Click here to close
Hello! We notice that you are using Internet Explorer, which is not supported by Xenbase and may cause the site to display incorrectly.
We suggest using a current version of Chrome,
FireFox, or Safari.
Dev Biol
1994 Feb 01;1612:466-76. doi: 10.1006/dbio.1994.1045.
Show Gene links
Show Anatomy links
Presence of inositol 1,4,5-trisphosphate receptor, calreticulin, and calsequestrin in eggs of sea urchins and Xenopus laevis.
Parys JB, McPherson SM, Mathews L, Campbell KP, Longo FJ.
???displayArticle.abstract???
The presence of inositol 1,4,5-triphosphate receptor (InsP3R), calreticulin, and calsequestrin was demonstrated in eggs of sea urchins (Lytechinus pictus, Lytechinus variegatus, and Strongylocentroutus purpuratus) and Xenopus laevis. Binding of inositol 1,4,5-trisphosphate (InsP3) to microsomes of L. pictus eggs was inhibited by heparin and NaCl. An affinity-purified antibody against the C-terminal of the type I InsP3R, which recognizes InsP3R isoforms of rabbit brain (273 kDa) and Xenopus oocytes and eggs (256 kDa), reacted with a 373-kDa protein in sea urchin eggs. The 373-kDa protein was tentatively identified as the sea urchin egg InsP3R. Observations with fluorescence microscopy indicated that the InsP3R is present throughout the cytoplasm of sea urchin eggs in a pattern consistent with the distribution of endoplasmic reticulum. Small differences in the relative amount of reaction deposits in cortex vs subcortex were noted among the species of sea urchins examined. Reaction product was also localized to the periphery of female pronuclei in eggs of all three sea urchins. InsP3R reactivity was present in the perinuclear region, along the periphery of the germinal vesicle, and throughout the animal and vegetal hemispheres of Xenopus oocytes. A similar cytoplasmic staining pattern was also observed in eggs, although islands of reactivity, much larger than those in oocytes, were present in the animal hemisphere of eggs. Calreticulin and calsequestrin in sea urchin eggs had the same molecular mass as in rabbit brain (56 and 60 kDa, respectively), but differed from those present in Xenopus oocytes/eggs (61 and 57 kDa, respectively). The distribution of calreticulin and calsequestrin in both sea urchin and Xenopus oocytes and eggs was similar to that observed for the InsP3R. These results are discussed in relation to previous studies of Ca2+ regulation during egg development and fertilization and suggest that in the oocytes and eggs of the species examined, InsP3-sensitive Ca2+ stores play an important role in the regulation of cellular Ca2+.
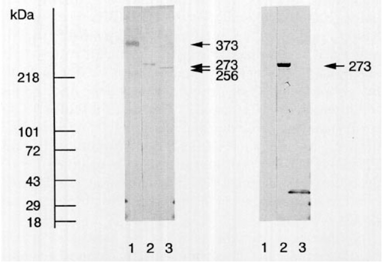
FIG. 1. fmmunoblot of InsP,R molecules using Rbt52, an affinitypurified
antibody directed against the C-terminal of the type I InsP 8R
(A), or Goat 44, an affinity-purified polyclonal antibody against rabbit
brain InsP,R (B). Samples: L pictus cortical membranes, 100 pg (I);
rabbit cerebellar membranes, 50 J'g (2); and XenOjl'l.CS oocyte microsomes,
200 Jlg (3). The molecular masses of the InsP3R molecules are
indicated.
Fm. 4. Xenopus ooc:yte (a-c) and egg (d-f) reacted with affinity-purified Rbt52 antibody to the C-terminal of the InsP8R. Reaction product ,
distributed throughout the cytoplasm, is present within the AH (a and d) and VH (band e) of eggs and oocytes. (a) AH of an oocyte showing a
reticular staining pattern circumscribing relatively small, nonstaining spaces. The dense pigment layer (P) of the AH partially obscures
staining within the cortex. (b) In the VH reactivity is present in regions between yolk bodies (Y) and forms a reticular pattern larger than that
present in the AH. (c) Perinuclear reactivity and staining associated with the germinal vesicle (GV). (d) Reactivity in the AH of eggs forms a
reticular pattern consisting of relatively large islands (arrows) of staining. In addition to pigment granules, staining is apparent within the
cortex (C). (e) Reticular staining pattern characteristic of the VH of eggs. (f) Control section of an egg stained with only secondary antibody.
Scale bar, 10 pm.
FIG. 5. Detection of calreticulin and calsequestrin on immunoblots
of sea urchin and Xenopus specimens. Samples: rabbit light sarcoplasmic
reticulum, 40 ~g (1); L. 11ictus cortical membranes, 200 pg (2); L
pictus microsomes, 200 pg (3); Xenopu:; oocyte microsomcs, 200 ~ (4);
Xenopu.<; egg microsomes, 200 p.g ( 5 ); Xenopus egg melanosomcs, 200 J.Lg
(6); and Xenopus egg yolk bodies, 200 J.Lg (7). After SDS-PAGE and
immunoblotting, staining was with affinity-purified an tibody against
calreticulin (left) or with antiserum against chicken cardiac calsequestrin
(right).
FIG. 6. Localization of calreticulin in L. pict1~s and Xenopus eggs. (a)
Using an affin ity-purified antibody against calreticulin, reaction deposits
are distributed throughout the egg cytoplasm of L. pi.ctuS-. Simi·
lar localization patterns are found in L. vnriega.tus and S purpumtus
eggs. (b) Reactivity in the AH of Xenop1~s eggs forms a pattern similar
to that seen with affinity-purified Rbt52 ant ibody in which relatively
large islands (arrows) of staining are present. C, cortex. Scale bar, 10
Jim.