Click here to close
Hello! We notice that you are using Internet Explorer, which is not supported by Xenbase and may cause the site to display incorrectly.
We suggest using a current version of Chrome,
FireFox, or Safari.
Gene
2005 Aug 29;3571:29-36. doi: 10.1016/j.gene.2005.05.005.
Show Gene links
Show Anatomy links
Cloning and expression of the amphibian homologue of the human PKD1 gene.
Burtey S, Leclerc C, Nabais E, Munch P, Gohory C, Moreau M, Fontés M.
???displayArticle.abstract??? PKD1 is the gene responsible for autosomal dominant polycystic kidney disease (ADPKD) type 1 in humans. The PKD1 gene product is likely to be a calcium channel regulator. In this paper, we describe the isolation and characterization of the Xenopus homologue of the human PKD1 gene. We isolated and cloned genomic fragments corresponding to the amphibian homologue of PKD1 from a BAC library, and after sequencing the clones, we designed primers for the amplification of the transcript and sequenced 10 kb of ORF. The sequence of the putative protein clearly demonstrated that this gene is the homologue of human PKD1. Analysis of the tissue expression patterns of xPKD1 demonstrated a high level of expression in the kidney. A similar analysis in developing embryos and in an in vitro nephrogenic system suggests that xPKD1 is associated with, and probably involved in, the development of the amphibian pronephros.
Fig. 1. Schematic representation of the putative domains of xPKD1,
deduced from the cDNA sequence, and lettered from A to E. A: lectin C
domain, B: LDL-A domain, C: PKD domains, D: REJ domain, E:
transmembrane domains. The location of the small highly conserved PLAT
domain is indicated below by P.
Fig. 2. Sequence homologies. The sequence of the putative transcript was generated from overlapping RT-PCR fragments and translated to derive the putative
protein sequence. This was then compared to the sequences of Pc1 proteins from various vertebrates, using the Multalin program. The different lines represent
segments of the transmembrane domains from the human (PC1 H), rat (PC1 R), mouse (PC1 S), Xenopus (PC1 X) and Fugu (PC1 F) Pc1 proteins. Identities
are boxed in black, similarities in gray. Note that the Xenopus Pc1 sequence is not numbered.
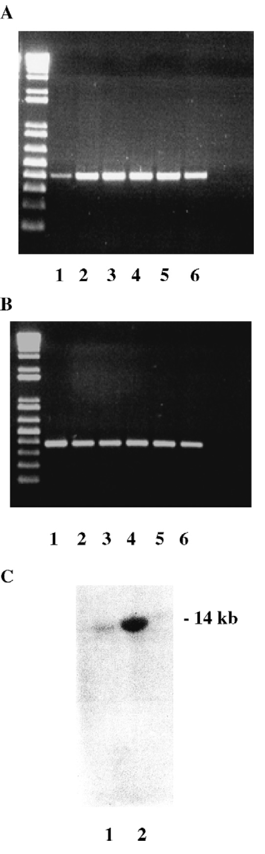
Fig. 3. xPKD1 expression in adult tissues. A. RT-PCR experiments were
conducted using xPKD1 specific primers (see Materials and methods; the
amplicon size is approximately 400 bp) and RNA extracted from ovaries
(lane 1), heart (lane 2), kidney (lane 3), liver (lane 4), intestine (lane 5) and
lung (lane 6). B. Control RT-PCR experiments were conducted using ODCspecific
primers and the same RNAs samples as in A. C. Northern blot
analysis of the xPKD1 transcript in RNAs extracted from ovaries (1) or
adult kidney (2). The blots were then probed with the 714 bp external
PKD1 RT-PCR product. The exposure time was 48 h. The 14 kb xPKD1
transcript is indicated.
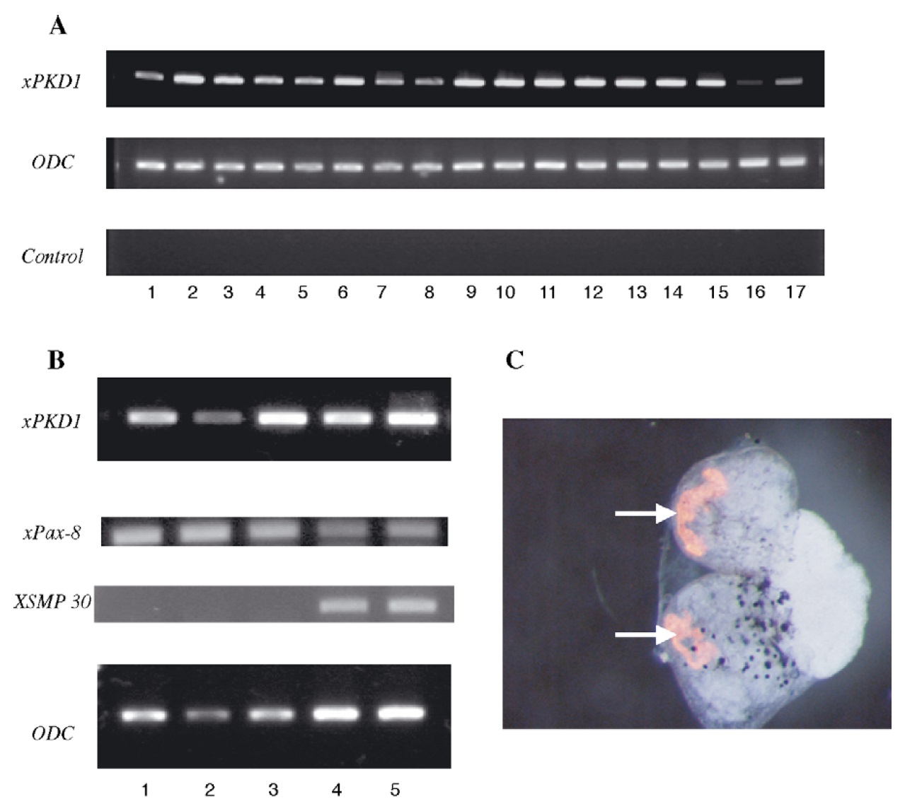
Fig. 4. Expression of xPKD1 in Xenopus laevis analyzed by RT-PCR. (A) Temporal expression pattern of xPKD1 during embryogenesis. RT-PCR experiments
were conducted using RNA extracted from Xenopus embryos at different developmental stages (stages 1, 3, 4, 8, 10, 11, 12.5, 14, 18, 21, 24, 26, 29, 32, 35, 37,
41; lanes 1 to 17). Control RT-PCR experiments were conducted using ODC-specific primers. (B) Expression pattern of xPKD1, xPax-8 and xSMP30 in
explants of pronephros territories. Presumptive pronephric mesoderm explants were removed from embryos at specific stages of development. Total RNA was
extracted from the explants immediately after dissection and subjected to RT-PCR analysis. Lane 1: stage 14 (the kidney tubules and duct are specified in the
pronephric anlagen). Lane 2: Neural groove stage (stage 18). Lane 3: stage 21 (the pronephros anlagen is first visible). Lane 4: stage 32 (the explant analyzed in
this experiment corresponds to the region containing the developing tubules). Lane 5: an explant corresponding to explants dissected at stage 32 then cultured
until sibling embryos reached stage 40, when the pronephric tubules are clearly visible. Ornithine decarboxylase expression was used as a loading control. (C)
The differentiation of pronephric tubules was analyzed by whole-mount immunostaining of presumptive pronephric mesoderm explants removed from stage 14
embryos. The explants were cultured until sibling embryos reached stage 38/39. The presence of pronephric tubules was detected using the monoclonal
antibody 3G8, which is specific for pronephric tubules, and a TRITC-conjugated secondary antibody.
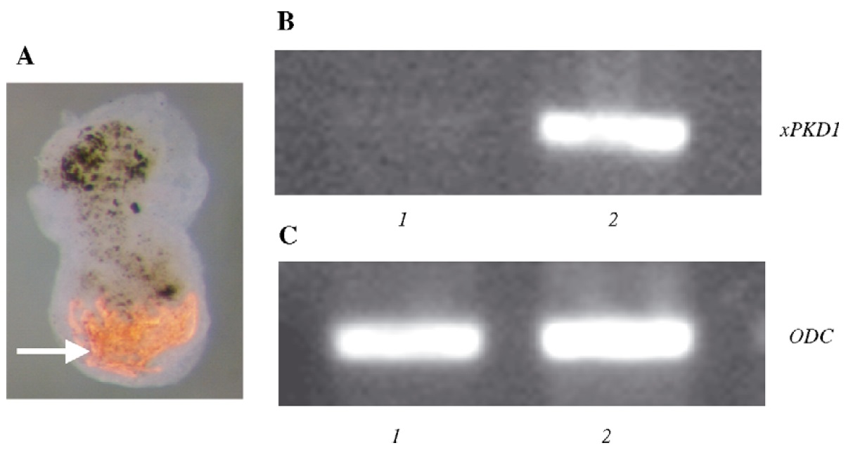
Fig. 5. Expression of xPKD1 in animal caps treated with activin A and retinoic acid. Presumptive ectoderm (animal caps) were removed from stage 9 blastula
embryos and incubated with activin A (10 ng/mL) and retinoic acid (10 4 M) until sibling embryos reached stage 41. (A) Whole-mount immunostaining
revealed that the treated animal caps contain 3G8-positive tubular structures (pronephric tubules) (B) xPKD1 expression in animal caps incubated in saline
solution without activin A or retinoic acid (lane 1) or in animal caps treated with both activin A and retinoic acid (lane 2). (C). ODC expression was analyzed as
a loading control.