Click here to close
Hello! We notice that you are using Internet Explorer, which is not supported by Xenbase and may cause the site to display incorrectly.
We suggest using a current version of Chrome,
FireFox, or Safari.
Activin induces the expression of the Xenopus homologue of sonic hedgehog during mesoderm formation in Xenopus explants.
Yokotal C, Mukasa T, Higashi M, Odaka A, Muroya K, Uchiyama H, Eto Y, Asashima M, Momoi T.
???displayArticle.abstract???
The Xenopus homologue of sonic hedgehog (Xhh) was detected in Xenopus embryos at stages 13 and 31 by RT-PCR, but it was not expressed in explants isolated from the animal hemisphere of Xenopus embryos at stage 8-9. Treatment of the animal cap with activin (1-100 ng/ml) induced the expression of Xhh. However, it was not induced by 100 ng/ml basic fibroblast growth factor (bFGF). Whole mount in situ hybridization confirmed the expression of Xhh in the animal cap treated with activin. The expression of Xhh induced by activin was not inhibited in the presence of cycloheximide, suggesting that Xhh is an early response gene induced by activin.
Figure1.
Detectiono fXhh
in the Xenopus
embryosat stages 13 and 31
by RT-PCR.
A) The RT-PCR products obtained from the RNA of Xenopusembryos at stages 13 and 31. Lane 1, molecular marker; lane 2, stage 13; and lane 3, stage 31. B) The DNA sequence of the RT-PCR products obtained. The forward and reverse primers used for the RT-PCR are underlined. Nucleotides of the Xhh that are not identical to those of the mouse Shh are indicated by squares. Twenty clones obtained from the embryos at stages 13 and 31 were identical. The same DNA sequence was also observed in six clones of the RT-PCR products obtained from the RNA of theanimal caps treatedwith activin (100 ng/ml).
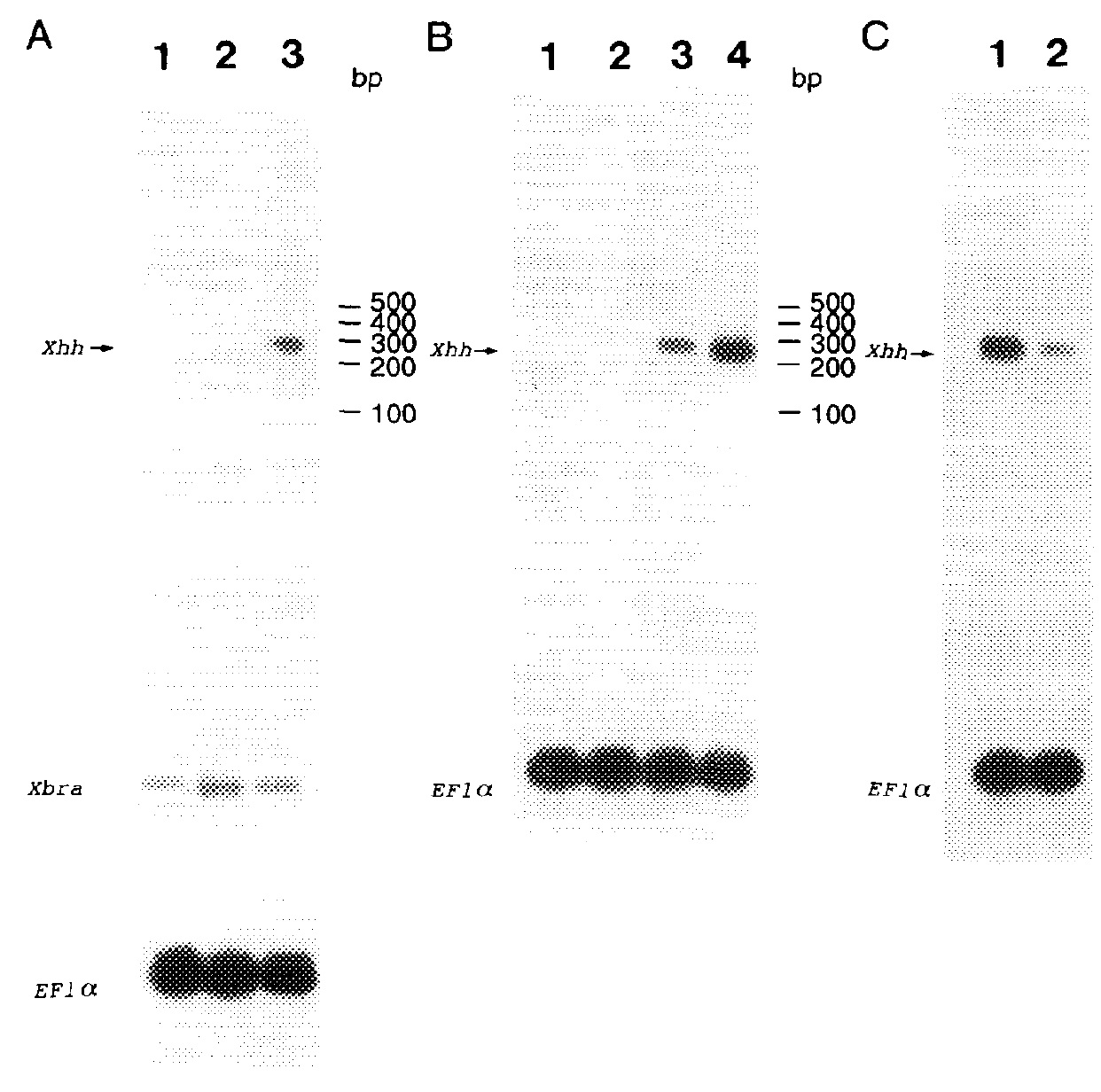
Figure 2.
Activin induced the expression of Xh in the animal cap at stage8-9.
A) Xhh was induced by activin (100 ng/ml), but not bFGF (100 ng/ml). Lane 1, untreated animal cap; lane 2, animal cap treated with b F F (100 ng/ml); lane 3, animal cap treated with activin (100 ng/ml). B) Dose-dependency of t h eexpression of Xhh induced by activin. Lane 1, without treatment: lane 2, activin (1 ng/ml); lane 3, activin (10 ng/ml); lane 4, activin (100 ng/ml). C) Activin induced the expression of Xhh in the animalcap in the presenceor absence of cycloheximide (10 g/ml). Lane 1, with cycloheximide; and lane2 ,without cycloheximide.
Figure .3
Whole mount in situ hybridization of Xhh in the animal captreated with activin.
Animal caps were incubated with or without activin (10 ng/ml) and then subjected to the whole mount in situ hybridization with antisense and sense probe of Xhh. A) Activin-treatedanimal cap hybridized with antisense probe. B) Activin-treated animal cap hybridized with sense probe. C) Untreatedanimalcaphybridizedwithantisenseprobe. Arrowheads indicate the positivesignal of Xhh. Scale bar indicates 1 mm.