|
Fig. 1. The Xenopus Vox sequence. (A) The nucleotide and predicted amino acid sequence of Vox.
The homeodomain is underlined. (B) Comparison of the Vox homeodomain sequence to other
homeodomain sequences. The dashes indicate identical amino acids. The percentage amino acid
identity within the homeodomain is shown. Xgbx-2 (von Bubnoff et al., 1996), eve (MacDonald et
al., 1986; Frasch et al., 1987), Xhox3 (Ruiz i Altaba and Melton, 1989a), Hox1.11 (Tan et al.,
1992), and Nkx-5.1 (Bober et al., 1994). |
|
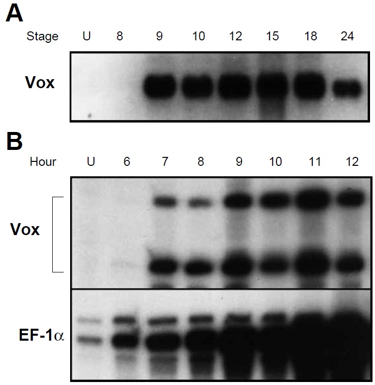
Fig. 2. Temporal expression of Vox. (A) Northern analysis of the
developmental expression of Vox. Poly(A) RNA was isolated from
50 unfertilized eggs or embryos at various stages, separated on a
denaturing gel, blotted and hybridized with a 32P-labeled full-length
probe made from the Vox cDNA. (U) unfertilized egg; (8) stage 8,
midblastula; (9) stage 9, late blastula; (10) stage 10, early gastrula;
(12) stage 12, late gastrula; (15) stage 15, midneurula; (18) stage 18,
late neurula; (24) stage 24, tailbud. The blot was rehybridized with
an EF-1a probe (Krieg et al. 1989) to verify the loading of RNA in
each lane (not shown). (B) RNase protection assay showing the
temporal expression of Vox. RNA was isolated from five unfertilized
eggs (U) or embryos at the indicated hours postfertilization. RNA
was analyzed by RNase protection using a mixture of Vox and EF-1a
probes. EF-1a is a ubiquitously expressed gene in Xenopus embryos
and the levels of expression increase from the MBT. MBT occurs at
approximately 6 hours postfertilization. |
|
Fig. 3. Spatial expression of Vox transcripts during early
development. Vox expression was analyzed by whole-mount in situ
hybridization using albinos, except for the embryo in D. (A) Vegetal
view of a stage 10 embryo, dorsal is upper left. Vox expression is
cleared from the region above the blastopore lip. (B) Dorsal view of
the same embryo as in A, animal pole is up. Vox is expressed
throughout the embryo except for a small region above the dorsal lip.
(C) Dorsal view of a stage 11 embryo, animal pole is up. The
clearing of Vox expression from the embryo has expanded anteriorly
and delineates the regions of the future anterior neural plate and
notochord. (D) Dorsovegetal view of a stage 12 embryo, anterior is
up. Vox expression flanking the presumptive notochord has become
sharpened and the anterior dorsal clearing has broadened and
extended anteriorly. (E) Dorsal view of a stage 13-14 embryo,
anterior is up. Vox is expressed in the posterior paraxial region of the
embryo. Two new spots of anterior expression are emerging
(arrowhead) which mark the region dorsal to the developing eye.
(F) Lateral view of a stage 19 embryo, anterior is to the left. Vox is
expressed diffusely ventrally and with sharp borders along the
posterior notochord and floorplate in the posterior paraxial region of
the embryo. The staining above the future eye is more distinct at this
stage. (G) Lateral view of a stage 24 embryo, anterior is to the left.
Diffuse staining is present but diminishing on the ventral side of the
embryo. The paraxial expression is now confined to a small region of
the developing tailbud. (H) Lateral view of a stage 26 embryo,
anterior is to the left. Ventral expression has diminished. Vox is now
expressed solely in the developing tailbud flanking the notochord and
floorplate and above the developing eye. The dark spot in the dorsal
anterior half is a defect in this particular embryo. |
|
Fig. 4. Histological analysis of Vox expression in sections of albino embryos
processed for whole-mount in situ hybridization. (A) Sagittal section of a stage
11 embryo, dorsal is to the left. Vox expression is absent from the dorsal side.
(B) Transverse section of a stage 11 embryo, dorsal is up. Vox is cleared from a
broad region on the dorsal side of the embryo. (C) Sagittal section of a stage 12
embryo, the blastopore is to the lower right-hand corner of the panel. Ventral is
to the right. Vox expression is absent from the involuted and noninvoluted cells
on the dorsal side of the embryo. On the ventral side, Vox expression is found
in both the involuted mesoderm and the noninvoluted overlying ectoderm,
however the expression in the noninvoluted cells appears much stronger.
(C¢) Higher magnification of the ventral side of the embryo shown in C, the
blastopore is at the bottom of the panel. Vox expression is much stronger in the
noninvoluted cells. (C¢¢) Higher magnification of the dorsal side of the embryo
shown in C, the blastopore at the lower right-hand corner. Vox expression is
absent from the involuted mesoderm as well as the noninvoluted ectoderm on
the dorsal side. (D) Parasagittal section of a stage 12 embryo, the blastopore is
to the lower right-hand corner of the panel. Ventral is to the right. Vox
expression is strongest in noninvoluted cells of the animal ectoderm and the
ventral ectoderm, and weaker expression is found in the involuted ventral
mesoderm. On the dorsal side, Vox expression is weak in the anterior region of
the presumptive neural plate or the anterior noninvoluted cells. However,
posteriorly, Vox is expressed in both the involuted and noninvoluted cells.
(D¢) Higher magnification of the dorsal side of the embryo shown in D, the
blastopore is to the right. Vox expression is weaker in the anterior dorsal
noninvoluted cells of the neuroectoderm and is stronger in the noninvoluted and
just involuted cells in the posterior region of the embryo. |
|
Fig. 5. Comparison of Vox, Xnot, chordin and Bmp-4 expression in
Xenopus embryos. (A) Dorsovegetal view of uncleared, stage 11
embryos stained for chordin, left, Vox, middle, and Xnot, right,
dorsal is up. The expression of Vox is most visible in uncleared
embryos since clearing will cause the ventral expression to be visible
through the dorsal side. Vox is cleared from the regions in which
chordin and Xnot are expressed. (B) Lateral view of stage 24
embryos stained for Xnot, top; Vox, second; chordin, third, and Bmp-
4, bottom, anterior is to the left. At this stage, Xnot and Vox
expression is limited to the posterior region of the embryo, with Xnot
expressed in the posterior notochord and floorplate and Vox
expression cleared from these two developing tissues. Chordin, in
contrast, is expressed throughout the notochord at this stage. Bmp-4
expression at this stage is found in ventral anterior and posterior
regions of the embryo and is in the developing tail fin. (C) Lateral
view of the posterior region of stage 26 embryos stained for Xnot,
top and Vox, bottom. Posterior is to the right. Xnot is expressed in
two clear regions of expression in the developing tailbud, the
developing floorplate and notochord. Vox expression is absent from
these two regions in the posterior of the embryo. (D) Stage 31
embryos stained for Xnot, top; Vox, second; chordin, third and Bmp-
4, bottom, anterior is to the left. At this stage, only the most posterior
tip of the body axis (the tailbud) contains Xnot and chordin
expression. Vox expression surrounds the domains of chordin and
Xnot expression. Bmp-4 is expressed ventral to the developing
tailbud region and in the surrounding tail fin. |
|
Fig, 6. Phenotypic effects of Vox RNA injections. 4-5 ng of Vox
RNA were injected into the dorsal (A) or ventral (B) marginal zone
of 4-cell embryos. (A) The top four embryos were injected with Vox
RNA, the closed blastopore is to the right. The bottom embryo is an
uninjected, stage 35 control, anterior is to the left. (B) The top two
embryos were injected with Vox RNA, the bottom embryo is an
uninjected control embryo, anterior is to the left. Embryos are at
stage 35. |
|
Fig. 7. Gene expression in embryos
injected with Vox RNA. In all experiments,
a percentage of injected and uninjected
control embryos were allowed to develop
until tadpole stages to score the late-stage
phenotype in a each experiment. Injected
embryos received 4-5 ng of Vox RNA
dorsally, except in the experiment shown in
L where embryos were injected ventrally.
Vegetal views with dorsal up, except where
noted. (A) gsc expression in an uninjected,
stage 10.5 embryo. (B) An embryo injected
dorsally with Vox RNA; gsc expression is
eliminated from the dorsal side of the
embryo (100% had no detectable gsc
expression, n=29). (C) Xnot expression in
an uninjected, stage 12.5 embryo. (D) An
embryo injected dorsally with Vox RNA;
Xnot expression is eliminated from the
dorsal side of the embryo (85% had no
detectable notochordal Xnot expression, the
remainder had reduced expression, n=39).
(E) Dorsovegetal view of Xbra expression
in an uninjected, stage 12.5 embryo.
Arrowhead indicates notochordal Xbra
expression. (F) Xbra expression in a stage
12 embryo injected dorsally with Vox
RNA; no notochordal Xbra expression is
detectable (100% had no notochordal Xbra
expression, n=10). (G) MyoD expression in
an uninjected, stage 12 embryo. (H) MyoD
expression in a stage 12 embryo injected
dorsally with Vox RNA; MyoD is
expressed along the dorsal midline (100%
had radial MyoD expression, n=23).
(I) Xwnt-8 expression in an uninjected,
stage 10 embryo. (J) Xwnt-8 expression in
a stage 10 embryo injected dorsally with
Vox RNA; Xwnt-8 expression appears
unaffected (100% had normal Xwnt-8
expression, n=17). (K) Xwnt-8 expression
in an uninjected, stage 10 embryo.
(L) Xwnt-8 expression in a stage 10
embryo injected ventrally with Vox RNA;
Xwnt-8 is eliminated from the ventral
region of the embryo (100% lacked ventral
expression of Xwnt-8, n=20). (M) Dorsovegetal view of Bmp-4 expression in an uninjected, stage 12 embryo. (N) Bmp-4 expression in a stage 12
embryo injected dorsally with Vox RNA; Bmp-4 is expressed both dorsally and ventrally (95% had radial Bmp-4 expression, n=21). (O)
Dorsovegetal view of chordin expression in an uninjected, stage 12.5 embryo, dorsoanterior is up. (P) An embryo injected dorsally with Vox RNA;
chordin expression is eliminated from the dorsal side of the embryo (96% had little or no detectable chordin expression, n=23). (Q) Dorsovegetal
view of Xotx2 expression in an uninjected, stage 12.5 embryo, dorsoanterior is up. (R) An embryo injected dorsally with Vox RNA; Xotx2 expression
is eliminated from the dorsal side of the embryo (100% had no detectable Xotx2 expression, n=12). (S) Dorsovegetal view of Hairy II expression in
an uninjected, stage 12.5 embryo, dorsoanterior is up. (T) An embryo injected dorsally with Vox RNA; Hairy II is weakly expressed on the dorsal
side and no longer delineates the neural plate or floorplate (100% had faint, diffuse, dorsal Hairy II expression, n=27). |
|
Fig. 8. RNase protection analysis of the levels of Bmp-4 expression
in dorsal and ventral quarters of uninjected stage 12.5 embryos and
stage 12.5 embryos injected dorsally with 4 ng Vox RNA. An EF-1a
probe was included to control for RNA loading. Except for the whole
embryo control, each sample was derived from 10 dorsal or ventral
quarters. The bar graph at the bottom represents levels of Bmp-4
expression in each lane normalized to EF-1a. Bmp-4 is expressed in
nearly equal amounts on the dorsal and ventral sides of Vox RNAinjected
embryos. This experiment was repeated and produced the
same results (data not shown). |
|
Fig. 9. Ectopic BMP-4
expression prevents the dorsal
clearing of Vox expression in
stage 11 embryos. Vegetal views,
dorsal is up. A. Vox expression in
an uninjected, stage 11 embryo.
B. Vox expression in a stage 11
embryo injected dorsally with 4
ng Bmp-4 RNA; Vox is radially
expressed (69% had radial Vox
expression, 31% had reduced
dorsal clearing, n=16). |
|
Fig. 10. A hypothetical model of the gene regulatory network active
during gastrulation in Xenopus. The set of interactions shown in this
diagram reflect the minimum necessary to account for the observations
discussed here, and is not intended to be the only possible hypothesis.
Arrows indicate positive regulation, boxes indicate negative regulation;
the interactions between the molecules shown may be either direct or
indirect, transcriptional or posttranscriptional. As shown in this work,
BMP-4 and Vox promote each other’s expression. Chordin, meanwhile,
inhibits BMP-4 function, but is itself repressed by Vox. The positive
loop between Vox and BMP-4 is self-perpetuating. Vox may either
directly repress chordin transcription, or function indirectly by
regulating Xnot and gsc. Siamois may provide an early bias that
distinguishes the dorsal from the ventral side of the embryo. |