Click here to close
Hello! We notice that you are using Internet Explorer, which is not supported by Xenbase and may cause the site to display incorrectly.
We suggest using a current version of Chrome,
FireFox, or Safari.
A Zn-finger protein, Xfin, is expressed during cone differentiation in the retina of the frog Xenopus laevis.
Rijli FM, De Lucchini S, Ciliberto G, Barsacchi G.
???displayArticle.abstract??? Xfin is a member of a Zn-finger multigene family that shares homology with the Drosophila segmentation gene, Krüppel. This paper reports on our identification and cellular localization, through the utilization of specific antibodies, of the expression product of Xfin in the Xenopus laevis retina, and its pattern of expression during the retinal developmental stages. By immunostaining sections of the retina, we show that the major staining is localized in the cytoplasm of the cones. The protein appears at an early differentiation stage of the cones, when they can not be univocally identified by morphological criteria, and is maintained up to the adult retina. The same antigenicity pattern is detectable in the retina of the anuran genus Bufo. The immunostaining data are confirmed by Western blot analysis on Xenopus eye protein extracts. Because of its cytoplasmic localization, and because of the ability of Zn-finger proteins to bind nucleic acids, we think that Xfin may be involved in the terminal differentiation of the cones through RNA-protein interactions.
Fig. 1. Immunostaining analysis of retinal Xenopus swimming tadpole
sections. stained with the anti-Xfin antibody. (AI The arrows point
to the stained cones. (BI Enlargement of panelA. Cos: cone outer segment;
ros: rod outer segment; nu: nucleus, fp: footpiece. IC) Negative control made
by using preimmune serum. ONL: outer nuclear layer; OPL: outer plexiform
layer; INL: inner nuclear layer; IPL: inner plexiform layer; GCL: ganglion cel!
layer. Bars represent 5um.
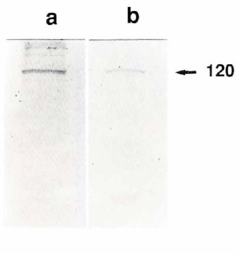
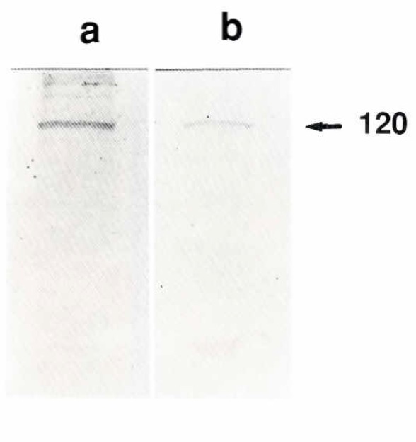
Fig. 2. Western blot analysis of Xenopus adult eye extracts. Proteins
were separated on a 10% 50S polyacrylamide gel and stained with the
anti-Xfln2 serum. raised against a region of Xfin not containing fingers la)
and with the anti-Xfin serum Ib). Both antisera recognize the same 120 Kd
antigen (arrow).
Fig. 3.lmmunostaining analysis of retinal developmental stage IX.IBI Enlargement oflA) Thearrows pomt to the stained cells in the photoreceptOr
laver. od: oil droplet; yp: volk platelet; L: lens. Nomenclature of retmal layers as in Fig. 1. Bars represent 5 um.
Fig. 4. Immunostaining analysis of retinal stage X. (S) Enlargement of (AI. The nomenclature of the retinal layers is as in Fig 1. rn- fod nucleus: cn:
cone nucleus. Bars= 10 um.
Fig.5. Immunostaining analysis of retinal stage XI.The arrows in (A) point to the margmal zone (MZ). L. lens. Bars= 10um.
Fig. 6. Immunostaining analvsis of a
retinal Bufo tadpole section, showing
the same antigenicity pattern as
in Xenopus. Nomenclature of the
retinal layers as In Fig. 1. PE: pigmented
epithelium. Bar= 5 um.
znf208 (zinc finger protein 208) gene expression in sections of Xenopus laevis eye, assayed via in immunohistochemistry, NF stage 40.