Click here to close
Hello! We notice that you are using Internet Explorer, which is not supported by Xenbase and may cause the site to display incorrectly.
We suggest using a current version of Chrome,
FireFox, or Safari.
???displayArticle.abstract???
The changes in gene expression leading to tail resorption that are initiated by thyroid hormone (TH) were studied in Xenopus laevis. Four of the less than 10 genes that are down-regulated during this period have been isolated; their mRNAs decay with identical kinetics. Twenty of the approximately 35 genes that are up-regulated in the first 48 h have been isolated. The up-regulated genes fall into two kinetic patterns. After a lag of several hours, the direct response genes (including thyroid hormone receptor beta) increase their mRNA level steadily for 24-48 h. The delayed genes respond mainly in the second 24 h after TH addition. The importance of these genes for tail resorption is supported by the fact that they are all regulated developmentally during normal metamorphosis in tail and respond to hormone induction when the tail becomes competent to respond to TH. The relatively simple gene expression program leading to tail resorption is contrasted with the complex and multiple periods of gene expression during limb development. The gene expression screen defines the tail resorption program and has isolated the majority of TH-regulated genes.
FIG. 1. Effect of TH pretreatment on cultured tails. Tails
were amputated from stage 54 tadpoles that had been pretreated with
100 nM TB for various times up to 48 h, then cultured in Steinberg’s
saline in the presence or absence of 20 pg/ml cycloheximide plus 100
nM anisomycin. Cultured tails from animals pretreated with TH for
up to 24 h were identical to controls. Control tails cultured in the
presence (A-A) or absence (Mof )th e inhibitors; tails pretreated
with TH for 48 h and then cultured in the presence
(A-A) or absence (-1 of the inhibitors. Four tails were used.
in each assay condition. The standardd eviation of each measurement
is indicated at each date point by the vertical bar.
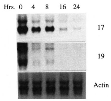
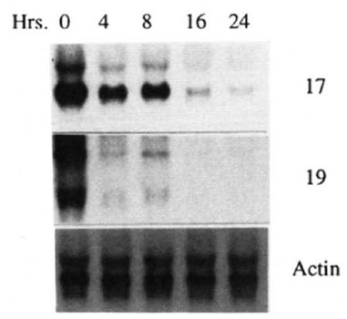
FIG. 2. Time course of the TH effect on two down-regulated
genes (17 and 19) in tadpole tails assayed by Northern blot.
Total RNA was isolated from the tails of stage 54-55 tadpoles which
had been treated with 100 nM T S for the indicated times. The quantity
of RNA loaded in each lane was standardized using an actin cDNA
probe (Mohun et al., 1984).
F'IG. 3. Time course of TH induction of isolated up-regulated
genes in X. Zaeuis tadpole tails by Northern blot analysis.
Total taiRl NA at various time points afteTrS t reatment was analyzed
as described in Fig. 2. Multiple exposures to autoradiograms were
obtained for quantitation by densitometry. The six representative upregulated
genes that are shown are: (0) gene 1, (A) gene 6 (TRB), (0)
gene 8, (0) gene 11, (W) gene 14, (A) gene A. TRa mRNA is included
(x- - - - -x).
FIG. 4. Effect of protein synthesis inhibition on TH-induced
up-regulation for three genes. Stage 54 tadpoles were treated with
or without 100 nM T3, (TH) for 8h in the presence or absence of
protein synthesis inhibitors (CHX) that were added 1 h prior to the
addition of TH. Tails were amputated and poly(A)+ RNA was electrophoresed for Northern analysis.
FIG. 5. Developmental Northern
blot analysis of TH-regulated genes
in the tadpole tailE. ach lane contains
5 pg of poly(A)+ RNA from tails at the
indicated stages of development. The
amount of RNA loaded was standardized
by probing with PR28 cDNA (Shi and
Brown, 1990). The developmental profile
of only one of the down-regulated genes
(17) is shown; the other three genes (18-
20) have identical profiles. Genes 1,5,8,
and 9 encode multiple mRNAs (Wang
and Brown, 1991). Other multiple bands
are probably due to partial degradation
of mRNAs, especially for the very high
molecular mRNAs.
FIG. 6. Developmental Northern blot analysis of representative
genes in the limb. Each lane contains 15 pg of total RNA
extracted from hind limbs at the indicated developmental stages.
Developmental expression of genes 1, 2, 3, 6, 13, 16, D, and E is
similar to that of gene 12. Patterns of genes 9,11, and A are similar
to gene 8. Developmental expression of genes 14 and B is similar to
gene C. All of the down-regulated genes are similar to gene 17. Genes
4,7 and 15 have distinct expression patterns in the limb. Gene 5 has
no detectable base line of expression in limb.
FIG. 7. Northern blot analysis of the developmental expression
of TRa and TRb genes in X. laevis hind limbs and tails
using poly(A)+ RNA and total RNA. The number of transcripts
per cell was estimated by comparing Northern and genomic Southern
signals when both types of filters were hybridized in the same hybridization
bag (Wang and Brown, 1991). The plasma T3 level in X. laeuis
tadpoles during development is illustrated with a dotted line (Leloup
and Buscaglia, 1977). limbTRa, (A-A) limbTRB,
(Wta)il TRa, (A-A) tailTRB.
FIG. 8. Acquisition of competence to TH in the tail during
development. Tails were amputated from tadpoles at indicated
stages and then cultured in Steinberg's saline in the presence of 100
nM T3. Tail shrinkage waa measured daily using the ratio of the
length of TH treated tails to that of control tails after 5 days in
culture. Four tails were used for each measurement.
Fig. 9. Competence of tail to up-regulate TH response genes. Total RNA was isolated from tails at the indicated stages pretreated with or without1 00 nMT S (TH)fo r2 4 h. The RNA was analyzed by Northern blot.