Click here to close
Hello! We notice that you are using Internet Explorer, which is not supported by Xenbase and may cause the site to display incorrectly.
We suggest using a current version of Chrome,
FireFox, or Safari.
Dev Biol
2005 Apr 08;10401-2:14-28. doi: 10.1016/j.brainres.2004.12.056.
Show Gene links
Show Anatomy links
Evidence that urocortin I acts as a neurohormone to stimulate alpha MSH release in the toad Xenopus laevis.
Calle M, Corstens GJ, Wang L, Kozicz T, Denver RJ, Barendregt HP, Roubos EW.
???displayArticle.abstract???
We have raised the hypothesis that in the South African clawed toad Xenopus laevis, urocortin 1 (UCN1), a member of the corticotropin-releasing factor (CRF) peptide family, functions not only within the brain as a neurotransmitter/neuromodulator but also as a neurohormone, promoting the release of alpha-melanophore-stimulating hormone (alphaMSH) from the neuroendocrine melanotrope cells in the intermediate lobe of the pituitary gland. This hypothesis has been investigated by (1) assessing the distribution of UCN1 and CRF by light immunocytochemistry, (2) determining the subcellular presence of UCN1 in the neural lobe of the pituitary gland by immuno-electron microscopy applying high-pressure freezing and cryosubstitution, and (3) testing the effect of UCN1 on MSH release from toad melanotrope cells using in vitro superfusion. In the X. laevis brain, the main site of UCN1-positive somata was found to be the Edinger-Westphal nucleus. UCN1 immunoreactivity (ir) also occurs in the nucleus posteroventralis tegmenti, central gray, nucleus reticularis medius, nucleus motorius nervi facialis, and nucleus motorius nervi vagi. UCN1 occurs together with CRF in the nucleus motorius nervi trigemini, and in the magnocellular nucleus, which send a UCN1- and CRF-containing fiber tract to the median eminence. Strong UCN1-ir and CRF-ir were found in the external zone of the median eminence. From the internal zone of the median eminence, UCN1-ir fibers, but few CRF-ir fibers, were found to project to the pituitary neural lobe, where they form numerous neurohemal axon terminals. Ultrastructurally, two types of terminal containing UCN1-ir secretory granules were distinguished: type A contains large, moderately electron-dense, round secretory granules and type B is filled with smaller, strongly electron-dense, ellipsoid secretory granules. In vitro superfusion studies showed that UCN1 stimulated the release of alphaMSH from melanotrope cells in a dose-dependent manner. Our results support the hypothesis that in X. laevis, UCN1 released from neurohemal axon terminals in the pituitary neural lobe functions as a stimulatory neurohormone for alphaMSH release from melanotrope cells of the pituitary intermediate lobe.
Fig. 2.
Transverse sections at levels aâj (see Fig. 1) of the brain and pituitary gland of X. laevis, showing CRF-immunoreactive cell bodies and fibers. (a) Mitral cell layer. (b) Post-olfactory eminence. (c) Nucleus accumbens, with varicose fiber (inset). (d) Amygdala pars lateralis. (e) Suprachiasmatic nucleus, with arrowhead indicating dendrite contacting the CSF. ep, Ependymal cell layer. (f) Nucleus of the paraventricular organ, with dendrites contacting CSF (arrowheads). (g) Medial part of magnocellular nucleus. (h) Fiber tract running from the magnocellular nucleus to the median eminence. (i) Median eminence, with internal (i) and external (e) zone. (j) Neural lobe (N) and distal lobe (D) of the pituitary gland, with arrowheads indicating neurohemal axons. Scale bar aâf, i = 20 μm, g, h, j = 50 μm.
Fig. 3.
Transverse sections at levels KâQ of the brain of X. laevis, showing CRF-immunoreactive cell bodies and fibers. (a) Varicose fibers in EdingerâWestphal nucleus. (b) Tectum mesencephali, cell bodies. (c) Tectum mesencephali, fibers. (d) Anterior tegmental nucleus, with varicose fiber in inset. (e) Nucleus motorius nervi trigemini. (f) Locus coeruleus. Scale bar a, c = 10 μm, b, dâf = 20 μm.
Fig. 4.
Transverse sections from level A to level J of the brain and pituitary gland of X. laevis, presenting UCN1-immunoreactive cell bodies and fibers. (a) Medialseptum. Inset: varicose fiber. (b) Amygdala pars lateralis. Inset: varicose fiber. (c) Ventral part of the magnocellular nucleus with arrowhead indicating dendrite contacting the CSF. (d) Medial part of the magnocellular nucleus. (e) Fiber tract running from the magnocellular nucleus to the median eminence. (f) Median eminence, with internal (i) and external (e) zone. (g) UCN1-positive fibers (arrowheads) running in the internal zone of the median eminence on their way to the neural lobe. (h) Neural lobe of the pituitary gland (N) with neurohemal axon terminals, shown in detail in inset. D, distal lobe. In a, b, and c, dorsal is not on top and orientation of dorsal (d)âlateral (l) has been indicated. Scale bar aâe, g = 20 μm, f = 50 μm, h = 10 μm.
Fig. 5.
Transverse sections at levels KâQ of the brain of X. laevis, with UCN1-immunoreactive cell bodies and fibers. (a) EdingerâWestphal nucleus. (b) Detail of (a), showing intricate dendritic ramifications. (c) Nucleus motorius nervi trigemini. (d) Cochlear nucleus, with varicose fiber in inset. In c, dorsal is not on top, and orientation of dorsal (d)âlateral (l) has been indicated. Scale bar a = 50 μm, b = 25 μm, c = 10 μm, d = 20 μm.
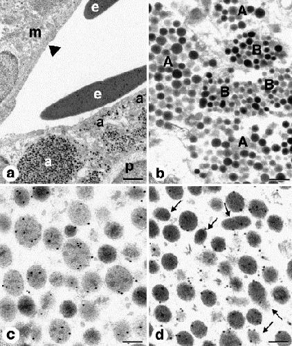
Fig. 6.
Electron micrographs of (a) neurohemal axon terminals (a) in the pituitary neural lobe near blood vessel contacting melanotrope cell (m) in intermediate lobe. e, erythrocyte, p, pituicyte; arrowhead indicates endothelial cell lining vessel, (b) type A and type B terminals filled with secretory granules, (c) detail of type A axon terminals with large, moderately electron-dense granules immunoreactive (gold particles) to UCN1, (d) detail of type B axon terminals with many flat and pleomorph (arrows), mostly electron-dense granules immunoreactive (gold particles) to UCN1. Scale bar a = 1 μm, b = 300 nm, c, d = 200 nm.
Fig. 7.
Effect of different concentrations of X. laevis UCN1 (10−10 to 10−7 M) on the release of radiolabeled peptides (mainly αMSH; see [31]) from dissociated melanotrope cells superfused in vitro. Vertical grayed bars indicate 10-min fractions during which UCN1 was given. Secretion is expressed as a percentage of the control secretion level, which was set at 100% (n = 4).