Click here to close
Hello! We notice that you are using Internet Explorer, which is not supported by Xenbase and may cause the site to display incorrectly.
We suggest using a current version of Chrome,
FireFox, or Safari.
???displayArticle.abstract???
We have cloned a cDNA encoding a novel polypeptide capable of inducing dorsal development in Xenopus embryos. RNA transcripts from this clone rescue normal development when injected into ventralized embryos and result in excessive head development at high doses. Therefore, we have named the cDNA noggin, noggin cDNA contains a single reading frame encoding a 26 kd protein with a hydrophobic amino-terminal sequence, suggesting that it is secreted. In Northern blot analysis this cDNA hybridizes to two mRNAs that are expressed both maternally and zygotically. Although noggin transcript is not localized in the oocyte and cleavage stageembryo, zygotic transcripts are initially restricted to the presumptive dorsal mesoderm and reach their highest levels at the gastrula stage in the dorsal lip of the blastopore (Spemann organizer). In the neurula, noggin is transcribed in the notochord and prechordal mesoderm. The activity of exogenous noggin RNA in embryonic axis induction and the localized expression of endogenous noggin transcripts suggest that noggin plays a role in normal dorsal development.
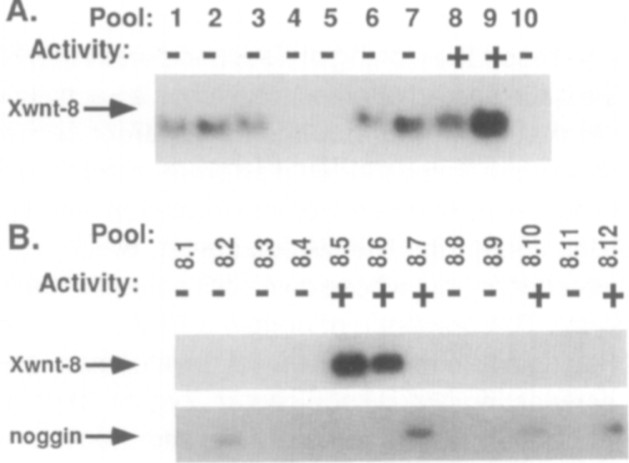
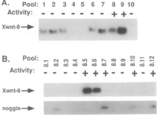
Figure 1. Detection of Xwnf-8 and noggin Clones in Sib Selection Pools.
Five microgram samples of library plasmid DNA from the first (A) and second (6) sib selections (10,000 and 1,006 clones per pool, respectively) were digested with EcoRl and EcoRV, separated on 1% agarose gels, and transferred to nylon membranes. The membranes were hybridized with an Xwnt-8 probe alone (A) or first with Xwnt-8 and then with noggin probes (6). The activities of the various pools in the dorsal axis rescue assay are indicated (plus or minus).
Figure 4. Ventralized Embryos Injected with noggin and Xwnr-8 RNAs
Figure shows i representative ventralized embryos injected with noggin (delta) A or Xwnf-8 RNAs. Xenopus embryos ventralized by UV irradiation before the first cleavage were injected into one blastomere at the 4-cell stage with 1, 10, or 100 pg of either nogginA5â or Xwnr-8 RNAs in a volume of IO nl. All embryr JS shown are the same age as the control embryos (approximately stage 41) which were not UV treated or injected. Also shown are non-injected UV-treated embryos.
Figure 5. Dorsal rescue of 32-cell embryos with noggin RNA Ventralized 32-cell stage embryos were co-injected with 25 pg of noggin and 0.5 ng of 6-galactosidase RNAs into a single blastomere in either the animal (tier l), marginal (tiers 2 and 3) or vegetal (tier 4) regions. Embryos were grown to about stage 25 and scored for dorsal axis rescue.
Figure 6. Lineage Tracing of noggin-Injected Blastomeres
Ventralized embryos (32~cell stage) were coinjected with 25 pg of noggin and 0.5 ng of 5-galactosidase RNAs. The embryos were then stained with
X-gal at about stage 25. Diffuse background staining can be seen in the endoderm. Specific staining from injected f3-galactosidase RNA can be seen as darker and more discrete points of staining. Arrows indicate cement glands. Arrowheads indicate staining of lineage tracer.
Figure 7. Expression of noggin RNA in development. (a) Northern blot of poly(A) + RNA from embryos of the indicated stages hybridized with both noggin and c-srs probes. the amount of c-srs hybridization controls for RNA loading differences between samples. (B) Northern blot of total RNA from late blastula and early gastrula ( stage 8-10) embryos hybridized with noggin and c-srs probes to assess the effects of UV (ventralization) and LiCl (dorsalization) treatment on noggin RNA background.
Figure 8. Distribution of Maternal noggin RNA in Oocytes and 4-Cell
Stage Xenopus Embryos
RNAase protection assay for noggin and EFlc in total RNA samples from dissected oocytes and 4-cell stage embryos. Also included in the assay is in vitro synthesized noggin RNA at the amounts indicated.
Figure 9. noggin In Situ Hybridization
Whole embryos were hybridized with antisense noggin RNA probes. Hybridization was visualized by an alkaline phosphatase chromogenic reaction. Arrowheads in (C) and (D) indicate dorsal lip of the blastopore.
(A) Stage 9, vegetal pole view. Staining restricted to wedge on dorsal side of embryo.
(6) Stage 9, side view. Staining exclusively in dorsal marginal zone.
(C) Stage 10.5, side view. Hybridizing cells found in dorsal lip of the blastopore.
References :
Piccolo,
Fearlessly tackling the organizer.
2011, Pubmed
Piccolo,
Fearlessly tackling the organizer.
2011,
Pubmed