XB-ART-16769
J Cell Biol
1997 Mar 10;1365:1123-36. doi: 10.1083/jcb.136.5.1123.
Show Gene links
Show Anatomy links
Establishment of the dorso-ventral axis in Xenopus embryos is presaged by early asymmetries in beta-catenin that are modulated by the Wnt signaling pathway.
???displayArticle.abstract???
Eggs of Xenopus laevis undergo a postfertilization cortical rotation that specifies the position of the dorso-ventral axis and activates a transplantable dorsal-determining activity in dorsal blastomeres by the 32-cell stage. There have heretofore been no reported dorso-ventral asymmetries in endogenous signaling proteins that may be involved in this dorsal-determining activity during early cleavage stages. We focused on beta-catenin as a candidate for an asymmetrically localized dorsal-determining factor since it is both necessary and sufficient for dorsal axis formation. We report that beta-catenin displays greater cytoplasmic accumulation on the future dorsal side of the Xenopus embryo by the two-cell stage. This asymmetry persists and increases through early cleavage stages, with beta-catenin accumulating in dorsal but not ventral nuclei by the 16- to 32-cell stages. We then investigated which potential signaling factors and pathways are capable of modulating the steady-state levels of endogenous beta-catenin. Steady-state levels and nuclear accumulation of beta-catenin increased in response to ectopic Xenopus Wnt-8 (Xwnt-8) and to the inhibition of glycogen synthase kinase-3, whereas neither Xwnt-5A, BVg1, nor noggin increased beta-catenin levels before the mid-blastula stage. As greater levels and nuclear accumulation of beta-catenin on the future dorsal side of the embryo correlate with the induction of specific dorsal genes, our data suggest that early asymmetries in beta-catenin presage and may specify dorso-ventral differences in gene expression and cell fate. Our data further support the hypothesis that these dorso-ventral differences in beta-catenin arise in response to the postfertilization activation of a signaling pathway that involves Xenopus glycogen synthase kinase-3.
???displayArticle.pubmedLink??? 9060476
???displayArticle.pmcLink??? PMC2132470
???displayArticle.link??? J Cell Biol
???displayArticle.grants??? [+]
GM07270 NIGMS NIH HHS , HD 29360 NICHD NIH HHS , HD27525 NICHD NIH HHS , T32 GM007270 NIGMS NIH HHS , R01 HD027262 NICHD NIH HHS , R01 HD027525 NICHD NIH HHS
Species referenced: Xenopus laevis
Genes referenced: ctnnb1 epb41 gdf1 krt12.4 myc nog prl sptan1 wnt11
???attribute.lit??? ???displayArticles.show???
|
|
Figure 2. Spatial and temporal distribution of β-catenin (catenin beta 1) during early development of the Xenopus embryo. Embryos were bisected along the dorso-ventral axis after immunolabeling so that each half contained dorsal and ventral blastomeres. Each half was imaged from the bisected surface in the confocal microscope. Embryos are oriented with dorsal on the right, ventral on the left, animal hemisphere at the top, and vegetal hemisphere at the bottom, in AâF. Immunocytochemistry reveals an increase in cytoplasmic β-catenin (orange) on the dorsal side of the embryo from the two-cell (A), to four-cell (B), to eight-cell (C) stages. At the 16-cell stage, intense β-catenin is observed in the cytoplasm (D, arrow denotes nucleus) as well as in the nucleus (G, arrow) of the dorsal vegetal blastomeres. At the 32-cell stage, β-catenin is enriched in the cytoplasm (E, arrows denote nuclei) and nuclei (I, arrow) of all dorsal blastomeres, while ventral blastomeres have lower cytoplasmic staining (E) but neglible nuclear staining (H, arrow). Overall, 93% of the embryos analyzed (n = 120) from the 2â32-cell stages displayed this dorsal enrichment of β-catenin. At the blastula stage, β-catenin is detected in the cytoplasm of both dorsal and ventral cells (F), as well as in ventral (J) and dorsal (L) nuclei, though the dorsal signal was stronger in both cellular compartments. Primarily the outer layers of blastomeres demonstrate intense cytoplasmic β-catenin staining, even when blastula were bisected before immunolabeling to assure access of the antibodies to the inner blastomeres. Specific β-catenin staining is detectable in these inner vegetal blastomeres (K) when fluorescence sensitivity is increased to the point where the dorsal signal becomes saturated. |
|
|
Figure 3. Immunolocalization of proteins unrelated to β-catenin. To assess whether the patterns of β-catenin observed in the eight-cell embryo (Fig. 1) were unique or were shared by other proteins, we undertook a comparable analysis of eight-cell embryos stained with other antibodies, optically sectioned near the equator, and viewed at low magnification to monitor dorsoventral patterns (AâC) or viewed at the membrane at high magnification (DâF). Dorsal is to the right for A, B, and C as in Fig. 1. While eight-cell embryos show a clear dorsal enrichment of β-catenin (Fig. 1, A and B), membrane skeleton protein 4.1 (A), α-spectrin (B), and cytokeratin (C) antibodies show no dorsal enrichment. The α-spectrin image in B is somewhat more pigmented in the animal hemisphere than the other images, hence the ventral blastomeres appear somewhat darker than the dorsal blastomeres (right) owing to pigmentation differences. The cytokeratin image is yellow because of the extensive overlap of the green autofluorescence signal with the red cytoplasmic staining of the antibody (see F for cytoplasmic stain at higher magnification). While β-catenin staining extends extensively from the membrane through the cytoplasm at the eight-cell stage (Fig. 1, A and B), both protein 4.1 (D) and α-spectrin (E) are restricted to the plasma membrane, which is consistent with their known functions in the membrane skeleton, while the cytokeratin staining extends into the cytoplasm (F) as filaments as previously noted (Klymkowsky et al., 1987), though our fixation methods also retain nonpolymeric protein and increase nonfilamentous cytokeratin staining. |
|
|
Figure 8. Effects of Xgsk-3 and LiCl on the spatial accumulation of β-catenin. (A) The dorsoâventral asymmetry in β-catenin requires the postfertilization cortical rotation and is regulated by Xgsk-3. When the postfertilization cortical rotation is prevented by UV-irradiation of the vegetal pole during the first cell cycle (a), 32-cell embryos do not display dorsal enrichments in β-catenin observed in control embryos (b), and some show ventral increases. Injection of 4 ng of RNA encoding Xgsk-3 into the dorsal marginal zone of four- to eight-cell embryos also blocks the dorsal increase in β-catenin staining at the 32-cell stage (c). Conversely, injection of 4 ng of RNA encoding a dominant negative Xgsk-3 into the ventral marginal zone promotes accumulation of β-catenin throughout the 32-cell embryo (d). (B) Injection of a mixture of prolactin and β-cateninâmyc RNAs leads to the accumulation of β-cateninâmyc on the future dorsal side of the embryo (a), though the RNAs are injected and expressed throughout the embryo. Decreased staining (left embryo) or staining for β-cateninâmyc similar to controls (right embryo) is evident when Xgsk-3 RNA is injected with the β-cateninâ myc RNA (b). Inhibition of endogenous Xgsk-3 by injecting dnXgsk-3 RNA increases and expands the accumulation of ectopic β-cateninâ myc to the entire embryonic marginal zone (c). Treatment with lithium also expands the domain of β-cateninâmyc accumulation in embryos overexpressing prolactin (d) or Xgsk-3 (e). Expression of ptβ-cateninâmyc (which encodes a form of β-catenin that is not phosphorylated by Xgsk-3; Yost et al., 1996) with control prolactin results in the accumulation of ptβ-cateninâmyc everywhere in the embryo (f). In these experiments 1 ng of β-cateninâmyc or ptβ-cateninâmyc RNA mixed with 3 ng of prolactin, Xgsk-3, or dnXgsk-3 RNA was injected into the marginal zone of each blastomere of fourcell embryos. Arrowheads denote dorsal (single arrowhead) or dorsal and ventral (two arrowheads) staining. (C) Lithium treatment increases steady-state levels of β-cateninâmyc expressed from injected RNA. Embryos were injected and treated with LiCl as in Materials and Methods. At stage 6.5â7, embryo extracts were prepared and probed for the c-myc epitopeâtagged β-catenin by Western blot analysis. Lane 1, Uninjected controls do not express β-cateninâmyc; lane 2, embryos injected with β-cateninâmyc RNA express the encoded protein; lane 3, injection of β-cateninâmyc RNA as in lane 2 followed by treatment with LiCl leads to greater accumulation of β-cateninâmyc. |
|
|
Figure 7. Xwnt-8, but not Xwnt-5A, increases the accumulation of endogenous β-catenin in nuclei. The animal pole of each blastomere at the two-cell stage was injected with RNA encoding prolactin (A), Xwnt-8 (B), or Xwnt-5A (C). At stage 6.5â7 animal cap explants were isolated, fixed, and processed for immunolocalization of endogenous β-catenin. |
|
|
Figure 4. Western blot analysis of microdissected 32-cell Xenopus embryos reveals a dorso-vegetal enrichment of β-catenin. (A) Schematic diagram of how embryos were dissected into dorsal animal marginal (DAM; light gray), ventral animal marginal (VAM; black), dorsal vegetal marginal (DVM; pattern), and ventral vegetal marginal (VVM; dark gray) portions. (B) Dorsal steady-state levels of endogenous β-catenin are greater than ventral levels in untreated but not in UV-ventralized embryos. On average, the VVM portions from untreated embryos contained 77% (normalized to tubulin, three experiments) and 64% (normalized to spectrin, five experiments) as much β-catenin as the DVM zones. The VVM portions dissected from UV-irradiated embryos contained more β-catenin relative to their dorsal counterparts; 146% (normalized to tubulin, four experiments) and 172% (normalized to spectrin, four experiments). Spectrin-normalized steady-state levels of β-catenin in the VAM zone were also lower than the DAM region in untreated embryos (78%, five experiments). These differences were eliminated with UV treatment (four experiments for both tubulin and spectrin normalization). The asterisks indicate that the difference in β-catenin content between the dorsal and ventral marginal zones is statistically significant, as determined by Student's t-test (P < 0.05 for a single asterisk, P < 0.005 for a double asterisk). The error bars represent the standard error. (C) Representative Western blot detecting endogenous β-catenin, α-spectrin, and tubulin. Ventral levels of β-catenin are lower in the dissected VAM (lane 2) relative to the DAM (lane 1) regions, and in the VVM (lane 4) relative to DVM (lane 3) regions. It is worth noting that the dissected quadrants of the embryo do not precisely correspond to the areas of maximal β-catenin staining determined by confocal microscopy. Moreover, the thresholds of fluorescence chosen for Figs. 1 and 2 were set high, so as not to saturate the dorsal-ventral differences, and as a result these images do not show the detectable lower levels of cytoplasmic and membrane-associated β-catenin, which nevertheless would contribute to the signals on Western blots. Thus, one cannot quantitatively compare the dorso-ventral differences monitored by the dissections vs. confocal microscopy. |
|
|
Figure 5. Wnts, but not BVg1 or noggin, are able to modulate ectopic β-cateninâmyc accumulation both before and after MBT, as assayed by antiâc-myc immunostaining. Uninjected controls do not stain for c-myc when assayed before (A) or after (B) MBT. Embryos expressing β-cateninâmyc and prolactin display a dorsal accumulation of ectopic β-cateninâmyc both before (C) and after (D) MBT, while the ventral side shows negligible staining. (E) Xwnt-8 RNA expands the domain of accumulation of β-cateninâmyc when assayed before MBT (shown, 100 pg Xwnt-8 RNA was injected for the embryo on the left, and 3 ng RNA for the embryo on the right) or after MBT (see Table I). (F) Neither BVg1 (pre-MBT, shown; and post-MBT, Table I) nor noggin RNA (see Table I) are able to elevate β-cateninâmyc accumulation on the ventral side, while β-cateninâmyc accumulates on the dorsal side similarly to control embryos. (G) Xwnt-5A RNA does not alter the pattern of β-cateninâmyc accumulation during the early cleavage stages, but causes β-cateninâmyc to accumulate around the entire marginal zone after MBT (H). In these experiments, 1 ng of β-catenin RNA and 3 ng of prolactin, Xwnt-8 (100 pg in left embryo of panel E), Xwnt-5A, BVg1, or noggin RNA were injected into the marginal zone of each blastomere of four cell stage embryos, followed by antiâc-myc immunostaining before and after MBT. Arrowheads denote dorsal (single arrowhead) or dorsal and ventral (double arrowhead) staining. |
|
|
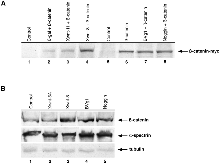
Figure 6. Xwnt-8, but not BVg1 or noggin, is able to increase the accumulation of both ectopic and endogenous β-catenin as assayed by Western blots. (A) In multiple independent experiments (see text), probing Western blots for c-myc, microinjection of 100 pg of β-cateninâmyc RNA with 200 pg of β-galactosidase (lane 2), Xwnt-11 (lane 3), or Xwnt-8 (lane 4) reveals that only Xwnt-8 is able to increase β-catenin levels (compare lanes 2 and 4). Uninjected embryos (lane 1) do not express the c-myc epitope. In separate experiments (lanes 5â8), neither BVg1 (lane 7) nor noggin (lane 8) increases the accumulation of β-catenin above control-injected levels (lane 6), while uninjected embryos do not express β-cateninâmyc (lane 5). (B) Microinjection of 5â10 ng of control prolactin (lane 1), Xwnt-5A (lane 2), Xwnt-8 (lane 3), BVg1 (lane 4), or noggin (lane 5) RNA demonstrates that Xwnt-8 increases the steady state levels of endogenous β-catenin (compare lanes 1 and 3), as shown above for ectopic β-catenin. In these experiments, the animal poles of two-cell embryos were injected with RNA, followed by the extraction of protein before stage 7. To control for protein content and even loading, all endogenous β-catenin bands were normalized to both α-spectrin and tubulin signals from the same Western blot. |
|
|
Figure 1 Immunolocalization of β-catenin in early Xenopus embryos. Whole-mount staining with antibody to β-catenin demonstrates greater staining on the dorsal side of embryos (to the right in all panels) at the 8- (A and B) and 16-cell (C and D) stages. Immunolabeled embryos were cut along the equator separating the animal (A and C) from vegetal (B and D) blastomeres and examined with a confocal microscope. Optical sections through these blastomeres demonstrate an arc of cytoplasmic β-catenin in the periphery of the animal dorsal blastomeres (A and C) and vegetal dorsal blastomeres (B and D). Ventral blastomeres stain for β-catenin at the cell surface but not in the cytoplasm. |
References [+] :
Behrens,
Functional interaction of beta-catenin with the transcription factor LEF-1.
1996, Pubmed,
Xenbase
Behrens, Functional interaction of beta-catenin with the transcription factor LEF-1. 1996, Pubmed , Xenbase
Bhanot, A new member of the frizzled family from Drosophila functions as a Wingless receptor. 1996, Pubmed
Brannon, Activation of Siamois by the Wnt pathway. 1996, Pubmed , Xenbase
Cardellini, Reversal of dorsoventral polarity in Xenopus laevis embryos by 180 degrees rotation of the animal micromeres at the eight-cell stage. 1988, Pubmed , Xenbase
Carnac, The homeobox gene Siamois is a target of the Wnt dorsalisation pathway and triggers organiser activity in the absence of mesoderm. 1996, Pubmed , Xenbase
Christian, Xwnt-8 modifies the character of mesoderm induced by bFGF in isolated Xenopus ectoderm. 1992, Pubmed , Xenbase
Christian, Interactions between Xwnt-8 and Spemann organizer signaling pathways generate dorsoventral pattern in the embryonic mesoderm of Xenopus. 1993, Pubmed , Xenbase
Cui, Xwnt-8b: a maternally expressed Xenopus Wnt gene with a potential role in establishing the dorsoventral axis. 1995, Pubmed , Xenbase
Dale, Secretion and mesoderm-inducing activity of the TGF-beta-related domain of Xenopus Vg1. 1993, Pubmed , Xenbase
DeMarais, The armadillo homologs beta-catenin and plakoglobin are differentially expressed during early development of Xenopus laevis. 1992, Pubmed , Xenbase
Dominguez, Role of glycogen synthase kinase 3 beta as a negative regulator of dorsoventral axis formation in Xenopus embryos. 1995, Pubmed , Xenbase
Du, Identification of distinct classes and functional domains of Wnts through expression of wild-type and chimeric proteins in Xenopus embryos. 1995, Pubmed , Xenbase
Fagotto, Beta-catenin localization during Xenopus embryogenesis: accumulation at tissue and somite boundaries. 1994, Pubmed , Xenbase
Fujisue, Occurrence of dorsal axis-inducing activity around the vegetal pole of an uncleaved Xenopus egg and displacement to the equatorial region by cortical rotation. 1993, Pubmed , Xenbase
Funayama, Embryonic axis induction by the armadillo repeat domain of beta-catenin: evidence for intracellular signaling. 1995, Pubmed , Xenbase
Gerhart, Cortical rotation of the Xenopus egg: consequences for the anteroposterior pattern of embryonic dorsal development. 1989, Pubmed , Xenbase
Giebelhaus, Changes in the expression of alpha-fodrin during embryonic development of Xenopus laevis. 1987, Pubmed , Xenbase
Gimlich, Acquisition of developmental autonomy in the equatorial region of the Xenopus embryo. 1986, Pubmed , Xenbase
Grunz, The four animal blastomeres of the eight-cell stage of Xenopus laevis are intrinsically capable of differentiating into dorsal mesodermal derivatives. 1994, Pubmed , Xenbase
Guger, beta-Catenin has Wnt-like activity and mimics the Nieuwkoop signaling center in Xenopus dorsal-ventral patterning. 1995, Pubmed , Xenbase
Haegel, Lack of beta-catenin affects mouse development at gastrulation. 1995, Pubmed
He, Glycogen synthase kinase-3 and dorsoventral patterning in Xenopus embryos. 1995, Pubmed , Xenbase
Heasman, Overexpression of cadherins and underexpression of beta-catenin inhibit dorsal mesoderm induction in early Xenopus embryos. 1994, Pubmed , Xenbase
Holowacz, Cortical cytoplasm, which induces dorsal axis formation in Xenopus, is inactivated by UV irradiation of the oocyte. 1993, Pubmed , Xenbase
Hoppler, Expression of a dominant-negative Wnt blocks induction of MyoD in Xenopus embryos. 1996, Pubmed , Xenbase
Kageura, Spatial distribution of the capacity to initiate a secondary embryo in the 32-cell embryo of Xenopus laevis. 1990, Pubmed , Xenbase
Kelly, Induction of a secondary embryonic axis in zebrafish occurs following the overexpression of beta-catenin. 1995, Pubmed , Xenbase
Kimelman, Synergistic principles of development: overlapping patterning systems in Xenopus mesoderm induction. 1992, Pubmed , Xenbase
Klein, A molecular mechanism for the effect of lithium on development. 1996, Pubmed , Xenbase
Klymkowsky, Polar asymmetry in the organization of the cortical cytokeratin system of Xenopus laevis oocytes and embryos. 1987, Pubmed , Xenbase
Ku, Xwnt-11: a maternally expressed Xenopus wnt gene. 1993, Pubmed , Xenbase
Larabell, Confocal microscopy analysis of living Xenopus eggs and the mechanism of cortical rotation. 1996, Pubmed , Xenbase
Lemaire, Expression cloning of Siamois, a Xenopus homeobox gene expressed in dorsal-vegetal cells of blastulae and able to induce a complete secondary axis. 1995, Pubmed , Xenbase
McMahon, Ectopic expression of the proto-oncogene int-1 in Xenopus embryos leads to duplication of the embryonic axis. 1989, Pubmed , Xenbase
Miller, Signal transduction through beta-catenin and specification of cell fate during embryogenesis. 1996, Pubmed
Molenaar, XTcf-3 transcription factor mediates beta-catenin-induced axis formation in Xenopus embryos. 1996, Pubmed , Xenbase
Moon, Competence modifiers synergize with growth factors during mesoderm induction and patterning in Xenopus. 1992, Pubmed , Xenbase
Moon, Xwnt-5A: a maternal Wnt that affects morphogenetic movements after overexpression in embryos of Xenopus laevis. 1993, Pubmed , Xenbase
Pierce, Regulation of Spemann organizer formation by the intracellular kinase Xgsk-3. 1995, Pubmed , Xenbase
Sakai, The vegetal determinants required for the Spemann organizer move equatorially during the first cell cycle. 1996, Pubmed , Xenbase
Schneider, Beta-catenin translocation into nuclei demarcates the dorsalizing centers in frog and fish embryos. 1996, Pubmed , Xenbase
Smith, Expression cloning of noggin, a new dorsalizing factor localized to the Spemann organizer in Xenopus embryos. 1992, Pubmed , Xenbase
Sokol, Interaction of Wnt and activin in dorsal mesoderm induction in Xenopus. 1992, Pubmed , Xenbase
Spencer, Membrane skeleton protein 4.1 in developing Xenopus: expression in postmitotic cells of the retina. 1990, Pubmed , Xenbase
Thomsen, Processed Vg1 protein is an axial mesoderm inducer in Xenopus. 1993, Pubmed , Xenbase
Torres, Activities of the Wnt-1 class of secreted signaling factors are antagonized by the Wnt-5A class and by a dominant negative cadherin in early Xenopus development. 1996, Pubmed , Xenbase
Yang-Snyder, A frizzled homolog functions in a vertebrate Wnt signaling pathway. 1996, Pubmed , Xenbase
Yost, The axis-inducing activity, stability, and subcellular distribution of beta-catenin is regulated in Xenopus embryos by glycogen synthase kinase 3. 1996, Pubmed , Xenbase
Yuge, A cytoplasmic determinant for dorsal axis formation in an early embryo of Xenopus laevis. 1990, Pubmed , Xenbase
