Click here to close
Hello! We notice that you are using Internet Explorer, which is not supported by Xenbase and may cause the site to display incorrectly.
We suggest using a current version of Chrome,
FireFox, or Safari.
???displayArticle.abstract???
One of the distinguishing features of vertebrate development is the elaboration of the anterior neural plate into forebrain and midbrain, yet little is known about the early tissue interactions that regulate pattern formation in this region or the genes that mediate these interactions. As an initial step toward analyzing the process of regionalization in the anterior-most region of the brain, we have screened an anterior neural cDNA library for homeobox clones and have identified one which we have called XeNK-2 (Xenopus NK-2) because of its homology to the NK-2 family of homeobox genes. From neurula stages, when XeNK-2 is first detectable, through hatching stages, XeNK-2 mRNA is expressed primarily in the anterior region of the brain. By swimming tadpole stages, XeNK-2 expression resolves into a set of bands positioned at the forebrain-midbrain and the midbrain-hindbrain boundaries, after which XeNK-2 transcripts are no longer detectable. In addition to localized expression along the anterior-posterior axis, XeNK-2 may also play a role in the process of regionalization along the dorsal-ventral axis of the developing brain. At all stages examined, XeNK-2 mRNA is restricted to a pair of stripes that are bilaterally symmetrical in the ventral-lateral region of the brain. To begin to identify the tissue interactions that are required for the proper spatial and temporal localization of XeNK-2, we have performed a series of explant experiments. Consistent with earlier work showing that the A/P axis is not fixed at mid-gastrula stages, we show that XeNK-2 expression is activated when assayed in gastrula stage explants taken from any region along the entire A/P axis and that the tissue interactions necessary to localize XeNK-2 along the A/P axis are not completed until later neurula stages.
Fig. 1. Northern blot analysis. Filters
were hybridized with a radiolabeled
XeNK2 DNA probe. A single 2.0 kb
hybridizing band is present in the lane
that contains 5 mg of neurula stage
poly(A)+ RNA but absent in the lane
that contains 5 mg of poly(A)- RNA.
Fig. 2. Nucleotide sequence of XeNK2 and the deduced amino
acid sequence.The nucleotide sequence of the XeNK2 cDNA clone
is presented along with a conceptual translation. The homeobox
region is designated by hatching while the NK-2 box is
underlined. The consensus polyadenylation signal (AATAAA) at
the 3¢ end of the clone is also underlined.
Fig. 3. Amino acid sequence comparisons among NK2 family members. Comparisons of amino acid residues within the homeobox
region (A) and the NK2 box (B) between XeNK2 and the murine Nkx2.2 gene (Price et al., 1992), the Drosophila NK2 gene (Kim and
Nirenberg, 1989), the rat thyroid factor, TTF-1 (Lazzaro et al., 1991) and the planarian Dth-1 gene (Garcia-Fernandez et al., 1991).
Dashes indicate identical residues. The percentage identity between XeNK2 and other family members is indicated to the right of each
sequence.
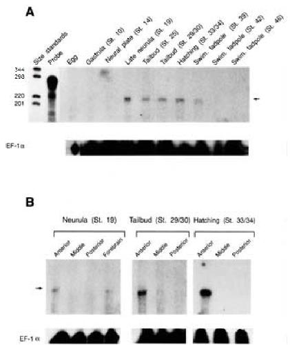
Fig. 4. Expression pattern of XeNK2 mRNA.
(A) XeNK2 mRNA is readily detectable on
RNase protection assays at late neurula stages
(stage 19); on long exposures XeNK2, mRNA
is observed at neural plate stages (stage 14;
not visible on this assay). Steady-state mRNA
levels increase during neurula stages and
remain constant until swimming tadpole
stages when XeNK2 transcripts are no longer
detectable. Approximately 20 mg of total RNA
for each stage was hybridized with the RNase
protection assay probe described in the
Materials and Methods section. For dissected
material, 20 pieces were used for each region.
Arrows indicate the protected fragment. (B)
The spatial distribution of XeNK2 transcripts
was initially determined by dissecting
embryos into anterior, middle and posterior
pieces (ten pieces were used in each lane) and
employing RNase protection analysis to assay
for the presence of XeNK2 mRNA; at all
stages examined, XeNK2 mRNA was enriched
in anterior third of the embryo. âForebrainsâ
were dissected by making a transverse cut
midway through the optic vesicle and pieces
of tissueanterior to this cut were collected.
Fig. 5. Whole-mount in situ
hybridization with XeNK2. Wholemount
in situ hybridization was
performed on Xenopus embryos at
different developmental stages.
(A) Neurula (stage 20), lateral
view; (B) neurula (stage 20),
dorsal view; (C) tailbud (stage 23),
lateral view; (D) tailbud (stage
25), lateral view; (E) tailbud (stage
29/30), lateral view; (F) tailbud
(stage 29/30), dorsal view;
(G) hatching (stage 33/34), lateral
view; (H) swimming tadpole
(stage 40), dorsal-lateral view.
Anterior is at the right. Arrows
indicate hybridization signals.
Magnifications are as follows:
A, B and F, 30´; C, 20´; D, 25´;
E, G and H, 50´.
Fig. 6. Histological analysis of XeNK2 mRNA expression. Following completion of the in situ hybridization procedure, embryos were
sectioned (approximately) transversely and resulting sections photographed with bright-field optics. (A-C) A neurula (stage 20) embryo;
(D-F) a hatching stage (stage 33-34) embryo; (G-I) a swimming tadpole (stage 40) embryo. A, D and G represent sections anterior to the
presumptive eye level; B, E and H depict sections at the presumptive eye level; C, F and I show sections cut through the presumptive ear
region. Diagrams at the left indicate the approximate plane of section. The sections in A-C and G-I are somewhat oblique; the right side
of the section is therefore more anterior than the left side. Section G-I are somewhat longitudinal, making both pairs of XeNK2 bands
visible in H. In all cases, XeNK2 hybridization signals are denoted by arrows. In all panels, dorsal is up, and ventral down. The
magnification in panels A through F is 75´, while the magnification in panels G through I is 50´. l, lens; nr, neural retina; ov, otic vesicle;
pr, pigmented retina; r, retina.
Fig. 7. XeNK2 expression in neural regionalization experiments. RNAse protection analysis was used to assay XeNK2 mRNA levels in
response to a variety of axis-perturbing reagents as well as in neural induction experiments. (A) XeNK2 mRNA is not detectable in
embryos treated with high doses of UV irradiation or retinoic acid, while XeNK2 mRNA levels are enhanced in lithium-treated embryos.
(B) The presence of a signal in the lane containing recombinants of gastrula animal cap ectoderm with dorsal mesoderm and not in the
lane with animal caps indicates that XeNK2 is a response to neural induction. (C) When pieces of mes-ectoderm are dissected as shown,
cultured in vitro until stage 33/34 and then assayed for XeNK2 expression, appropriate restriction of spatial expression is not observed
until late neurula stages. Twenty pieces of tissue were used in each lane. See text for details. Protected fragment is indicated by an arrow.
UV, ultraviolet radiation; RA, retinoic acid; Li, lithium; A, anterior; MA, middle-anterior; M, middle; MP, middle-posterior; P, posterior.