Click here to close
Hello! We notice that you are using Internet Explorer, which is not supported by Xenbase and may cause the site to display incorrectly.
We suggest using a current version of Chrome,
FireFox, or Safari.
???displayArticle.abstract???
Recent studies in the chick have indicated that rhombomeres (r) are segments that underlie the patterning of hindbrain nerves. These segments may also be important for the specification of branchial arch structures since alternating rhombomeres, r2, r4 and r6, each contribute crest to a specific arch. Krox-20 has been implicated in the segmental patterning of the hindbrain in the mouse by its expression prior to segment formation in alternating domains, which later correspond to r3 and r5. Here, we describe the sequence and developmental expression of the Xenopus Krox-20 gene, XKrox-20. Alternating domains of XKrox-20 expression appear in the early neurula, later correspond to r3 and r5, and persist until late tadpole stages. In contrast to this conserved spatial expression in rhombomeres, we find a pattern in the neural crest of Xenopus that appears different from that found in the mouse: expression occurs in crest that migrates from r5 into the third visceral arch. We speculate that this may reflect a distinct route of neural crest migration due to anatomical differences between these systems, rather than a difference in the site of origin of Krox-20-expressing crest.
???displayArticle.pubmedLink???
8443108 ???displayArticle.link???Mech Dev
Fig. 3. Expression of XKrox-20 in the neural epithelium. In situ hybridisation with radiolabelled XKrox-20 probe was carried out with
longitudinal sections of stage 12.5-13 (A-H), stage 29-30 (I, J) and stage 33 (K, L) Xenopus embryos. C, D and G, H are higher power
photographs of A, B and E, F, respectively. A, C, E, G, I and K are bright-field photographs that correspond to the dark-field images shown in B,
D, F, H, J and L, respectively. The arrows indicate the domains of XKrox-20 expression in the neural epithelium. Anterior is to the left, and
dorsal to the top of each photograph. Bar indicates 100/.tm.
Fig. 4. Whole mount in situ hybridisation analysis of XKrox-20 expression. In situ hybridisation with digoxigenin-labelled XKrox-20 probe (A-F)
or XAP-2 probe (G) was carried out against fixed Xenopus embryos at stage 12.5 (A, B), stage 13 (C, D), stage 19/20 (E), and stage 28 (F, G).
(H) shows a coronal section through the hindbrain of a stage 28 embryo. The arrows indicate sites of gene expression. The stripes of XKrox-20
expression in the whole mounts are labelled 3 and 5, not r3 and r5, because it is not known when definitive rhombomeres form in Xenopus. nc,
neural crest; al-a3, visceral arches 1-3; r, rhombomere. Anterior is to the left in all photographs. Bar indicates 100 p.m.
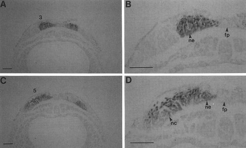
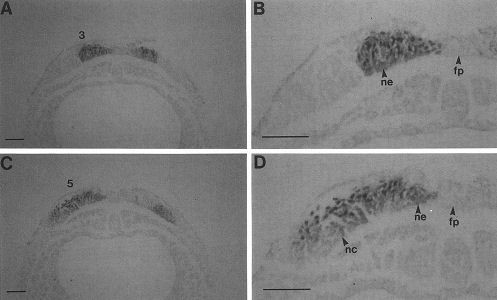
Fig. 5. Sections of a stage 13 Xenopus embryo hybridised in whole mount. XKrox-20 probe was used for the whole mount in situ hybridisation of
a stage 13 embryo and then serial transverse sections were cut and mounted. (A, B) Section through presumptive rhombomere 3. (C, D) Section
through presumptive rhombomere 5. (B)and (D) are higher power views of the sections shown in (A) and (C), respectively. The sections are
slightly tilted and thus passing through r4 on the right side in (C) and (D). ne, neural epithelium; nc, neural crest; fp, floor plate. Bar indicates
100 #m.
Fig. 6. Sections of a stage 27 Xenopus embryo hybridised in whole mount with XKrox-20 probe. (A) shows photograph of a cleared embryo
hybridised in whole mount with XKrox-20 probe. Sections of embryos at this stage were cut in the planes indicated: coronal sections through the
visceral arches (B), and transverse sections through r3 (C), r4 (D), r5 (E) and r6 (F). ne, neural epithelium; nc, neural crest; o, otic vesicle; fp,
floor plate; al-a3, visceral arches 1-3. Bar indicates 100/zm.
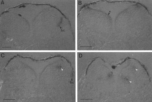
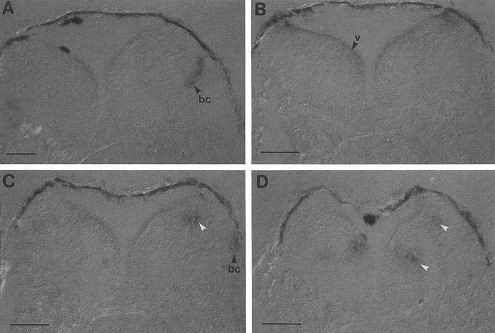
Fig. 7. Sections of a stage 39/40 Xenopus embryo hybridised in whole mount. Progressively more transverse sections are shown which pass
through r4 (A), r5 (B), r6 (C) and r7 (D). The white arrows indicate sites of expression in the neural tube. Expression was not detected in more
anterior regions of the neural tube. bc, boundary cap; v, ventricular region. Bar indicates 50 #m.