|
Figure 1. Camera lucida drawings of representative sections showing the optic pathway at progressively more caudal levels in sections cut
transversely through the head. A, Section at the level of the proximal optic nerve (on) near its exit from the eye (e). B, Section illustrating the
optic nerve (on) approximately midway between the eye and the chiasm. C, Section illustrating the location of the optic tract (or), which runs along
the surface of the brain at the arrowhead. D. Section cut at the level of the rostral optic tectum (t). |
|
Figure 2. Regenerating optic axons that have followed an anomalous pathway into the contralateral optic nerve. The regenerating axons were
labeled by injection of WGA-HRP into the eye from which they originated. Sections were cut transversely and are viewed here under Nomarski
optics. In all panels, lateral is to the left; dorsal is up. A, Labeled retinoretinal axons coursing through the contralateral chiasmatic optic nerve (con)
just past the optic chiasm. The optic chiasm is located to the right of the edge of the panel. The arrowhead at or indicates labeled optic axons
projecting normally into the contralateral optic tract (of). B, Labeled regenerating optic axons within the contralateral optic nerve (on), halfway
between the eye and the optic chiasm (see Fig. 1B for orientation). C, Labeled regenerating optic axons within the proximal region of the contralateral
optic nerve (on) (see Fig. 1A for orientation). D, Labeled regenerating optic axons entering the contralateral eye. The labeled axons are seen within
the optic nerve head at the papilla of the retina @r) and extending into the neighboring retina. The vitreous (v) of the eye is to the left. The
choroidal pigment (cp) is naturally black and does not represent WGA-HRP labelling. Scale bar in C applies to all panels. |
|
Figure 3. Regenerating optic axons in a crushed optic nerve, 5 weeks
after surgery. Axons were labeled by immunofluorescent staining with
antibodies directed against NF-M/ind (XC10C6, A), NF-M/P (H053, B),
and NF-H (DP-1, C). The sections were taken at approximately the
same level as shown in Figure 1B. Scale bar in C is for all panels. |
|
Figure 4. Regenerating optic axons m&outed into the contralateral optic nerve, 5 weeks after surgery, labeled either by intraocular injection of
WGA-HRP (A) or by immunofluorescent staining with antibodies directed against various forms of the neurofilament proteins (B-D). The aberrantly
projecting axons are indicated by the arrowheads in all panels. A, WGA-HRP labeled misprojected regenerating optic axons within the contralateral
optic nerve, visualized with Nomarski optics. B, The section adjacent to A, stained with the antibody (XC10C6) directed against NF-M/ind and
visualized with the fluorescence microscope. The staining of the misprojecting axons was less intense than that of the normal uninjured axons (ua),
which are projecting normally through their own optic nerve. C, The next section adjacent to B, stained with the antibody (DP-1) directed against
nonphosphorylated NF-H. No immunoreactivity was detectable in the misprojecting axons. D, The next section adjacent to C, stained with the
antibody (H053) directed against NF-M/P. Again, no immunoreactivity was detected in the misprojecting axons. The sections were taken at
approximately the same level as shown in Figure lB, and are from the same sections as those shown in Figure 3. Scale bar in D is for all panels. |
|
Figure 5. Regenerating optic axons that have followed a normal pathway
into the contralateral optic tract, 4 weeks after a nerve crush. The
regenerating axons are indicated by the arrowheads in all panels. A,
Regenerating axons labeled with intraocularly injected WGA-HRP and
viewed under Nomarski optics. B-D, Sections adjacent to that in A,
immunostained with antibodies directed against nonphosphorylated epitopes
of NF-M (B), NF-H (C), and phosphorylated NF-M (D), viewed
under fluorescence. The sections were taken at the level shown in Figure
1C. Scale bar in D is for all panels. |
|
Figure 6. Transversely cut cross sections through the middle of the
optic tecta from a normal frog (A) and from one whose optic tecta were
ablated (B). The sections were stained with cresyl violet. The magnification
is the same for both A and B. |
|
Figure 7. Projection of the regenerating optic axons of a tecta-ablated animal (C, D, F, G) as compared to that of a sham-operated control animal
(A, B, E), 3 weeks after surgery. The regenerating optic axons were labeled by intraocular injection of WGA-HRP Sections were cut transversely.
Lateral is to the left in A, C, E, F and to the right in B, D, G. Dorsal is up in all panels. A, Labeled regenerating optic axons within the contralateral
optic tract (cot) in a sham-operated control animal. B, Labeled regenerating optic axons within the ipsilateral optic tract (iot) on the same section
as shown in A. C, Labeled regenerating optic axons within the contralateral optic tract (cot), the nucleus Bellonci (nb), and the corpus geniculatum
thalamicum (c) in a tecta-ablated animal. D, Labeled regenerating optic axons within the ipsilateral optic tract (id) on the same section as shown
in C. A-D are taken from approximately the level illustrated in Figure 1 C. E, Labeled regenerating optic axons within the contralateral optic tectum
(t) in the sham-operated, control animal. This section was taken at approximately the level shown in Figure 1D. F and G, Labeled regenerating
optic axons within the posterior thalamic/pre-tectal nuclei @z) on both the contralateral (F) and the ipsilateral (G) sides of the tecta-ablated animal.
These views are from sections located slightly rostra1 to those shown in Figure 1D and panel E. Scale bar in E is for all panels. |
|
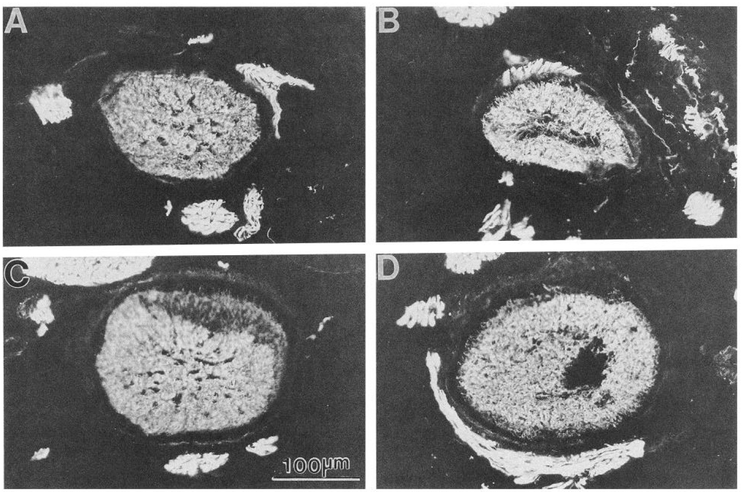
Figure 8. Anti-NF-M/ind (XClOC6) immunofluorescent staining of the uncrushed (A) and regenerating, crushed (B) optic nerves of a shamoperated,
control animal, as compared to those of a tecta-ablated animal (C, uncrushed; D, regenerating), 4 weeks after surgery. The sections were
taken from a level near that shown in Figure IB. Scale bar in C is for all panels. |
|
Figure 9. Sections taken from the same animals, and neighboring those shown in Figure 8, but stained with the monoclonal antibody (HO5
directed against NF-M/l? A and B show the uncrushed and regenerating crushed nerves, respectively, of the sham-operated control; and C and
show the comparable sections of the tecta-ablated animal. Scale bar in D is for all panels. |
|
Figure 10. Sections stained with the antibody (DP-1) directed against non-phosphorylated NF-H, taken from the same animals and neighboring
those shown in Figures 8 and 9. The uncrnshed and regenerating crnshed nerves of the sham operated control are shown in A and B, respectively;
and comparable views from a tectal ablated animal are shown in C and D. The unlabeled arrowheads in D point to the outer circumference of the
otherwise unstained optic nerve. The arrowheads labeled on point to the optic nerves in A-C, whereas the arrowheads labeled pn point to
neighboring peripheral nerves in all panels. Scale bar in D is for all panels. |
|
Figure Il. Regenerating, crushed optic nerves (on) from a sham operated control (A and C) and a tectal ablated (B and D) frog, 6 weeks after
surgery. The sections in A and B were stained with the antibody directed against NF-H (DP-1), whereas those in C and D were stained with the
antibody to NF-M/P (H053). A and C, and B and D represent two pairs of serial sections, respectively. The arrowheads labeled pn point to adjacent
peripheral nerves. Scale bar in D is for all panels. |