Click here to close
Hello! We notice that you are using Internet Explorer, which is not supported by Xenbase and may cause the site to display incorrectly.
We suggest using a current version of Chrome,
FireFox, or Safari.
Dev Biol
1994 Mar 01;1621:169-80. doi: 10.1006/dbio.1994.1076.
Show Gene links
Show Anatomy links
Photoreceptor outer segment development in Xenopus laevis: influence of the pigment epithelium.
Stiemke MM, Landers RA, al-Ubaidi MR, Rayborn ME, Hollyfield JG.
???displayArticle.abstract???
Opsin gene expression, synthesis, and photoreceptor outer segment morphology were evaluated during retinal development in Xenopus laevis. Retinal rudiments were harvested during in vivo development from embryonic stages 31 through 46 or were allowed to develop in vitro after removal from stage 33/34 embryos for 1, 2, or 3 days either with or without an investing pigment epithelium. Opsin mRNA was detected at stage 33/34 and the transcript level increased until stage 40 and remained at this level through stage 46. Opsin was first detected at stage 37/38 and progressively increased through stage 46. Rudimentary photoreceptor outer segment membranes occasionally appeared as early as stage 33/34 and they gradually increased in length, forming well-defined stacks of collapsed membranous saccules (discs) during in vivo development. The maturation of eye rudiments in culture was followed to determine how closely in vivo and in vitro development compare and to examine the ability of photoreceptors to differentiate when maintained in the absence of an overlying pigment epithelium (PE) layer. With the PE present, opsin mRNA as well as opsin content steadily increased over the entire culture period. After 1 day of culture, short cilia with minimal amounts of outer segment membranous material were present. By Day 3, the degree of outer segment differentiation corresponded morphologically to approximately stage 43 of in vivo development. When cultured in the absence of an investing PE, the opsin mRNA level increased minimally during the 3 days in culture. Opsin content increased, yet the relative amount was approximately 50% less than that present in retinas developing in the presence of the PE. Membranous material was elaborated; however, the outer segments appeared to be highly disorganized and formed whorl-like structures rather than the normal stacked disc morphology. These results suggest that the PE may be involved in regulating opsin at the transcriptional and/or translational levels and also participates in the organization of rod outer segment membranes.
FIG. 1. Steady-state mRNA levels and opsin content during in vivo
maturation of the XenO'pWJ retina. Opsin mRNA can be detected concomitant
with initiation of outer segment elaboration (stage 33/ 34)
and the transcript level remains constant from stages 40 through 46
(A). (B) The corresponding dot blot for the data presented in (A).
Opsin can first be detected at stage 37/ 38 and the level of accumulation
progressively increases throughout the developmental time
frame of the present study (C).
FIG. 2. Electron and light micrographs of selected stages of in ~~ivo Xencrpu._q retina development. (A) A micrograph demonstrating the
immunolabeling that occurs with the B6-30N antibody in connection with a gold-labeled secondary antibody, whereas B, C, and Dare micrographs
from routine microscopy. Occasionally immunoreactive outer segment membranes are seen as early as stage 33/ 34 (A). At stage 35/ 36
(B) the retina is beginning to lose its undifferentiated appearance and is becoming stratified with the three nuclear layers being separated by
plexiform layers. By stage 41 (C) the retina is fully differentiated and well developed outer segments of both rods (arrowheads) and cones
(arrows) are present. Oil droplets can be seen in most inner segments of both rods and cones (asterisks). With continued in vivo development,
the outer segment length further increases, with the rod outer segments (arrowheads) becoming more cylindrical and less tapered than the
cones, making them readily distinguishable (stage 46; D). Also, by stage 46, the oil droplets have disappeared from the inner segments of the
rods. Scale bar in A, 0.5 ~m; in B-D, 100 ~m .
FIG. 3. lmmunocytochemistry ming B6·30N anti-opsin on retinas of X laevis. B6-30N labels specifically the outer segment of the principal rod
of the Xenopus retina of adult (A) and stage 41 embryos (B). It labels neither the minor rod (A) nor cone (B) outer segments. Note the
immunolabeling located in the apical portion of the inner segment of the stage 41 embryo retina (arrows) Scale bar, lJtm.
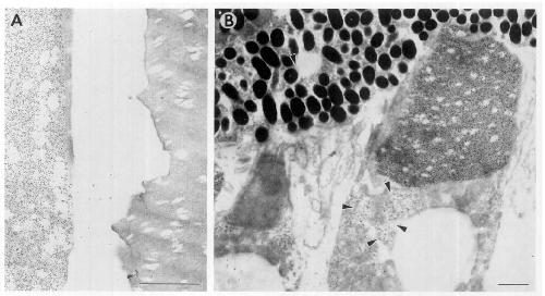
FIG. 4. Micrograph of retinal rudiments removed from stage 33/ 34
embryos and allowed to develop in both the absence and the presence
of the PE for 3 days. The PE has retracted from the neuroepithelial
surface and collected around the limbus in those cultures in which the
PE had been nicked prior to placement in culture (arrow). The photoreceptor
array is clearly evident in the two rudiments in which the PE is
absent. Those rudiments a \lowed to mature in the presence of the PE
show an intact hexagonal epithelial layer that is heavily pigmented.
Scale bar, 1 mrn.
FIG. 5. Steady-state mRNA levels and opsin content during in 11itro
maturation of the Xenopus retinal rudiment. The graphs demonstrate
a difference in the opsin transcript levels and contents between eye
rudiments cultured in the presence and the absence of an investing
PE. Under in vitro conditions, opsin mRNA (A) of the retinal rudiments
increases with time in culture; however, the level of transcript
present at each day is significantly greater if the PE was investing the
retina\ rudiment. (B} The correspDnding dot blot {or the data presented
in (A). A similar pattern of diversity is present between rudiments
cultured with versus without an investing PE when examining
the opsin contents (C}; darkly shaded, with PE; lightly shaded, without
PE.
FIG. 6. Light micrographs of in vitro development of Xenovuseye rudiments cultured in the presence of an apposing PE for 1, 2, or 3 days (A, B,
C, respectively) or in its absence for 1, 2, or 3 days (D, E, F, respectively). When allowed to differentiate in the presence of the PE, outer segment
morphology closely parallels in vivo maturation. Organized stacked membranes are elaborated and by Day 3 of culture, the length of the outer
segment (arrowheads) approaches that of in vivo stage 42 (C). When allowed to develop without an investing PE, outer segment membranes are
elaborated; however, they appear as whorl-like structures rather than with disc-like morphology (arrowheads, D-F ).
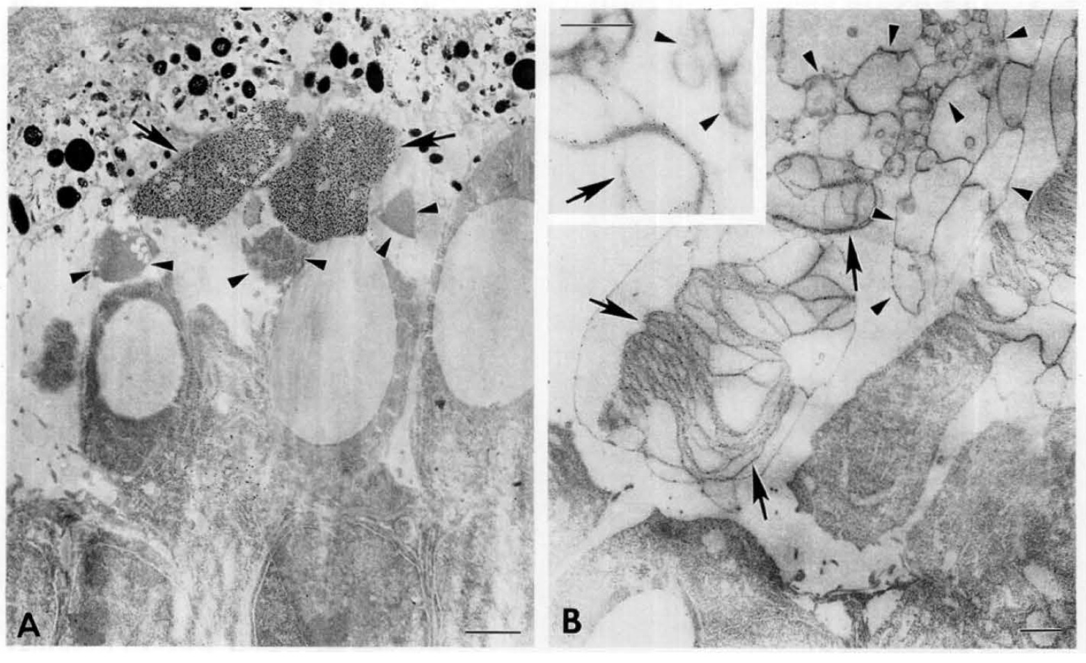
FIG. 7. Immunocytochemistry using B6-30N on retinal rudiments maintained in vitro for 3 days either with (A) or without (B) an enveloping
PE. Most outer segments are immunolabeled (arrows). However, some membranous material is unlabeled (arrowheads) indicating that it could
have been elaborated by either minor rods or cones. Scale bars, 1 ~m.