XB-ART-22522
Dev Biol
1993 Jun 01;1572:371-82. doi: 10.1006/dbio.1993.1142.
Show Gene links
Show Anatomy links
Dynamics of germ plasm localization and its inhibition by ultraviolet irradiation in early cleavage Xenopus embryos.
???displayArticle.abstract???
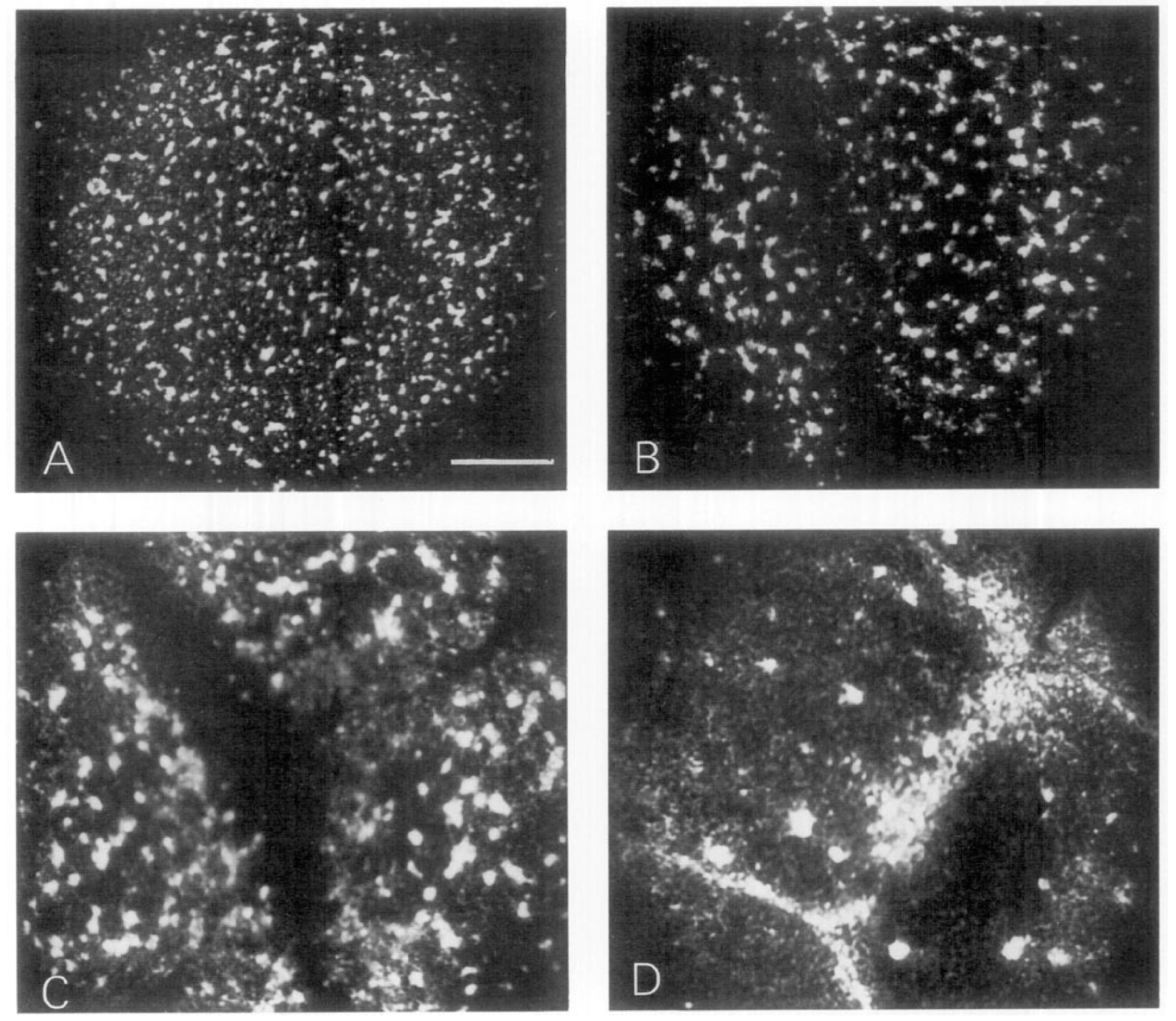
In the spawned Xenopus egg, germ plasm is found as cytoplasmic islands spread over a wide cortical region of the vegetal pole. However, by the blastula stage, the same material is found concentrated into a few large blastomeres at the floor of the blastocoel. Components of the germ plasm can be specifically labeled with a fluorescent dye, DiOC6(3), permitting the dynamic movements of germ plasm localization to be followed in live embryos via time-lapse confocal scanning optical microscopy. During the first cell cycle, the small islands initially appear to be fixed to the vegetal yolk mass and to move with it during the cortical rotation. After rotation, the islands appear to be released from the vegetal yolk mass and to begin fusing with one another. During early cleavages, the germ plasm aggregates into large islands at the vegetal pole in a movement dependent on microtubules. Two distinct actions can be discerned: (1) a continuous process of local fusing and (2) periodic surface contraction waves (SCWs) that gather the islands toward the vegetal pole. These SCWs are inhibited by ultraviolet irradiation of the vegetal pole. Near the vegetal pole, germ plasm patches ingress into the embryo's interior along the cleavage furrow in periodic movements contemporaneous with the SCWs.
???displayArticle.pubmedLink??? 8500650
???displayArticle.link??? Dev Biol
???attribute.lit??? ???displayArticles.show???
