Click here to close
Hello! We notice that you are using Internet Explorer, which is not supported by Xenbase and may cause the site to display incorrectly.
We suggest using a current version of Chrome,
FireFox, or Safari.
???displayArticle.abstract???
In previous work, we demonstrated that maternally encoded beta-catenin, the vertebrate homolog of armadillo, is required for formation of dorsal axial structures in early Xenopus embryos (Heasman, J., Crawford, A., Goldstone, K., Garner-Hamrick, P., Gumbiner, B., Kintner, C., Yoshida-Noro, C. and Wylie, C. (1994). Cell 79, 791-803). Here we investigated, firstly, the role(s) of beta-catenin in spatial terms, in different regions of the embryo, by injecting beta-catenin mRNA into individual blastomeres of beta-catenin-depleted embryos at the 32 cell stage. The results indicate that beta-catenin can rescue the dorsal axial structures in a non-cell-autonomous way and without changing the fates of the injected cells. This suggests that cells overexpressing beta-catenin send a 'dorsal signal' to other cells. This was confirmed by showing that beta-catenin overexpressing animal caps did not cause wild-type caps to form mesoderm, but did cause isolated beta-catenin-deficient marginal zones to form dorsal mesoderm. Furthermore beta-catenin-deficient vegetal masses treated with overexpressing caps regained their ability to act as Nieuwkoop Centers. Secondly, we studied the temporal activity of beta-catenin. We showed that zygotic transcription of beta-catenin starts after the midblastula transition (MBT), but does not rescue dorsal axial structures. We further demonstrated that the vegetal mass does not release a dorsal signal until after the onset of transcription, at the midblastula stage, suggesting that maternal beta-catenin protein is required at or before this time. Thirdly we investigated where, in relationship to other gene products known to be active in axis formation, beta-catenin is placed. We find that BVg1, bFGF, tBR (the truncated form of BMP2/4R), siamois and noggin activities are all downstream of beta-catenin, as shown by the fact that injection of their mRNAs rescues the effect of depleting maternally encoded beta-catenin. Interference with the action of glycogen synthase kinase (GSK), a vertebrate homolog of the Drosophila gene product, zeste white 3 kinase, does not rescue the effect, suggesting that it is upstream.
Fig. 1. The sites of injection of 150 pg of b-catenin mRNA into 32
cell-stage b-catenin-deficient embryos. Injections were on the dorsal
side, as judged by pigment differences in 1 cell, into one cell in the
positions indicated. Representative embryos cultured after injection
into these sites are shown in Fig. 2.
Fig. 2. b-catenin mRNA rescues the dorsal axis when injected into single animal, equatorial or
vegetal cells of b-catenin-depleted 32-cell stage embryos.The degree of rescue is shown in AD.
(A) No injection, (B) animal cell injection, (C) vegetal cell injection, and (D) marginal cell
injection of 150 pg of b-catenin mRNA. The descendant cells of the single injected cells are
shown by X-gal staining. (E) The progeny of an equatorial cell overexpressing b-catenin are in
axial mesoderm (notochord and somite) and anterior endoderm. (F) Progeny of an animalinjected
cell overexpressing b-catenin are in the skin over the head, and (G) the progeny of a
vegetal-injected blastomere are in endoderm.
Fig. 3. (A) Animal caps from b-catenin overexpressing embryos produce a ‘dorsal signal’ but will not induce animal caps to form mesoderm.
The design of the experiments are described in the text and illustrated here diagrammatically. WT, wild type; b cat++, overexpressing b-catenin
mRNA; b cat-, b-catenin-depleted by the injection of antisense oligo into oocytes. RNA was prepared from groups of 5 marginal zones, 10
animal caps or 10 animal/vegetal recombinants at the late neurula stage, and northern blots were probed for the dorsal mesodermal marker
MyoD. Ef1a was used as a loading control. (B) Overexpression of b-catenin in animal caps causes them to be dorsalized. Nieuwkoop
recombinants consisiting of either wild-type caps and wild-type vegetal masses (Bi), or b-catenin-overexpressing caps and wild-type vegetal
masses (Bii) were made at the midblastula stage and cultured until siblings reached the neurula stage (stage 16). Overexpressing caps elongated
dramatically compared to controls.
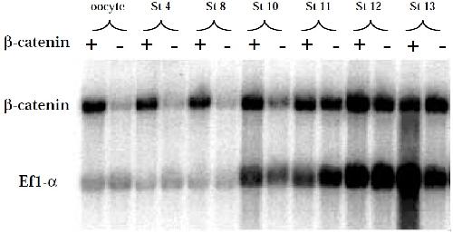
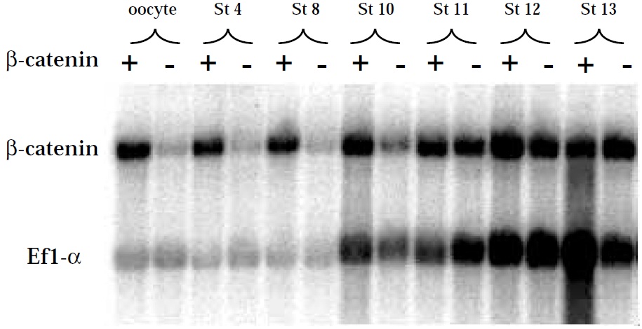
Fig. 4. Zygotic b-catenin mRNA is synthesized from the
early gastrula stage onwards. Maternal b-catenin was
depleted from oocytes by injection of antisense oligo,
and then oocytes and embryos derived from the same
batch of oocytes were frozen at the stages shown. The
developmental northern blot was probed with a b-catenin
probe and with Ef1a as a loading control. +, uninjected;
-, depleted of maternal b-catenin mRNA. Zygotic b-
catenin mRNA has appeared by stage 10 (early gastrula),
and reaches wild-type levels during gastrulation.
Fig. 5. Animal caps from stage 9
embryos elongate and make MyoD
in response to stage 9, but not stage
7 vegetal masses. The stage 7
embryos at the time the 9/7 animal
and vegetal masses were put
together are shown in A, and when
they were taken apart again in C.
The stage 9 embryos at the time the
9/7 and 9/9 animal and vegetal
masses were put together are shown
in B. Stage 9 caps on stage 7 vegetal
masses are shown in D and
separated after 1 hour in E, to show
that the two components are easy to
distinguish and can be completely
separated. Stage 9 animal caps
elongate and express MyoD to a
dramatically greater extent in
response to wild-type stage 9
vegetal masses (G, and 9/9 in L),
but do not respond to stage 7
vegetal masses, either untreated (F,
and 9/7 in L), or overexpressing b-
catenin (H, and 9/7+ in L).
Combinations in which either
vegetal masses (I and 9/9+ in
northern) or animal caps (J and 9+/9
in L) were overexpressing b-catenin
show an increased response in the
animal caps. Sibling embryos at the
time the animal caps were frozen
are shown in K, and their level of
expression of MyoD (one embryo)
in the right hand lane of the northern blot. M illustrates the degree to
which zygotic transcription is underway at the time when
recombinants were seperated, as measured by the expression of Gs17
in northern blots. RNA was prepared from the embryos shown in B
and C. Those in B expressed high levels of Gs17, showing that
embryonic transcription had started. Those in C expressed only low
levels, indicating that the embryos were at the midblastula transition.
Fig. 6. Only GSK, of the molecules tested, lies upstream of b-catenin. (A) Two untreated
embryos (upper two embryos) and two b-catenin-depleted embryos (lower two embryos),
injected at the 32-cell stage with dn-gsk, and photographed at the neurula stage. Overexpression
of dn-gsk causes an ectopic axis in the untreated, but does not rescue the b-catenin-depleted
embryo. B and C show the distribution of descendants of the injected cells later in development,
in the untreated and b-catenin-depleted embryos, respectively. D-F show that overexpression of
BVg1 causes a second dorsal axis in control embryos (D), and generates a single axis in b-
catenin-depleted embryos (F). Embryos from the same batch of b-catenin-depleted embryos, but
which were not injected with BVg1, are shown in E.
Fig. 7. Only GSK is unable to cause the expression of dorsal mesodermal and neural markers in
b-catenin-deficient embryos. This is a northern blot of RNA from neurulae derived from
embryos untreated and treated with ologo. The blot was probed for the dorsal markers MyoD
(skeletal muscle) and NRP1(neural tissue), the ventral marker Xwnt8 and the loading control
Ef1a. Each lane is described both in terms of the treatment each sample had as oocytes (i.e.
injected with oligo or not) and in terms of the treatment after fertilization (ie. the injection of a
specific mRNA at the 8-16 cell stage or not). This information is also summarized above each
figure as oocyte treatment: U, uninjected or O, antisense oligo-injected; and embryo treatment:
b, b-catenin mRNA-injected; V, BVg1; G, dn-gsk; B, tBR; S, siamois; N, noggin. Lanes 21-24
are of animal cap-derived tissue rather than whole embryos. F, bFGF-treated caps.