Click here to close
Hello! We notice that you are using Internet Explorer, which is not supported by Xenbase and may cause the site to display incorrectly.
We suggest using a current version of Chrome,
FireFox, or Safari.
???displayArticle.abstract???
To investigate, at the molecular level, the remodeling of small intestine during amphibian metamorphosis, a subtractive hybridization approach was used to identify genes that are differentially regulated by thyroid hormone. A frog cDNA was isolated from Xenopus laevis and determined to be the gene encoding the intestinal fatty acid-binding protein (IFABP) based on its high sequence homology to the previously cloned mammalian IFABP gene. Northern blot analyses and in situ hybridization histochemistry also showed that, like the mammalian IFABP genes, frog IFABP gene expression is restricted to the intestinal epithelium. Xenopus embryos express detectable IFABP mRNA at stage 33/34, suggesting that intestinal epithelial cells differentiate well before feeding begins at stage 45. Moreover, during metamorphosis, levels of IFABP mRNA were gradually down-regulated over a period of about 20 days between stages 54 and 62, reaching a minimum at metamorphic climax, after which they were reelevated as the secondary epithelium forms. This reduction in IFABP gene expression could be reproduced in only 3 days by treating premetamorphic tadpoles with thyroid hormone. Our findings also show that this effect, while likely to be indirect, takes place before overt morphological changes are evident in primary epithelial cells. Thus, the down-regulation of IFABP mRNA is one of the early molecular events preceding epithelial cell death during intestinal remodeling.
FIG. 1. Nucleotide and amino acid sequence of the Xmtopus eDNA encoding a frog homolog of the mammalian intestinal fatty acid-binding
protein (IFABP). The full-length clone has 614 bases comprising a 5'-untranslated region, a start site initiating an open reading frame that
encodes 132 amino acids, followed by a stop codon, and a 3'-untranslated region; the putative polyadenylation signal is underlined.
FIG. 2. Frog and mammalian intestinal fatty-acid binding proteins are the same size, and ~70% identical in amino acid sequence. Residues
different from frog (xiF ABP) are shown for human (hlFABP; Sweetser et aL, 1987) or rat (rlF ABP; Alpers et al., 1984:). Note that the
amino-terminal half of the proteins is more conserved than the carboxy-terminal half. The four asterisks at the carboxy-terminal half localize
amino acids in rat, identical to £rug and human, that have been shown by Sacchettini et al. (1989) to interact with a lipid substrate in a cocrystal.
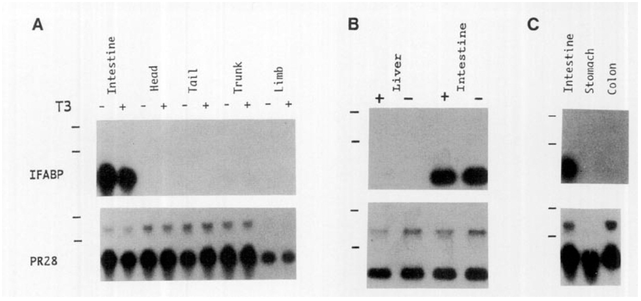
FIG. 3. NQrthern blot analyses show the tissue-specific. expression of IF ABP mRN A in the Xenopus sma\l intestine. T<Jtal RNA was isolated
from stage 52- 54 tadpoles not treated(-) or treated with T8 (+)for one day; top and bottom panels are duplicate fi lters hybridized with either
an IFABP-specific eDNA probe or the control PR28 probe whose expression does not change (see Materials and Methods); bars indicate
positions of 18S and 28S rRNA. (A) Regions and tissues dissected from premetamorphic tadpoles indicate that the IF ABP gene is expressed only
in the intestine (10 pg/lane except 1.5 ~g for limb); slight labeling in trunk is likely to be due to intestinal contamination. (B) IFABP mRNA is
undetectable in tadpoleliver (5jig/lane). (C) Specific tissues from the gastrointes tinal tract: of juvenile frogs confirm IF ABP gene expression is
restricted to the small intestine (10 ug/lane) .
FIG. 4. In sit!t hybridization histochemistry using a radiolabeled cRNA loealizes IFABP gene expression to columnar cells in the primary
epithelium. Bright-field and dark-field photomicrographs of cross-sections from the small intestines of stage 52-54 tadpoles hybridized with an
antisense 80S-labeled ri'ooprobe (A, C) show IF ABP expression specifically in the intestinal epithelium (E), but not in tbe connective tissue {C) or
muscle (M). (A and B) At low magnification (200><), high specific labeling (A) is evident by comparing signals in the primary epithelium (e.g.,
between small arrows) to that produ~d on contrcl serial sections (B) hybridited with a radiolabcled sense cRNA. (C and D) At higher
magnification (6.30><), IFABP mRNA (C) is clearly associated with the more abundant absorptive columnar epithelial cells (ac) and less so with
goblet cells (ge), whose cytoplasmsta ins more darkly on the lumenal side; in cont rast, epithelial cell labeling was absent in control sections (D).
Note that nonspecific sticking of both probes always occurred to debris in the intestinal lumen (L).
FIG. 6. Relationship of IFABP gene expression to endogenous thyroid hormone concentration during development. Measurements of IFABP
mRNA are derived from Northern and slot-blot hybridization of total RNA from oocytes (1) and entire stage 33/34 to 66 developing Xenopus and
Mrmalized using the control PR28 probe (see Materials and Methods). Note that just as plasma T3 is increasing (Leloup and Buscaglia, 1977)
IFABP mRNA is down-regulated in stages 58 to 62 tadpoles undergoing metamorphosis. While the up-regulation of IFABP mRNA is also
inversely correlated to falling levels of thyroid hormone after stage 62, our T, treatment experiments show that recovery of IFABP gene
express ion can occur even when T8 is high (Fig. 7).
FIG. 7. Intestinal remodeling and differential regulation IFABP gene expression can be induced by exogenous thyroid hormone. (A) The
lengths of stage 52-54 tadpole intestines were measured showing a 2- to 3-fo\d reduction during T8 treatment. (B) Northern hybridization (5
#'g/lane) shows a compression by T3 treatment of the normal temporal pattern of down- and up-regulation of IFABP mRNA in tadpoleintestine;
note that recovery of IFABP mRNA at Day 5 occurs despite high levels of thyroid hormone. (C) In situ hybridization of intestinal cross-sections
(200x) from tadpoles T3-treated for 3 days shows normal epithelial cell morphology (compare to Fig. 4A) and incipient epithelial infolding
(large arrows), but the antisense cRNA al.s6 shows reduced levels of IFABP mRNA compared to untreated tadpoles (e.g., between small arrows).
Note that the IFABP signal is still higher relative to adjacent sections hybridized using a sense tiboprobe. Serial sections also show that
lumenal debris is minimal because treated tadpoles stop feeding (see Discussion). Labels and methods are as in Fig. 4 (the higher labeling in the
intestinal lumen is nonspecific).