|
Figure 1. The 5′-flanking region of the Maf recognition element is important for transcriptional activity of L-Maf. (A) The sequences of the oligonucleotide probes used in this study. Substituted nucleotides are shown in lowercase letters. MARE is shown in bold capital letters. (B) EMSA using recombinant L-Maf. L-Maf (2.5 × 102 nM) was analyzed for its ability to bind to the oligonucleotide probes shown in (A). (C) The reporter construct is schematically represented at the top of the figure. Closed rectangles represent the six copies of cαA, its mutants (cαA-1-6), or palindromic MARE [cαA-1(Pal)], and the bold line represents the chicken β-actin minimal promoter. Neural retina cultures were transiently co-transfected with an L-maf expression plasmid and each reporter construct. Luciferase activities are represented, relative to that of the luciferase gene driven by the HSV tk promoter (tk-Luc). Average values and error bars represent duplicate assays of at least three individual experiments. |
|
Figure 2. The effect of the 5′-flanking region on Maf binding (A) Various amounts of L-Maf (0, 5.0 × 101, 1.3 × 102, 2.5 × 102, 3.8 × 102, 5.0 × 102 and 1.0 × 103 nM) were subjected to EMSA with cαA, cαA-1 and cαA-3 oligonucleotide probes. (B) The sequences of probes used in (C). The 5′-flanking region and MARE half-site are indicated in bold. Mutated sequences are indicated by lower case letters. The oligonucleotides are as shown and do not contain any additional sequences on either end. (C) Increasing amounts of L-Maf (0, 2.5 × 102, 5.0 × 102 and 1.0 × 103 nM) were subjected to EMSA with the oligonucleotide probes shown in (B). |
|
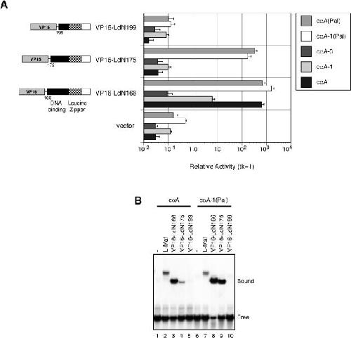
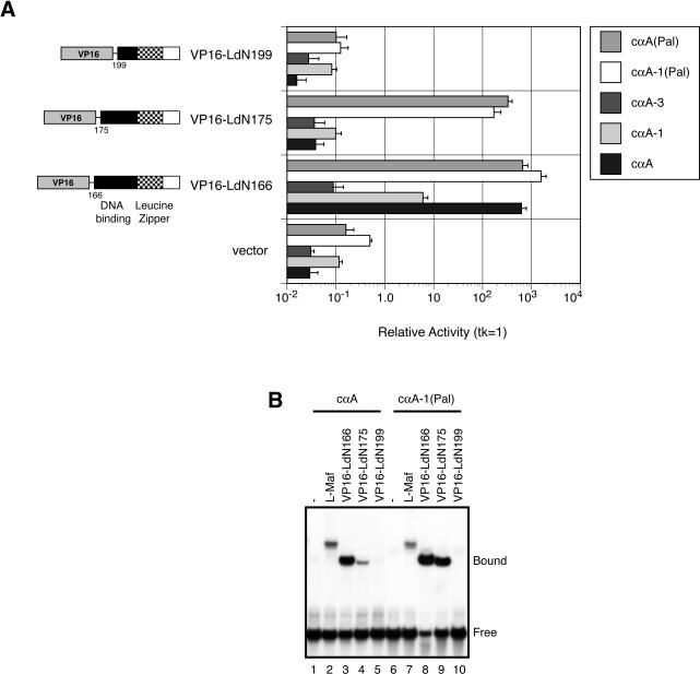
Figure 3. The N-terminus of the DNA-binding domain is responsible for the binding of L-Maf to the 5′-flanking sequence. (A) Effects of deletions of the DNA-binding domain of L-Maf on transcriptional activity. Structures of the VP16-L-Maf chimeric proteins are represented schematically in the left panel. Neural retina cultures were transiently co-transfected with each chimeric VP16-L-Maf expression plasmid and the reporter construct. Luciferase activities are shown, relative to that of the luciferase gene driven by the HSV tk promoter (tk-Luc). Average values and error bars represent duplicate assays of at least three individual experiments. (B) DNA-binding activities of the VP16-L-Maf chimeric proteins were analyzed by EMSA. All proteins were prepared in vitro using a reticulocyte lysate. |
|
Figure 4. Maf proteins recognize the 5′-flanking region to bind to the MARE half-site. (A) Sequence alignment of the Maf DNA-binding domains, including the L-Maf deletion mutants, used in this study. Secondary structure elements of MafG are shown on the top for reference (35). The DNA-binding domain of MafG consists of three alpha-helices (H1–H3). High homology in the DNA-binding region among Maf proteins suggests that they share similar structure with MafG. (B) DNA-binding activities of MafB, c-Maf and VP16-MafG. Each Maf protein was prepared in vitro using reticulocyte lysates and analyzed by EMSA using cαA, mutants or palindromic MARE oligonucleotides as probes. (C) MafB, c-Maf and VP16-MafG show high transcriptional activity through cαA depending on the 5′-flanking region. Each Maf expression plasmid was co-transfected into primary retina cultures with each reporter construct. Luciferase activities are represented, relative to that of the luciferase gene driven by the HSV tk promoter (tk-Luc). Average values and error bars represent duplicate assays of at least three individual experiments. |
|
Figure 5. The 5′-flanking region is important for Maf proteins to function in vivo. Transgenic embryos containing a GFP reporter gene were generated by REMI. (A) The structure of reporter and control genes used. (B) Transgenic embryos were confirmed by analysis of RFP signal driven by the CMV promoter. GFP driven by the cαA was expressed in lens (le), rhombomeres (r), neural crest (nc) and pronephros (p), where XmafB and XL-maf are expressed. GFP signals driven by cαA-1 and cαA-3 were not detected in transgenic embryos, although they expressed RFP. Number of embryos tested (RFP positive) and ratio of indicated phenotypes to RFP positive embryos are shown by percentage. (C) Magnification of the embryos described above. |
|
Figure 6. The MARE half-site flanked by AT-rich sequences in the 5′ region is a target sequence for Maf proteins. (A) The sequences selected by affinity for c-Maf (SAAB assay). Sequences of the MARE half-site are shown in bold capital letters, while the non-random sequences are shown in lowercase letters. (B) The table shows the number and percentage of frequencies for the 4 nt in the selected sequences shown in (A). (C) Comparison of the cαA sequences with the regulatory regions of several crystallin genes, Hoxa3, Hoxb3 and IL-4. The conserved MARE half-site is boxed, and consensus sequences are shown in bold capital letters. (D) The ratio of AT to GC in the 5′-flanking regions of MARE selected in vitro by SAAB assay and those observed in vivo. |
|
Figure 7. The 5′-AT-rich sequence increases the binding activity for palindromic MARE. (A) Increasing amounts of L-Maf (0, 5, 1.3 × 101, 2.5 × 101, 5 × 101 and 2.5 × 102 nM) were subjected to EMSA with the cαA, cαA(Pal), cαA-1(Pal) and cαA(PalAT) oligonucleotide probes. (B) Comparison of binding activities by competition analysis. Recombinant L-Maf was incubated with labeled 40-1 probe (0.75 nM) and indicated competitors (100×, 500× and 1000×). Lane 1 shows only 40-1 probe and lane 2 shows the complex of L-Maf and 40-1 probe. (C) Recombinant c-Maf and four different probes [cαA, cαA-1, cαA(Pal) and cαA-1(Pal)] were subjected to DNase I footprinting assay. Results of the assay are shown (lanes 1–8), along side sequencing ladders for reference (lanes 9–12). The sequence protected by c-Maf is shown to the right in bold. The palindromic MARE is boxed. The 5′-AT rich region and MARE half-site are shown to the left in rectangles. |
|
Figure 8. Maf binds to the 5′-AT-rich half-site of MARE as a dimer. (A) Schematic representation of mt-L-Maf carrying mutation in the leucine zipper region. (B) In vitro translated L-Maf and mt-L-Maf proteins were subjected to the EMSA with cαA and cαA-1(Pal) oligonucleotide probes. (C) Recombinant mt-L-Maf recognizes only the half-site MARE. L-Maf (2.5 × 102 nM) and mt-L-Maf (7.5 × 102 and 1.9 × 103 nM) were incubated with 40-1 and 40-2. Lanes 1 and 2 show complexes of recombinant L-Maf (2.5 × 102 nM) and 40-2 or 40-1, respectively. (D) The binding activities of recombinant mt-L-Maf. mt-L-Maf (7.5 × 102 and 1.9 × 102 nM) was incubated with the indicated probes. Lane 1 shows the complex of L-Maf (2.5 × 102 nM) and cαA. |
|
Figure 9. Proposed model for Maf protein binding to the 5′-AT rich MARE half-site Maf proteins have two types of target sequences, a palindrome-type (A) and half-site type (B). (A) Maf binds to the MARE palindrome as homodimer and there are specific interactions between each DNA-binding region and a half-site of MARE (TGCTGAC). (B) Our results show that Maf proteins can also bind as homodimers on MARE half-sites that contain an AT rich 5′ region. This region is critical for Maf protein binding and subsequent transcriptional activation. |