XB-ART-17050
J Cell Biol
1997 Jan 13;1361:125-35.
Show Gene links
Show Anatomy links
Cell cycle regulation of the replication licensing system: involvement of a Cdk-dependent inhibitor.
Mahbubani HM, Chong JP, Chevalier S, Thömmes P, Blow JJ.
???displayArticle.abstract???
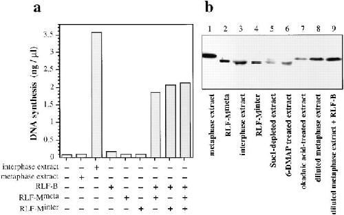
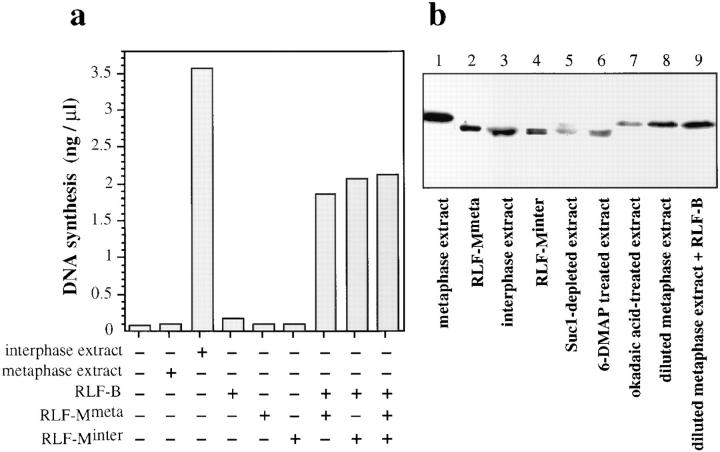
The replication licensing factor (RLF) is an essential initiation factor that is involved in preventing re-replication of chromosomal DNA in a single cell cycle. In Xenopus egg extracts, it can be separated into two components: RLF-M, a complex of MCM/P1 polypeptides, and RLF-B, which is currently unpurified. In this paper we investigate variations in RLF activity throughout the cell cycle. Total RLF activity is low in metaphase, due to a lack of RLF-B activity and the presence of an RLF inhibitor. RLF-B is rapidly activated on exit from metaphase, and then declines during interphase. The RLF inhibitor present in metaphase extracts is dependent on the activity of cyclin-dependent kinases (Cdks). Affinity depletion of Cdks from metaphase extracts removed the RLF inhibitor, while Cdc2/cyclin B directly inhibited RLF activity. In metaphase extracts treated with the protein kinase inhibitor 6-dimethylaminopurine (6-DMAP), both cyclin B and the RLF inhibitor were stabilized although the extracts morphologically entered interphase. These results are consistent with studies in other organisms that invoke a key role for Cdks in preventing re-replication of DNA in a single cell cycle.
???displayArticle.pubmedLink??? 9008708
???displayArticle.pmcLink??? PMC2132454
Species referenced: Xenopus
Genes referenced: cdkn1a mmut rlf
???attribute.lit??? ???displayArticles.show???
References [+] :
Blow,
Replication of purified DNA in Xenopus egg extract is dependent on nuclear assembly.
1990, Pubmed,
Xenbase
Blow, Replication of purified DNA in Xenopus egg extract is dependent on nuclear assembly. 1990, Pubmed , Xenbase
Blow, Nuclei act as independent and integrated units of replication in a Xenopus cell-free DNA replication system. 1987, Pubmed , Xenbase
Blow, Initiation of DNA replication in nuclei and purified DNA by a cell-free extract of Xenopus eggs. 1986, Pubmed , Xenbase
Blow, A cdc2-like protein is involved in the initiation of DNA replication in Xenopus egg extracts. 1990, Pubmed , Xenbase
Blow, A role for the nuclear envelope in controlling DNA replication within the cell cycle. 1988, Pubmed , Xenbase
Blow, Preventing re-replication of DNA in a single cell cycle: evidence for a replication licensing factor. 1993, Pubmed , Xenbase
Broek, Involvement of p34cdc2 in establishing the dependency of S phase on mitosis. 1991, Pubmed
Burkhart, Interactions of human nuclear proteins P1Mcm3 and P1Cdc46. 1995, Pubmed
Chevalier, Xenopus cyclin E, a nuclear phosphoprotein, accumulates when oocytes gain the ability to initiate DNA replication. 1996, Pubmed , Xenbase
Chong, Characterization of the Xenopus replication licensing system. 1997, Pubmed , Xenbase
Chong, The role of MCM/P1 proteins in the licensing of DNA replication. 1996, Pubmed
Chong, Purification of an MCM-containing complex as a component of the DNA replication licensing system. 1995, Pubmed , Xenbase
Coué, Chromatin binding, nuclear localization and phosphorylation of Xenopus cdc21 are cell-cycle dependent and associated with the control of initiation of DNA replication. 1996, Pubmed , Xenbase
Coverley, Reversible effects of nuclear membrane permeabilization on DNA replication: evidence for a positive licensing factor. 1993, Pubmed , Xenbase
Coverley, A protein kinase-dependent block to reinitiation of DNA replication in G2 phase in mammalian cells. 1996, Pubmed , Xenbase
Crevel, DNA replication in cell-free extracts from Drosophila melanogaster. 1991, Pubmed , Xenbase
Dahmann, S-phase-promoting cyclin-dependent kinases prevent re-replication by inhibiting the transition of replication origins to a pre-replicative state. 1995, Pubmed
Dalton, Cell cycle-regulated nuclear import and export of Cdc47, a protein essential for initiation of DNA replication in budding yeast. 1995, Pubmed
Diffley, Two steps in the assembly of complexes at yeast replication origins in vivo. 1994, Pubmed , Xenbase
Dunphy, The Xenopus cdc2 protein is a component of MPF, a cytoplasmic regulator of mitosis. 1988, Pubmed , Xenbase
Felix, A post-ribosomal supernatant from activated Xenopus eggs that displays post-translationally regulated oscillation of its cdc2+ mitotic kinase activity. 1989, Pubmed , Xenbase
Gautier, Purified maturation-promoting factor contains the product of a Xenopus homolog of the fission yeast cell cycle control gene cdc2+. 1988, Pubmed , Xenbase
Gautier, Cyclin is a component of maturation-promoting factor from Xenopus. 1990, Pubmed , Xenbase
Hayles, Temporal order of S phase and mitosis in fission yeast is determined by the state of the p34cdc2-mitotic B cyclin complex. 1994, Pubmed
Hennessy, Subcellular localization of yeast CDC46 varies with the cell cycle. 1990, Pubmed
Hyrien, Chromosomal replication initiates and terminates at random sequences but at regular intervals in the ribosomal DNA of Xenopus early embryos. 1993, Pubmed , Xenbase
Jackson, Early events in DNA replication require cyclin E and are blocked by p21CIP1. 1995, Pubmed , Xenbase
Kearsey, The role of MCM proteins in the cell cycle control of genome duplication. 1996, Pubmed , Xenbase
Kimura, DNA polymerase alpha associated protein P1, a murine homolog of yeast MCM3, changes its intranuclear distribution during the DNA synthetic period. 1994, Pubmed
Kubota, Identification of the yeast MCM3-related protein as a component of Xenopus DNA replication licensing factor. 1995, Pubmed , Xenbase
Kubota, Determination of initiation of DNA replication before and after nuclear formation in Xenopus egg cell free extracts. 1993, Pubmed , Xenbase
Labbe, Purification of MPF from starfish: identification as the H1 histone kinase p34cdc2 and a possible mechanism for its periodic activation. 1989, Pubmed , Xenbase
Labbé, MPF from starfish oocytes at first meiotic metaphase is a heterodimer containing one molecule of cdc2 and one molecule of cyclin B. 1989, Pubmed
Lei, Physical interactions among Mcm proteins and effects of Mcm dosage on DNA replication in Saccharomyces cerevisiae. 1996, Pubmed
Leno, The nuclear membrane prevents replication of human G2 nuclei but not G1 nuclei in Xenopus egg extract. 1992, Pubmed , Xenbase
Lohka, Effects of Ca2+ ions on the formation of metaphase chromosomes and sperm pronuclei in cell-free preparations from unactivated Rana pipiens eggs. 1984, Pubmed , Xenbase
Luca, Both cyclin A delta 60 and B delta 97 are stable and arrest cells in M-phase, but only cyclin B delta 97 turns on cyclin destruction. 1991, Pubmed , Xenbase
Luca, Control of programmed cyclin destruction in a cell-free system. 1989, Pubmed
Madine, MCM3 complex required for cell cycle regulation of DNA replication in vertebrate cells. 1995, Pubmed , Xenbase
Madine, The nuclear envelope prevents reinitiation of replication by regulating the binding of MCM3 to chromatin in Xenopus egg extracts. 1995, Pubmed , Xenbase
Mahbubani, DNA replication initiates at multiple sites on plasmid DNA in Xenopus egg extracts. 1992, Pubmed , Xenbase
Maine, Mutants of S. cerevisiae defective in the maintenance of minichromosomes. 1984, Pubmed
Maiti, The mcm2 mutation of yeast affects replication, rather than segregation or amplification of the two micron plasmid. 1992, Pubmed
Moreno, Regulation of progression through the G1 phase of the cell cycle by the rum1+ gene. 1994, Pubmed
Newport, Nuclear reconstitution in vitro: stages of assembly around protein-free DNA. 1987, Pubmed , Xenbase
Nigg, Cyclin-dependent protein kinases: key regulators of the eukaryotic cell cycle. 1995, Pubmed
Piatti, Activation of S-phase-promoting CDKs in late G1 defines a "point of no return" after which Cdc6 synthesis cannot promote DNA replication in yeast. 1996, Pubmed
Rempel, Maternal Xenopus Cdk2-cyclin E complexes function during meiotic and early embryonic cell cycles that lack a G1 phase. 1995, Pubmed , Xenbase
Rowles, Interaction between the origin recognition complex and the replication licensing system in Xenopus. 1996, Pubmed , Xenbase
Roy, Activation of p34cdc2 kinase by cyclin A. 1991, Pubmed , Xenbase
Sheehan, Steps in the assembly of replication-competent nuclei in a cell-free system from Xenopus eggs. 1988, Pubmed , Xenbase
Strausfeld, Both cyclin A and cyclin E have S-phase promoting (SPF) activity in Xenopus egg extracts. 1996, Pubmed , Xenbase
Strausfeld, Cip1 blocks the initiation of DNA replication in Xenopus extracts by inhibition of cyclin-dependent kinases. 1994, Pubmed , Xenbase
Todorov, A human nuclear protein with sequence homology to a family of early S phase proteins is required for entry into S phase and for cell division. 1994, Pubmed
Todorov, BM28, a human member of the MCM2-3-5 family, is displaced from chromatin during DNA replication. 1995, Pubmed
Treisman, Cell proliferation and DNA replication defects in a Drosophila MCM2 mutant. 1995, Pubmed
Usui, Uncoupled cell cycle without mitosis induced by a protein kinase inhibitor, K-252a. 1991, Pubmed
Veselý, Inhibition of cyclin-dependent kinases by purine analogues. 1994, Pubmed , Xenbase
Yan, Cell cycle-regulated nuclear localization of MCM2 and MCM3, which are required for the initiation of DNA synthesis at chromosomal replication origins in yeast. 1993, Pubmed
Yan, An analysis of the regulation of DNA synthesis by cdk2, Cip1, and licensing factor. 1995, Pubmed , Xenbase
Zhang, Activation of Xenopus laevis eggs in the absence of intracellular Ca activity by the protein phosphorylation inhibitor, 6-dimethylaminopurine (6-DMAP). 1992, Pubmed , Xenbase
