|
Figure 1. Nucleotide and deduced amino acid sequences of the coding regions ofxenopus Kv2.1 and Kv2.2 cDNAs. Amino acid and nucleotide positions
are indicated in the right-hand column. The putative transmembrane domains (SI-S6) and the pore region (P) are overlined. A putative glycosylation site
between S3 and S4 is indicated by a star. Consensus CAMP phosphorylation sites are indicated by filled circles above the amino acid position. The Xenopus
Kv2.1 and Kv2.2 nucleotide sequences have been assigned Genbank accession numbers U20342 and U20343, respectively. A, Nucleotide and amino acid
sequence of XShabY (Xenopus Kv2.1). Dashes appear under the region spanned by the pXb4 PCR product. pXb4 nucleotide sequences that differ from
Kv2.1 sites are shown below the corresponding Kv2.1 nucleotides (nucleotides 762 and 1056). B, Nucleotide and amino acid sequence of XShab12 (Xenopus Kv2.2). Dashes appear under the region spanned by the pXb3 PCR product. pXb3 nucleotide sequences that differ from Kv2.2 are shown
underneath the corresponding Kv2.2 nucleotides. Except for one nucleotide change at position 854, all nucleotide changes occur in the third codon
position. A tyrosine phosphorylation site is marked by a triangle. Although two of three CAMP phosphorylation sites are conserved between Kv2.1 and
Kv2.2, the putative tyrosine phosphorylation site is unique to Kv2.2 (amino acid 512) |
|
Figure 2. Xenopus Kv2.1 and Kv2.2 mRNAs induce expression of delayed rectifier-type potassium currents in Xenopus oocytes. For A-C, currents were
generated in response to 60 msec voltage steps to potentials ranging from -50 to + 100 mV from a holding potential of -80 mV; leak-subtracted currents.
are shown (see Materials and Methods). A, Kv2.1 mRNA induces expression of delayed rectifier-type potassium currents in Xenopus oocytes. The average
current size at +20 mV is 1.1 -t 0.6 FA (mean t- SD; n = 7) for 1.7 ng of injected cRNA. B, Kv2.2 mRNA-induced current is sustained for the duration
of the depolarizing pulse. The average current size at +20 mV is 1.3 -t 0.3 PA (mean t- SD; n = 6) for 1 ng of injected cRNA. C, Comparison of the
kinetics of activation of Kv2.1 and Kv2.2 mRNA-induced currents. Current traces from A and B were superimposed for comparison. The Kv2.1
mRNA-induced current (dotted line) rises faster than the Kv2.2 mRNA-induced current (solid line). D, Tail current analysis indicates the Kv2.1
mRNA-induced channels are potassium-selective. Currents were activated with prepulses of 100 msec duration to +25 mV, then stepped to different
hyperpolarizing pulses ranging from -100 to 10 mV (inset). Varying the external K+ concentration shifts the reversal potential as predicted by the Nernst
equation for a K+-selective channel. Results from a representative experiment are shown, and average results are indicated in the text. E, Sensitivity of
Kv2.1 and Kv2.2 currents to TEA. Current amplitude was measured in the presence of variable concentrations of TEA. Current amplitude was plotted
against TEA concentration. Current values + SEM were taken from voltage pulses to +20 mV. F, Normalized conductance versus voltage relationships
for Xenopus Kv2.1, Kv2.2, Kvl.1, and Kv1.2 mRNA-induced currents. The conductance was calculated for a given voltage command (v) and its
corresponding steady-state current response (0 from the formula G = 1/(V - EK), where the equilibrium potential for Kt (EK) is -116 mV. Half-maximal
activation (V,,,) is achieved at values of +25.0 2 0.1 mV (mean 5 SD; II = 7) for Kv2.1 currents and at +30.0 + 5.5 mV (mean + SD; n = 3) for Kv2.2
currents. Kvl currents activate and achieve G,,, at less positive membrane potentials than do the Kv2 currents. Data from representative recordings were
used to generate the graphs. Single Boltzmann distributions fit Kvl.1 and Kv1.2 data well (Jones and Ribera, 1994) (A. Ribera, unpublished observations),
whereas Kv2.1 and Kv2.2 data deviate consistently from the Boltzmann isotherm (data not shown). This type of behavior has been observed previously
in human Kv2.1 channels expressed in oocytes (Benndorf et al., 1994). |
|
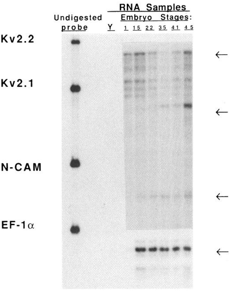
Figure 3. Xenopus Kv2.1 and Kv2.2 mRNA levels are differentially regulated
during embryonic development. RNA extracted from embryos of
the indicated stages was hybridized simultaneously to Kv2.1, Kv2.2,
N-CAM, and EF-la antisense probes. After RNase treatment, the hybridized
products were run on an 8% acrylamide gel. Kv2.1 transcripts are first
detected by stage 22 (1 d, early tail bud), and the levels gradually increase
at subsequent times. Kv2.2 mRNA is present in the fertilized egg, and its
levels change during development. N-CAM signal is initially detected in
the stage 15 embryo (neural plate stage). EF-la mRNA increases dramatically
between stages 1 and 15, reflecting the fact that zygotic transcription
initiates during this interval (Krieg et al., 1989). The relatively
constant levels of EF-la! after stage 15 indicate that equal amounts of total
mRNA were hybridized to the cRNA probes. Yeast RNA (Y, control lane)
was used to control for nonspecific and self-hybridization of the cRNA
probes. Undigested probes contain -50 nucleotides that correspond to
vector sequences and thus run slightly slower than the protected bands;
the positions of protected bands are indicated by arrows at right. EF-lcuprotected
bands were visible after an overnight exposure to x-ray film.
N-CAM-, Kv2.1-, and Kv2.2-protected bands were visible after a 15 d
exposure. The probes for Kv2.1 and Kv2.2 had different specific activities
than the EF-101 and N-CAM probes did. Thus, it was not possible to
estimate the relative abundance of Kv2.1 or Kv2.2 transcripts with respect
to N-CAM or EF-la mRNA during development. |
|
AFigure
4. Kv2.2 transcripts are present in excitable tissues of developing Xenopus embryos. A-C, In each view, the embryo on the left was hybridized to
a digoxigenin sense control cRNA probe, whereas the embryo on the right was hybridized to a Kv2.2 antisense cRNA probe (scale bars: A, C, 0.5 mm;
B, 1 mm).A, Early gastrula stage embryo (stage 9; 7 hr after fertilization). Staining is apparent in the dorsal lip of the blastopore (arrow). B, Late gastrula
stage (stage 12; 14 hr). Kv2.2 staining localizes to dorsal ectoderm and presumptive neural tissue (arrow). C, Neurula stage (stage 19; 20 hr). Kv2.2 mRNA
is localized along the entire neural tube (arrows). Rostra1 is up; dorsal is to the leff. The dark shadow in the gut of the embryo is attributable to incomplete
clearing of the embryo. D-F, In these lateral views, rostra1 is to the right, and dorsal is up (scale bars: D-F, 0.5 mm). Sense controls for these older stages
are not shown but are similar to those shown in A-C. D, Expression of Kv2.2 mRNA in the early tail bud embryo (stage 23; 1 d). Staining is present in
the brain, spinal cord, and anterior midsomite regions. E, A similar pattern of Kv2.2 mRNA expression is observed 6 hr later in the stage 26 embryo, except
that the signal in the midsomite regions has extended caudally. F, In the stage 35 embryo (2 d), Kv2.2 staining is faint in the majority of the brain and
spinal cord but still visible in the midsomite regions. The dark signal at the tip of the embryo corresponds to the forebrain. |
|
|