XB-ART-22041
Dev Biol
1993 Nov 01;1601:289-91. doi: 10.1006/dbio.1993.1307.
Show Gene links
Show Anatomy links
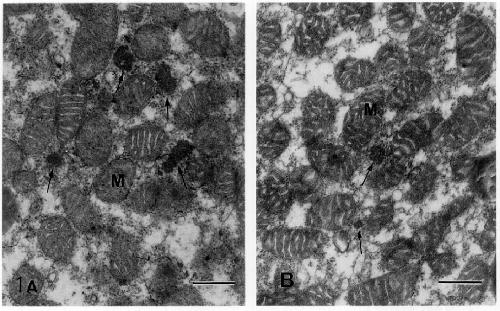
A decreased number of primordial germ cells and the small numbers and reduced sizes of germinal granules in the periodic albino mutant of Xenopus laevis.
???displayArticle.abstract???
Light and electron microscopy were used to examine the cause of the small number of primordial germ cells (PGCs) that were unexpectedly found in periodic albino (a(p)/a(p)) tadpoles of Xenopus laevis. The observations revealed that the volumes of germ plasm were not significantly different between a(p)/a(p) and wild-type eggs and that the germ plasm of ap/ap eggs contained a smaller number of germinal granules than are present in wild-type eggs and the granules were also smaller than in the wild-type eggs. It was concluded that the number of PGCs might be primarily determined by the number and size of germinal granules.
???displayArticle.pubmedLink??? 8224546
???displayArticle.link??? Dev Biol
???attribute.lit??? ???displayArticles.show???
