XB-ART-21361
Cell
1994 Apr 22;772:283-95.
Show Gene links
Show Anatomy links
Follistatin, an antagonist of activin, is expressed in the Spemann organizer and displays direct neuralizing activity.
Hemmati-Brivanlou A, Kelly OG, Melton DA.
???displayArticle.abstract???
In the accompanying paper, we show that the expression of a dominant negative activin receptor can convert prospective ectoderm into neural tissue, which suggests that activin is an inhibitor of neuralization. Here we report the isolation and characterization of an activin antagonist, follistatin, that can induce neural tissue directly in vivo. Follistatin RNA is localized in the Spemann organizer and notochord, tissues known to be potent neural inducers. We demonstrate that follistatin RNA and protein are able to block the activity of activin in embryonic explants. Furthermore, we show that follistatin RNA directly neuralizes ectodermal explants in the absence of detectable mesoderm. Thus, follistatin is present at the correct time and location to play a role in neural induction in vivo.
???displayArticle.pubmedLink??? 8168135
???displayArticle.link??? Cell
Species referenced: Xenopus laevis
Genes referenced: ag1 fn1 fst gsc nes nog
???attribute.lit??? ???displayArticles.show???
|
|
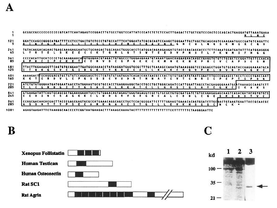
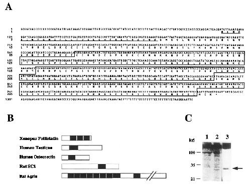
Figure 1. Xenopus Follistatin 319 Is a Secreted Protein (A) Nucleotide and deduced amino acid sequence of XFS-319. The signal sequence is underlined; the follistatin modules are boxed. (B) Comparison of relative positions and numbers of follistatin modules in testican, osteonectin, SC1 , and agrin. The open reading frames are presented as boxes and follistatin modules as filled boxes. Each box is drawn to scale except for the long carboxy-terminal box of agrin, which is denoted by two diagonal lines. (C) XFS-319 is a secreted protein. Capped synthetic RNA encoding XFS-319 was used in a reticulocyte lysate for in vitro translation or injected in Xenopus oocytes. The conditioned medium from control uninjected (lane 1) and injected (lane 2) oocytes as well as the reticulocyte lysate (lane 3) was fractionated by SDSPAGE. In both cases, a protein of about 32 kd was made from the follistatin mRNA. |
|
|
Figure 2. Expression of Xenopus Follistatin (XF-319) mRNAs during Different Stages of Xenopus Development (A) Developmental Northern blot using 2 pg of stage-specific poly(A)+ RNA per lane. The blot was probed with full-length XFS-319 cDNA. Two transcripts of 3.6 and 2.4 kb are detected beginning at late gastrula/early neurula (stage 12). Overexposure of the same blot indicates that the 2.4 kb transcript is present maternally (data not shown). The embryonic stages are as follows: 9, blastula; IO, 11, and 12 are early, middle, and late gastrula; 13, 14, and 20 are early, middle, and late neurula; 36 is a tadpole stage. The lower panel shows the hybridization of the same blot with the Xenopus fibronectin gene to test for RNA recovery. The low follistatin and fibronectin signals at stage 11 appear to be due to the fact that less RNA is loaded in that lane (see whole-mount in situ hybridizations for stage 11 in Figure 38). (B) XFS-319 transcript is expressed maternally. RT-PCR analysis of total RNA from fertilized eggs demonstrates that the XFS-319 transcript is encoded maternally. The control lane is a reaction with all the ingredients of the neurula lane taken through the whole procedure, from which, however, the RT was omitted. The presence of the translational elongation factor, EF-la, is used as positive control. (C) XFS-319 RNA is present on the dorsal side at the onset of gastrulation. Embryos at stage 10% were dissected into dorsal and ventral parts. RNA from each part was analyzed by RT-PCR. XFS-319 is present only in the lane containing RNA from the dorsal side. The presence of noggin and goosecoid in the same fraction controls for the accuracy of the dissections. The assay for EF-la demonstrates again that comparable amounts of RNA are present in all experimental lanes. The control lane contains all the ingredients of the embryo lanes except for RT. |
|
|
Figure 3. Whole-Mount In Situ Hybridization of Xenopus Embryoswith an Antisense XFS-319 RNA (A) Stage 10 embryo, vegetal view. Follistatin RNAs can be detected in a few cells of the organizer (top of embryo). (6) Mid-gastrula stages. RNAs are confined to the prechordal and anterior chordal mesoderm. (C) Early neurula stage. RNAs are localized to the head mesoderm and anterior portion of the notochord. (D) Mid-neurula. Broad band of expression covers the prospective midbrain-hindbrain junction and hindbrain region. (E) Late neurula. The neural tube and dorsal axis were isolated from the rest of the embryo, showing that the broad band of expression is now confined to a few stripes in the midbrain and hindbrain. (F) Ventral side of the explant in (E), showing theexpression in the anterior notochord. The arrows indicate the position of the blastopore. (0) Superficial view of an early tailbud. showing expression in the pronephros. (H and I) Expression in the eye and pronephros in tailbud embryo. (J and K) RNAs are expressed abundantly in the head in swimming tadpole stage embryo. (L) Control using sense XFS-319 RNA as a probe. All embryos shown are albinos. |
|
|
Figure 4. Transverse Sections of Embryos Stained by Whole-Mount In Situ Hybridization for XFS-319 RNA Distribution (A) Transverse section of a late gastrula (stage 11.5). Animal pole is at the top, dorsal to the left, and ventral to the right. XFS-319 RNA is exclusively localized to the dorsal side of the embryo. RNA staining is perinuclear and restricted to cells in the deep layer, prechordal mesoderm, and anterior chordal mesoderm. The arrow marks the yolk plug. (B) Transverse section of an early neurula (stage 14) embryo showing the localization of XFS RNA in the notochord, just underneath the open neural plate, and the cells of the hypochord. (C) Transverse section through the forebrain of a swimming tadpole, showing that XFS RNA is localized as three dorsoventral stripes in the cells of the ventricular zone (arrows). Staining is absent from the floor plate and roof plate. For both (B) and (C), dorsal side is at the top. |
|
|
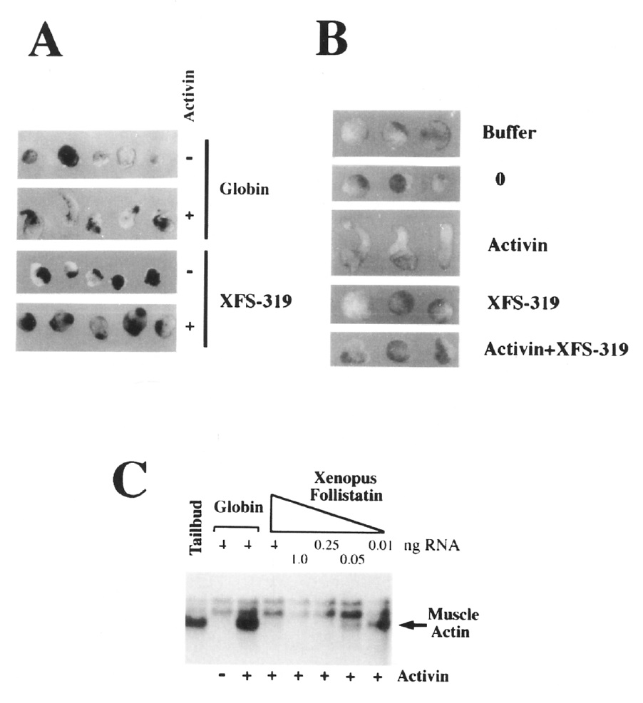
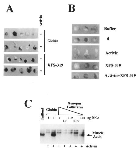
Figure 5. XFS-319 Inhibits Morphogenetic Movements and Mesoderm Formation Induced by Activin Buffer 0 Activin XFS-319 Activin+XFS-319 Muscle - Actin - + + + + + + Activin (A) Injection of follistatin RNA blocks the morphogenetic movement of cells in response to activin. The top two panels are control caps injected with globin RNA and show strong elongation in the presence of activin (plus) and no elongation in the absence of activin (minus). The two lower panels are animal caps injected with follistatin. This treatment completely blocks the morphogenetic movement induced by activin. (6) Effect of XFS319 protein on animal caps. The top two panels show that in either buffer aloneor in the presence of conditioned medium collected from uninjected oocytes (0) the caps do not elongate. Incubation of caps in conditioned medium containing activin results in elongation, while XFS-319 protein (XFS-319) does not elicit morphogenetic movements in the caps. Addition of an equal volume of XFS- 319 to the activinconditioned medium results in the blockage of the activin-induced morphogenetic effect. We did not detect any cement gland under these experimental conditions. (C) Northern blot analysis of mesoderm induction in the presence of Xenopus follistatin. Embryos at the 2cell stage were injected in the animal pole with different concentrations of XFS-319 RNA or the control (globin) RNA. Animal caps were explanted at the blastula stage (stage 8) and cultured wtth or without activin until sibling uninjected embryos reached the early tailbud stage (stage 28). Total RNA from 20 animal caps was analyzed by Northern blots. Control caps injected with 4 ng of globin induce muscle actin transcription in response to activin. This induction is blocked in a dose-dependent fashion in caps that have received follistatin. The two top bands are uniformly expressed actin transcripts and thus demonstrate that a comparable amount of RNA was loaded in each lane. The bottom band (arrow) is the muscle-specific |
|
|
Figure 6. Xenopus Follistatin Induces Neural Markers in the Absence of the Axial Mesodermal Marker Muscle Actin Animal caps injected with 2 ng of globin or XFS-319 RNA were cultured in buffer alone until sibling controls reached earlytailbud stages. These caps were tested by Northern blot for the expression of two general neural markers, N-CAM and 64ubulin II, as well as the axial mesodermal marker muscle actin. |
|
|
Figure 7. XFS-319 Does Not Induce the Expression of Immediate Early Mesodermal Markers in Animal Cap Explants Embryos were injected in the animal pole of both blastomeres with 2 ng of XFS-319 RNA or control globin RNA. Animal caps, from uninjetted and injected embryos, were explanted at blastula stage (stage 8) and divided into two groups. The first group was allowed to develop until sibling uninjected embryos reached midgastrula stage (stage 10.5), and RT-PCR assay was used to score for expression of immediate- early mesodermal markers in uninjected or injected animal caps. Neither of the two general immediate early markers of mesoderm, X&a and MM, nor the dorsal specific markers, noggin and goosecoid, nor the ventral marker Xwnf-8 are induced by XFS-319. Addition of activin to the uninjected caps induced the expression of all of these markers in the explants, demonstrating that these caps are responsive to induction. The embryo lane represents RNA extracted from stage 10.5 embryos and provides a positive control for the primers and the size of the expected product. The negative control lane contains all the ingredients of the embryo lane except for RT. The second group was cultured until early tailbud stages and analyzed by RT-PCR for expression of neural markers (as in Figure 9). This provides a positive control for the neural inducing activity of XFS-319 RNA. |
|
|
Figure 8. Dose Response Effect of XFS-319 RNA and Neural Induction Embryos were injected in the animal pole at the 2-cell stage, in both blastomeres, with different concentrations of XFS-319 RNA. Animal caps were explanted from blastulae (stage 8) and cultured until early tailbud stage (stage 28) at which point total RNA was harvested from all explants and analyzed by Northern blots for the expression of the general neural marker, f&tubulin isotype II, as well as the cement gland marker, XAG-7. While the uninjected control animal cap does not show expression of either marker, as little as 50 pg of XFS-319 induces the general neural marker. Moreover, the cement gland-specific marker requires a minimum of 250 pg to be induced. The same blot was stripped of its signals and reprobed with muscle actin. This control demonstrates that neuralization is direct and was not accompanied by mesoderm induction. The two top ubiquitous bands of actin demonstrate that comparable amounts of RNA were loaded in each lane. |
|
|
Figure 9. Anteroposterior Character of the Neural Tissue Induced by XFS-319 Embryos were injected with 2 ng of XFS-319 or control globin RNA at the 2-cell stage, and, at the blastula stage, animal caps were removed, and the expression of a set of neural anteroposterior markers in tailbud stage explants was assessed by RT-PCR. While uninjected caps or caps injected with the same amount of the control globin RNA do not induce the expression of any of these markers, animal caps expressing XFS-319 specifically induce the expression of the general neural marker N-CAM and anterior markers opsin, En-2, and tanabin. Krox-20 and Xlhbox-6 expression is absent in these caps. For opsin, the arrow points to the band of predicted size for this marker. The axial mesodermal marker, muscle actin, is not induced in any explant. The EF-la control demonstrates that a comparable amount of RNA was assayed in each set. |
|
|
Figure 10. Activin, but Not Noggin, Induces the Expression of Xenopus Follistatin (A) Animal cap exolants were isolated from btastulae (stage 8) and incubated in the presence or absence of activin. When sibling controls reached the gastrula stage (stage 10.5) total RNA was assayed by RT-PCR for XFS- expression. Explants incubated in the presence of activin induce the expression of follistatin. The embryo lane contains RNA from sibling controls (stage 10.5). The control lane contains all the ingredients of the embryo lane except for RT. The EF-1 o signal demonstrates that a comparable amount of RNA was assayed in each lane. (6) Left panel, 2-41 stage embryos were injected in the animal pole of both blastomeres with 1 ng of noggin RNAor control globin RNA. The explants were cut, harvested, cultured, and scored for XFS-319 RNA under the same conditions described for (A). Noggin does not induce the expression of follistatin RNA. Noggin in these experiments is active, since it was able directly to neuralize animal cap explants from the same experiment harvested at tailbud stage. (C) Activin induces the expression of follistatin in the context of the whole embryo. Embryos were injected at the &to 16-cell stage in a single vegetal blastomere with 2 pg of either Xenopus activin Bb or globin control RNA. Embryos were allowed to develop until early neurula stage (stage 21) and ware then assayed by whole-mount in situ hybridization for the expression of follistatin. While the control injected embryo at the right demonstrates a single primary axis (I), the embryo on the left injected with activin contains an ectopic axis (II) that stains positively for follistatin transcript. The in situ probe used in this study and the sense control probe (not shown) are the same as those in Figure 3. |
