Click here to close
Hello! We notice that you are using Internet Explorer, which is not supported by Xenbase and may cause the site to display incorrectly.
We suggest using a current version of Chrome,
FireFox, or Safari.
Isolation and characterization of C-reactive protein (CRP) cDNA and genomic DNA from Xenopus laevis. A species representing an intermediate stage in CRP evolution.
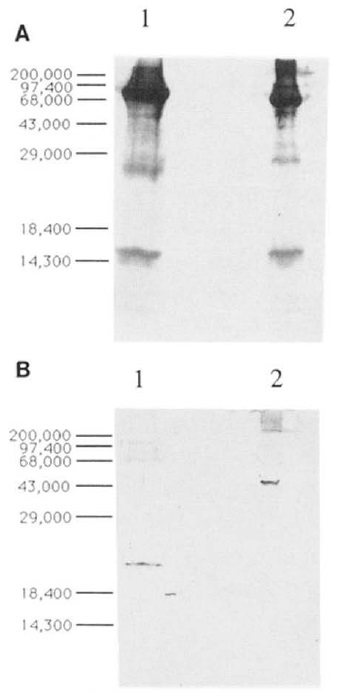
FIG. 1. SDS-PAGE of Xenopus CRP purified by the PC
column. The gel is 8-25% acrylamide using the Laemmli system.
Lane I, reduced Xenopus CRP; lane 2, nonreduced Xenopus CRP. A,
Coomassie Blue staining. B, Western blot analysis using antipeptide
antibody.
FIG. 2. SDS-PAGE analysis of Xenopus CRP in serum. The
gel is 16% acrylamide using the Laemmli system. Lane 1, under
reducing condition; lane 2, under nonreducing condition. A, Coomassie
Blue staining. B, Western blot analysis using antipeptide
antibody.
FIG. 3. Cloning of the cDNA and
the Xenopus CRP.
the Restriction map subclones of .
Xenopus CRP cDNA and genomic fragments
B, BamHI; E, EcoRI; H, HindIII;
P, PstI. Exon 1 is the black box; Exon 2
and 3 are hatched boxes.
FIG. 4. Sequence of Xenopus
CRP. Nucleotide and deduced amino
acid sequence of Xenopus CRP gene. For
nucleotide sequence, the translational
initiation site isd esignated as nucleotide
1. cDNA sequence identical to genomic
sequence is expressed as dash lines. Polyadenylation
signal is underlined. Intron
sequences are in brackets. For amino
acid, negative numbers correspond to the
signal peptide, while positive numbers
represent residues of the mature protein.
Amino acid residues in parentheses are
derived from cDNA sequence. Regions
to which oligonucleotides were synthesized
as primers for the polymerase chain
reaction are underlined. Also underlined
are the amino-terminal sequences determined
by Edman degradation; upper
line, from intact protein sequencing;
lower line, regions to which oligonucleotides
were synthesized.
FIG. 5. Western blot analysis of Xenopus CRP gene expression.
Sera from control and turpentine-treated frogs were subjected
to Western blot analysis. Frogs 1-3, untreated; and frogs 4-6, turpentine-
injected. Three pg of serum protein was electrophoresed on a
16% polyacrylamide gel, transferred onto Immobilon membrane and
CRP was detected using CRP-specific anti-peptide antibody as described
under Experimental Procedures.
FIG. 6. Northern blot analysis of RNAs from various developmental
stages. Total RNAs were isolated from Xenopus eggs (0)
or from embryos at stages 7,10,16, 23,31, and 40. Twenty pg of each
was electrophoresed onto a 1.2% agarose/formaldehyde gel. The RNA
was transferred onto Gene Screen Plus membrane and hybridized
with 32P-radiolabeled XCRP-cl fragment. A, autoradiogram; B, ethidium
bromide staining.
FIG. 7. Amino acid sequence comparison of mature human and Xenopus CRPs. Human CRP and Xenopus CRP sequences (derived
boxed and numbered.
from genomic sequence) were aligned using the Genetics Computer Group sequence analysis software package. The conserved regions were