Click here to close
Hello! We notice that you are using Internet Explorer, which is not supported by Xenbase and may cause the site to display incorrectly.
We suggest using a current version of Chrome,
FireFox, or Safari.
Dev Biol
1996 May 25;1761:86-94. doi: 10.1006/dbio.1996.9992.
Show Gene links
Show Anatomy links
Exogenous tau RNA is localized in oocytes: possible evidence for evolutionary conservation of localization mechanisms.
Litman P, Behar L, Elisha Z, Yisraeli JK, Ginzburg I.
???displayArticle.abstract???
The multistep pathway leading to intracellular RNA localization is known to involve cis-acting signals in targeted mRNAs, which are presumably recognized by specific RNA-binding proteins and interact with a functional cytoskeleton. Tau RNA is localized to the proximal hillock of rat axons, and this movement requires intact microtubules. Because Xenopus oocytes demonstrate a clear polarity involving microtubule-mediated RNA localization, we have studied the distribution of tau RNA injected into oocytes. We find that a fragment from the 3'-untranslated region of tau RNA is localized to the vegetal cortex of stage III/IV oocytes in a distribution indistinguishable from Vg1 RNA, a vegetally localized oocyte mRNA. A fragment from the tau RNA coding region, however, is homogeneously distributed in oocytes. Tau RNA contains a functional binding site for Vg1 RBP, a Xenopus microtubule-associated protein that binds vegetally localized oocyte RNAs with high affinity, and this binding correlates with vegetal localization ability. The present studies demonstrate, for the first time, localization of heterologous RNA in oocytes. Given the role of Vg1 RBP as a mediator of specific RNA-microtubule interactions, these results are strong evidence that Vg1 RBP is involved in the vegetal localization of RNAs in oocytes and raise the intriguing possibility of the existence of proteins with similar function in neurons.
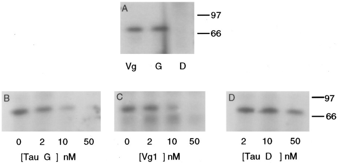
FIG. 1. Vg1 RBP binding to 3*-UTR fragment of tau mRNA (A). Tau fragments G and D and the 340-nucleotide localization sequence
of Vg1 (Mowry and Melton, 1992) were used as templates for the synthesis of [32P]-labeled RNA. Incubation of the labeled RNA molecules
with S100 oocyte cytoplasmic extracts was followed by an UV cross-linking assay, as described under Materials and Methods. Competition
assays for RNA-binding activity of tau RNA-G (B–D). Incubation of [32P]-labeled tau RNA-G with increasing amounts of the unlabeled
RNA competitor tau RNA-G (B), Vg1 RNA-LS (C), or tau RNA-D (D), and 7.5 mg of S100 oocyte cytoplasmic extracts was followed by an
UV cross-linking assay, as described under Materials and Methods. Numbers below the gels indicate the molar concentrations of the
competitor in nM.
FIG. 4. MTs and actin filaments are involved in localization of tau mRNA in injected oocytes. Stage III oocytes were injected with
unlabeled tau RNA-G and cultured for 5 days in the presence of the cytoskeletal inhibitors colchicine or cytochalasin B. (A) A control
oocyte injected with tau RNA-G and cultured for 5 days in the presence of serum. (B) Disruption of tau localization in an oocyte grown
in medium containing colchicine. (C, C*) Mislocalization of injected tau RNA-G in an oocyte grown in medium containing cytochalasin
B. Oocytes in (AâC) were photographed from a lateral view and in (C*) from the vegetal pole. The ring seen around the vegetal aspect of
the germinal vesicle (C*) following cytochalasin B treatment did not extend to the cortex (C). The animal poles are indicated by arrowheads.
Calibration bar, 200 mm.
FIG. 3. Quantitative analysis of results obtained from whole of mount in situ hybridization of microinjected oocytes. Statistical analysis of the vegetal localization of tau RNA-G or tau RNA-D in injected oocytes grown for 1 or 5 days in the presence of serum or for 5 days in serum-free medium. Data are based on three independent experiments in each of which about 300 oocytes were examined for each treatment and are expressed as the mean percentages of oocytes showing vegetal localization. The asterisk indi-cates significant differences (P 0.0001) in the number of injected oocytes showing vegetal localization of the tau RNA-G, following growth for 5 days in a medium containing serum relative to all the other treatments. The data were analyzed by a two-level nested ANOVA, with unequal sample sizes and post hoc comparisons.
FIG. 2. Sequence from the 3*-UTR region of tau RNA is targeted to the vegetal poles of Xenopus oocytes cultured in a medium containing
serum. Stage III oocytes were injected with synthetic unlabeled tau RNA. The oocytes were grown for 1 or 5 days in culture and fixed,
and the localization of the injected RNA or endogenous Vg1 RNA was examined by whole-mount in situ hybridization with the appropriate
digoxigenin-labeled antisense RNA probe. Oocytes injected with tau RNA-G (AâC). Oocytes injected with tau RNA-D (D). Noninjected
oocytes hybridized with Vg1 probe show the localization of endogenous Vg1 (E). Low-background level of the whole-mount in situ
hybridization with tau sense probe (F). The oocytes in (A) and (Câ F) were fixed after 5 days in culture, and the oocytes in (B) were fixed
after 1 day in culture. The oocytes in (C) were cultured in serum-free medium, while the oocytes shown in all the other panels were
cultured in a medium containing frog serum. The animal pole of the oocytes is indicated by arrowheads. Calibration bar, 200 mm.