|
Fm. 1. Restriction map of cDNAs encoding Xenopus F AK and a schematic of the deduced protein structure drawn to scale. XPF AK was
derived by PCR and used as a probe in library screens to obtain the Bl and Fl cDNAs. Arrowheads mark the positions of restriction sites for
the enzymes Hirzdlll (H), EcoR( (E), Sacl (S), Xbal (X), and BamHl (B). The schematic drawing of the protein structure indicates the positions
of the catalytic domain and the region containing the focal adhesion targeting (FAT) sequence along with the functionally important residues
Y403 and K467, which correspond to Y397 and K454 in avian FAK. These amino acids are required for the autophosphorylation and catalytic
activity, respectively, of FAK (Schaller and Pa rsons, 1994). |
|
FIG. 2. Complete amino acid sequence of Xenop11.s FAK deduced from nucleotide sequence analyses of the Bl and Fl cDNAs. This sequence is
aligned with that of the chick homolog for comparison. The catalytic domain is shaded gray. Y 403 and K467 are indicated by a star and an
arrowhead, respectively. The region including the focal adhesion t argeting sequence is overlined. Horizontal arrows indicate the positions of
the forward and reverse primers used in the PCR amplification XPFAK. The GenBank accession number for the complete Xen(Y{IU.S nucleotide
sequence is U11078. |
|
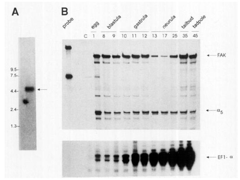
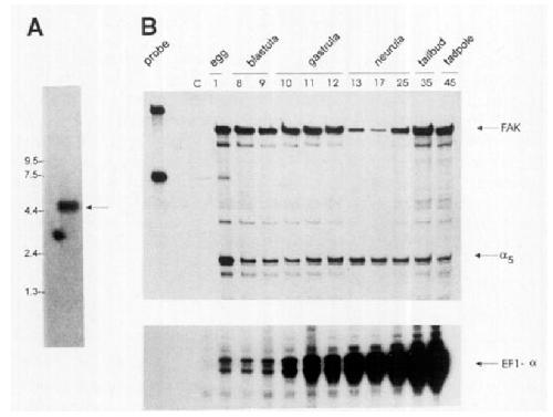
FIG. 3. Xe1wpus F AK RNA analysis. (A) Northern blot analysis of 10
~-tg of poly(A)-selected mRNA from gastrula stage embryos demonstrates
a single transcript of approximately 4500 nt. (B) RNase protection
analyses of FAK mRNA. Ten embryo equivalents of mRNA iso·
lated from embryos at various stages of development were analyzed
for F AK expression over a developmental time course. Probes for the
integrin a 5 subunit and EF-la served as controls for loading (Whittaker
and DeSimone, 1993). toi'Ula. RNA (lane C) was included as a con·
trol for nonspecific hybridization. Protected fragments are smaller
than the undigested probes due to short stretches of vector sequence
mismatch at the ends of the probe tmnscript. |
|
FIG. 4. Localization of Xenopus FAK mRNA by whole-mount in situ hybridization. Albino embryos were treated with digoxygenin-labeled
antisense RNA probes followed by incubation with an alkaline phosphatase-conjugated anti-digoxygenin antibody. RNA hybrios were visualized
using the NBT/BCIP chromogenic reaction. (A) Side view of a stage 35 embryo. FAK expression is evident in structures of the central
nervous system in the head and trunk. Staining in the rhombomeres (r) is continuous with cellular staining in the neural tube (nt), which runs
along the length of the embryo. Faint staining is also evident in the caudal-most region of the somitic field of the trunk. (B) Higher magnification
of the head of the same embryo. FAK expression in cells of the forebrain (fb), midbrain (mb), and hindbrain (hb) and the eye {e) is indicated.
Positively stained cranial nerves are identified as trigeminal (t), facial (f), glossopharyngeal (g), and vagus (v). (C) Dorsal view of a similarly
staged embryo. Arrows indicate discrete localization of FAK mRNA in the lobes of the forebrain, midbrain, and hindbrain. (D) Different focal
plane of the same embryo. FAK transcripts are localized to structures of the developing eye including the lens (I) and the developing retina (r).
Scale bars; A, 200 um; B-D, 100 um. |
|
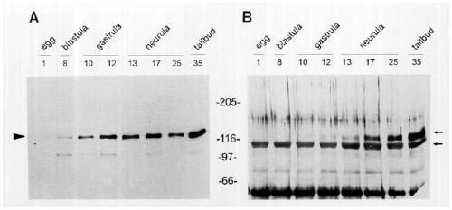
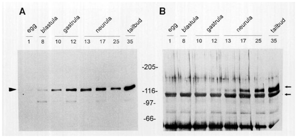
FIG. 5. Analysis of FAR protein expression during early development in Xenopus. Detergent lysates of 20 embryo equivalents were immuno·
precipitated using mAb 2A7. Immunoprecipitates were electrophoresed, blotted, and incubated with mAb 2A7 to detect total FAK expression
(A) or incubated with mAb RC-20 to detect phosphotyrosine-containing proteins in the 2A7 immunoprecipitate. Arrowhead in (A) indicates the
position o( Xenopu,s FAK. The upper arrow in (B) indicates the position of phosphotyrosyl-FAK. The lower arrow indicates nonspeeifically
recogniZed yolk protein. Control blots of normal mouse serum-ptecipi tated protei ns obtained during the preclearing step of the immunoprecipitation
were also incubated with mAbs 2A 7 and RC-20. Neither antibody reacts with proteins in the control blots (data not shown). |
|
FIG. 6. Anti-phosphotyrosine-specific mAb RC-20 specifically recognizes
phosphotyrosyl-FAK, but interacts nonspecifically with embry·
onic yolk protein. Immunocomplexes precipitated by mAb 2A7 were
incubated in PBS containing Na3VO •• NaaVO. and PTPlb, or PTPlb
alone for 30 min at 37°C. Samples were divided in half, electrophoresed,
and blotted as previously described. Identical blots were probed
with either mAb RC-20, to determine the lability of the putative phosphoepitopes
on the two bands identified by mAb RG-20 in Fig. 5, or
with mAb 2A7 to control for the presence of FAK in all three samples.
RC-20 binding to F AK is reduced in the pre~ence of phosphatase alone
but nonspecific binding to yolk is observed in all three Janes (left
panel). |
|
FIG. 7. Immunolocalization of FAK in Xetwm~.s embryos. (A, F-1) Whole-mount embryos stained with mAb 2A7 and alkaline phosphataseconjugated
secondary antibody. (B-E) Cryosectioned embryos labeled with mAb 2A7 and DATF-eonjugated secondary antibody (Band E) or
triple-labeled with mAb 2A7 and DATF-conjugated secondary antibody followed by mAb 4H2 and Texas red-conjugated secondary antibody
and DAPI (C and D). (A) Optical section of a stage 11.5 embryo t reated with mAb 2A7 reveals FAK expression in the regions of dorsal (d) and
ventral (v) lips. FAK is absent from the yolky endoderm (y). (B) Section of the dorsal lip region (d, arrow) of an embryo of the same stage. FAK
is expressed by eetodermal and mesodermal cells in the lip, but not by cells of the yolk plug (y). {C) Section of stage 8 embryo. FAK expression
is first noted between cells in the marginal zone and blastocoel roof (arrowheads) (be, blastocoel). (D) FAK is localized to inner ectodermal (e)
and mesodermal {m) cells at stage 10.5. Arrowheads indicate regions of codistribution of FAK (yellow) and FN (red) along the roof of the
blastocoel, which has collapsed onto the floor of the blastocoel during fixation. (E) FAK is expressed by cells of the sensorial ectoderm (e) and
the mesoderm (m) at stage 12. (F-1) Side views of whole-mount stage 21 (F), 25 (G), 35 (H), and 39 (I) embryos. Highest levels ofFAK expression
are evident between somites. The scale bar for all panels is in (A) and is equivalent to 72 pm, Band E; 200 j.Lm, A, C, D, F, and G; 400 I'm,
Hand I. |
|
FIG. 8. Immunolocalization of FAK protein in sectioned XemJpus embryos. Cryosectioned embryos were incubated with mAb 2A 7 and DTAFconjugated
secondary antibody and examined for FAK staining. Horizontal sections of stage 21-22 (A) and 25 (B) embryos. Arrows indicate
intersomitic localization of F AK. Intersomitic F AK expression is most prominent between the rostral so mites in early stage embryos. The
intersomitic staining appears coincident with the process of segmentation and rotation at the caudal end of the embryo (A, arrowhead). (C)
Horizontal section of a stage 37-38 embryo. Intersomitic junctions are intensely stained. F AK protein is also clearly localized to the prosen·
cephalon (p), sensory layer of the retina (r), the lens (1), and two cranial nerves (en) in cross section, most likely the trigeminal and the facial
from left to right. (D) Transverse section of a similarly staged embryo. FAK expression is observed in the diencephalon (d), the lens (I) and
retina (r) of the eye, and the pharyngeal endoderm (pe). Line drawings indicate approximate planes of section shown in A-D. The Scale bar in
(A) is 100 Jlm. |
|
ptk2 (protein tyrosine kinase 2) gene expression in Xenopus laevis embryo, assayed via in situ hybridization, NF stage 36, lateral view, anterior left, dorsal up. |
|
ptk2 (protein tyrosine kinase 2) gene expression in Xenopus laevis embryo, assayed via immunohistochemistry, NF stage 39, lateral view, anterior left, dorsal up. |