|
Figure 1. Sequence of a Shaker homolog in Xenopus: nucleotide and predicted amino acid sequence of XShal. The three-letter code for amino
acids is used. |
|
Figure 2. Alignment of the XShal, XSha2, MBKl, and RCKl peptides.
XShal shares 89% identity with MBKl and RCKl (Tempel et
al., 1988; Stuhmer et al., 1989) but only 77% identity with XSha2, a
previously cloned XenopusS hakerg ene (Ribera, 1990). Identity with
XSha 1 is indicated by dashesg;a ps that were introduced to enhance the
alignment are indicated by dots. The one-letter amino acid code is used.
Unique features of the K 1.1 Shakegr enes include the carboxy-terminal
residues and the tyrosine at position 373. The region thought to specify
subunit assembly specificity (shadedba r) extends from amino acids 22
to 133 and 94% and 89% identical to the similar region in MBKl/RCKl
and XSha2, respectively. The putative transmembrane domains S&S6
are drawn into boxes. The putative pore (hatched bar, residues 354-
374) contains the tyrosine residue (373, asterisk)im plicated in determination
of TEA sensitivity. Consensus sites for CAMP-dependent protein
kinase C phosphorylation are found near the carboxy terminus in
the region indicated by a dashedli ne (residues 437-445). Alignment
was achieved using the MEGALIGN program (DNASTAR) followed by
adjustments done by eye. MBKl and RCKl sequences were downloaded
from the GenBank/EMBL database. |
|
Figure 3. Characterization of the voltage-dependent potassium current induced by XShal transcripts. A, Currents induced by expression of XShal
(top) or XSha2 (bottom) RNA in oocytes were elicited by depolarizing steps to voltage levels ranging between -50 to +60 mV from a holding
potential of -80. The XShal-induced current begins to activate at -40 mV and is sustained for the duration of the 60 msec pulse, indicating that
is a delayed-rectifier-like current. XSha2 RNA induces a delayed-rectifier potassium current, which has a voltage dependence of activation that is
depolarized with respect to XSha 1. Calibration: 2 PA, 10 msec. B, Conductance density-voltage plots compare the voltage dependence of activation
of XShal- and XShaZ-induced currents in oocytes to that of the endogenous delayed rectifier (I,“) and A potassium currents (I& recorded from
primary spinal neurons (after Ribera and Spitzer 1989, 1990). Oocyte current densities were calculated assuming a cell diameter of 1 mm. The
endogenous delayed-rectifier current has activation properties that are more similar to that of XSha2. Recordings were done in standard solution. |
|
Figure 4. TEA sensitivity of XShal-induced current in oocytes. The current is efficiently blocked by TEA, in particular in the presence of
oocyte buffer. In the presence of the standard solution, which contains
10 mM cobalt and 5 mM magnesium, TEA sensitivity is reduced at low
concentrations (1 and 1.5 mr+r) but not at higher concentrations (15 and
40 mM). The sensitivities of the XSha2-induced current in oocytes as
well as the endogenous delayed-rectifier (ZKv) and A currents (Z,) to 40
rnr+r TEA in standard solution are also shown. Data for the endogenous
currents are obtained either from Rihera and Spitzer (1990) or from S.
M. Jones and A. B. Ribera (unpublished observations). Data are presenteda
sm eanf SEM for three to eight oocyteso r neurons. |
|
Figure 5. Relativel evelso f XShal andX Sha2m RNA in tadpoleb rain
RNA. RNasep rotectiona ssayin dicatesth at XShal is expresseidn the
brain of 2-3-week-olde mbryosa t levelsc omparableto that of XSha2.
The resultsf or two different brain RNA preparationsa re shown.A
neural-specifiNc -CAM probe, an early marker of neural induction
(Vintner and Melton, 1987),i s usedt o assestsh e relative amountso f
neuralt issuein the samplesE. F- la protectioni s presentedto indicate
the relative amountso f total RNA that werei ncubatedw ith the probes.
The tRhLA lane demonstratethsa t incubationw ith nonhybridizintgR NA
doesn ot protect the probesfr om degradationa ndt hat signalsa re due
to true protectionf rom digestionN. ote that the protectedb andsr un
slightlyf astert han the full-lengthp robe,s inceth e probec ontainsv ector
sequenceast its 3’ and 5’ endst hat will not hybridize to the extracted
RNA. |
|
Figure 6. XShal transcripts are detectable in young embryos by whole-mount in situ hybridization. Embryos were incubated as whole-mounts
with sense control or antisense XShal probes. The RNA probes were labeled with digoxigenin (Boehringer-Mannheim), which permitted detection
of hybridization with anti-digoxigenin antibodies coupled to alkaline phosphatase followed by reaction with the substrates NBT/BCIP to form the
purple precipitate. a, XShal hybridization signal is localized to the nervous system. Three day embryos [Nieuwkoop and Faber (NF) stage 401
hybridized either to antisense XShal probe (top) or sense control probe (bottom) were processed similarly. Note the intense staining in the head,
dorsal and ventrolateral aspects of the spinal cord. Occasionally in controls, the cement gland (arrowhead) showed background staining. However,
in the control of b, the cement gland does not show background staining. This difference may be due to the time the embryos are in substrate
solution (30 hr in a vs. 20 hr in b and c; see Materials and Methods). b and c, Slightly older embryos (NF stage 42) hybridized to antisense XShal
probes (b, right, and c, bottom) or sense control probes (b, left, and c, top) and examined at higher power demonstrate further the specificity of the
XShal signal. b, In the head, both the brain and the gill area (arrowheads) show intense staining. c, Along the length of the spinal cord, the dorsal
aspect (arrowheads) contains XShal mRNA. Scale bars, a, 700 pm; b and c, 1 mm.
|
|
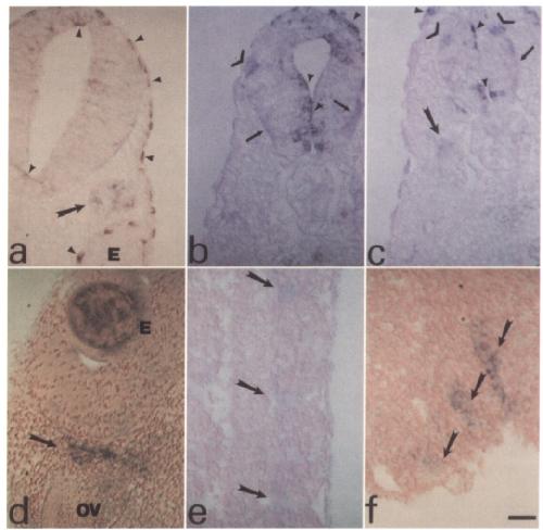
Figure 7. XShal is detected in several neural tissues, many of which contain neural crest derivatives. u-c, Transverse sections through pigmented
embryos (NF stage 38/39) at the level of the forebrain (a), hindbrain (b), and spinal cord (c). The brown-black staining in u-c is due to pigment {arrow) contains XShal-mRNA. b, Rohon-Beard’cognates jcuruts) and lateral tracts (arrows) contain XShal mRNA. c, In a 2 d embryo, the Rohon-
Beard neurons (carats) have a slightly lateral position. Lateral tracts (thin arrow) in the spinal cord contain XShal RNA. A spinal ganglion (thick
arrow) that is beginning to condense shows the XShal signal. d-f; Longitudinal sections at the level of the eye and otic vesicle (d), spinal cord
and myotomes (e), and gill arches (f) of albino embryos (NF stage 40). d, The trigeminal ganglion (arrow) is positive for XShai as Seen in a
transverse section (a). e, The region surrounding the myotomal junctions has XShal staining. Anterior is toward the bott0m.f; The gill (branchial)
arches present the XShal signal. Anterior is toward the left. E, eye; OF, otic vesicle. Scale bar, 200 pm.
|
|
Figure 8. XShal mRNA is localized to Rohon-Beard cells in the spinal cord and their cognates in the hindbrain. a, XShal is found in Rohon-
Beard neuron cell bodies that line the dorsal midline of the spinal cord of a stage 40 albino embryo. b, At the level of the hindbrain, Rohon-Beard
like cells (arrows) show XShal mRNA in a stage 38 pigmented embryo. As in Figure 7, the pigment (arrowheads) appears brown. c and d, A lateral
view of a stage 33 whole-mount albino embryo that was optically sectioned either at a midlevel (c) to focus on the Rohon-Beard cells, or at a more
superficial level. d, Note that the repeated banding appears equally well in either plane of focus. e andf; A lateral view of a stage 42 whole-mount
albino embryo that was optically sectioned either at a midlevel (e) to focus on the Rohon-Beard cells, or at a more superficial level (f). Note that
the repeated banding appears faint at a midlevel (e), but is more clear at a superficial level (f). g and h, Similar to e andf; viewed at higher power.
In g, note the Rohon-Beard cell bodies, whereas in h, note the superficial labeling that appears as repeating dorsoventral tracts. Scale bars: a, b, g,
and h, 200 pm; c-f; 500 pm. |