Click here to close
Hello! We notice that you are using Internet Explorer, which is not supported by Xenbase and may cause the site to display incorrectly.
We suggest using a current version of Chrome,
FireFox, or Safari.
Dev Biol
1995 Mar 01;1681:189-201. doi: 10.1006/dbio.1995.1071.
Show Gene links
Show Anatomy links
Microtubule organization, acetylation, and nucleation in Xenopus laevis oocytes: II. A developmental transition in microtubule organization during early diplotene.
???displayArticle.abstract???
Confocal immunofluorescence microscopy of ovaries from juvenile frogs revealed changes in the organization, acetylation, and nucleation, of microtubules (MTs), and redistribution of gamma-tubulin (gamma-TB), during early oogenesis in Xenopus laevis. Interphase oogonia contained sparse, radially organized, MT arrays and prominent centrosomes, Acetylated MTs were not commonly found in oogonia. In contrast, small (approximately 12-25 microns), postmitotic (stage 0) oocytes contained dense, highly polarized, MT networks that exhibited little or no evidence of radical organization. Examination of stage 0 oocytes stained with antibodies to gamma-TB, in conjunction with assays of MT nucleation activity, revealed that stage 0 oocytes do contain active centrosomes. In addition, stage 0 oocytes contained numerous acetylated MTs, suggesting that arrest in meiotic prophase is accompanied by MT stabilization. Early stage I oocytes (diameters from approximately 35-50 microns) exhibited a rounded morphology and contained a dispersed, apparently disordered, MT array with a substantial population of acetylated MTs. Examination of stage I oocytes stained with gamma-TB antibodies revealed that this centrosomal protein was present in multiple cytoplasmic foci which did not function as MTOCs following cold-induced MT disassembly. The results presented indicate that the maternal centrosome is inactivated during early stage I, roughly coincident with the onset of the diplotene stage of meiotic prophase and prior to assembly of the mitochondrial mass. Our observations place constraints on the role of MTs and the maternal centrosome during specification of the animal-vegetal axis of Xenopus oocytes and raise questions regarding the mechanisms by which MT assembly and organization are regulated during oocyte differentiation.
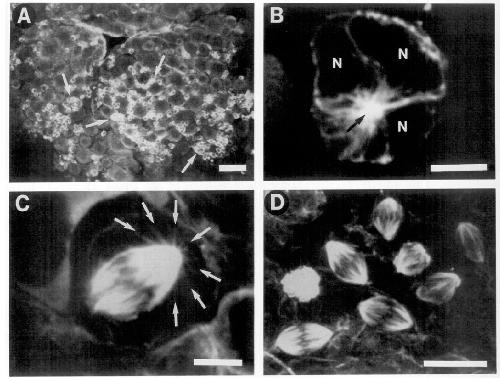
FIG. 1. Interphase oogonia contain a radial array of cytoplasmic MTs. (A) Brightly stained nests of stage 0 oocytes (arrows) are apparent in
this ovary stained with TUB1A2 (a projection of four optical sections collected at lOO·J.tm intervals). (B) An oogonium stained with DMlA
exhibits a typical interphase MT array radiating from a central MTOC (arrow). Three nuclear lobes (N) are apparent in this optical section. (C)
Sparse MT asters (arrows} and well-focused spindle poles are apparent in this single optical section of a mitotic oogonium stained with TUB1A2.
(D) This nest of secondary oogonia stained with DMlA contains eight mitotic spindles (a projection of 22 optical sections collected at l·J.tffi
intervals). Scale bars, 100 I'm in A, 51'm in Band C, and 251'm in D.
FIG. 2. The MT cytoskeleton is reorganized during early oogenesis. (A) MTs are concentrated in the cytoplasmic cap of this stage 0 oocyte (17
X 21 ,urn) stained with TUB1A2 (GV denotes the germinal vesicle). (B) MTs are dispersed throughout the cytoplasm of this early stage I oocyte
(40 X 42~tm) s tained with DMlA. (C) Concentrations of MTs are apparent surrounding the GV (arrowheads) and associated with perinuclear
mitochondrial aggregates (arrow) in this larger (75 ,urn) stage I oocyte. (D) A dense network of MTs fills the cytoplasm of this stage I oocyte (110
~-tm) . MTs are concentrated in the perinuclear (arrowheads) and cortical cytoplasm, and surround and penetrate the mitochondrial mass (M).
Scale bars, 5 11m in A, 10 11m in Band C, and 25 ,urn in D.
FIG. 3. Postmitotic oocytes contain a population of acetylated MTs. (A) Nests of brightly stained stage 0 oocytes (arrows) are apparent in this
ovary stained with 6-llB-1 (a projection of 8 optical sections collected at 100-.u.m intervals). (B) Acetylated MTs stained with 6-llB-1 antiserum
are concentrated in the cytoplasmic cap of stage 0 oocytes (seven oocytes are visible in this single optical section). (C) A cage of acetylated MTs
(arrowheads) surround the GV of this early stage I oocyte (39 X 46 .u.m) stained with 6-llB-1. Acetylated MTs also extend from the perinuclear
region into the surrounding cytoplasm and to the cortex. (D) Bundles of acetylated MTs (arrows) link the GV, mitochondrial mass (M), and
cortex of this stage I oocyte (approximately 106 p.m diameter) stained with 6-llB-1. (E) Acetylated MTs surround and penetrate the mitochondrial
mass (M) of a stage I oocyte. Scale bars, 250 p.m in A, 10 _u.m in Band E, 5 p.rn inC, and 25 p.m in D.
FIG. 4. y-TB is dispersed to multiple cytoplasmic foci in early stage I oocytes. (A) Perinuclear foci of y-TB (arrows) stained with XGAM
antiserum are apparent in this nest of stage 0 oocytes (the appearance of multiple 'Y-TB foci in some cells results from superposition of closely
packed cells during projection of three optical sections). (B) No staining was apparent if the XGAM primary antibody was omitted. (C) y-TB
foci in stage 0 oocytes exhibited a stellate appearance (two cells are shown in this figure). (D) Cold-induced MT disassembly (90 min at 0-2°C)
had no effect on the stellate morphology of y-TB foci. (E) Two (-TB foci (arrows), of more than five observed in this stage I oocyte (54 11-m), are
apparent in this projection of four optical sections. Scale bar, 10 ~tm in A and E, 25 11-m in B, and 5~tm in C-D.
FIG. 5. ')'·Tb foci serve as MTOCs in stage 0 oocytes, but not in stage I oocytes. (A, B) Dual immunofluorescence microscopy with XGAM (green)
and either DMIA (A) or 6-llB-1 (B) (red) antibodies did not reveal significant concentrations of MTs in the cytoplasm immediately surrounding
1'-TB foci in stage 0 oocytes. Regions of lesser MT density (arrows) surround ')'-TB foci in three oocytes in (A). (C, D) Dual fluorescence microscopy
with 6-llB-1 (red) and XGAM antibodies (green) did not reveal any significant association between ')'-TB foci (arrows inC and D) in
stage l oocytes and the distribution of acetylated MTs. Several autofluorescent erythrocytes (white asterisks) are apparent in (C). (E) Dual
immunofluorescence microscopy with XGAM (green) and DMlA (red) revealed that ')'-TB foci (arrow) colocalize with MT nucleation sites
(growing MTs arc indicated by arrowheads) in stage 0 oocytes (fixed 2-5 min after return to room temperature). (F) Dual immunofluorescence
with XGAM (green) and DMlA (red) revealed that -y-TB foci (arrows) in an early stage I oocyte do not function as MTOCs (fixed 2-5 min after
return to room temperature). Scale bars, 10 ,urn in A, C, and F and S,um in B, D, and E.
FIG. 6. Changes in MT organization and nucleation occur during early diplotene, prior to formation of the mitochondrial mass. (A) A nest of
stage 0 oocytes stained with propidium iodide exhibits nuclear caps of highly condensed chromatin (arrowheads) and complex networks of
chromatin strands (black asterisks), characteristic of the bouquet organization of chromatin during the zygotene through pachytene stages
of prophase. The chromatin cap (arrowhead) and strands are quite evident in a larger oocyte (white asterisk). that is probably in the pachytene
stage of prophase. (B) Chromatin has largely dispersed in this 44 X 45-llrn stage I oocyte stained with propidium iodide, indicating that it has
entered the diplotene stage of meiotic prophase. Note the brightly stained nucleoli (arrows). Arrowheads around the circumference of the oocyte
point to the nuclei of follicle cells that are beginning to surround this oocyte. (C) Numerous mitochondria (M) are concentrated in the cytoplasmic
cap of these stage 0 oocytes stained with R123 (GV denotes the germinal vesicle). (D) Mitochondria are dispersed in the cytoplasm of this early stage I oocyte (51 X 46 ,urn) stained with R123. (E) A small mitochondrial mass (M) and perinuclear mitochondrial aggregates (arrows)
are apparent in this stage I oocyte (63 X 70 .urn) stailled with R123. (F) Two mitochondrial masses (M) are apparent in this large (165 ,urn) stage
I oocyte. Scale bars, 10 ,urn in A-D and 25 UM in E-F.