Click here to close
Hello! We notice that you are using Internet Explorer, which is not supported by Xenbase and may cause the site to display incorrectly.
We suggest using a current version of Chrome,
FireFox, or Safari.
Amphibian intestinal villin: isolation and expression during embryonic and larval development.
Heusser S, Colin S, Figiel A, Huet C, Keller JM, Pornet P, Robine S, Vandamme J, Vandekerckhove J, Dauça M.
???displayArticle.abstract???
An actin-binding protein of M(r) 105,000 has been isolated from anuran amphibian intestinal mucosa. Polyclonal antibodies directed against chicken and pig intestinal villins and anti-porcine villin headpiece monoclonal antibody crossreact with the amphibian M(r) 105,000 protein. Furthermore, the latter possesses an NH2-terminal sequence that is very homologous to those of avian and mammalian villins. In addition, polyclonal antibodies directed against amphibian intestinal M(r) 105,000 protein crossreact with chicken and mouse intestinal epithelial cell villins. These data indicate that the amphibian intestinal M(r) 105,000 protein is immunologically and structurally related to villin, an actin-binding protein expressed in specific epithelial tissues in vertebrates. Morphological, immunocytochemical and immunoblotting techniques were then used to investigate the expression of villin during embryonic and larval intestinal development of Xenopus laevis. Villin is not found in the egg or the endoderm of the early embryo. It is first detected just before hatching in the apical domain of endodermal cells at a time when few surface microvilli are visible by transmission electron microscopy. In the newly hatched larva, villin accumulates as these cells differentiate. These results provide a detailed developmental profile of Xenopus intestinal villin expression and demonstrate that this protein is a useful marker for the presumptive intestinal endoderm.
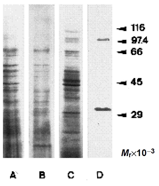
Fig. 1. Electrophoretic analysis of purified Rana esculenta
intestinal actin-binding protein purification. The preparations
obtained after major steps of purification were submitted to SDSPAGE
(12.5%) and visualized by Coomassie Brilliant Blue
staining. Lane A, whole intestinal mucosa homogenate; lane B,
100,000 g supernatant of homogenate; lane C, pooled fractions of
Q-Sepharose column; lane D, proteins of Mr 105,000 and 32,000
eluted from DNAase I column. Relative molecular masses are
given as Mr ´ 10-3.
Fig. 2. Immunoblot analysis of EGTA eluate of the DNAase I
column. Pooled fractions eluted from the DNAase I column were
submitted to SDS-PAGE 12.5%, transferred to nitrocellulose, and
immunoblotted either with monoclonal anti-porcine villin head
piece antibody BDID2C3 (20 μg/ml in PBS; lane A) or with
polyclonal antibodies directed against pig villin (diluted 1/500;
lane B) or against chicken villin (diluted 1/750; lane C).
Visualization was obtained either with rabbit anti-mouse IgG or
with goat anti-rabbit IgG alkaline phosphatase conjugate (diluted
1/7500). Relative molecular masses are given as Mr ´ 10-3.
Fig. 3. Amino-terminal sequences comparison between Mr 32,000
amphibian protein eluted from DNAase I column and chicken or
human villins. The sequences are displayed in the one-letter code.
Their location is indicated in the schematic representation of the
structural organization of villin as described by Arpin et al.
(1988). In each large domain, cross-hatched areas (a and a¢)
represent two homologous motifs, while the dark areas correspond
to the three motifs identical with each other and repeated. The
carboxy-terminal head piece (HP) is indicated. The analogous
sequences in human plasma gelsolin are also included.
Fig. 4. Specificity of antibodies directed against amphibian
intestinal villin. EGTA eluates from DNAase I column were used
to obtain rabbit polyclonal antibodies. Their specificities were
studied by immunoblot analysis. EGTA eluates from DNAase I
column (lane A), preparation of Xenopus (lane B), chicken (lane
C) and mouse (lane D) intestinal mucosa were run on SDS-12.5%
gel, transferred to nitrocellulose and reacted with polyclonal anti-
Rana intestinal villin antibodies (diluted 1/750). Relative
molecular masses of the different intestinal vertebrate villins are
105,000, 95,000 and 93,000, respectively.
Fig. 5. Xenopus development and the intestinal differentiation. (A, D, G) Schematic lateral views; (B, E, H) transverse histological
sections; (C, F, I) electron micrographs of the developing intestine. (A - C) Stage 30. The embryo is about 4.5 mm long and exhibits a
transparent fin up to the base over its whole length (A). The foregut is dorso-ventrally extended and its cavity is reduced (B).
Undifferentiated endodermal cells containing numerous yolk platelets exhibit some projections into the lumen (C). (D - F) Stage 40. The
newly hatched larva is 6.7 mm long. Its mouth is broken through (D). The segregation of the different segments of the digestive tract
begins to appear simultaneously with the occurrence of the coiling process (E). Irregular microvilli are noted at the apices of the intestinal
epithelial cells (F). (G - I) Stage 50. The tadpole is 20-27 mm long. Hindlimb buds are present (G). Several transverse sections of the
coiled intestine are visible (H). A typical brush border lines the intestinal lumen (I). bb, brush border; cp, cellular projections; Enc,
endodermal cell; Epc, intestinal epithelial cell; Lu, lumen; m, mitochondria; mv, microvilli; r, rootlets; tj, tight junction; tw, terminal web.
Fig. 6. Immunocytochemical localization of villin during intestinal development of Xenopus laevis. During gastrulation (A), no labelling
is observed in endodermal cells. At stage 30 (B), a faint villin staining is detected at the apical domain of some endodermal cells. In stage
40 embryo (C), staining appears stronger in the apical side of cells lining the intestinal lumen. At stage 50 (D), the brush border of
differentiated enterocytes is strongly labelled. ARC, archenteric canal; BB, brush border; LU, intestinal lumen.
This image is not properly displayed in existing PDF's
Fig. 7. Immunoblot analysis of total protein extracts from whole
Xenopus embryos (A-C), larvae (E-F¢) and adult intestine (G).
Total protein extracts from embryos used during segmentation
(stage 8; lane A), gastrulation (stage 11;lane B), neurulation
(stage 14; lane C), and at stage 30 (lane D), from larvae at stages
40/41 (lane E), 43/44 (lanes F and F¢) and from adult intestine
(lane G). Separation by SDS-PAGE was followed by transfer to
nitrocellulose then incubation with either polyclonal antibodies
(diluted 1/750) directed against purified amphibian villin (lanes AF,
G) or monoclonal antibody BDID2C3 (10 μg/ml in PBS)
specific for pig villin headpiece (lane F¢). Visualization was
performed either with goat anti-rabbit IgG or rabbit anti-mouse
IgG/alkaline phosphatase conjugate (diluted 1/7500). No
crossreaction was observed during early embryonic development.
A protein of Mr 95,000 was detected in late embryos (stage 30). It
is very likely that this protein corresponds to villlin core as it was
not recognized by the monoclonal antibody BDID2C3 (lane F¢).
The presence of the Mr 105,000 protein was not evident until the
early larval stages 40/41. Relative molecular masses are given as
Mr ´ 10-3.