XB-ART-23323
Dev Biol
1992 Oct 01;1532:337-46. doi: 10.1016/0012-1606(92)90118-z.
Show Gene links
Show Anatomy links
The armadillo homologs beta-catenin and plakoglobin are differentially expressed during early development of Xenopus laevis.
???displayArticle.abstract???
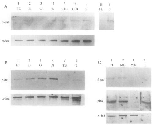
Plakoglobin and beta-catenin are cytoplasmic proteins associated with the intracellular plaques of cell adhesive junctions. While plakoglobin is present in both adherens junctions and desmosomes, beta-catenin is associated with the cadherins that accumulate only in adherens junctions. Both beta-catenin and plakoglobin are homologs of armadillo, a Drosophila segment polarity gene that is considered to be in the wingless signaling pathway. We have characterized the expression and distribution of both plakoglobin and beta-catenin in Xenopus embryos. As shown by RNA blot analysis, beta-catenin and plakoglobin transcripts are present in fertilized eggs and in embryos through to tadpole stage. Whole-mount in situ hybridization indicates that both genes are expressed in the dorsal ectoderm and mesoderm of tailbud- and tadpole-stage embryos and that beta-catenin is expressed in the midbrain. Both plakoglobin and beta-catenin polypeptides are present during early Xenopus development; however, differences exist in the timing of maximal expression. Plakoglobin is present in the fertilized egg, increases in abundance by neurula stage, then declines at the tailbud and tadpole stages. beta-Catenin, recognized by an anti-arm antibody, is also present in the fertilized egg and in blastula-stage embryos. However, beta-catenin continues to be detected at the neurula, tailbud, and tadpole stages when levels of plakoglobin decline. The presence of multiple homologs of armadillo in Xenopus embryos and the differences in their patterns of expression suggest distinct roles for these proteins in processes affected by cell adhesion.
???displayArticle.pubmedLink??? 1397690
???displayArticle.link??? Dev Biol
???displayArticle.grants???
Species referenced: Xenopus laevis
Genes referenced: ctnnb1 jup
???attribute.lit??? ???displayArticles.show???
