Click here to close
Hello! We notice that you are using Internet Explorer, which is not supported by Xenbase and may cause the site to display incorrectly.
We suggest using a current version of Chrome,
FireFox, or Safari.
???displayArticle.abstract???
Cdx homeodomain transcription factors have multiple roles in early vertebrate development. Furthermore, mis-regulation of Cdx expression has been demonstrated in metaplasias and cancers of the gut epithelium. Given the importance of Cdx genes in development and disease, the mechanisms underlying their expression are of considerable interest. We report an analysis of the upstream regulatory regions from the amphibian Xenopus laevis Cdx4 gene. We show that a GFP reporter containing 2.8 kb upstream of the transcription start site is expressed in the posterior of transgenic embryos. Deletion analysis of the upstream sequence reveals that a 247-bp proximal promoter fragment will drive posterior expression in transgenic embryos. We show that 63 bp of upstream sequence, that includes a consensus site for POU-domain octamer-binding proteins, retains significant promoter activity. Co-expression of the octamer-binding protein Oct1 induces expression from a Cdx4 reporter and mutation of the octamer site abolishes activity of the same reporter. We show that the octamer site is highly conserved in the promoters of the human, mouse, chicken, and zebrafish Cdx4 genes and within the promoters of amphibian Cdx1 and Cdx2. These data suggest a conserved function for octamer-binding proteins in the regulation of Cdx family members.
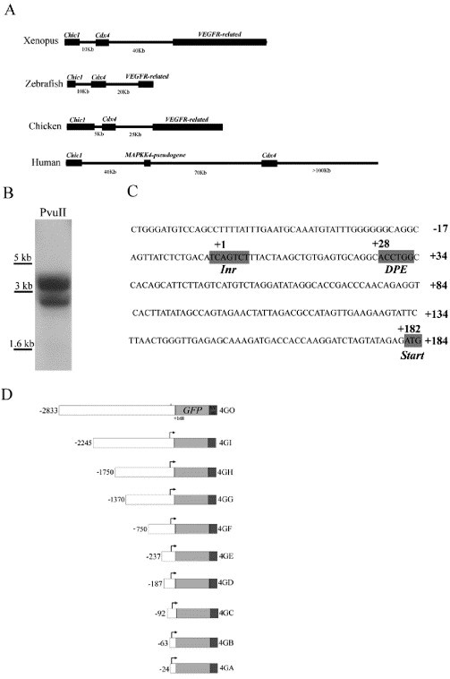
Fig. 1. Identification of the X. laevis Cdx4 promoter. Panel A is a schematic diagram showing the genomic context of Cdx4-related loci in X. tropicalis, zebrafish, chicken, and human. Panel B shows an autoradiograph of a Southern blot of X. laevis genomic DNA digested with PvuII restriction enzyme and probed with a 400-bp probe from the 5′ end of the Cdx4 cDNA. Note the two bands arising from sequence polymorphism of the two pseudoallelic Cdx4 genes. Panel C shows the sequence from the proximal promoter region of X. laevis Cdx4. Transcriptional initiator sequence (Inr), downstream promoter element (DPE), and translational start (start) are boxed in gray. Sequence is numbered relative to the transcription start site +1. Panel D shows diagrams of the GFP reporter plasmids made from the isolated 3.4-kb Cdx4 promoter fragment. The base construct 4GO contains 2833 bp upstream of the transcription start site and 168 bp of 5′ untranslated region (UTR) cloned upstream of a nuclear GFP reporter. The construct also contains a 3′ SV40 adenylation sequence. Constructs 4GI to 4GA represent a deletion series (2245 bp to 24 bp) of the sequence upstream of the transcriptional start site.
Fig. 2. Normal expression of X. laevis Cdx4. This figure shows a whole-mount in situ hybridization analysis of the expression of Cdx4 at various stages of development. Panel A is a vegetal view of a mid-gastrula stage 11 embryo. Dorsal is to the top. Panel B is a dorsal view of a early neurula stage 13 embryo. Anterior is to the left. Panel C is a sagittal section through a neurula stage 13 embryo. Anterior is to the left. Panel D is a dorsal view of a late neurula stage 18 embryo. Anterior is to the left. Panel E is a lateral view of an early tailbud stage 30 embryo. Anterior is to the left. Panel F is a transverse section through the posteriortrunk of an early tailbud stage 30 embryo. Dorsal is to the top and the black arrow indicates the notochord. ntc = notochord, nt = neural tube.
Fig. 3. Expression of the 4GO reporter in transgenic embryos during development. This figure shows the expression of the 4GO reporter construct in transgenic embryos at a number of developmental stages as visualized by in situ hybridization against GFP RNA. The 4GO construct contains 2.8 kb upstream of the transcription start site. In Panels E to O, anterior is to the left. Panel A is a vegetal view of a gastrula stage 10.5 embryo. Dorsal is to the top. Panel B is a lateral view of a stage 10.5 embryo. The animal hemisphere is to the top. Panel C is a section of a gastrula stage 11 embryo bisected along the dorsoventral axis. Animal is to the top dorsal to the right. White arrow indicates the blastpore lip. Panel D is a vegetal view of a stage 11.5 embryo. Dorsal is to the top. Panel E is a lateral view of a stage 11.5 embryo. Dorsal is to the top. Panel F is a dorsal view of a gastrula stage 12.5 embryo. Panel G is a lateral view of a stage 12.5 embryo. Panel H is a dorsal view of an early neurula stage 13 embryo. Panel I is a sagittal section of a stage 13 embryo. Back arrow indicates forming archenteron cavity. Panel J is a dorsal view of a late neurula stage 20 embryo. Panel K is a lateral view of a stage 20 embryo. Panel L is a dorsal view of the posterior region of tailbud stage 30 embryo. Panel M is a lateral view of the posterior region of a stage 30 embryo. Panels N and O are lateral views of tailbud stage 33 embryos.
Fig. 4. Expression from a 5′ deletions series in transgenic embryos. This figure shows the expression in transgenic tailbud stage embryos from a series of 5′ deletion constructs visualized by hybridization against GFP RNA. The 4GI, 4GH, 4GG, 4GF, and 4GE constructs contain, respectively, 2245, 1750, 1370, 750, and 237 bp of sequence upstream of the transcriptional start site. In all panels, anterior is to the left. Panels A, B, C, D, and E show the expression of constructs 4GI, 4GH, 4GG, 4GF, and 4GE, respectively.
Fig. 5. Expression from the 4GE 5′ deletion construct in transgenic embryos. This figure shows the expression in transgenic embryos of the 4GE 5′ deletion construct at various stages visualized by hybridization against GFP RNA. 4GE contains 237 bp of sequence upstream of the transcriptional start site. In panels B, C, D, E, G, and H, anterior is to the left. Panel A is a lateral view of a gastrula stage 10.5 embryo. Animal is to the top. Panel B is a sagittal section through an early neurula stage 14 embryos. Panel C is a dorsal view of a late neurula stage 20 embryo. Panel D is a lateral view of stage 20 embryo. Dorsal is to the top. Panel E is a lateral view of a tailbud stage 28 embryo. Panel F is a transverse section through the posterior trunk of a tailbud stage 31 embryo. Panel G is a lateral view of the tail-forming region from a stage 33 embryo. Panel H is a lateral view of the head of a tailbud stage 33 embryo. mhj = midbrain/hindbrain junction, hdb = hindbrain, ntc = notochord.
Fig. 6. Quantitative analysis of Cdx4 and reporter construct expression. Panel A is an autoradiograph of an RNAse protection analysis of Cdx4 gene expression during development. 10 μg total RNA from each stage was hybridized with probes for Cdx4 and ODC. Panel B is a chart showing the relative expression of Cdx4 at the same stages as determined by densitometry. Cdx4 expression was normalized to ODC expression and represented as a percentage of the maximum expression at stage 13. Panel C shows the relative luminescence detected from embryos injected with the 4LO and 4LE firefly luciferase reporter plasmids during development. The 4LO and 4LE constructs, respectively, contain 2833 bp and 237 bp upstream of the transcriptional start site. The firefly luminescence was normalized to the luminescence produced by the coinjected CMV-Renilla luciferase control plasmid.
Fig. 7. Expression from a 5′ deletion series of the proximal promoter region in transgenic embryos. This figure shows the expression in transgenic tailbud stage embryos from a series of reporter constructs containing 5′ deletions of the proximal promoter region of Cdx4 visualized by hybridization against GFP RNA. The 4GD, 4GC, 4GB, and 4GA constructs contain, respectively, 187, 92, 63, and 24 bp of sequence upstream of the transcriptional start site. In all panels, anterior is to the left. Panels A, B, C, and D show the expression of constructs 4GD, 4GC, 4GB, and 4GA, respectively.