Click here to close
Hello! We notice that you are using Internet Explorer, which is not supported by Xenbase and may cause the site to display incorrectly.
We suggest using a current version of Chrome,
FireFox, or Safari.
???displayArticle.abstract???
In mature striated muscle, intermediate filaments (IFs) are associated with the periphery of Z-discs and sites of myofibril-membrane attachment. Previously T. Schultheiss, Z. X. Lin, H. Ishikawa, I. Zamir, C. J. Stoeckert and H. Holtzer (1991) J. Cell Biol. 114, 953) reported that the disruption of IF organization in cultured chick myotubes had no detectable effect on muscle cell structure. Cultured muscle is not, however, under the mechanical loads characteristic of muscle in situ. The dorsal myotomal muscle (DMM) of the Xenopus tadpole provides an accessible model system in which to study the effects of mutant IF proteins on an intact, functional muscle. DNAs encoding truncated forms of Xenopus vimentin or desmin were injected into fertilized Xenopus eggs. Embryos were allowed to develop to the tadpole stage and then examined by confocal or electron microscopy. DMM cells containing the truncated IF polypeptides displayed disorganized IF systems. While the alignment of Z-lines appeared unaffected, cells accumulating mutant IF polypeptides displayed abnormal organization at the intersomite junction. Myocyte termini are normally characterized by deep invaginations of the sarcolemma. In myocytes expressing mutated IF polypeptides, these membrane invaginations were reduced or completely absent. Furthermore, the attachment of myofibrils to the junctional membrane was often aberrant or completely disrupted. These results suggest that in active muscle IFs play an important role in the organization and/or stabilization of myofibril-membrane attachment sites.
Fig. 1. A schematic of the system and the reagents used to study it.
(A) In the stage 40tadpole, there is a DMM present on both the left
and right sides of the animal. Each DMM is composed of blocks of
muscle cells, the somites, which are attached to one another at the
intersomite junction (ISJ). (B) At the ISJ, finger-like projections of
the muscle cells extend into, and attach to, the extracellular matrix
that separates the somites. To measure the effects of mutated IF
proteins on the attachment of myofibrils to the ISJ, we measured the
distance from the center of the ISJ (âmedial lineâ) to the first Z-line.
Since there is not a single myofibril in the cell, each myofibril was
measured separately and averaged together as described in equation
1 (see Materials and Methods). Two types of constructs were used in
our studies: embryos (or cultured cells) were injected with DNA
encoding either an epitope-tagged full-length form of Xenopus
vimentin-1 or desmin (C) or truncated forms of these polypeptides
(D). The truncated proteins lack the highly conserved helix
termination region (âHTRâ) of the central rod domain and the entire
C-terminal tail domain. For both full-length and truncated
polypeptides, the sequence of the junction between IF polypeptide
and the myc-tag is shown.
Fig. 2. Truncated vimentin and
desmin disrupt IF organization.
Xenopus XR-1 cells were
injected with VIMDC (A,B) or
DESDC DNA (C,D) and stained
with anti-tag and anti-vimentin
antibodies. (A) In cells injected
with VIMDC DNA, the
truncated polypeptide appears as
either fine punctate material
(arrow) or larger irregular
aggregates (arrowhead).
(B) Anti-vimentin staining
reveals the extended vimentin
filament system in an uninjected
cell; in the cells expressing the
VIMDC polypeptide, the
endogenous vimentin filament
system is disrupted. Similar
behavior was seen in cells
expressing DESDC. (C) The
DESDC polypeptide was found
in punctate structures, while
anti-vimentin staining (D)
revealed the disruption of the
endogenous vimentin filament
system. Bar in A marks 10 mm
for all parts.
Fig. 3. EM analysis of exogenous proteins in DMM cells. Embryos, injected at the 1-cell stage with plasmid DNA encoding either (A,C,D)
VIMDC or (B) full-length desmin, were fixed and examined by immunoelectron microscopy at stage 38 or stage 48. Unlike the aggregates of
exogenous desmin (marked âaâ), which are associated with discrete 10 nm filaments (arrowheads in B), the aggregates of VIMDC protein
(marked âaâ) have no associated filamentous material (A). When examined at lower magnification, it is apparent that the presence of the
VIMDC polypeptide has no drastic effect on the lateral alignment of myofibrils and Z-lines (open arrows) in stage 38 DMM cells (C). In this
picture, an aggregate of mutant polypeptide is visible under the sarcolemma (solid arrow). (D) A myocyte from a stage 48tadpole. This cell
contains a large subsarcolemmal VIMDC aggregate (marked âaâ) located near the nucleus (marked âNâ). Despite the apparent distention of the
sarcolemma near the aggregate, myofibrils appear normal and well aligned (arrows). Bar in A marks 200 nm for A and B. Bar in C marks 0.5
mm. Bar in D marks 1.5 mm.
Fig. 4. VIMDC effects on ISJ structure. There are drastic changes in the region of the ISJ associated with VIMDC expression. The inset in A
shows the ISJ region that contains two VIMDC-expressing cells, shown at higher magnification in A and B. Both cells lack the invaginations
typical of DMM cells. On the intracellular side, myofibrils fail to attach to the sarcolemma. In these cells, the myofibrils appear severed
(arrows) and one myofibril fragment appears attached to the membrane in an aberrant âend-onâ configuration (arrowhead in A). An aggregate of
mutant protein is visible near the sarcolemma (marked âaâ in A). Bar in A marks 0.5 mm for A and B.
Fig. 5. Over-expression of full-length desmin. In cells expressing full-length, myc-tagged vimentin-
1 (not shown) or desmin (illustrated here), the accumulation of exogenous protein does not produce
any apparent distortion of ISJ morphology or myofibril-membrane attachment. The invaginations of
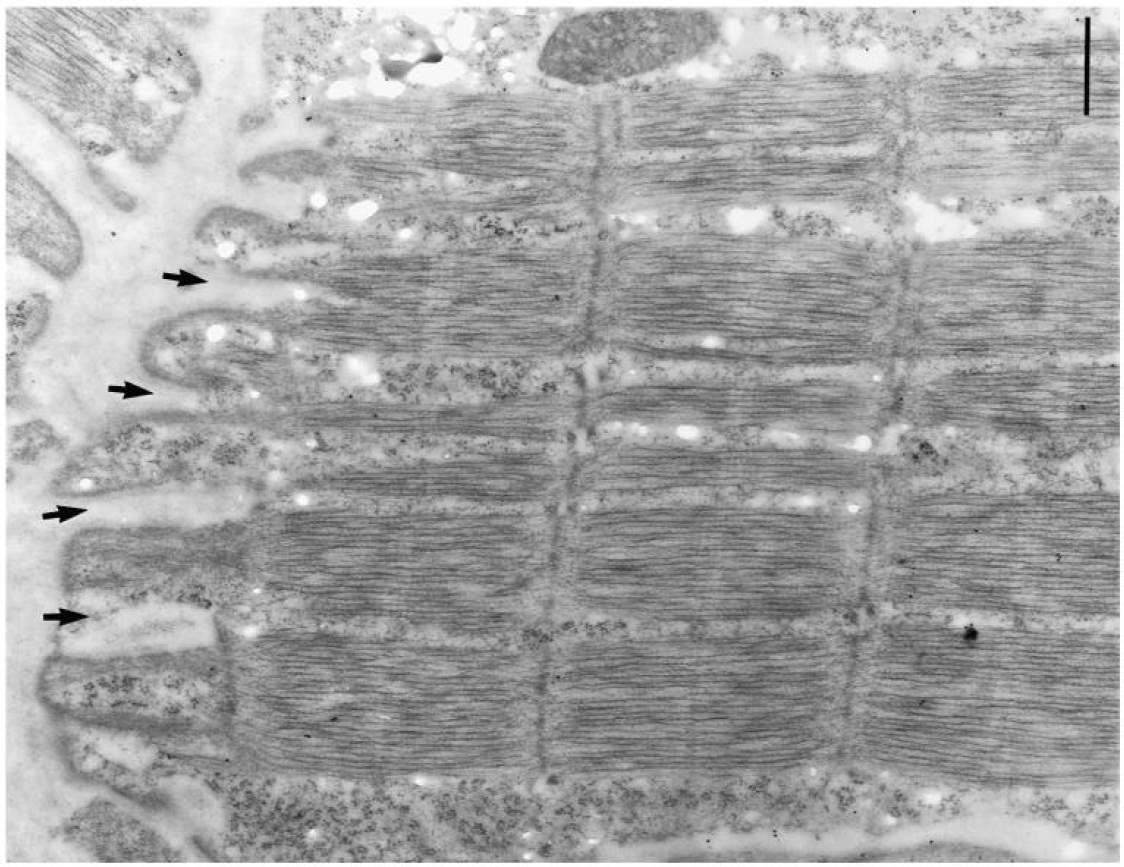
the ISJ membrane appear normal (arrows). Bar marks 0.5 mm.
Fig. 6. Confocal microscopy of pDESDC-expressing myocytes. To use confocal microscopy to analyze the effects of truncated desmin on
myocyte structure, fertilized eggs were injected with DESDC DNA and tadpoles were fixed and stained in whole-mount to reveal the
exogenous DESDC polypeptide (fluorescein) and skeletal muscle myosin (Texas Red). Images are displayed in âanaglyphâ mode, such that
myosin staining is in red-orange and DESDC staining is in yellow-green; serial sections of two cells (A-C,D,E) are shown. In the cell in A-C, a
few myofibrils can be seen extending to the ISJ membrane. At the ISJ (arrows), fragments of myofibrils are visible (curved arrows, A-C). These
fragments of myofibril material are presumably analogous to those observed in electron micrographs (Fig. 4). There are also myofibrils that fail
to extend to the ISJ membrane (arrowheads in B). Aggregates of DESDC are visible. (C,D) Another DESDC-expressing cell; again the ISJ
region is clearly aberrant (compare with flanking cells, marked âwtâ). In many sections (example in D), no myofibrils are visible and aggregates
of DESDC are present near the cell end (curved arrows). In other regions of the cell (E), a small number of myofibrils extend to the ISJ
membrane (curved arrows) though they occupy only a small percentage of the cellâs width (large arrows). No âpulled awayâ myofibrils are
visible. Bar in E marks 5 mm for all parts.
Fig. 7. Confocal micrographs of myocytes expressing full-length desmin. For comparison, the morphology of two termini of a cell expressing
the full-length, myc-tagged form of desmin is illustrated in pairs of serial section images (A and C are one end, B and D the other; inset in C
provides a low-magnification view of much of this cell). The rectangularity of the terminal membranes and the proximity of myofibrils to the
ISJ appear normal. The ISJ is marked by small arrows (A-D). (A) The terminal Z-line of the cell is marked with a curved arrow. Exogenous
desmin is localized to the sarcolemma, the cell end, and Z-lines; in addition, there are aggregates of the exogenous protein scattered throughout
the cell (see inset, C). Some myofibrils appear to fall short of the ISJ membrane (C – curved arrow); these myofibrils appear to be moving out
of the section of focus. Bar in D marks 5 mm for all parts.