Click here to close
Hello! We notice that you are using Internet Explorer, which is not supported by Xenbase and may cause the site to display incorrectly.
We suggest using a current version of Chrome,
FireFox, or Safari.
???displayArticle.abstract???
We report here on the consequences of reducing the expression of EP-cadherin at the earliest stages of Xenopus development. Injection of oligodeoxynucleotides antisense to maternal EP-cadherin mRNA into full-grown oocytes reduced the mRNA level in oocytes, and the protein level in blastulae. Adhesion between blastomeres was significantly reduced, as seen in whole embryos, and in assays of the ability of blastomeres to reaggregate in culture. This effect was especially conspicuous in the inner cells of the blastula and included the disruption of the blastocoel. The severity of the EP-cadherin mRNA depletion and of the disaggregation phenotype was dose dependent. This phenotype was rescued by the injection into EP-cadherin mRNA-depleted oocytes of the mRNA coding for a related cadherin, E-cadherin, that is normally expressed at the gastrula stage in the embryonic ectoderm.
Fig. 1. Northern blot of RNA from 2.5 oocyte equivalents per lane
after injection of 4 ng sense oligo; and 4 ng, 2 ng and 1 ng antisense
61 oligo; 2 ng and 1 ng of antisense oligo 62 and uninjected control,
respectively. The antisense oligos deplete EP-cadherin mRNA
(arrow) in a dose-dependent fashion. This blot was stripped and
reprobed for EF1a RNA, to indicate RNA loading.
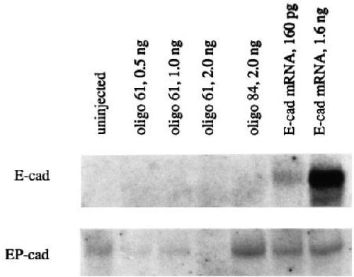
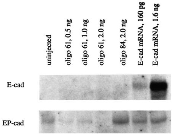
Fig. 2. Northern blot of RNA from 2.5 blastula equivalents per lane
after injection of 0.5 ng, 1.0 ng, 2.0 ng of antisense oligo, and 160 pg
and 1.6 ng E-cadherin mRNA, respectively, into the oocytes. The
blot was probed first for EP-cadherin mRNA, then stripped and
reprobed for E-cadherin mRNA. No resynthesis of EP-cadherin
mRNA is seen by the blastula stage after injection of antisense oligo
into the oocyte. E-cadherin mRNA injected into the oocyte remains
stable at least until the blastula stage.
Fig. 3. (A) The external surface of blastulae injected as oocytes with
1 ng antisense oligo. Despite the apparently normal external surface,
the inner cells are highly disaggregated (B) compared to controls (C).
The control used here was injected with an oligo that depletes
maternal MyoD mRNA, and is indistinguishable from those injected
with 1 ng antisense + 2 ng sense oligo, or 2 ng sense oligo only.
(A) Bar, 0.43 mm; (B,C) bar, 0.35 mm
Fig. 4. (A,B) Scanning electron micrographs of blastulae derived from antisense (A) and control (B) oocytes, cut open to reveal the disrupted
blastocoel after EP-cadherin RNA depletion. Bar, 0.17 mm
Fig. 5. (A) A newly dissected blastula after antisense oligo injection into the oocyte, together with a control embryo (1 ng antisense + 2 ng
sense oligo). After 4 hours (B) in 1´ MBSH the control embryo has reaggregated whereas the antisense-injected embryo remains a
disaggregated mass. After 12 hours (C) both batches of embryos have reaggregated and are indistinguishable. Both have exogastrulated due to
the high ionic strength of the saline (1´ MBSH) used to allow reaggregation. Antisense-injected blastulae that are left undissected will
gastrulate (D) and form abnormal tailbud embryos (E). These have a variety of abnormalities, but form dorsoventral and anteroposterior axes.
Control embryos at the same stage are shown in F. Bar, 0.55 mm.
Fig. 6. (A) Blastulae derived
from oocytes injected with 2 ng
sense oligo, dissected open at
the late blastula stage. (B) An
embryo at the same stage after 1
ng antisense oligo injection to
show the loss of interblastomere
adhesion. The embryos shown
in C were also injected with the
antisense oligo, but 24 hours
later were injected with 1.6 ng
E-cadherin mRNA. Normal
blastula morphology has largely
been restored. (D-F) Equivalent
embryos fixed, sectioned and
stained with a pan-cadherin
antibody. Cadherin can be seen
around the blastomeres in the 2
ng sense oligo-injected embryos
(D). It is missing from the
surfaces of the blastomeres after
1 ng antisense oligo (E) and
present again after 1 ng
antisense oligo followed by Ecadherin
mRNA (F). Notice that
the blastocoel is obliterated in E,
and restored in F. Each picture
is from an equivalent region of
the blastula, and shows animal
and marginal cells. In all cases,
the antibody stains nuclei and
the vitelline membrane nonspecifically.
(A-C) Bar, 0.55
mm; (D-F) Bar, 0.05 mm.
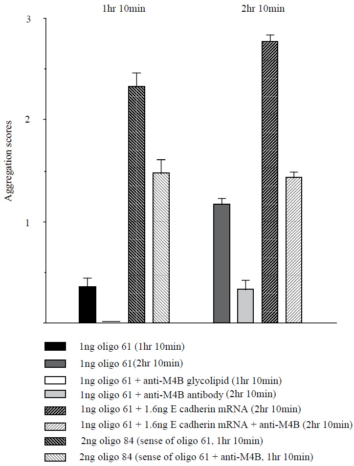
Fig. 7. Bar charts to show the rates of reaggregation of isolated
groups of 50 animal blastomeres disaggregated in Ca2+- and Mg2+-
free saline, and allowed to reaggregate in OCM for the two time
periods shown. A score of 3 indicates that the aggregates had
become smooth spheres, while 0 indicates no reaggregation. For
further details of scoring system, see Turner et al. (1992). EPcadherin
mRNA depletion causes reduced blastomere aggregation,
compared with sense-injected controls. This is rescued by the
injection of E-cadherin mRNA. In all cases, addition of anti-M4B
glycolipid further reduces aggregation.