Click here to close
Hello! We notice that you are using Internet Explorer, which is not supported by Xenbase and may cause the site to display incorrectly.
We suggest using a current version of Chrome,
FireFox, or Safari.
???displayArticle.abstract???
This study presents an ultrastructural analysis of layers 8 and 9 in the optic tectum of Xenopus laevis. Retinotectal axons were labelled with horseradish peroxidase and tectal cells were labelled with antibody to GABA. Four distinct axonal and dendritic structures were identified. GABA-negative axon terminals formed asymmetric synapses and were categorized as type a-1 (which included retinotectal axons), characterized by medium size synaptic vesicles and pale mitochondria, and type a-2 (non-retinotectal) with large vesicles and dense mitochondria. GABA-negative dendrites (type d) contained dense mitochondria, microtubules in the dendritic shafts, and dendritic spines devoid of microtubules. GABA-positive structures contained small synaptic vesicles and dense mitochondria. Some dendrites (type D) were not only postsynaptic but were also presynaptic elements, as defined by the presence of vesicles and distinct synaptic clefts with symmetric specializations. GABA-positive presynaptic structures were mostly located in vesicle-filled, bulbous extensions of dendritic shafts and usually terminated onto dendritic spines. Some type D dendrites were the middle element in serial synapses, with input from either GABA-positive or GABA-negative structures and output to GABA-negative structures. Retinotectal terminals were identified as one of the synaptic inputs to GABA-positive processes. Glia were characterized by granular cytoplasm and large mitochondria, often displaying a crystalline matrix structure. These results indicate that GABA-positive neurons are a prominent component of circuitry in the superficial layers of the tectum of Xenopus and that, as in mammals, they participate in serial synaptic arrangements in which retinotectal axons are the first element. These arrangements are consistent with complex processing of visual input to the tectum and a central role for inhibitory processes in the shaping of tectal responses.
FIG. I . (A) Sagittal section of tectum stained with antibody to GABA. The small round and oval stained elements are cell bodies. The larger stained elements
are blood cells. The surface of the tectum is covered by meninges that contain melanophores. The numbers show tectal layers. Scale bar = 100 pm. (B) Cells
in layer 9 with visibly stained soma and apical dendrite. (C) A pair of dendritic shafts. Arrows indicate possible dendritic appendages. Scale bar in B and
C = 10ym.
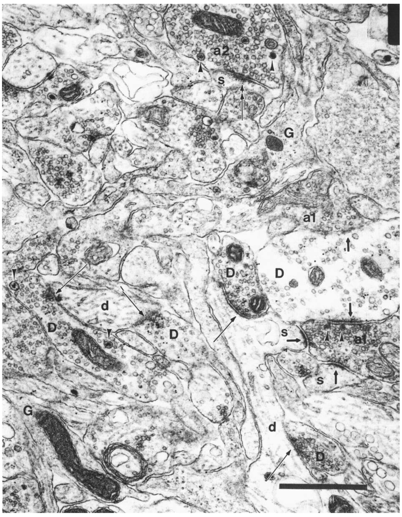
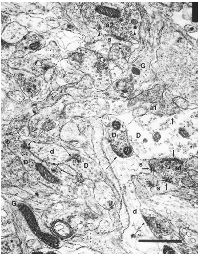
FIG. 2. Section of layer 9 showing most of the structures recognized in this study. At the top of the picture, an a-2 terminal with large vesicles and dark
mitochondrion forms an asymmetric synapse (double arrow) onto a dendritic spine (s). In the middle right of the picture, an a-I terminal forms three asymmetric
synapses (thick mows): two onto dendritic spines (s) and one onto a GABA-positive dendrite (D) which is also postsynaptic to another a-1 terminal (thick
arrow). At the bottom of the picture, a type d dendritic shaft with microtubules is postsynaptic to two GABA-positive presynaptic foci in type D dendrites (thin
mows) which form symmetric synapses. In the middle left, two presynaptic foci of type D dendrites synapse (thin arrows) onto a type d dendritic shaft.
Arrowheads show dense core vesicles in a-I, a-2, and type D terminals. Glial cells (G) are visible between the nerves. GABA immunogold procedure 1. Scale
bar = 1 pm.
FIG. 3. (A) GABA-negative a-I terminal with medium size vesicles and pale mitochondria forms three asymmetric synapses (thick arrows) onto dendritic spines
(s). On the upper right, a GABA-positive presynaptic focus (D) forms a symmetric synapse (thin mow) onto a dendritic spine (s), which also receives synapses
from two a-I terminals (thick arrows). (B) An a-2 terminal with large synaptic vesicles and electron-dense mitochondria is surrounded by dendritic spines (s)
and GABA-positive dendrites (D). GABA immunogold method 2. Scale bar = 0.5 pm.
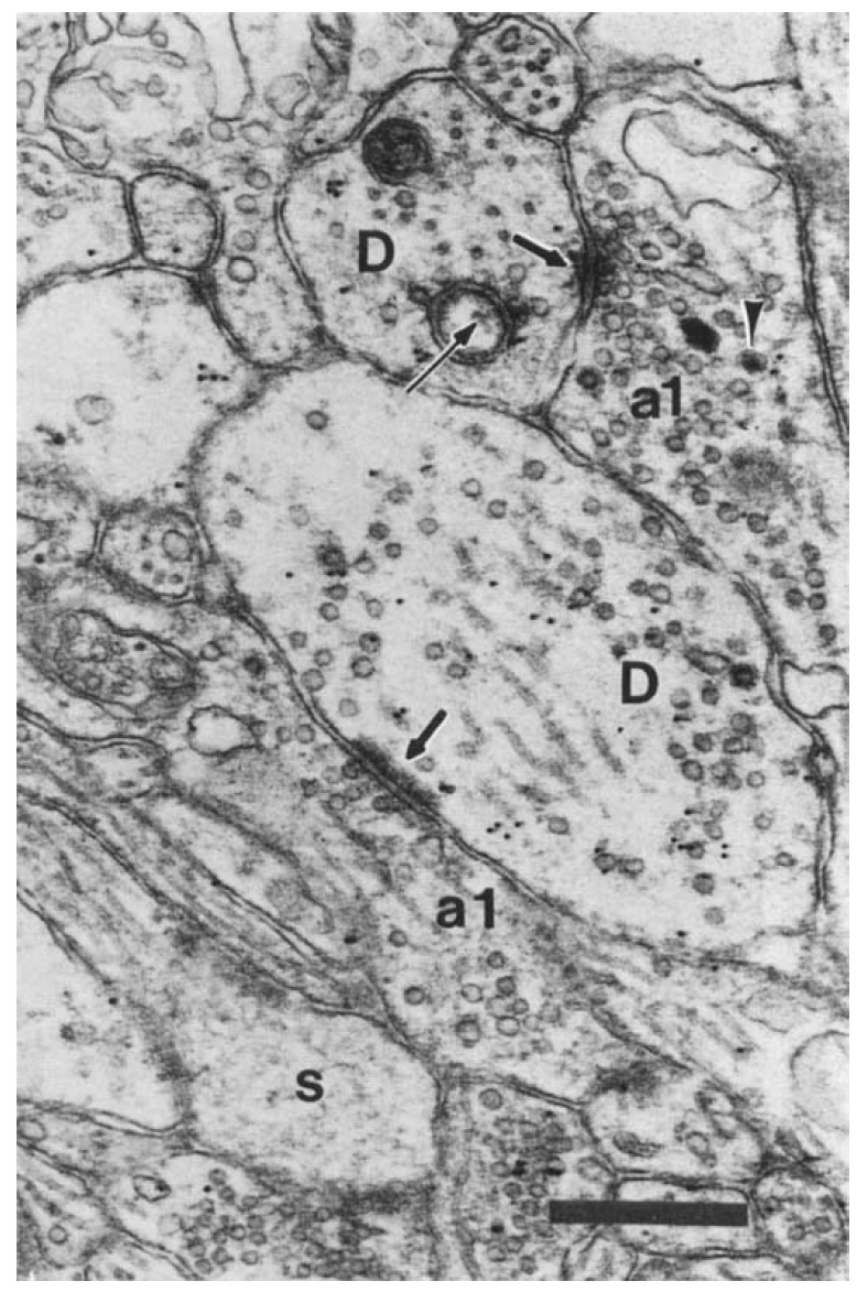
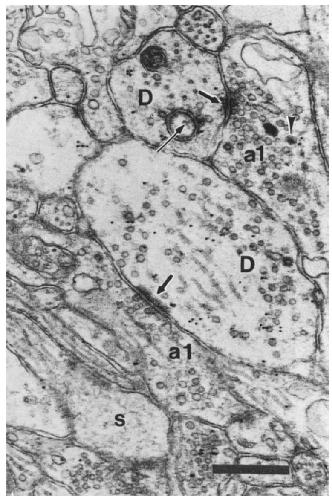
FIG. 4. ’ h o a-1 axons with en passanr asymmetrical synapses (thick arrows)
onto type D dendrites. The upper dendrite (D) forms a symmetrical synapse
(thin arrow) onto an invagination by a dendritic spine. Another dendritic spine
(s) is visible in the lower centre. Arrowhead shows dense core vesicle. GABA
immunogold method 1. Scale bar = 0.5 pm.
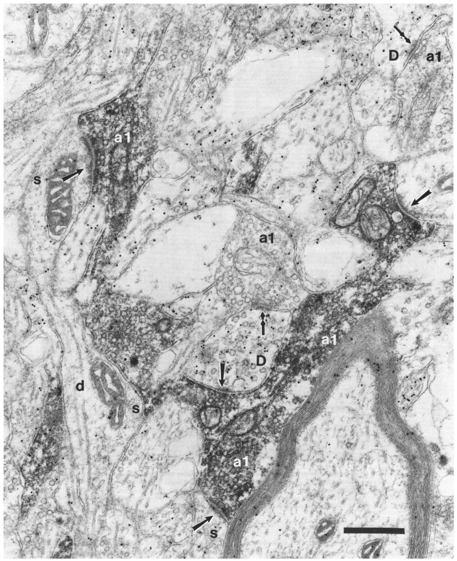
FIG. 5. HRP-labelled type a-1 retinotectal terminals form asymmetric synapses (thick arrows) onto dendritic spines (s) and onto a GABA-positive dendrite (D).
The latter is also postsynaptic to a non-labelled a-I terminal (double arrow). A type d dendrite on the left side shows two type s dendritic spines. GABA
immunogold method 2. Scale bar = 0.5 pm.
FIG. 6. Gold labelling of GABA-positive dendrites with bulbous extensions (type D) distinguishes them from a GABA-negative a-1 terminal (left) which forms
two asymmetric synapses (thick arrows) onto dendritic spines (s). The upper spine is also postsynaptic (thin arrow) to a presynaptic focus of a type D structure.
Inset, a pale mitochondrion with tubular cristae in a type d dendrite. GABA immunogold method 2. (B) Upper right, HRP-labelled retinotectal axon synapses
(thick arrow) onto a GABA-positive dendritic shaft (D, upper right). Centre, an a-2 terminal synapses onto a dendritic spine (s) which is also postsynaptic (thin
arrow) to a GABA-positive dendrite, D. GABA irnmunogold method 2. Scale bars = 0.5 prn.
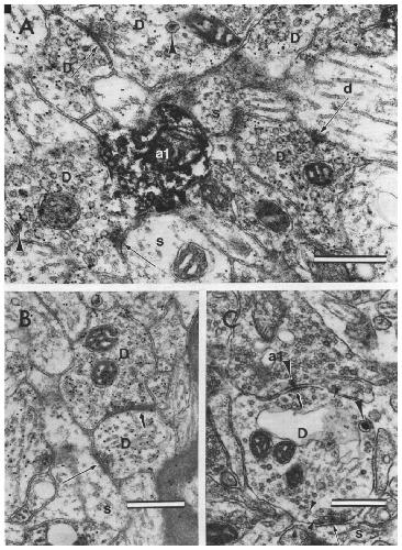
Ftc. 7. (A) HRP-labelled a-1 retinotectal terminal surrounded by dendritic spines (s) and GABA-positive dendritic bulbs (D) with presynaptic foci which
synapses (thin arrows) onto different structures: GABA-positive (D) dendrite (upper left), GABA-negative dendritic spine (s) (lower centre), and type d dendritic
shaft (centre, right). GABA-immunogold method 2. (B) Serial synapses with a type D dendritic shaft postsynaptic (thick arrow) to a presynaptic focus in a type
D dendrite and presynaptic (thin arrow) to a dendritic spine (s). GABA immunogold method 2. (C) Serial synapses. A vesicle bearing type D dendrite [identified
on the basis of small synaptic vesicles, occasional flattened vesicles (small arrowheads), and dark mitochondria] is postsynaptic (thick arrow) to an a-1 terminal
with a pale mitochondrion and medium size vesicles and presynaptic (thin arrow) to a dendritic spine (s). Large arrowheads show dense core vesicles. Scale
bars = 0.5 pm.
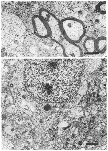
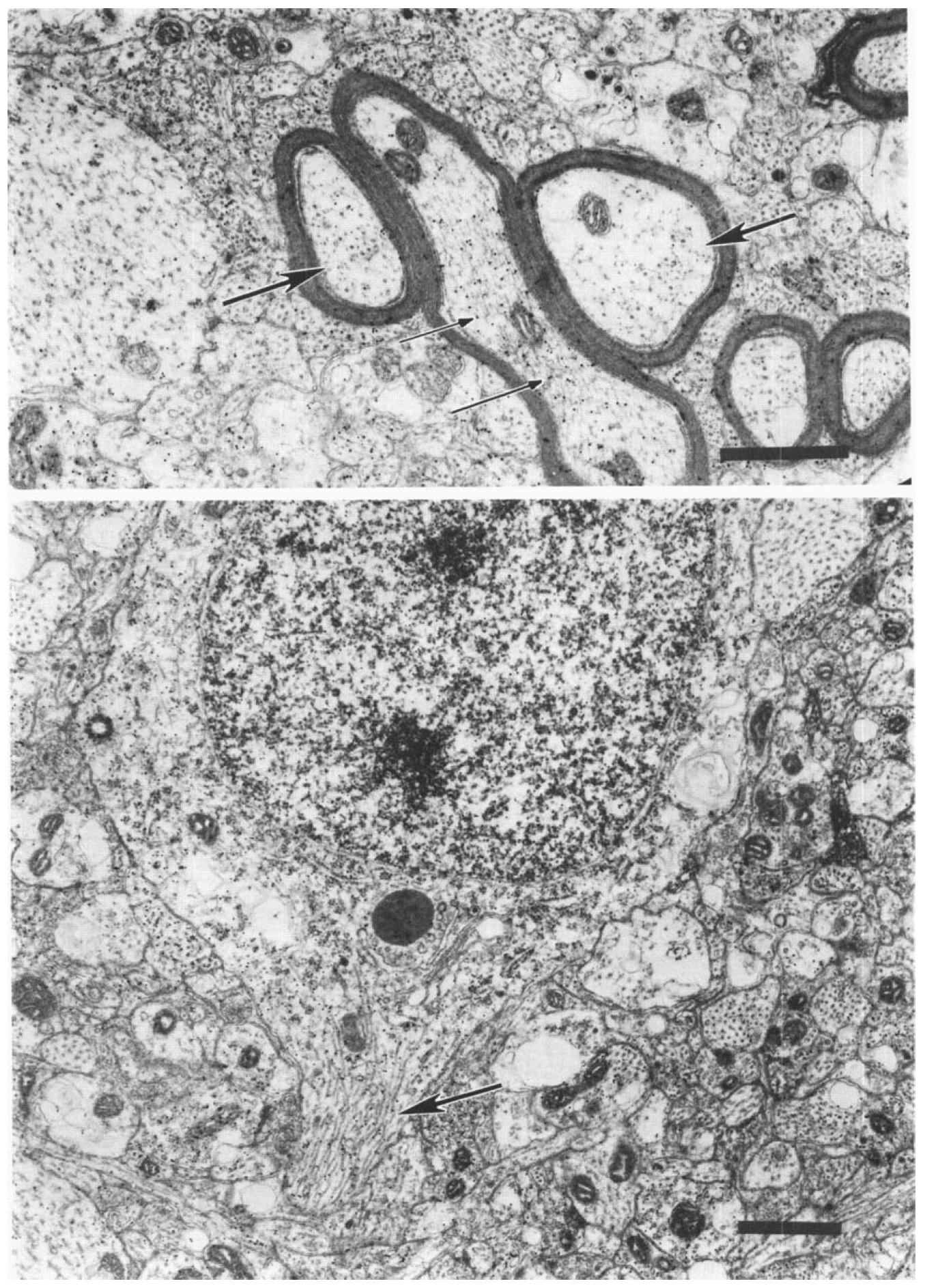
FIG. 8. (A) Myelinated axons in layer 7 include GABA-positive (small arrows) and GABA-negative (large arrows) axons. GABA immunogold method 2. (B)
Fragment of GABA-positive cell body in layer 8, with a presumptive axon hillock (arrow) directed toward the lower part of the tectum. GABA immunogold
method 2. Scale bars = 1 pm.
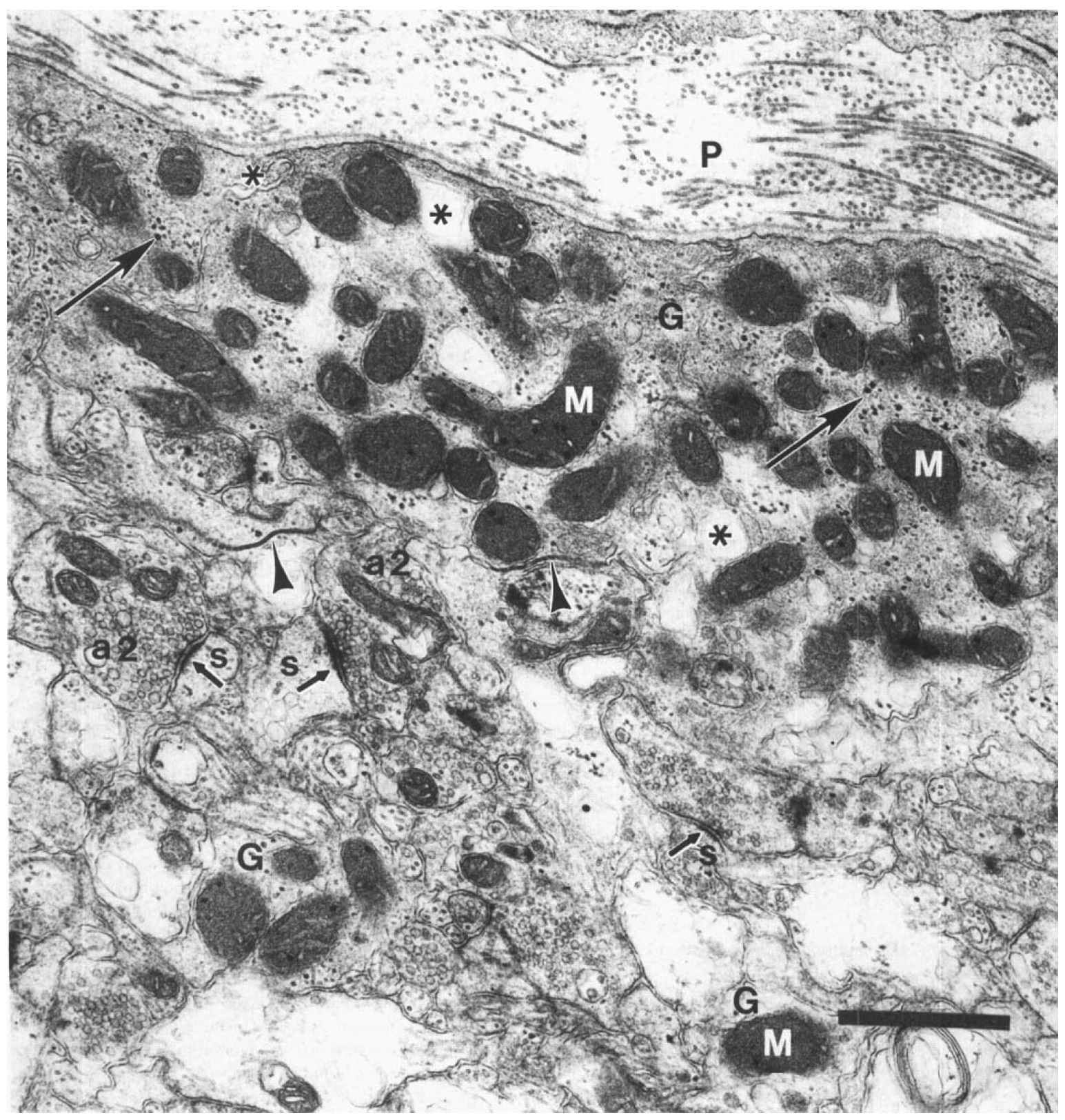
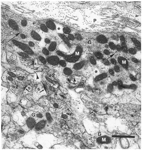
FIG. 9. Most superficial part of the optic tectum showing a surface layer of glial cells (G) just beneath the pia (P) and sections of glial cells between the nerves.
Note the gap junctions between glial cells (arrowheads). Glial organelles include large mitochondria (M) with electron-dense matrix and dense granules, smooth
endoplasmic reticulum (asterisk) which occasionally forms large vesicles, and glycosomes (large arrows). Two type a-2 axon terminals and one unidentified
terminal (small arrows), synapse onto dendritic spines (s). No uranyl acetate en bloc. Scale bar = 1 pm.
FIG. 10. Mitochondria (M) in glia (G) just below the pia (P) show matrix with crystalline structure sectioned longitudinally and regular peripheral arrangement
of cristae (thin arrows). Glycosomes (thick arrows); endoplasmic reticulum (asterisks). Inset, glial mitochondria (M) showing areas with the regular peripheral
arrangement of cristae (thin arrows) and bulging parts with irregular cristae (wavy arrow). No uranyl acetate en bloc. Bar = 0.5 pm.