Click here to close
Hello! We notice that you are using Internet Explorer, which is not supported by Xenbase and may cause the site to display incorrectly.
We suggest using a current version of Chrome,
FireFox, or Safari.
Transcriptional hierarchy in Xenopus embryogenesis: HNF4 a maternal factor involved in the developmental activation of the gene encoding the tissue specific transcription factor HNF1 alpha (LFB1).
???displayArticle.abstract???
The tissue specific transcription factor HNF1 alpha (LFB1) expressed in liver, kidney, stomach and gut gets transcriptionally activated in Xenopus shortly after zygotic transcription starts. By microinjection into fertilized Xenopus eggs, a HNF1 alpha promoter fragment is activated in the middle part of developing larvae, reflecting the activation pattern of the endogenous HNF1 alpha gene. Mutational analysis of the HNF1 alpha promoter shows that HNF1 and HNF4 binding sites are essential for proper embryonic regulation. Since by injecting HNF4 mRNA into fertilized eggs the endogenous HNF1 alpha gene is activated ectopically and HNF4 is present as a maternal protein within an animal to vegetal gradient in the embryo, we assume that HNF4 initiates a transcriptional hierarchy involved in determination of different cell fates.
???displayArticle.pubmedLink???
8808405 ???displayArticle.link???Mech Dev
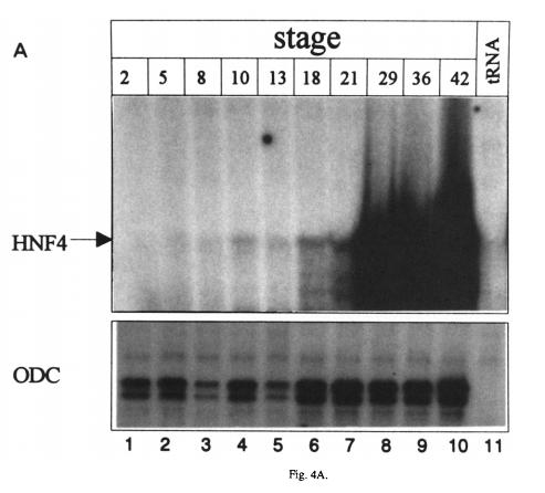
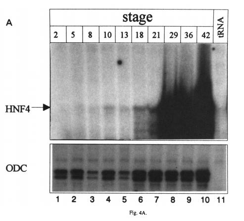
Fig. 4. Accumulation and localization of HNF4 mRNA during Xenopus development. (A) Total RNA from the indicated embryonic stages were used
in an RNase protection assay. In lane 1 I tRNA from E. coli was used as a control. The protected fragment specific for HNF4 is indicated. Stage 2, 5
and 8 represents 2-cell, 16-cell and 132-cell embryos, respectively. Stage 10 is an early gastrulaembryo and stage 13, 18 and 21 are neurula stages
whereas stage 29 is a tailbudembryo. Stages 36 and 42 represent swimming larvae. The autoradiogram was overexposed to visualize the small
amounts of HNF4 mRNA in early embryonic stages. The lower part shows an RNase protection experiment using a probe for the omithine decarboxy-
lase mRNA (ODC). Since the amount of this RNA is stable during Xenopus development, this experiment was used as a control for the RNA. (B) A
larvae from stage 38 which was stained by whole-mount in situ hybridization using a Xenopus HNF4 antisense RNA probe is shown at the top. Cells
containing HNF4 RNA present in the pronephros (arrowhead) liver and gut (arrow) am stained blue. A control larvae hybridized with a sense probe is
shown at the bottom
Fig. 6. HNF4 is expressed in a gradient in early Xenopus cleavage stage embryos. Blue staining shows the presence of HNF4 protein in the embryos.
(A) Eight-cell embryos stained for HNF4 protein from the top (t), bottom (b) and side (s) view. Two control embryos are shown in the lower part. (B)
64-cell stage embryo from the top (t), bottom (b) and side (s) view. One control embryo is shown in the lower part. (C) One embryo shown in (B) from
the top view (left) and a control embryo (right) both cleared in In benzylenzoate/benzylalchol. HNF4 staining is visible in the cytoplasm and also in the nuclei of animal cells. (D) Late gastrula stage embryo showing the absence of staining for HNF4 in the yolk plug (arrow).
Fig. 1. The HNF4 and HNFI binding sites of the HNFla promoter contribute to embryonic activation. (A) Xenopus HNFla promoter constructs used
for the injection experiments. The numbers indicate the distance to the translation initiation site and the locations of the binding sites for OZ-1, HNFI
and HNF4 are given (see Zapp et al., 1993). Mutated binding sites are marked by a cross. (B) The relative CAT activity of the various injected promoter
constructs in the head, middle part and tail is given. The activity found in the tail was used as a reference and the values are the mean of more
than 4 experiments with at least 15 injected embryos each.
Fig. 2. Injection of HNF4 mRNA into fertilized Xenopus eggs leads to ectopic expression of HNFla. mRNA encoding rat HNF4 was injected into
fertilized Xenopus eggs and the developing larvae were dissected at stage 41 into a head (h), middle (m) and tail (t) section as shown in Fig. 1. Noninjected
larvae of the same stage were used as a control. Protein extracts of these samples were analyzed in Western blots using the HNFla specific
antibody XADS (Bartkowski et al., 1993). A liver extract was used as a size marker.
Fig. 4. Accumulation and localization of HNF4 mRNA during Xenopus development. (A) Total RNA from the indicated embryonic stages were used
in an RNase protection assay. In lane 1 I tRNA from E. coli was used as a control. The protected fragment specific for HNF4 is indicated. Stage 2, 5
and 8 represents 2-cell, 16-cell and 132-cell embryos, respectively. Stage 10 is an early gastrulaembryo and stage 13, 18 and 21 are neurula stages
whereas stage 29 is a tailbudembryo. Stages 36 and 42 represent swimming larvae. The autoradiogram was overexposed to visualize the small
amounts of HNF4 mRNA in early embryonic stages. The lower part shows an RNase protection experiment using a probe for the omithine decarboxylase
mRNA (ODC). Since the amount of this RNA is stable during Xenopus development, this experiment was used as a control for the RNA. (B) A
larvae from stage 38 which was stained by whole-mount in situ hybridization using a Xenopus HNF4 antisense RNA probe is shown at the top. Cells
containing HNF4 RNA present in the pronephros (arrowhead) liver and gut (arrow) am stained blue. A control larvae hybridized with a sense probe is
shown at the bottom
Fig. 5. Presence of HNF4 in various developmental stages of Xenopus. Protein extracts from the indicated developmental stages were analyzed in a
Western blot using the monoclonal antibody XH4 specific for HNF4. The migration of a molecular weight marker is given on the left side. In lanes 12
and .I3 the comigration of HNF4 from stage 41 larvae and from adult liver is shown.