Click here to close
Hello! We notice that you are using Internet Explorer, which is not supported by Xenbase and may cause the site to display incorrectly.
We suggest using a current version of Chrome,
FireFox, or Safari.
Dev Growth Differ
1997 Feb 01;391:43-51. doi: 10.1046/j.1440-169x.1997.00006.x.
Show Gene links
Show Anatomy links
XBMP-1B (Xtld), a Xenopus homolog of dorso-ventral polarity gene in Drosophila, modifies tissue phenotypes of ventral explants.
Lin JJ, Maeda R, Ong RC, Kim J, Lee LM, Kung H, Maéno M.
???displayArticle.abstract???
Previously we have isolated a Xenopus cDNA homolog of bone morphogenetic protein-1 (XBMP-1A). In the present report we describe a new cDNA clone called XBMP-1B (or Xtld) from a Xenopus embryonic library. Sequence analysis indicates that these two clones share an indentical N-terminal sequence, including a region of metalloprotease domain, three copies of a repeat first found in complement proteins C1r/s and an epidermal growth factor (EGF)-like sequence. XBMP-1B protein has an additional copy of an EGF-like sequence followed by two copies of complement 1 r/s repeat in the C-terminus. The overall protein structure predicted from the XBMP-1B sequence reveals that it encodes a protein homologous to Drosophila tolloid. Three XBMP-1 transcripts (2.9, 5.2 and 6.6 kb) were detected by northern blot analysis. However, the 2.9 kb transcript hybridized specifically with XBMP-1A and the 5.2 and 6.6 kb transcripts hybridized with XBMP-1B. In Drosophila, a major function of tolloid is to augment the activity of the decapentaplegic gene product, a close relative of tumor growth factor (TGF)-beta superfamily members, BMP-2/4. Although XBMP-1 and XBMP-4 are detected in various adult tissues of Xenopus, the expression pattern of these two genes was not tightly correlated. In the embryo, the expression of XBMP-1 increased gradually from the morula to the swimming tadpole stages. Injection of XBMP-1B RNA into the ventral blastomeres at the 4-cell stage caused an elongation of the ventral marginal zone explants and converted globin-positive blood cells to mesenchymal and muscle tissues at later stages. It was shown that XBMP-1A was less active and a 1A mutant lacking the signal sequence was inactive. Further studies revealed that injection of XBMP-1B RNA into the ventral marginal zone induced up-regulation of dorsal marginal zone markers, such as goosecoid and chordin, at the gastrulation stage. These data indicate that XBMP-1 may have a role in determining dorso-ventral patterning in Xenopus, but in a different way from the dpp/tolloid system demonstrated in Drosophila.
Fig. 1. Structures of eDNA of xaMP-1 A (22AN) and xaMP-1 a (Xtld). (a) The putative domain structures of two eDNA including
proregion (P). metalloprotease domain (M). complement 1 r/s-like domains (81-85). and EGF-Iike domain (E). Probes A and 8
show the regions used as probes for the Northern blot analysis (see Fig. 2). The amino acid identities (%) in each region of
XaMP-1 a with xaMP-1 A (Maeno et a/. 1993), Dtld (Drosophila tolloid; Shimell et a!. 1991 ). mtld (murine to/laid; Fukagawa et a/.
1994; Takahara eta!. 1994) and htld (human tolloid; Takahara eta/. 1994) are indicated below. M domain and 83 domain are highly
conserved (more than 90% identity) among vertebrata to/laid homologs. (b) An alignment of amino acid sequences among
vertebrata aMP-1 s (tlds) and Drosophila tid. The asterisks indicate identical amino acids.
Fig. 2. Northern blot analysis of XBMP-1 A and XBMP-1 B.
Two IJg poly( A)+ RNA isolated from stage 1 0 + embryos were
loaded, transferred, and hybridized with a common sequence
probe (probe A, see Figure 1) or with 1 B specific sequence
probe (probe B, see Figure 1 ). Note that 6.6 kb and 5.2 kb
bands are appeared with both probes, whereas 2.9 kb band is
detected only with probe A.
Fig. 3. Expression of XBMP-1 and XBMP-4 mRNA in various
adult tissues. Total RNA (1 0 iJg) from various adult tissues
except limb were loaded, transferred, and hybridized with
whole insert of XBMP-1 A as a probe. Limb RNA was isolated
from stage 56-58 hind limb. Filter was dehybridized and
subsequently rehybridized with XBMP-4 and EF1 a probes.
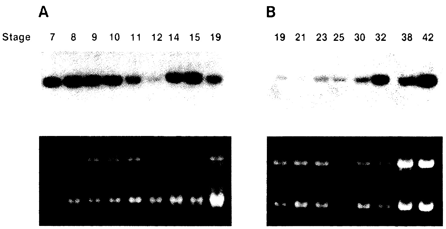
Fig. 4. Expression of X8MP-1 mRNA in staged embryos from stage 7 (morulae) to stage 40 (swimming tadpole). 0.5 IJg total RNA
was reverse-transcribed, and the 8MP-1 specific sequence (238 bp) was amplified as described in Materials and Methods. The
equal amount of RNA was used for the RT -PCR as shown in ethydium bromide staining. The results from two independent
experiments are shown in A (stages 7 -19) and B (stages 19-42). Maternal expression of X8MP-1 RNA was detected as early as
stage 7, once down-regulated around stages 12 and 13, and gradually accumulated in the course of development until stage 40.
Fig. 5. Forced expression of X8MP-1 8 (X tid) induced an
elongation of ventral marginal zone (VMZ) explants. In vitro
transcribed capped RNA of X8MP-1 8, X8MP-1 A, X8MP-1 AI1N
were injected into ventral two blastomeres at the 4-cell stage
(5 ng/embryo). Ventral marginal zone was explanted and
subsequently cultured for 1 8 h.
Fig. 6. Morphological and histological
views of 1 -day old ventral
marginal zone (VMZ) explants
injected with XaMP-1 a RNA. The
two ventral blastomeres were
injected with 5 ng xaMP-1 A (b,f),
5 ng xaMP-1 a (c,g) or 1 ng
dTFR11 (d,h) RNA, and VMZ
tissue was explanted at gastrula
stage for subsequent culture. The
VMZ control explants without
RNA injection were shown in (a)
and (e). Note that xaMP-a and
dTFR11 RNA induced an elongation
of VMZ explants during gastrulation
stage. Bars in 0 and H
represent 500 ~m and 100 ~m.
respectively.
Fig. 7. Whole mount immunostaining
with a larval globin antibody
(a,b) and histological views
(c,d) of 2-day old ventral marginal
zone (VMZ) explants injected with
XBMP-1 B RNA. The two ventral
blastomeres were injected with
5 ng XBMP-1 B RNA (b,d), and
VMZ tissue was explanted at
gastrula for subsequent culture.
The VMZ control explants without
RNA injection were shown in (a)
and (c). A number of globinpositive
cells were detected in
control VMZ explants [stained by
brown color in (a) and indicated
by arrowheads in (c)], but these
cells were rarely observed in
XBMP-1 B RNA-injected VMZ explants
(b,d). Mesenchymal cells
were mainly differentiated in injected
explants. Bars in (a) and
(c) represent 500 jljm and
1 00 !Jm, respectively.
Fig. 8. Expression of dorsal markers in ventral marginal zone
(VMZ) in gastrula embryos injected with XBMP-1 B or~ TFR11
RNA. The ventral blastomeres at the 4-cell stage were injected
with XBMP-1 B RNA (5 ng/embryo) or~ TFR11 (5 ng/embryo),
and embryos were cultured until gastrula stage (stage 10 + ).
Total RNA was extracted from VMZ, and RT-PCR was performed
to detect goosecoid (gsc), chordin (chd) and EFt a.
Total RNA was also extracted from DMZ of uninjected stage
1 0 + embryo as a control experiment. XBMP-1 B RNA induced
significant increase of goosecoid and chordin, as also seen in
injection of ~ TFR11 RNA, which has. been shown to induce
dorsal structures in VMZ explant (Maeno eta/. 1994b).