|
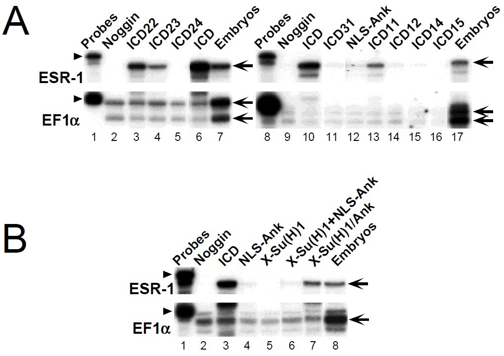
Fig. 1. (A) Deletion analysis of ICD. Diagram of the X-Notch-1
intracellular domain (ICD) and of the deletions used for mapping
ESR-1 induction. NLS-Ank contains the SV40 NLS at the Nterminus
(Rupp et al., 1994). The amino acid residues (Coffman et
al., 1990) encompassed by each truncation are indicated. The right
column summarizes the data from RNase protection assays, such as
those shown in Fig. 3, that measure the ability of each construct to
induce ESR-1 expression in neuralized animal caps (+++, 100%; ++,
20-40%; +, 10-20%; +/-, 1-5%; or -, not detectable). RAM23
(Tamura et al., 1995) is the subtransmembrane region. Addition of
the SV40 NLS (Rupp et al., 1994) to the N terminus of ICD22, 23,
24, and 25 did not alter ESR-1 induction. (B) Different forms of XSu(
H)1. Schematic representation of wild-type X-Su(H)1, a form in
which the ankyrin repeats from Notch are fused to the carboxy
terminus (X-Su(H)1/Ank), a form in which four residues required for
DNA binding, between amino acids 193-203, are altered (XSu(
H)1DBM), a truncated form in which the carboxy terminal 117
amino acids are deleted X-Su(H)1-Tr, and a form of X-Su(H)1/Ank
fused to the hormone binding domain of the human glucocorticoid
receptor (hGR). |
|
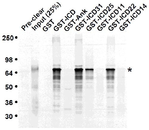
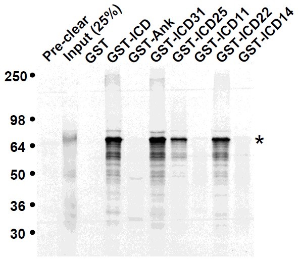
Fig. 2. Regions of the X-Notch-1 intracellular domain required for
X-Su(H)1 binding. Lane labels indicate the GST fusion protein (see
Fig. 1A) used to precipitate in vitro-translated [35S]Met-labeled XSu(
H)1. The asterisk marks full-length in vitro-translated X-Su(H)1.
The lane labeled âPre-clearâ (see Methods) shows that GST binds no
X-Su(H)1. The âInputâ lane contains 25% of the [35S]Met-labeled XSu(
H)1 used in each binding reaction. Approximate migration of
protein markers is indicated. Longer exposure of the gel shows weak
binding of X-Su(H)1 to GST-Ank, GST-ICD11, and GST-ICD14,
while GST alone still shows no binding. |
|
Fig. 3. Induction of ESR-1 in neuralized animal
caps by ICD and by different forms of XSu(
H)1. Test RNAs (1.0 ng/embryo) along with
Noggin RNA (0.3 ng/embryo) were injected
into two-cell stage embryos. Ectoderm was
excised from blastula embryos (stage 10),
cultured for approximately 6 hours (equivalent
to the neural plate stage), and then assayed by
RNase protection assay for expression of ESR-1
RNA and EF-1a RNA (loading control). Each
assay includes the probes without RNase
treatment (Probes), animals caps injected with
just Noggin RNA (Noggin) and stage-matched
embryo RNA (Embryos). Position of probe
fragments are marked with an arrowhead, while
those of protected fragments are marked with
arrows. (A) ESR-1 RNA levels in neuralized
animal caps expressing different regions of ICD
as shown in Fig. 1A. Note that those lacking
any portion of the ankyrin repeats fail to or
barely induce detectable ESR-1 expression
(lanes 5, 11, 14, 15, and 16). Removing the
RAM23 region (ICD11, lane 13) markedly
reduces the induction of ESR-1 expression
relative to ICD (lane 10). Deletion of sequences downstream of the ankyrin repeats (compare lane 4 to 3) also reduces the induction of ESR-1
expression. (B) ESR-1 RNA levels in neuralized animal caps expressing X-Su(H)1 and X-Su(H)1/Ank (see Fig. 1B). Note that X-Su(H)1 has
undetectable ESR-1-inducing activity (lane 5) and the ankyrin repeats from ICD (NLS-Ank) have very little inducing activity (lane 4), while XSu(
H)1/Ank (lane 7) induces ESR-1 expression to levels found in embryos (lane 8). |
|
Fig. 4. Inducible forms of X-Su(H)1/Ank and ICD. hGR/ICD22 or
hGR/X-Su(H)1/Ank RNA (1.0 ng/embryo) were injected along
with Noggin RNA (0.3 ng/embryo) into two-cell stage embryos and
the induction of ESR-1 expression was measured in animal cap
assays as described in Fig. 3. (A) Neuralized animal caps
expressing the indicated constructs were either left untreated (-) or
exposed (+) to dexamethasone (DEX) for 3 hours. Note that ESR-1
expression increases following dexamethasone induction. Both
forms also induced ESR-1 expression in the absence of
dexamethasone, probably as a result of expressing them at levels
high enough to overwhelm mechanisms for cytoplasmic retention.
(B) Neuralized animal caps expressing the indicated constructs
were either left untreated (0) or exposed to dexamethasone for three
(3), two (2), or one (1) hour before harvesting. As a control,
neuralized animal caps were treated for 3 hours with
dexamethasone (Noggin+DEX). (C) Animal caps from embryos
injected with hGR/ICD22 RNA were (+) or were not (-) neuralized
(Noggin) and had (+) or had not (-) been treated with either
cycloheximide (CHX) and/or dexamethasone (DEX), as indicated.
This experiment was carried out both in the presence and absence
of Noggin, because we knew that ESR-1 expression can be induced
to higher levels in neuralized versus nonneuralized animal caps,
and we were concerned that the ability of noggin to neuralize
animal caps would be blocked by cycloheximide. Consistent with
this notion, the induction of ESR-1 in neuralized animal caps
appeared to be affected to a small degree by the addition of
cycloheximide (lane 9 versus 7), while no such effect was observed
in nonneuralized caps (lane 5 versus 3). ESR-1 RNA expression
levels in lanes 2-9 after normalizing to EF-1a are: 59, 174, 24, 96,
73, 180, 89, and 300. |
|
Fig. 5. ESR-1 expression is blocked by X-Su(H)1DBM. Test RNAs
(1.0 ng/embryo), as indicated above each lane, along with Noggin
RNA (0.3 ng/embryo) were injected into two-cell stage embryos, and
the induction of ESR-1 expression was measured in animal cap
assays as described in Fig. 3. (A) Expression of X-Delta-1 in
neuralized animal caps induces the expression of ESR-1 (compare
lanes 2 and 6). This induction is reduced by the inclusion of XSu(
H)1DBM (DBM) or X-Su(H)1 but not by X-Su(H)1-Tr, a carboxyterminally
truncated form of X-Su(H)1 (see Fig. 1B). Quantitation of
the ESR-1 signal in lanes 3-6 is: 91, 24, 24, and 60, respectively.
(B) Compilation of inhibition of X-Delta-1-mediated ESR-1
induction by X-Su(H)1 and X-Su(H)1DBM (DBM). The number of
data points is indicated (n=) and error bars indicate the true
population standard deviation. |
|
Fig. 6. The effects of X-Su(H)1, X-Su(H)1/Ank and X-Su(H)1DBM on primary neurogenesis. Albino Xenopus embryos were injected once at the two-cell stage with test RNAs (1.0 ng/embryo) along with lacZ RNA (0.2 ng/embryo). At neural plate stages, the embryos were processed both for b-galactosidase expression (light blue) to mark the injected side, and for the expression of N-tubulin (dark purple) to mark
the formation of primary neurons. Primary neurons arise in three stripes on either side of the midline of the neural plate: a long medial stripe, a short more anterior intermediate stripe, and a wide lateral stripe. Shown are dorsal views, with anterior to the left and the injected side oriented up in each panel. Embryos shown in each row are from the same experiment. Expression of: (A) wild-type X-Su(H)1 has little or no
effect on the formation of primary neurons; (B) X-Su(H)1/Ank abolishes primary neurons; (C,F) X-Su(H)1DBM produces a neurogenic phenotype; (D) X-Su(H)1 along with X-Su(H)1DBM ameliorates the neurogenic phenotype; (E) X-Su(H)1/Ank along with X-Su(H)1DBM completely reverses the neurogenic phenotype; (G)X-Delta-1 reduces the number of primary neurons; (H) X-Su(H)1 along with X-Delta-1 partially
reverses the effects of X-Delta-1; and (I) X-Su(H)1DBM along with X-Delta-1 not only reverses the effects of X-Delta-1 but also results in a neurogenic phenotype. |
|
Fig. 7. Forms of X-Su(H)1 affect the pattern of
expression of X-Delta-1 and XNGNR1. The effects
of test RNAs on the formation of primary neurons
was assayed as described in Fig. 6. Embryos were
injected with lacZ alone (A,D), X-Su(H)1 (B,E), or
X-Su(H)1DBM (C,F) and analyzed for the expression
of X-Delta-1 (A-C) or XNGNR1 (D-F). Note that the
X-Su(H)1DBM increases the expression of both
XNGNR1 and X-Delta-1. |
|
rbpj (recombination signal binding protein for immunoglobulin kappa J region) gene expression in Xenopus laevis embryo, assayed via in situ hybridization, NF stage 15/16, dorsal view, anterior left. |