Click here to close
Hello! We notice that you are using Internet Explorer, which is not supported by Xenbase and may cause the site to display incorrectly.
We suggest using a current version of Chrome,
FireFox, or Safari.
Exp Eye Res
1997 Jan 01;641:73-84. doi: 10.1006/exer.1996.0183.
Show Gene links
Show Anatomy links
Evidence for beta 1-integrins on both apical and basal surfaces of Xenopus retinal pigment epithelium.
Chen W, Joos TO, Defoe DM.
???displayArticle.abstract???
The retinal pigment epithelium (RPE) is a transporting epithelium with polarized membrane domains. A unique characteristic of these cells is that their apical surface does not face a lumenal space, but is directly apposed to a layer of neurons (photoreceptors) and their associated extracellular matrix. Because the interaction occurring at this site is important for retinal attachment and particle phagocytosis, an attempt was made to identify epithelial molecules which potentially could mediate cell-cell or cell-matrix adhesion. In the present report, the subcellular localization of beta 1-integrins, the main receptors for extracellular matrix ligands, has been examined within Xenopus RPE. Several previously characterized antibodies were used in this analysis including: two rabbit polyclonal antibodies directed against purified chick musclefibronectin receptor (pAbs No. 3818 and No. 2999), and a monoclonal antibody specific for Xenopus beta 1-integrin subunit (mAb 8C8). In Western blots of whole epithelial cell extracts, each of the antibodies intensely labeled a 115 kDa band, consistent with beta 1-integrin reactivity. One of the reagents (pAb No. 3818) also weakly stained unidentified bands of 50 and 100 kDa. Pre-clearing experiments demonstrated that pAb No. 3818 and mAb 8C8 both recognize the same detergent-soluble integrin: when cell extracts were depleted of beta 1-integrin by immunoprecipitation with mAb 8C8, the 115 kDa antigen recognized by pAb No. 3818 was not observed. Consistent with their similar immunochemical reactivities, each of the antibodies produced equivalent immunocytochemical staining of many eyecup tissues, including extraocular skeletal muscle cells, scleral and choroidal fibroblasts and vascular endothelium of the choroid and neural retina. In the native RPE, and isolated sheets of epithelium, however, qualitative differences in labeling between these antibodies were evident. Analysis by confocal microscopy showed that, while all three antibodies stained the basal surface of the epithelium, pAb No. 3818 also strongly labeled the apical microvillar surface. As the adjacent photoreceptors did not cross-react with this antibody in control experiments, the apical RPE staining could not be accounted for as contamination with retinal tissues during isolation. Furthermore, when the apical cell surface was selectively biotinylated in situ, and biotinylated proteins precipitated by streptavidin-agarose, beta 1-integrin was detected by immunoblotting with both mAb 8C8 and pAb No. 3818. This domain-specific material, however, represented only a fraction of the whole cell surface integrin: substantially greater amounts of tagged molecules could be detected when isolated epithelial sheets were biotinylated, most likely representing the basal protein. Based on these results, it can be concluded that beta 1-integrin is present in both basal and apical RPE plasma membranes. Molecules present in the apical membrane may represent components of adhesion receptors responsible for retina-epithelium interactions.
???displayArticle.pubmedLink???
9093023 ???displayArticle.link???Exp Eye Res ???displayArticle.grants???[+]
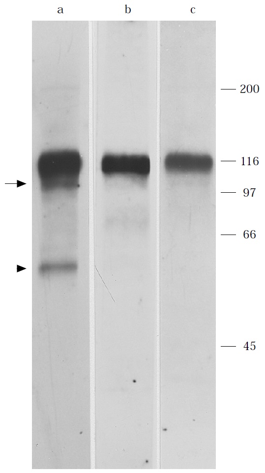
Fig. 1. Western blot analysis using pAb No. 3818 (a), pAb
No. 2999 (b) and mAb 8C8 (c). Note that all three antibodies
recognize a 115 kDa protein, whose apparent molecular
mass is consistent with its identity as the Xenopus b-
integrin subunit (Gawantka et al., 1992). The 100 and
50 kDa bands in (a) are indicated by an arrow and an
arrowhead, respectively. Control blots probed with unspeci®c
rabbit or mouse IgG were completely devoid of reaction
product (data not shown). Molecular weight standards (in
kDa) are indicated at right.
Fig. 2. Immunoprecipitation analysis using mAb 8C8 and
pAb No. 3818. RPE cell extracts were subjected to
immunoprecipitation using mAb 8C8 coupled to protein G
beads. Proteins from pellet and supernatant fractions, as well
as from the unfractionated extract, were then separated by
SDS-gel electrophoresis under non-reducing conditions and
immunoblotted with mAb 8C8 (a±c) or pAb No. 3818 (d±e).
After pre-absorption with mAb 8C8, there is little, if any,
115 kDa protein remaining in the supernatant which binds
mAb 8C8 (c) or pAb No. 3818 (f). Virtually all of the
reactivity with mAb 8C8 and pAb No. 3818 is present in the
pellet fractions (precipitated protein) (b and e, respectively).
The original cell extract probed with mAb 8C8 (a) or pAb
No. 3818 (d) is shown for comparison. Due to reduced
protein loading of gels (compare with Fig. 1), the 50 and
100 kDa bands were not evident in the blot labeled with pAb
No. 3818.
Fig. 3. Immuno¯uorescent labeling of RPE-choroid-sclera using pAb No. 3818. (A) Intense reaction is seen with extraocular
skeletal muscle (sk), scleral ®broblasts (arrows) and the pigmented choroidal layer (including ®broblasts and capillary
endothelial cells) (ch), while reaction with scleral cartilage (ca) is relatively weak. Labeling of the pigment epithelium (between
arrowheads) is particularly evident on its apical (free) surface. (B) Phase contrast image of (A). (C) Control showing lack of
immunoreaction when the primary antibody is omitted. The small amount of ¯uorescence seen is due to auto¯uorescence of
red blood cells in choroidal capillaries. (D) Phase contrast image of (C). ¬271.
Fig. 4. Comparison of RPE immunolabeling using the
three anti-b"-integrin antibodies. Confocal optical sections
were obtained in a plane parallel to the surface of
immunostained transverse frozen sections of neural retinafree
eyecups. Specimens reacted with pAb No. 3818 (A)
display strong staining of the apical RPE surface (arrows)
(site of apical microvillar fringe) and a somewhat weaker
labeling of the basal epithelial surface (arrowheads). Polyclonal
antibody No. 2999 (B) and mAb 8C8 (C), on the other
hand, label the apical RPE membrane weakly, if at all
(arrows), while the basal cell surface is intensely stained
(arrowheads). This single line of epithelial staining can be
resolved from the labeling of capillary endothelial tubes
(small arrows), with the intervening dark area representing
Bruch's membrane. ¬470.
Fig. 5. Immuno¯uorescence labeling of isolated albino pigment epithelial sheets. (A) Section labeled with pAb No. 3818.
Staining is seen at both the apical microvillar surface (double arrowheads) and at the basal surface (single arrowheads).
Although the basal labeling is weaker, it is still discernible above background. Note that, following release from the eyecup by
protease treatment, the epithelial sheet as a whole contracts, causing the cells to change in shape from cuboidal to low
columnar. (B) Control showing lack of immunoreaction when the primary antibody is omitted. (C) Section labeled with mAb
8C8. Staining (above background) is seen exclusively at the basal cell surface (single arrowheads). In many regions the
normally ¯at basal surface has rounded up, producing a U-shaped labeling pattern. (D) Control showing lack of immunoreaction
when NS-1 supernatant is used in place of primary antibody. ¬408.
Fig. 6. Section of an isolated neural retina labeled with
pAb No. 3818. (A) There is essentially no staining of the
surfaces of photoreceptor outer segments (arrows), or with
insoluble components of the interphotoreceptor matrix.
Note, however, that positive reaction is present on retinal
blood vessels at the inner (vitreal) surface of the retina
(arrowheads). Weak ¯uorescence in photoreceptor inner
segments (small arrowheads) is due to auto¯uorescence of
mitochondria. (B) Phase contrast image of (A). ¬209.
Fig. 7. Localization of b"-integrins by surface biotinylation. In (A), the portion of RPE facing the neural retina was exposed
to biotin-X-NHS (see materials and methods). Eyecup sections were then stained with streptavidin-lissamine rhodamine. Note
that apical epithelial surfaces (arrows) are brightly ¯uorescent, while the basal cell surface (arrowheads) is unstained. No
labeling was observed in control (non-biotinylated) eyecups processed in a similar way (data not shown). (note: dome-shaped
apical surface is due to epithelial contraction subsequent to retinal detachment (Anderson et al., 1983). ¬441. (B)
Identi®cation of b"-integrin in biotinylated fractions of RPE extracts. The epithelium was labeled on its apical (lanes a and c),
or apical and basal surfaces (lanes b and d) with biotin-X-NHS. Biotinylated proteins were then precipitated from whole-cell
extracts using streptavidin-agarose and Western blots probed with either mAb 8C8 (lanes a and b) or pAb No. 3818 (lanes c
and d). Under both surface labeling conditions, a signal is obtained at the expected position of the mature b" chain, regardless
of the antibody used. However, the signal from apically-tagged specimens is weaker than that seen when both apical and basal
surfaces are biotinylated. The position and size (in kDa) of the marker protein (M) is indicated.