of the conserved
sequences used to design
degenerate oligonucleotides for
PCR are denoted by arrows. The
HNF-3 sequences are from Lai et
al. (1990, 1991) and E. Lai,
personal communication. The fork
head sequence is from Weigel et
al. (1989).
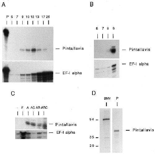
Fig. 2. Temporal expression, induction and translation of Pintallavis RNA. (A) Temporal expression of Pintallavis RNA during
embryonic development assayed by RNase protection. P, probe. Numbers refer to embryonic stages. 6-7, early blastula; 9, late blastula;
10, early gastrula; 12, midgastrula; 13, late gastrula-early neurula; 17, neurula; 26, late tailbud. The profile of EF-I alpha shows low
maternal levels of expression which start to increase at the late blastula stage (stage 9). (B) Pintallavis is first expressed at the midblastula
transition as assayed by RNase protection. Numbers refer to embryonic stages. The midblastula transition occurs at stage 8. Note that EFI
alpha transcripts increase rapidly after the midblastula transition. (C) Pintallavis RNA is induced in animal caps by activin (A) but it is
not detected in untreated animal caps (-) or caps induced by bFGF (F). RA treatment (10-8M) of activin-induced animal caps (AR)
decreases the level of Pintallavis expression. Cycloheximide treatment of activin-induced animal caps (AC) does not affect Pintallavis
expression, while simultaneous treatment of activin-induced caps with cycloheximide and RA (ARC) prevents the repression of
Pintallavis RNA levels observed after RA treatment. Note that cycloheximide treatment results in consistently lower levels of EF-I alpha
transcripts. All samples were assayed at stage 10 with the exception of animal caps treated with FGF, which were assayed for Pintallavis
expression at stage 20. At stage 10, FGF-treated caps do not express Pintallavis RNA (not shown). In A-C the RNase-protection products
detected with the Pintallavis RNA probe include a major and one or two minor bands. All these bands are specific for the Pintallavis
probe with the weaker bands probably representing alternate digestion products proper of the conditions used or allelic variations of the
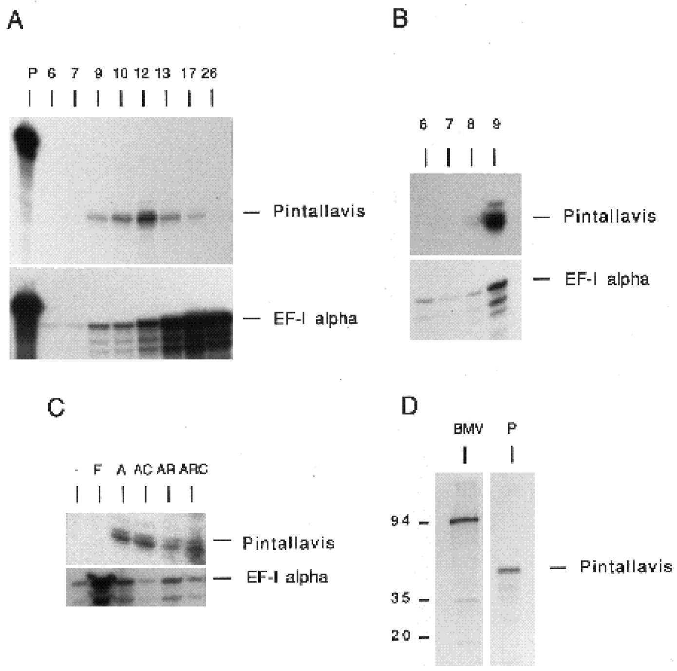
gene. (D) Translation of synthetic Pintallavis RNA (P) in reticulocyte lysates results in the production of a protein of ~40-45´103 Mr. As
control, the translation products of Bromo Mosaic virus RNA (BMV) are shown.