Click here to close
Hello! We notice that you are using Internet Explorer, which is not supported by Xenbase and may cause the site to display incorrectly.
We suggest using a current version of Chrome,
FireFox, or Safari.
Cloning and expression of the Xenopus and mouse Msh2 DNA mismatch repair genes.
Varlet I, Pallard C, Radman M, Moreau J, de Wind N.
???displayArticle.abstract???
Bacterial MutS protein and its yeast and human homologs MSH2 trigger the mismatch repair process by their initial binding to mispaired and unpaired bases in DNA. We describe the cloning and sequencing of genes from Xenopus laevis and Mus musculus encoding the homolog of the Saccharomyces cerevisiae MSH2 (the major DNA mismatch binding protein). Mutations in the human homolog of this gene have recently been implicated in microsatellite instability and DNA mismatch repair deficiency in tumour cells from patients with the most common hereditary predisposition to cancer (Lynch syndrome, or hereditary non-polyposis colorectal cancer, HNPCC), as well as in a significant percentage of sporadic tumours. Expression of the amphibian and murine Msh2 gene in different tissues appears to be ubiquitous. The Xenopus gene is highly expressed in eggs, a model system for the biochemistry of DNA mismatch repair. Expression of the murine gene is low in all tissues examined, and is relatively high in a rapidly dividing cell line. These data are suggestive of a role for MSH2 during DNA replication.
Figure 1. Comparison of the deduced amino acid sequences from all MSH2
homologs known today. Abbreviations are as follows: ScMSH2: pepddic sequence
of MSH2 frum Zcercvistae (10); XMSH2: MSH2 &om X/anir, MMSH2: mouse
MSH2; HMSH2: human MSH2 (25, 26) ., . indicate identical amino acids and
conservative substitutions respectively; — corresponds to a gap in the aligned
sequence. Position of the primers used in the PCR reactions are shown with arrows.
Conserved protein domains are in boM: NTP-binding motifs A -D and DNAbinding
domain (helix—turn—helix) HTH.
Figure 2. Transcription and translation in vitro of the Xmsh2 cDNA sequence.
Synthesized proteins were analysed on 8% SDS—PAGE. As a centred we
expressed the E.coli mutS gene, provided with a Kozak sequence and a nuclear
localization signal (NLS) (N.de Wind, unpublished). Protein molecular weight
markers are indicated on the left.
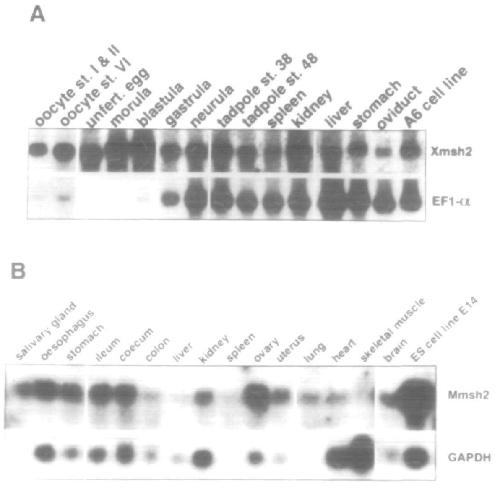
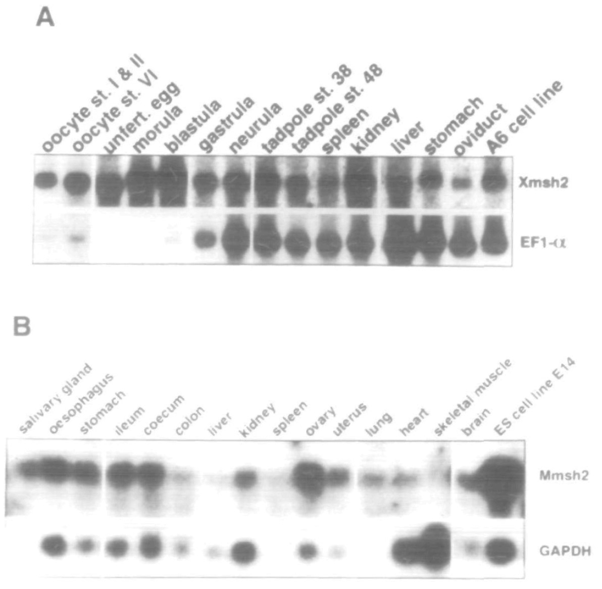
Figure 3. Northern blot analysis of Xenopus (A) and mouse (B) transcripts at
different developmental stages and in various tissues from the adult animals. (A)
4 - 5 /ig of Xenopus poly(A)+ RNA were loaded in each lane. Positions of the
transcripts hybridizing to the Xmsh2 probe (3.2 kb) and to rhe EFl-a control
probe (1.6 kb) are indicated. The expression of the translation elongation factor
EFl-a starts at the mid-blastula transition during development (50). (B) 10-30
/xg of mouse total RNA were loaded, electrophoresed and blotted, and rhe blot
was hybridized to rhe Mmsh2 cDNA probe. GAPDH: glyceraldehyde phosphate
dehydrogenase in RNA as an internal control.
Figure 4. Dendogram showing clustering relationships between rhe different MSH
proteins, generated with the PILEUP program (37). Abbreviations are as follows:
DUT-1: human DUT-1 (22), REP-3: mouse Rep-3 (21), SW14: S.pombe SW14
(20), MSH3: S.ccre\isiae MSH3 (11. 12), HMSH2: human HMSH2 (25. 26).
MMSH2: mouse MMSH2, XMSH2: Xenopus XMSH2, MSH2: S.cerevisiae
MSH2 (10), MutS (Ec). E.coli MutS (51), MutS (St): S.typhimurium MutS (52),
MutS (Av): Azotobacter vinelandu MutS (53), HexA- S.pnaanoniae HexA (54),
MSH1: S.cerevisiae MSH1 (10) and MSH4: S.cerevisiae MSH4 (23).
Aaltonen,
Clues to the pathogenesis of familial colorectal cancer.
1993, Pubmed
Aaltonen,
Clues to the pathogenesis of familial colorectal cancer.
1993,
Pubmed Bankier,
Random cloning and sequencing by the M13/dideoxynucleotide chain termination method.
1987,
Pubmed Branch,
Defective mismatch binding and a mutator phenotype in cells tolerant to DNA damage.
1993,
Pubmed Bronner,
Mutation in the DNA mismatch repair gene homologue hMLH1 is associated with hereditary non-polyposis colon cancer.
1994,
Pubmed Brooks,
Mismatch repair involving localized DNA synthesis in extracts of Xenopus eggs.
1989,
Pubmed
,
Xenbase Devereux,
A comprehensive set of sequence analysis programs for the VAX.
1984,
Pubmed Fishel,
The human mutator gene homolog MSH2 and its association with hereditary nonpolyposis colon cancer.
1993,
Pubmed Fleck,
The swi4+ gene of Schizosaccharomyces pombe encodes a homologue of mismatch repair enzymes.
1992,
Pubmed Fujii,
Isolation and characterization of cDNA clones derived from the divergently transcribed gene in the region upstream from the human dihydrofolate reductase gene.
1989,
Pubmed Goldmacher,
Isolation and partial characterization of human cell mutants differing in sensitivity to killing and mutation by methylnitrosourea and N-methyl-N'-nitro-N-nitrosoguanidine.
1986,
Pubmed Gorbalenya,
Superfamily of UvrA-related NTP-binding proteins. Implications for rational classification of recombination/repair systems.
1990,
Pubmed Haber,
Nucleotide sequence of the Salmonella typhimurium mutS gene required for mismatch repair: homology of MutS and HexA of Streptococcus pneumoniae.
1988,
Pubmed Han,
Genetic instability in pancreatic cancer and poorly differentiated type of gastric cancer.
1993,
Pubmed Henikoff,
Unidirectional digestion with exonuclease III in DNA sequence analysis.
1987,
Pubmed Higgins,
CLUSTAL: a package for performing multiple sequence alignment on a microcomputer.
1988,
Pubmed Holmes,
Strand-specific mismatch correction in nuclear extracts of human and Drosophila melanogaster cell lines.
1990,
Pubmed Ionov,
Ubiquitous somatic mutations in simple repeated sequences reveal a new mechanism for colonic carcinogenesis.
1993,
Pubmed Karran,
Self-destruction and tolerance in resistance of mammalian cells to alkylation damage.
1992,
Pubmed Kat,
An alkylation-tolerant, mutator human cell line is deficient in strand-specific mismatch repair.
1993,
Pubmed Kramer,
Cloning and nucleotide sequence of DNA mismatch repair gene PMS1 from Saccharomyces cerevisiae: homology of PMS1 to procaryotic MutL and HexB.
1989,
Pubmed Krieg,
The mRNA encoding elongation factor 1-alpha (EF-1 alpha) is a major transcript at the midblastula transition in Xenopus.
1989,
Pubmed
,
Xenbase Le,
Azotobacter vinelandii mutS: nucleotide sequence and mutant analysis.
1993,
Pubmed Linton,
Dual bidirectional promoters at the mouse dhfr locus: cloning and characterization of two mRNA classes of the divergently transcribed Rep-1 gene.
1989,
Pubmed Liu,
hMSH2 mutations in hereditary nonpolyposis colorectal cancer kindreds.
1994,
Pubmed Lothe,
Genomic instability in colorectal cancer: relationship to clinicopathological variables and family history.
1993,
Pubmed Lynch,
Genetics, natural history, tumor spectrum, and pathology of hereditary nonpolyposis colorectal cancer: an updated review.
1993,
Pubmed Miret,
Characterization of a DNA mismatch-binding activity in yeast extracts.
1993,
Pubmed Modrich,
Mechanisms and biological effects of mismatch repair.
1991,
Pubmed New,
The yeast gene MSH3 defines a new class of eukaryotic MutS homologues.
1993,
Pubmed Newport,
A major developmental transition in early Xenopus embryos: I. characterization and timing of cellular changes at the midblastula stage.
1982,
Pubmed
,
Xenbase Nicolaides,
Mutations of two PMS homologues in hereditary nonpolyposis colon cancer.
1994,
Pubmed Pabo,
Protein-DNA recognition.
1984,
Pubmed Palombo,
Mismatch repair and cancer.
1994,
Pubmed Papadopoulos,
Mutation of a mutL homolog in hereditary colon cancer.
1994,
Pubmed Parsons,
Hypermutability and mismatch repair deficiency in RER+ tumor cells.
1993,
Pubmed Peltomäki,
Microsatellite instability is associated with tumors that characterize the hereditary non-polyposis colorectal carcinoma syndrome.
1993,
Pubmed Priebe,
Nucleotide sequence of the hexA gene for DNA mismatch repair in Streptococcus pneumoniae and homology of hexA to mutS of Escherichia coli and Salmonella typhimurium.
1988,
Pubmed Prolla,
Dual requirement in yeast DNA mismatch repair for MLH1 and PMS1, two homologs of the bacterial mutL gene.
1994,
Pubmed Radman,
Mismatch recognition in chromosomal interactions and speciation.
1993,
Pubmed Reenan,
Isolation and characterization of two Saccharomyces cerevisiae genes encoding homologs of the bacterial HexA and MutS mismatch repair proteins.
1992,
Pubmed Reenan,
Characterization of insertion mutations in the Saccharomyces cerevisiae MSH1 and MSH2 genes: evidence for separate mitochondrial and nuclear functions.
1992,
Pubmed Schlensog,
The Escherichia coli fdv gene probably encodes mutS and is located at minute 58.8 adjacent to the hyc-hyp gene cluster.
1991,
Pubmed Staden,
The current status and portability of our sequence handling software.
1986,
Pubmed Strand,
Destabilization of tracts of simple repetitive DNA in yeast by mutations affecting DNA mismatch repair.
1993,
Pubmed Thibodeau,
Microsatellite instability in cancer of the proximal colon.
1993,
Pubmed Thomas,
Heteroduplex repair in extracts of human HeLa cells.
1991,
Pubmed Valle,
The sequence of a 6.3 kb segment of yeast chromosome III reveals an open reading frame coding for a putative mismatch binding protein.
1991,
Pubmed Varlet,
DNA mismatch repair in Xenopus egg extracts: repair efficiency and DNA repair synthesis for all single base-pair mismatches.
1990,
Pubmed
,
Xenbase Walker,
Distantly related sequences in the alpha- and beta-subunits of ATP synthase, myosin, kinases and other ATP-requiring enzymes and a common nucleotide binding fold.
1982,
Pubmed Williamson,
Meiotic gene conversion mutants in Saccharomyces cerevisiae. I. Isolation and characterization of pms1-1 and pms1-2.
1985,
Pubmed