Click here to close
Hello! We notice that you are using Internet Explorer, which is not supported by Xenbase and may cause the site to display incorrectly.
We suggest using a current version of Chrome,
FireFox, or Safari.
Human homologue sequences to the Drosophila dishevelled segment-polarity gene are deleted in the DiGeorge syndrome.
Pizzuti A, Novelli G, Mari A, Ratti A, Colosimo A, Amati F, Penso D, Sangiuolo F, Calabrese G, Palka G, Silani V, Gennarelli M, Mingarelli R, Scarlato G, Scambler P, Dallapiccola B.
???displayArticle.abstract???
DiGeorge syndrome (DGS) is a developmental defect of some of the neural crest derivatives. Most DGS patients show haploinsufficiency due to interstitial deletions of the proximal long arm of chromosome 22. Deletions of 22q11 have also been reported with patients with the velocardio-facial syndrome and familial conotruncal heart defects. It has been suggested that the wide phenotype spectrum associated with 22q11 monosomy is a consequence of contiguous-gene deletions. We report the isolation of human cDNAs homologous to the Drosophila dishevelled (dsh) segment-polarity gene. Sequences homologous to the 3' UTR of these transcripts (DVL-22) were positioned within the DGS critical region and were found to be deleted in DGS patients. Human DVL mRNAs are expressed in several fetal and adult tissues, including the thymus and, at high levels, the heart. Two transcripts, 3.2 and 5kb, were detected, in northern blot analysis, with different expression patterns in the surveyed tissues when different cDNAs were used. The isolated cDNAs exhibit high amino acid homology with the mouse and Xenopus Dvl-1 gene, the only other vertebrate dsh homologues so far isolated. The pivotal role of dsh in fly development suggests an analogous key function in vertebrate embryogenesis of its homologue genes. Since DGS may be due to perturbation of differentiation mechanisms at decisive embryological stages, a Dsh-like gene in the small-region overlap (SRO) might be a candidate for the pathogenesis of this disorder.
Figure 1
725
FISH mapping of cosmid clones. A, Fiber-FISH analysis with clone co29 (green signals) and scF5 cosmid (red signals). co29
and scF5 (TUPLE1) appear contiguous, with a partial overlap (yellow signals [due combined red and green fluorescence]). B, Analysis with
clone co29 in a partial metaphase of a DGS patient, showing signals on one chromosome 22 only (yellow spot). A cosmid clone for the PARK2
gene (mapping on 22ql1) was used as a control probe and indicates the chromosome 22 pair (red spots).
Figure 2 A, Graphic representation of the 3.2-kb human DVL transcripts. The relative position and the length of the cloned cDNAs are
reported. The positions of the start and stop codons are also indicated, as well as some restriction sites. B = BamHI; H = HindIII; P = PstI;
and E = EcoRI. The alternatively spliced region of clone 4B is represented by the gap in the straight line. B, Alignment of the 3' end of human
DVL cDNA to the mouse homologue, Dvi-1. A complete identity is evident in the last 60 bp of the sequence. The remaining 3' UTRs are
different. The mouse tandemly repeated motif (5' TTC TGT GTA AAT CCT GC 3') is present in single copy in the human homologous
gene. The complete cDNA sequence (C) has been deposited in GenBank. Comparison is between the Dvi-1 and human DVLi 1 peptides
derived from cDNA c8 and 4B sequences. Amino acid sequences derived from Dvi-1 and the human cDNAs are aligned, with sequence identity
represented by vertical lines. A domain of 25 amino acids (positions 377-401 of the mouse sequence) is lacking from the putative human
protein derived from the sequence of cDNA clone C8. The underlined region corresponds to an alternatively spliced exon. The conserved dig
like sequence is shown in boldface. Two RGD recognition sequences are underscored with asterisks. The complete peptide sequence will be
deposited in GenBank.
Figure 2 A, Graphic representation of the 3.2-kb human DVL transcripts. The relative position and the length of the cloned cDNAs are
reported. The positions of the start and stop codons are also indicated, as well as some restriction sites. B = BamHI; H = HindIII; P = PstI;
and E = EcoRI. The alternatively spliced region of clone 4B is represented by the gap in the straight line. B, Alignment of the 3' end of human
DVL cDNA to the mouse homologue, Dvi-1. A complete identity is evident in the last 60 bp of the sequence. The remaining 3' UTRs are
different. The mouse tandemly repeated motif (5' TTC TGT GTA AAT CCT GC 3') is present in single copy in the human homologous
gene. The complete cDNA sequence (C) has been deposited in GenBank. Comparison is between the Dvi-1 and human DVLi 1 peptides
derived from cDNA c8 and 4B sequences. Amino acid sequences derived from Dvi-1 and the human cDNAs are aligned, with sequence identity
represented by vertical lines. A domain of 25 amino acids (positions 377-401 of the mouse sequence) is lacking from the putative human
protein derived from the sequence of cDNA clone C8. The underlined region corresponds to an alternatively spliced exon. The conserved dig
like sequence is shown in boldface. Two RGD recognition sequences are underscored with asterisks. The complete peptide sequence will be
deposited in GenBank.
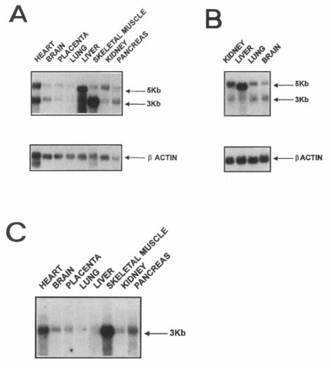
Figure 3
Expression of the human DVL gene in adult (A and
C) and fetal (B) human tissues. The hybridizations were performed
by use of cDNA clone c10 (A and B) and c8 (C) as probes. Two major
RNA forms, 3.2 and 5 kb long, are revealed. Clone C8 hybridizes
only the 3.2-kb form. Control hybridization to the actin probe is
shown.
Augusseau,
DiGeorge syndrome and 22q11 rearrangements.
1986, Pubmed
Augusseau,
DiGeorge syndrome and 22q11 rearrangements.
1986,
Pubmed Baldini,
In situ hybridization banding of human chromosomes with Alu-PCR products: a simultaneous karyotype for gene mapping studies.
1991,
Pubmed Beier,
Mapping genes in the mouse using single-strand conformation polymorphism analysis of recombinant inbred strains and interspecific crosses.
1992,
Pubmed Bockman,
Dependence of thymus development on derivatives of the neural crest.
1984,
Pubmed Bryant,
A major palmitoylated membrane protein of human erythrocytes shows homology to yeast guanylate kinase and to the product of a Drosophila tumor suppressor gene.
1992,
Pubmed Budarf,
Identification of a patient with Bernard-Soulier syndrome and a deletion in the DiGeorge/velo-cardio-facial chromosomal region in 22q11.2.
1995,
Pubmed Budarf,
Cloning a balanced translocation associated with DiGeorge syndrome and identification of a disrupted candidate gene.
1995,
Pubmed Calabrese,
Chromosome mapping of the human arrestin (SAG), beta-arrestin 2 (ARRB2), and beta-adrenergic receptor kinase 2 (ADRBK2) genes.
1994,
Pubmed Chomczynski,
Single-step method of RNA isolation by acid guanidinium thiocyanate-phenol-chloroform extraction.
1987,
Pubmed Conley,
The spectrum of the DiGeorge syndrome.
1979,
Pubmed de la Chapelle,
A deletion in chromosome 22 can cause DiGeorge syndrome.
1981,
Pubmed Demczuk,
Cloning of a balanced translocation breakpoint in the DiGeorge syndrome critical region and isolation of a novel potential adhesion receptor gene in its vicinity.
1995,
Pubmed Dickinson,
The role of Wnt genes in vertebrate development.
1992,
Pubmed Driscoll,
A genetic etiology for DiGeorge syndrome: consistent deletions and microdeletions of 22q11.
1992,
Pubmed Driscoll,
Deletions and microdeletions of 22q11.2 in velo-cardio-facial syndrome.
1992,
Pubmed Fidlerová,
Two simple procedures for releasing chromatin from routinely fixed cells for fluorescence in situ hybridization.
1994,
Pubmed Foster,
Campomelic dysplasia and autosomal sex reversal caused by mutations in an SRY-related gene.
1994,
Pubmed Goldberg,
Velo-cardio-facial syndrome: a review of 120 patients.
1993,
Pubmed Goldmuntz,
Microdeletions of chromosomal region 22q11 in patients with congenital conotruncal cardiac defects.
1993,
Pubmed Greenberg,
DiGeorge syndrome: an historical review of clinical and cytogenetic features.
1993,
Pubmed Greenberg,
Cytogenetic findings in a prospective series of patients with DiGeorge anomaly.
1988,
Pubmed Grossman,
Chromosomal mapping of the human catechol-O-methyltransferase gene to 22q11.1----q11.2.
1992,
Pubmed Halford,
Isolation of a putative transcriptional regulator from the region of 22q11 deleted in DiGeorge syndrome, Shprintzen syndrome and familial congenital heart disease.
1993,
Pubmed Jordan,
The human PAX6 gene is mutated in two patients with aniridia.
1992,
Pubmed Kelley,
The association of the DiGeorge anomalad with partial monosomy of chromosome 22.
1982,
Pubmed Kirby,
Neural crest and normal development: a new perspective.
1984,
Pubmed Kirby,
Neural crest cells contribute to normal aorticopulmonary septation.
1983,
Pubmed Kirby,
Characterization of conotruncal malformations following ablation of "cardiac" neural crest.
1985,
Pubmed Kurahashi,
Isolation and characterization of a novel gene deleted in DiGeorge syndrome.
1995,
Pubmed Lamour,
A human homolog of the S. cerevisiae HIR1 and HIR2 transcriptional repressors cloned from the DiGeorge syndrome critical region.
1995,
Pubmed Morrow,
Molecular definition of the 22q11 deletions in velo-cardio-facial syndrome.
1995,
Pubmed Nusse,
Wnt genes.
1992,
Pubmed Payne,
Toward a molecular understanding of congenital heart disease.
1995,
Pubmed Perrimon,
Multiple functions of segment polarity genes in Drosophila.
1987,
Pubmed Rijsewijk,
The Drosophila homolog of the mouse mammary oncogene int-1 is identical to the segment polarity gene wingless.
1987,
Pubmed Scambler,
Deletions of human chromosome 22 and associated birth defects.
1993,
Pubmed Scambler,
Microdeletions within 22q11 associated with sporadic and familial DiGeorge syndrome.
1991,
Pubmed Scambler,
Velo-cardio-facial syndrome associated with chromosome 22 deletions encompassing the DiGeorge locus.
1992,
Pubmed Shprintzen,
A new syndrome involving cleft palate, cardiac anomalies, typical facies, and learning disabilities: velo-cardio-facial syndrome.
1978,
Pubmed Siegfried,
Components of wingless signalling in Drosophila.
1994,
Pubmed Spritz,
Deletion of the KIT and PDGFRA genes in a patient with piebaldism.
1992,
Pubmed Sussman,
Isolation and characterization of a mouse homolog of the Drosophila segment polarity gene dishevelled.
1994,
Pubmed Tassabehji,
Waardenburg's syndrome patients have mutations in the human homologue of the Pax-3 paired box gene.
1992,
Pubmed Theisen,
dishevelled is required during wingless signaling to establish both cell polarity and cell identity.
1994,
Pubmed Van Mierop,
Cardiovascular anomalies in DiGeorge syndrome and importance of neural crest as a possible pathogenetic factor.
1986,
Pubmed Vortkamp,
GLI3 zinc-finger gene interrupted by translocations in Greig syndrome families.
1991,
Pubmed
,
Xenbase Wadey,
Isolation of a gene encoding an integral membrane protein from the vicinity of a balanced translocation breakpoint associated with DiGeorge syndrome.
1995,
Pubmed Wagner,
Autosomal sex reversal and campomelic dysplasia are caused by mutations in and around the SRY-related gene SOX9.
1994,
Pubmed Wu,
Heart development in Drosophila requires the segment polarity gene wingless.
1995,
Pubmed Yanagawa,
The dishevelled protein is modified by wingless signaling in Drosophila.
1995,
Pubmed