Click here to close
Hello! We notice that you are using Internet Explorer, which is not supported by Xenbase and may cause the site to display incorrectly.
We suggest using a current version of Chrome,
FireFox, or Safari.
Characterization of a Xenopus laevis ribonucleoprotein endoribonuclease. Isolation of the RNA component and its expression during development.
Bennett JL, Jeong-Yu S, Clayton DA.
???displayArticle.abstract???
In order to facilitate studies of the assembly and transport of the site-specific RNase mitochondrial RNA processing (MRP) ribonucleoprotein, we have characterized it from Xenopus laevis cells. X. laevis RNase MRP displayed a similar spectrum of cleavage activity to that produced by previously isolated mammalian nuclear enzymes. A 277-nucleotide RNA component of the ribonucleoprotein was identified; the gene for the RNA was isolated, sequenced, and found to be 66 and 63% similar to mouse and human RNase MRP RNAs, respectively. Despite the evolutionary distance from its mammalian counterparts, X. laevis RNase MRP RNA contains five regions of homology to the mammalian RNase MRP RNA. Four of these regions correspond to those previously identified as conserved between RNase MRP and RNase P RNAs; the fifth encompasses nucleotides recently discovered to be sufficient for autoantigen binding. The expression and assembly of Xenopus RNase MRP RNA were examined in frog oocytes and developing embryos. RNase MRP RNA was expressed throughout oogenesis; it started to accumulate at stage I and reached a maximum in stage IV. During embryogenesis RNase MRP RNA expression began to elevate at approximately stage 22 and continued to rise through the swimming tadpole stage. When injected into the nucleus of mature oocytes, the X. laevis RNase MRP RNA gene was expressed accurately, and transcripts were packaged into immunoprecipitable particles.
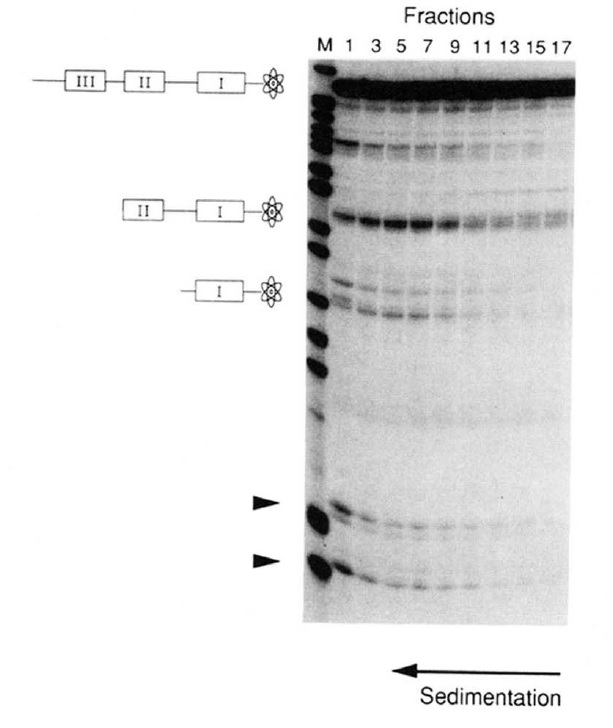
FIG. 1. Xenopus nuclear extracts contain an RNase MRP
cleavage activity. XenopuT nuclear extracts were subjected to glycerol
gradient sedimentationa s described under “Materials and Methods.”
Aliquots from individual fractions were assayed for RNase MRP
activity on the standard mouse mtRNA substrate. The full length
mouse mtRNA substrate, as well as the major cleavage products, are
depicted schematically on the left as previously described (Karwan et
al., 1991). The radioactive end label is schematically depicted at the
3’-end of the RNA. The two arrowheads denote cleavage products
produced by the Xenopus RNase MRP activity on m tohues e substrate
that are not seewn ith mouse RNase MRP; thbea sis fort his difference
is currently unknown. Lune M, HpaII-digested pBR322 DNA markers.
The directiono f sedimentation in the gradient isd epicted below.
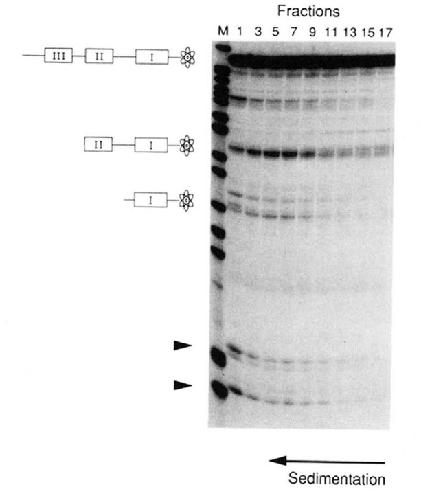
FIG. 2. Xenopus cells contain a Th-immunoprecipitable
RNA which cosediments with RNase MRP activity. A, Xenopus
nuclear extracts were prepared as described under “Materials and
Methods.” Extracts (100 pl) were mixed with either normal human
serum or Th autoantiserum, washed extensively in either 150 or 500
mM NaCI, and the coprecipitating RNAs were 3”end-labeled with
pCp and separated on a 6% acrylamide-7 M urea denaturing gel. Lane
1, antibody: normal human serum, wash: 150 mM NaCI; lane 2, Th-
150 mM NaCI; lane 3, normal human serum-500 mM NaCI; lane 4,
Th-500 mM NaCI; lane C, Th immunoprecipitation of mouse nuclear
extract. Arrowhead denotes the -280-nucleotide RNA precipitated
and RNase MRP RNAs are denoted at left. R, 150-pl aliquots of
from Xenopus nuclear extracts with Th antiserum. Mouse RNase P
individual fractions from the glycerol gradient in Fig. 1 were subjected
to anti-Th immunoprecipitation, and the resulting RNAs were PCPend
labeled and separated on a denaturing gel; lane L, Th immunoprecipitation
of the total nuclear extract; lane M, HpalI-digested
pBR322 DNA markers. The directioonf sedimentation in the gradient
is depicted below. Arrowhead denotes the 280-nucleotide RNA.
FIG. 3. Nucleotide sequence of the
sequence of a 983-bp region corresponding
to nucleotides -490 to +493 of the
Xenopus RNase MRP RNA gene is
shown. The 277-nucleotide MRP RNA
is depicted in uppercase letters; the transcriptional
start site is marked by a bent
arrow. Putative transcriptional control
elements are labeled with brackets as
follows: SPI, SP1 transcription factor
binding site; DSE, distal sequence element;
PSE, proximal sequence element;
TATA, TATA box; BOXA, RNA polymerase
I11 box A sequence. Boxed sequences
marked I, 11, 111, IV, and V are
regions highly conserved among RNase
MRP RNAs sequenced to date (see text
for discussion). Stars highlight nucleotides
proposed to be involved in a pseudoknot
(Topper and Clayton, 1990b).
FIG. 4. Expression of MRP RNA. A, Northern blot analysis of
MRP RNA expression during Xenopus development. All lanes contain
total RNA from 2.5 oocytes or 10 pg of total RNA from embryos.
Total RNA was fractionated in a 6% polyacrylamide-7 M urea gel
and blot-hybridized with MRP RNA antisense probe as described
under “Materials and Methods” (upper panel)T. he full length MRP
RNA is shown in most lanes; some degradation products are seen in
oocyte lanes. The same membranes were rehybridized with the 5.8s
rRNA antisense probe (lower panel). Specific activities of the two
probes were similar; however, exposure times were 1-2 days for the
MRP probe hybridization and 10-20 min for the 5.8s rRNA probe.
Oocyte stages are according to Dumont (stages I thru VI) (Dumont,
1972); total ovary (0) was also loaded. Embryo stages are as follows:
E, unfertilized eggs; 9, blastula; 11, gastrula; 13-16, neurula; 22, late
neurula; 38 and 45, tadpoles. €3, graphic representation of MRP RNA
expression. Northern blots as shown in A were scanned with a
densitometer. Relative amounts of MRP transcripts were compared
to that of stage VI oocytes and plotted at the various stages of
development (MRP, A). The amount of MRP transcript was normalized
to the amount of 5.8s rRNA in each stage from the same
membrane, then compared with the value from stage VI oocytes
(MRP/5.8S, W). In the oocyte graph, three independent experiments
were pooled, and the mean values are plotted along with the standard
deviation. A representative set of data from three different frog
developments is shown in the embryo graph.
FIG. 5. Immunoprecipitation of the RNase MRP particle
from stages I and VI oocytes and tissue culture cells. Whole
cell extracts were prepared from 75 stage I and 10 stage VI oocytes
and immunoprecipitated with normal human serum (NHS lanes) or
anti-Th human autoimmune serum (7% lanes). Ten pl each of the
nuclear extracts of Xenopus (XTC) and mouse (LA9) cells were also
immunoprecipitated with Th antiserum as controls. Pansorbin was
used to precipitate immune complexes in this experiment. Bound (P,
pellet) and unbound (S, supernatant) fractions were extracted, and
coprecipitating RNAs were electrophoresed in a 6% polyacrylamide-
7 M urea gel and subsequently blot-hybridized with a MRP RNA
probe. Arrowheads indicate the full length MRP RNA.
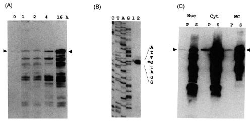
FIG. 6. Analysis of transcripts after injection oft he MRP RNA gene intoo ocytes. A , Northern blot of time-course injection. DNA
was injected into the nuclei of oocytes, and total RNA preparations were isolated after the indicated times of incubation. In each case RNA
from four oocytes was isolated, fractionated in a 6% polyacrylamide-7 M urea gel, and blot-hybridized with the digoxigenin-labeled MRP
antisense probe as described under “Materials and Methods.” Since a short exposure is shown here, a very low level of endogeneous MRP
RNA is visible in this figure (see 0-h time point). The full length MRP RNA is indicated by the arrowheads. B, primer extension of MRP
RNA transcribed from the injected DNA. Total RNA was prepared from the oocytes 5 h after injection and subsequently extended with
reverse transcriptase after hybridization to the XLPE oligonucleotide. Lune I , 12 pg of XTC total RNA; lane 2, 2 pg of injected oocyte total
RNA. Sequencing ladders were generated by primer extension using the oligonucleotide XLPE. The 5’-end guanosine nucleotide is indicated
by the asterisk. C, immunoprecipitation of MRP RNA from injected oocytes. Either nucleus (NIX)cy,to plasmic (Cyt), or whole cell ( WC)
extracts from six oocytes were prepared 16 h after injection of the MRP RNA gene. Immunoprecipitation with Th-antiserum and RNA
detection were as described for Fie. 5. MRP RNA is visualized bv Northern hybridization. Both pellet (P) and supernatant (S) fractions are
shown. Arrowheads indicate the fill length MRP RNA.