|
Figure 2. Developmental expression of XTbx1. Whole mount in situ hybridization was used to detect XTbx1 expression in Xenopus embryos. A: Ventral view of embryos between stages 10.5 to 11.5 shows weak XTbx1 expression (purple staining) throughout the presumptive mesoderm. B: Embryos at stage 15 (bottom row) and stage 16 (top row) shown in dorsal (embryos at left) and lateral (embryos at right) views. Weak expression is seen at stage 15 in the lateral plate mesoderm extending from the anterior to mid-trunk level. Stronger XTbx1 expression is seen at stage 16 along the entire length of the lateral plate and head mesoderm but is not present in the neural tube. C: Expression of XTbx1 is seen in the pharyngeal arches at stage 26 (top). The first indication of XTbx1 expression in the anterior, ventral quadrant of the otic vesicle appears at stage 28 (bottom embryo). Pharyngeal arch expression has become stronger and extended further posterior. D,E: XTbx1 expression becomes further elaborated in the pharyngeal arches between stages 31 and 36. At stage 31 (D, bottom), expression in the otic vesicle extends further posterior and dorsal. At stage 32 (D, top), XTbx1 is absent from only the dorsal-most part of the otic vesicle. Low levels of XTbx1 expression are also seen in the somites. By stage 35 (E, bottom), XTbx1 is expressed throughout the otic vesicle and in the head mesoderm between the eye and cement gland at stage 36 (E, top). F,G: Transverse sections through a stage 32 embryo at the planes marked in D. XTbx1 is present in the mesenchyme adjacent to the outflow tract of the heart (arrowhead, F) as well as in the head mesenchyme (hm) but not the condensing cartilage (cc) of the pharyngeal arches (G). |
|
Figure 1. Tbx1 T-box sequence comparison and developmental expression of Xtbx1. A: Comparison of the T-box domains of Tbx1 orthologues from various species. Sequence identity is represented by shading and gaps are represented by dashes. Sequence comparison was performed using Clustal at SDSC (http://workbench.sdsc.edu). Hs, Homo sapiens; Mm, Mus musculus; Xl, Xenopus laevis; Dr, Danio rerio; Lf, Lampetra fluviatilis; Bf, Branchiostoma floridae; Ci, Ciona intestinalis; Dm, Drosophila melanogaster (org-1). The XTbx1 sequence has been deposited in Genbank, with accession number AF526274. B: Detection of Xtbx1 mRNA in Xenopus embryos at various stages of development by reverse transcriptase-polymerase chain reaction. The stage of the embryos is indicated above each lane. Xtbx1 is present at low levels as a maternal transcript at stage 7, before zygotic transcription has begun and is then readily detected at all stages tested between 12 and 28. The lane labeled -ve indicates a water-only control. |
|
Figure 3. XTbx1 is a transcriptional activator. A: U2-OS cells were transfected with a chloramphenicol acetyl transferase (1T-CAT) reporter plasmid and cotransfected with either Xbra as a positive control or different amounts of XTbx1 in pCDNA3. CAT protein levels were measured in cell lysates using a CAT-ELISA 48 hr after transfection. Transfection of 200 ng of Xbra caused a 68-fold increase in CAT protein levels. Transfection of between 50 and 200 ng of XTbx1 caused a more modest activation of between 9- and 28-fold. B: U2-OS cells were transfected with either a control reporter (TK-GL3, open bars) or a GAL4-luciferase reporter (GAL4-GL3, filled bars). Luciferase activity was measured using a luminescent assay as described. Cotransfection of a GAL4DBD-XTbx1 fusion protein activated transcription from GAL4-GL3 but not TK-GL3. A fusion protein of GAL4DBD and XTbx1 lacking the C-terminus, GAL4DBD-XTbx1-ΔCT failed to activate transcription from the GAL4-GL3 reporter. Error bars represent the standard deviation of triplicate experimental values. A representative example of a single experiment is shown, although experiments were repeated at least three times. |
|
Figure 4. A dominant negative XTbx1 interferes with Xenopus development. Embryos were injected with XTbx1-enR mRNA into both blastomeres at the two-cell stage, then fixed and photographed at stage 35. Embryos are orientated where possible with the dorsal side uppermost and anterior to the left. A: Injection of a total of 20 pg of RNA results in mild defects that primarily affect anterior structures, including reduced eye and head and pericardial edema. B: Injection of 200 pg of RNA leads to more severe loss of anterior structures in many embryos. Defects also become apparent after the onset of gastrulation, leading to a drastic foreshortening of the anteriorâposterior axis. C: Injection of 1 ng of RNA leads to the most severe defects, which predominantly become apparent during gastrulation. Embryos may develop rudimentary eyes or cement glands and have edematous, malformed hearts. |
|
Figure 5. XTbx1-enR disrupts head, pharyngeal apparatus, and heart development. AâD: Lateral (A,C) and ventral (B,D) views of stage 45 embryos. Embryos were injected in both blastomeres at the two-cell stage and selected for externally normal development at stages 19â20. A,B: Control embryos (A,B) develop normally, whereas XTbx1-enR causes particular reduction in head structures, including the eyes. C: Embryos typically display cardiac edema, with an abnormally small and malformed heart (arrowhead). B,D: Particularly striking is the absence of the filter apparatus (compare arrows in B,D) and malformation of the gut (arrowheads). E,F: Dorsal views of Alcian blue-stained stage 46 embryos. E: Cartilage formation in control embryos is normal, with readily distinguishable ceratohyal (CH), Meckel's (MC), and inferior labial (IL) cartilage. F: In XTbx1-enRâinjected embryos the ceratohyal cartilage is severely disorganized, while Meckel's and the infra-rostral cartilages are either disrupted or greatly reduced. |
|
Figure 6. XTbx1-enRâinduced defects are rescued by XTbx1. A: Embryos injected with 100 pg of XTbx1 mRNA at the two-cell stage appear normal at stage 45. B: Embryos injected with 100 pg of XTbx1-enR display a range of defects that primarily affect anterior structures, as previously described. C: Coinjection of 100 pg of XTbx1-enR and 100 pg of XTbx1 results in a significant degree of rescue of XTbx1-enRâinduced defects. |
|
Figure 7. XTbx1-enR does not block endogenous XTbx1 or cardiac actin expression. Embryos were injected into both blastomeres at the two-cell stage with 20 pg of β-galactosidase or XTbx1-enR mRNA, then fixed and processed for in situ hybridization at stage 35. A,B: A probe specific for endogenous XTbx1 was derived using the 3â²-untranslated region of the cloned cDNA and revealed the characteristic pharyngeal arch expression in control embryos (A) and also in embryos injected with 20 pg of XTbx1-enR (B). C,D: Cardiac actin, which marks somitic, head, and cardiac muscle, did not differ significantly in the pattern of expression between control embryos (C) and those injected with XTbx1-enR (D). However, the intensity of staining was reduced in experimental embryos, perhaps reflecting a reduction in the amount of mesodermal tissue. |
|
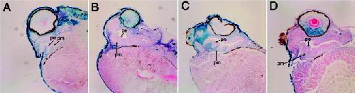
Figure 8. XTbx1 activity is required cell-autonomously in the pharyngeal mesoderm. AâD: Embryos were injected at the two-cell stage with either 250 pg of β-galactosidase RNA (A,C) or 250 pg of β-galactosidase and 250 pg of XTbx1-enR (B,D). Embryos were fixed at stage 34â35 and processed for 5-bromo-4-chloro-3-indolyl-β-D-galactopyranoside (X-gal) staining, then sectioned and counterstained with eosin. Blue, X-galâstained cells were present in the head region of both control and XTbx1-enRâinjected embryos. However, whereas X-gal staining was seen in the pharyngeal mesoderm (pm) of control embryos, it was not present in the pharyngeal mesoderm of XTbx1-enRâinjected embryos. The pharyngeal arches were segmented in both control and experimental embryos, with clearly visible pharyngeal endoderm (pe) and pharyngeal mesoderm layers. |
|
Figure 9. Fgf8 expression is dependent on XTbx1. Embryos were injected in one blastomere at the two-cell stage with 250 pg of XTbx1-enR and 250 pg of β-galactosidase. Embryos were fixed at stage 32 and processed for 5-bromo-4-chloro-3-indolyl-β-D-galactopyranoside (X-gal) staining, then re-fixed and processed for in situ hybridization with a probe for fgf8. A:fgf8 transcripts were detected in two broad stripes in the branchial arches on the uninjected side. B: On the injected side of the embryo, fgf8 staining is visible in the dorsal region of the caudal stripe but diminishes in the ventral region (arrowheads) where X-galâstained cells are present. fgf8 expression in the rostral stripe is further diminished, and there is a region between the branchial arches that does not express fgf8, in contrast to the uninjected side. |